多参数mri引导下经皮活检治疗肺不张中枢性病变的可行性。

IF 5.3 2区 医学 Q1 RADIOLOGY, NUCLEAR MEDICINE & MEDICAL IMAGING
Peipei Li, Chengli Li, Yujun Xu, Xiangmeng He, Roberto Blanco Sequeiros, Ming Liu
{"title":"多参数mri引导下经皮活检治疗肺不张中枢性病变的可行性。","authors":"Peipei Li, Chengli Li, Yujun Xu, Xiangmeng He, Roberto Blanco Sequeiros, Ming Liu","doi":"10.3348/kjr.2024.0818","DOIUrl":null,"url":null,"abstract":"<p><strong>Objective: </strong>To prospectively evaluate the feasibility, accuracy, and safety of multiparameter MRI-guided percutaneous biopsy using a 1T open MRI scanner for evaluating suspicious centrally located lung lesions with associated post-obstructive atelectasis.</p><p><strong>Materials and methods: </strong>In this single-center study, MRI-guided percutaneous coaxial cutting biopsy was performed for 107 suspicious central lung lesions with associated post-obstructive atelectasis in 107 patients between July 2015 and December 2020. A fast T2-weighted imaging (T2WI)-turbo spin echo (TSE) sequence and an enhanced fast T1-weighted imaging (T1WI)-TSE sequence were used to identify, localize, and biopsy lung lesions, and diffusion-weighted imaging (DWI) was used as a supplementary sequence for identifying the lesion location. The final diagnosis was confirmed by surgical histopathology or clinical follow-up for a minimum of 24 months. The sensitivity, specificity, and accuracy for diagnosing lung malignancies were calculated, and the complications were recorded for each case.</p><p><strong>Results: </strong>Using multiparameter MRI, central lung lesions could be clearly distinguished from post-obstructive atelectasis in 96 patients (89.7%). The sensitivity, specificity, and accuracy of MRI-guided percutaneous biopsy for diagnosing lung malignancy was 97.0% (98/101), 100% (6/6), and 97.2% (104/107), respectively. Self-limited hemoptysis occurred in three patients. Pneumothorax occurred in five patients, of which none required pleural drainage. No serious procedure-related complications were observed.</p><p><strong>Conclusion: </strong>As a technology that does not involve ionizing radiation, multiparameter MRI-guided percutaneous coaxial cutting biopsy is a safe and accurate diagnostic technique for evaluating centrally located lung lesions associated with post-obstructive atelectasis.</p>","PeriodicalId":17881,"journal":{"name":"Korean Journal of Radiology","volume":"26 5","pages":"498-507"},"PeriodicalIF":5.3000,"publicationDate":"2025-05-01","publicationTypes":"Journal Article","fieldsOfStudy":null,"isOpenAccess":false,"openAccessPdf":"https://www.ncbi.nlm.nih.gov/pmc/articles/PMC12055272/pdf/","citationCount":"0","resultStr":"{\"title\":\"Feasibility of Multiparameter MRI-Guided Percutaneous Biopsy for Central Lung Lesions With Atelectasis.\",\"authors\":\"Peipei Li, Chengli Li, Yujun Xu, Xiangmeng He, Roberto Blanco Sequeiros, Ming Liu\",\"doi\":\"10.3348/kjr.2024.0818\",\"DOIUrl\":null,\"url\":null,\"abstract\":\"<p><strong>Objective: </strong>To prospectively evaluate the feasibility, accuracy, and safety of multiparameter MRI-guided percutaneous biopsy using a 1T open MRI scanner for evaluating suspicious centrally located lung lesions with associated post-obstructive atelectasis.</p><p><strong>Materials and methods: </strong>In this single-center study, MRI-guided percutaneous coaxial cutting biopsy was performed for 107 suspicious central lung lesions with associated post-obstructive atelectasis in 107 patients between July 2015 and December 2020. A fast T2-weighted imaging (T2WI)-turbo spin echo (TSE) sequence and an enhanced fast T1-weighted imaging (T1WI)-TSE sequence were used to identify, localize, and biopsy lung lesions, and diffusion-weighted imaging (DWI) was used as a supplementary sequence for identifying the lesion location. The final diagnosis was confirmed by surgical histopathology or clinical follow-up for a minimum of 24 months. The sensitivity, specificity, and accuracy for diagnosing lung malignancies were calculated, and the complications were recorded for each case.</p><p><strong>Results: </strong>Using multiparameter MRI, central lung lesions could be clearly distinguished from post-obstructive atelectasis in 96 patients (89.7%). The sensitivity, specificity, and accuracy of MRI-guided percutaneous biopsy for diagnosing lung malignancy was 97.0% (98/101), 100% (6/6), and 97.2% (104/107), respectively. Self-limited hemoptysis occurred in three patients. Pneumothorax occurred in five patients, of which none required pleural drainage. No serious procedure-related complications were observed.</p><p><strong>Conclusion: </strong>As a technology that does not involve ionizing radiation, multiparameter MRI-guided percutaneous coaxial cutting biopsy is a safe and accurate diagnostic technique for evaluating centrally located lung lesions associated with post-obstructive atelectasis.</p>\",\"PeriodicalId\":17881,\"journal\":{\"name\":\"Korean Journal of Radiology\",\"volume\":\"26 5\",\"pages\":\"498-507\"},\"PeriodicalIF\":5.3000,\"publicationDate\":\"2025-05-01\",\"publicationTypes\":\"Journal Article\",\"fieldsOfStudy\":null,\"isOpenAccess\":false,\"openAccessPdf\":\"https://www.ncbi.nlm.nih.gov/pmc/articles/PMC12055272/pdf/\",\"citationCount\":\"0\",\"resultStr\":null,\"platform\":\"Semanticscholar\",\"paperid\":null,\"PeriodicalName\":\"Korean Journal of Radiology\",\"FirstCategoryId\":\"3\",\"ListUrlMain\":\"https://doi.org/10.3348/kjr.2024.0818\",\"RegionNum\":2,\"RegionCategory\":\"医学\",\"ArticlePicture\":[],\"TitleCN\":null,\"AbstractTextCN\":null,\"PMCID\":null,\"EPubDate\":\"\",\"PubModel\":\"\",\"JCR\":\"Q1\",\"JCRName\":\"RADIOLOGY, NUCLEAR MEDICINE & MEDICAL IMAGING\",\"Score\":null,\"Total\":0}","platform":"Semanticscholar","paperid":null,"PeriodicalName":"Korean Journal of Radiology","FirstCategoryId":"3","ListUrlMain":"https://doi.org/10.3348/kjr.2024.0818","RegionNum":2,"RegionCategory":"医学","ArticlePicture":[],"TitleCN":null,"AbstractTextCN":null,"PMCID":null,"EPubDate":"","PubModel":"","JCR":"Q1","JCRName":"RADIOLOGY, NUCLEAR MEDICINE & MEDICAL IMAGING","Score":null,"Total":0}
引用次数: 0

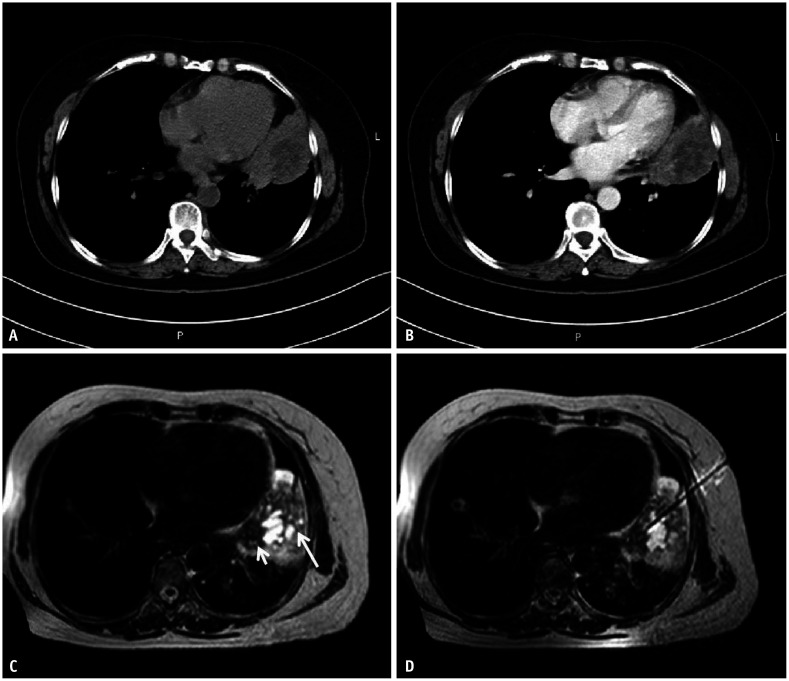
摘要

目的:前瞻性评估多参数MRI引导下使用1T开放式MRI扫描仪经皮穿刺活检评估可疑中央位置肺病变伴阻塞性肺不张的可行性、准确性和安全性。材料和方法:在本单中心研究中,于2015年7月至2020年12月,对107例疑似中心性肺病变伴阻塞性肺不张的患者进行了mri引导下的经皮同轴切割活检。采用快速t2加权成像(T2WI)-涡轮自旋回波(TSE)序列和增强快速t1加权成像(T1WI)-TSE序列识别、定位和活检肺部病变,并使用弥散加权成像(DWI)作为辅助序列识别病变位置。最终诊断由手术组织病理学或至少24个月的临床随访证实。计算诊断肺部恶性肿瘤的敏感性、特异性和准确性,并记录每个病例的并发症。结果:96例(89.7%)患者行多参数MRI检查,可明显鉴别肺中枢性病变与阻塞性肺不张。mri引导下经皮穿刺活检诊断肺恶性肿瘤的敏感性为97.0%(98/101),特异性为100%(6/6),准确性为97.2%(104/107)。3例患者出现自限性咯血。5例患者发生气胸,无一例需要胸腔引流。未见严重的手术相关并发症。结论:作为一种不涉及电离辐射的技术,多参数mri引导下的经皮同轴切割活检是一种安全、准确的诊断技术,可用于评估阻塞性肺不张相关的中央位置肺病变。
本文章由计算机程序翻译,如有差异,请以英文原文为准。

Feasibility of Multiparameter MRI-Guided Percutaneous Biopsy for Central Lung Lesions With Atelectasis.

Feasibility of Multiparameter MRI-Guided Percutaneous Biopsy for Central Lung Lesions With Atelectasis.

Feasibility of Multiparameter MRI-Guided Percutaneous Biopsy for Central Lung Lesions With Atelectasis.

Feasibility of Multiparameter MRI-Guided Percutaneous Biopsy for Central Lung Lesions With Atelectasis.

Objective: To prospectively evaluate the feasibility, accuracy, and safety of multiparameter MRI-guided percutaneous biopsy using a 1T open MRI scanner for evaluating suspicious centrally located lung lesions with associated post-obstructive atelectasis.

Materials and methods: In this single-center study, MRI-guided percutaneous coaxial cutting biopsy was performed for 107 suspicious central lung lesions with associated post-obstructive atelectasis in 107 patients between July 2015 and December 2020. A fast T2-weighted imaging (T2WI)-turbo spin echo (TSE) sequence and an enhanced fast T1-weighted imaging (T1WI)-TSE sequence were used to identify, localize, and biopsy lung lesions, and diffusion-weighted imaging (DWI) was used as a supplementary sequence for identifying the lesion location. The final diagnosis was confirmed by surgical histopathology or clinical follow-up for a minimum of 24 months. The sensitivity, specificity, and accuracy for diagnosing lung malignancies were calculated, and the complications were recorded for each case.

Results: Using multiparameter MRI, central lung lesions could be clearly distinguished from post-obstructive atelectasis in 96 patients (89.7%). The sensitivity, specificity, and accuracy of MRI-guided percutaneous biopsy for diagnosing lung malignancy was 97.0% (98/101), 100% (6/6), and 97.2% (104/107), respectively. Self-limited hemoptysis occurred in three patients. Pneumothorax occurred in five patients, of which none required pleural drainage. No serious procedure-related complications were observed.

Conclusion: As a technology that does not involve ionizing radiation, multiparameter MRI-guided percutaneous coaxial cutting biopsy is a safe and accurate diagnostic technique for evaluating centrally located lung lesions associated with post-obstructive atelectasis.

求助全文
通过发布文献求助,成功后即可免费获取论文全文。 去求助
来源期刊
Korean Journal of Radiology
Korean Journal of Radiology 医学-核医学
CiteScore
10.60
自引率
12.50%
发文量
141
审稿时长
1.3 months
期刊介绍: The inaugural issue of the Korean J Radiol came out in March 2000. Our journal aims to produce and propagate knowledge on radiologic imaging and related sciences. A unique feature of the articles published in the Journal will be their reflection of global trends in radiology combined with an East-Asian perspective. Geographic differences in disease prevalence will be reflected in the contents of papers, and this will serve to enrich our body of knowledge. World''s outstanding radiologists from many countries are serving as editorial board of our journal.
×
引用
GB/T 7714-2015
复制
MLA
复制
APA
复制
导出至
BibTeX EndNote RefMan NoteFirst NoteExpress
×
提示
您的信息不完整,为了账户安全,请先补充。
现在去补充
×
提示
您因"违规操作"
具体请查看互助需知
我知道了
×
提示
确定
请完成安全验证×
copy
已复制链接
快去分享给好友吧!
我知道了
右上角分享
点击右上角分享
0
联系我们:info@booksci.cn Book学术提供免费学术资源搜索服务,方便国内外学者检索中英文文献。致力于提供最便捷和优质的服务体验。 Copyright © 2023 布克学术 All rights reserved.
京ICP备2023020795号-1
ghs 京公网安备 11010802042870号
Book学术文献互助
Book学术文献互助群
群 号:604180095
Book学术官方微信