肥胖对肥厚性心肌病患者心肌组织特征的影响:一项基于心血管磁共振的研究

IF 6.1 1区 医学 Q1 CARDIAC & CARDIOVASCULAR SYSTEMS
Jie Wang, Lutong Pu, Jinquan Zhang, Ruihao Xu, Yang Li, Mengdi Yu, Yangjie Li, Jiajun Guo, Yuanwei Xu, Yu Kang, Yuchi Han, Yucheng Chen
{"title":"肥胖对肥厚性心肌病患者心肌组织特征的影响:一项基于心血管磁共振的研究","authors":"Jie Wang, Lutong Pu, Jinquan Zhang, Ruihao Xu, Yang Li, Mengdi Yu, Yangjie Li, Jiajun Guo, Yuanwei Xu, Yu Kang, Yuchi Han, Yucheng Chen","doi":"10.1016/j.jocmr.2025.101903","DOIUrl":null,"url":null,"abstract":"<p><strong>Background: </strong>Obesity is associated with cardiac steatosis in healthy adults and is independently associated with increased left ventricular (LV) mass and could contribute to the progression of heart failure-related composite events in patients with hypertrophic cardiomyopathy (HCM). However, it is unclear whether the increased LV mass is accompanied by increased fibrosis. We aimed to assess the impact of increased body mass index (BMI) on myocardial tissue characteristics in patients with HCM.</p><p><strong>Methods: </strong>A total of 737 patients with HCM (99 obese, 298 overweight, and 340 normal-weight patients) who underwent cardiovascular magnetic resonance (CMR) imaging were prospectively included. We assessed the relationship between BMI and LV mass, global native T1, extracellular volume, and late gadolinium enhancement (LGE) using CMR. Myocardial tissues from one patient each with obstructive HCM who underwent septal myectomy of the obese, overweight, and normal-weight groups were obtained and stained with red oil O, hematoxylin, and Masson's trichrome.</p><p><strong>Results: </strong>LV mass index (87.2, interquartile range [IQR]: 71.3 to 113.8, 89.4, IQR:75.5 to 111.5, and 104.7, IQR: 86.4 to 123.4 g/m<sup>2</sup>, P < 0.001) was higher in obese and overweight patients with HCM than those with normal weight, but the native T1 was decreased in obese patients with HCM (1324±67 ms, 1308±63 ms, and 1298±67 ms, P < 0.001). In addition, there was no significant difference in LGE extent among the three subgroups (normal weight: 3.7%, IQR: 0 to 9.5%, overweight: 2.7%, IQR: 0 to 7.7%, obese: 3.8%, IQR: 0 to 7.2%, P = 0.194). Multivariable linear regression analyses found that BMI was independently associated with global native T1 (β = -1.918, P = 0.005). Furthermore, myocardial tissues stained with oil red O from three patients showed an increasing extent of fat deposits with BMI, whereas collagen volume fractions were similar.</p><p><strong>Conclusion: </strong>In HCM patients, obesity is associated with increased myocardial mass and decreased native T1, likely reflecting cardiac steatosis in addition to fibrosis. This distinction underscores the potential reversibility of obesity-related myocardial changes through targeted weight management.</p><p><strong>Trial registration: </strong>This prospective cohort study was registered in the Chinese Clinical Trial Registry (URL: http://www.chictr.org.cn; Registry number: ChiCTR1900024094).</p>","PeriodicalId":15221,"journal":{"name":"Journal of Cardiovascular Magnetic Resonance","volume":" ","pages":"101903"},"PeriodicalIF":6.1000,"publicationDate":"2025-01-01","publicationTypes":"Journal Article","fieldsOfStudy":null,"isOpenAccess":false,"openAccessPdf":"https://www.ncbi.nlm.nih.gov/pmc/articles/PMC12141553/pdf/","citationCount":"0","resultStr":"{\"title\":\"Effect of obesity on myocardial tissue characteristics in patients with hypertrophic cardiomyopathy: a cardiovascular magnetic resonance-based study.\",\"authors\":\"Jie Wang, Lutong Pu, Jinquan Zhang, Ruihao Xu, Yang Li, Mengdi Yu, Yangjie Li, Jiajun Guo, Yuanwei Xu, Yu Kang, Yuchi Han, Yucheng Chen\",\"doi\":\"10.1016/j.jocmr.2025.101903\",\"DOIUrl\":null,\"url\":null,\"abstract\":\"<p><strong>Background: </strong>Obesity is associated with cardiac steatosis in healthy adults and is independently associated with increased left ventricular (LV) mass and could contribute to the progression of heart failure-related composite events in patients with hypertrophic cardiomyopathy (HCM). However, it is unclear whether the increased LV mass is accompanied by increased fibrosis. We aimed to assess the impact of increased body mass index (BMI) on myocardial tissue characteristics in patients with HCM.</p><p><strong>Methods: </strong>A total of 737 patients with HCM (99 obese, 298 overweight, and 340 normal-weight patients) who underwent cardiovascular magnetic resonance (CMR) imaging were prospectively included. We assessed the relationship between BMI and LV mass, global native T1, extracellular volume, and late gadolinium enhancement (LGE) using CMR. Myocardial tissues from one patient each with obstructive HCM who underwent septal myectomy of the obese, overweight, and normal-weight groups were obtained and stained with red oil O, hematoxylin, and Masson's trichrome.</p><p><strong>Results: </strong>LV mass index (87.2, interquartile range [IQR]: 71.3 to 113.8, 89.4, IQR:75.5 to 111.5, and 104.7, IQR: 86.4 to 123.4 g/m<sup>2</sup>, P < 0.001) was higher in obese and overweight patients with HCM than those with normal weight, but the native T1 was decreased in obese patients with HCM (1324±67 ms, 1308±63 ms, and 1298±67 ms, P < 0.001). In addition, there was no significant difference in LGE extent among the three subgroups (normal weight: 3.7%, IQR: 0 to 9.5%, overweight: 2.7%, IQR: 0 to 7.7%, obese: 3.8%, IQR: 0 to 7.2%, P = 0.194). Multivariable linear regression analyses found that BMI was independently associated with global native T1 (β = -1.918, P = 0.005). Furthermore, myocardial tissues stained with oil red O from three patients showed an increasing extent of fat deposits with BMI, whereas collagen volume fractions were similar.</p><p><strong>Conclusion: </strong>In HCM patients, obesity is associated with increased myocardial mass and decreased native T1, likely reflecting cardiac steatosis in addition to fibrosis. This distinction underscores the potential reversibility of obesity-related myocardial changes through targeted weight management.</p><p><strong>Trial registration: </strong>This prospective cohort study was registered in the Chinese Clinical Trial Registry (URL: http://www.chictr.org.cn; Registry number: ChiCTR1900024094).</p>\",\"PeriodicalId\":15221,\"journal\":{\"name\":\"Journal of Cardiovascular Magnetic Resonance\",\"volume\":\" \",\"pages\":\"101903\"},\"PeriodicalIF\":6.1000,\"publicationDate\":\"2025-01-01\",\"publicationTypes\":\"Journal Article\",\"fieldsOfStudy\":null,\"isOpenAccess\":false,\"openAccessPdf\":\"https://www.ncbi.nlm.nih.gov/pmc/articles/PMC12141553/pdf/\",\"citationCount\":\"0\",\"resultStr\":null,\"platform\":\"Semanticscholar\",\"paperid\":null,\"PeriodicalName\":\"Journal of Cardiovascular Magnetic Resonance\",\"FirstCategoryId\":\"3\",\"ListUrlMain\":\"https://doi.org/10.1016/j.jocmr.2025.101903\",\"RegionNum\":1,\"RegionCategory\":\"医学\",\"ArticlePicture\":[],\"TitleCN\":null,\"AbstractTextCN\":null,\"PMCID\":null,\"EPubDate\":\"2025/5/2 0:00:00\",\"PubModel\":\"Epub\",\"JCR\":\"Q1\",\"JCRName\":\"CARDIAC & CARDIOVASCULAR SYSTEMS\",\"Score\":null,\"Total\":0}","platform":"Semanticscholar","paperid":null,"PeriodicalName":"Journal of Cardiovascular Magnetic Resonance","FirstCategoryId":"3","ListUrlMain":"https://doi.org/10.1016/j.jocmr.2025.101903","RegionNum":1,"RegionCategory":"医学","ArticlePicture":[],"TitleCN":null,"AbstractTextCN":null,"PMCID":null,"EPubDate":"2025/5/2 0:00:00","PubModel":"Epub","JCR":"Q1","JCRName":"CARDIAC & CARDIOVASCULAR SYSTEMS","Score":null,"Total":0}
引用次数: 0

摘要

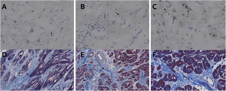
背景:肥胖与健康成人心脏脂肪变性相关,且独立与左心室(LV)质量增加相关,并可能促进肥厚性心肌病(HCM)患者心力衰竭相关复合事件的进展。然而,目前尚不清楚左室肿块增加是否伴有纤维化增加。我们的目的是评估体重指数(BMI)增加对HCM患者心肌组织特征的影响。方法:前瞻性纳入接受心血管磁共振(CMR)成像的737例HCM患者(99例肥胖,298例超重,340例正常体重)。我们使用CMR评估BMI与左室质量、整体原生T1、细胞外体积(ECV)和晚期钆增强(LGE)之间的关系。分别从肥胖组、超重组和正常体重组接受间隔肌切除术的梗阻性HCM患者中取出心肌组织,并用红油O、苏木精和马松三色染色。结果:肥胖和超重HCM患者的左室质量指数(87.2,四分位间距(IQR): 71.3 ~ 113.8, 89.4, IQR:75.5 ~ 111.5, 104.7, IQR: 86.4 ~ 123.4g/m2, P < 0.001)高于体重正常的HCM患者,而肥胖HCM患者的原生T1降低(1324±67 ms, 1308±63 ms, 1298±67 ms, P < 0.001)。此外,三个亚组的LGE程度差异无统计学意义(正常体重:3.7%,IQR: 0 ~ 9.5%,超重:2.7%,IQR: 0 ~ 7.7%,肥胖:3.8%,IQR: 0 ~ 7.2%, P = 0.194)。多变量线性回归分析发现,BMI与整体原生T1独立相关(β = -1.918, P = 0.005)。此外,3例患者的心肌组织油红O染色显示脂肪沉积程度随BMI增加,而胶原体积分数相似。结论:在HCM患者中,肥胖与心肌质量增加和原生T1降低相关,可能反映了心脏脂肪变性和纤维化。这一区别强调了通过有针对性的体重管理肥胖相关心肌改变的潜在可逆性。试验注册:本前瞻性队列研究已在中国临床试验注册中心注册(URL: http://www.chictr.org.cn;注册号:ChiCTR1900024094)。
本文章由计算机程序翻译,如有差异,请以英文原文为准。

Effect of obesity on myocardial tissue characteristics in patients with hypertrophic cardiomyopathy: a cardiovascular magnetic resonance-based study.

Effect of obesity on myocardial tissue characteristics in patients with hypertrophic cardiomyopathy: a cardiovascular magnetic resonance-based study.

Effect of obesity on myocardial tissue characteristics in patients with hypertrophic cardiomyopathy: a cardiovascular magnetic resonance-based study.

Effect of obesity on myocardial tissue characteristics in patients with hypertrophic cardiomyopathy: a cardiovascular magnetic resonance-based study.

Background: Obesity is associated with cardiac steatosis in healthy adults and is independently associated with increased left ventricular (LV) mass and could contribute to the progression of heart failure-related composite events in patients with hypertrophic cardiomyopathy (HCM). However, it is unclear whether the increased LV mass is accompanied by increased fibrosis. We aimed to assess the impact of increased body mass index (BMI) on myocardial tissue characteristics in patients with HCM.

Methods: A total of 737 patients with HCM (99 obese, 298 overweight, and 340 normal-weight patients) who underwent cardiovascular magnetic resonance (CMR) imaging were prospectively included. We assessed the relationship between BMI and LV mass, global native T1, extracellular volume, and late gadolinium enhancement (LGE) using CMR. Myocardial tissues from one patient each with obstructive HCM who underwent septal myectomy of the obese, overweight, and normal-weight groups were obtained and stained with red oil O, hematoxylin, and Masson's trichrome.

Results: LV mass index (87.2, interquartile range [IQR]: 71.3 to 113.8, 89.4, IQR:75.5 to 111.5, and 104.7, IQR: 86.4 to 123.4 g/m2, P < 0.001) was higher in obese and overweight patients with HCM than those with normal weight, but the native T1 was decreased in obese patients with HCM (1324±67 ms, 1308±63 ms, and 1298±67 ms, P < 0.001). In addition, there was no significant difference in LGE extent among the three subgroups (normal weight: 3.7%, IQR: 0 to 9.5%, overweight: 2.7%, IQR: 0 to 7.7%, obese: 3.8%, IQR: 0 to 7.2%, P = 0.194). Multivariable linear regression analyses found that BMI was independently associated with global native T1 (β = -1.918, P = 0.005). Furthermore, myocardial tissues stained with oil red O from three patients showed an increasing extent of fat deposits with BMI, whereas collagen volume fractions were similar.

Conclusion: In HCM patients, obesity is associated with increased myocardial mass and decreased native T1, likely reflecting cardiac steatosis in addition to fibrosis. This distinction underscores the potential reversibility of obesity-related myocardial changes through targeted weight management.

Trial registration: This prospective cohort study was registered in the Chinese Clinical Trial Registry (URL: http://www.chictr.org.cn; Registry number: ChiCTR1900024094).

求助全文
通过发布文献求助,成功后即可免费获取论文全文。 去求助
来源期刊
CiteScore
10.90
自引率
12.50%
发文量
61
审稿时长
6-12 weeks
期刊介绍: Journal of Cardiovascular Magnetic Resonance (JCMR) publishes high-quality articles on all aspects of basic, translational and clinical research on the design, development, manufacture, and evaluation of cardiovascular magnetic resonance (CMR) methods applied to the cardiovascular system. Topical areas include, but are not limited to: New applications of magnetic resonance to improve the diagnostic strategies, risk stratification, characterization and management of diseases affecting the cardiovascular system. New methods to enhance or accelerate image acquisition and data analysis. Results of multicenter, or larger single-center studies that provide insight into the utility of CMR. Basic biological perceptions derived by CMR methods.
×
引用
GB/T 7714-2015
复制
MLA
复制
APA
复制
导出至
BibTeX EndNote RefMan NoteFirst NoteExpress
×
提示
您的信息不完整,为了账户安全,请先补充。
现在去补充
×
提示
您因"违规操作"
具体请查看互助需知
我知道了
×
提示
确定
请完成安全验证×
copy
已复制链接
快去分享给好友吧!
我知道了
右上角分享
点击右上角分享
0
联系我们:info@booksci.cn Book学术提供免费学术资源搜索服务,方便国内外学者检索中英文文献。致力于提供最便捷和优质的服务体验。 Copyright © 2023 布克学术 All rights reserved.
京ICP备2023020795号-1
ghs 京公网安备 11010802042870号
Book学术文献互助
Book学术文献互助群
群 号:604180095
Book学术官方微信