通过三重靶向治疗和积极的源头控制有效管理社区获得性MRSA引起的皮肤和软组织感染:1例报告。

IF 2.4 Q2 INFECTIOUS DISEASES
Matteo Laratta, Stefano Agliardi, Matteo Sola, Stefano Spina, Roberto Fumagalli
{"title":"通过三重靶向治疗和积极的源头控制有效管理社区获得性MRSA引起的皮肤和软组织感染:1例报告。","authors":"Matteo Laratta, Stefano Agliardi, Matteo Sola, Stefano Spina, Roberto Fumagalli","doi":"10.3390/idr17020027","DOIUrl":null,"url":null,"abstract":"<p><p><b>Background:</b> Methicillin-resistant <i>Staphylococcus aureus</i> (MRSA) is a significant cause of healthcare-associated infections in Europe. It has become increasingly prevalent in community settings, causing skin and soft tissue infections (SSTIs). Managing community-acquired (CA) MRSA infections is challenging due to its high virulence and resistance to common antibiotics, and prevention outside the hospital setting is complex. Combination therapy has demonstrated efficacy in the treatment of severe MRSA infections. Furthermore, surgical source control is critical in treating CA-MRSA infections, involving removing the primary infection site to interrupt bacterial replication. Timeliness and a correct surgical approach are essential for successful treatment outcomes and improved quality of life. <b>Methods:</b> This report details the case of a 15-year-old athlete who was admitted to the intensive care unit with septic shock caused by CA-MRSA. <b>Results:</b> Despite initial treatment, his condition rapidly worsened. A computed tomography (CT) scan identified multiple abscesses (in the lungs, limbs, thyroid, and subscapular region) along with other complications. To achieve adequate tissue concentrations at all affected sites, a triple-targeted antimicrobial therapy was initiated and adjusted based on therapeutic drug monitoring (TDM). At the same time, daily surgical debridement was performed. The patient responded significantly to this treatment, and blood cultures eventually returned negative. <b>Conclusions:</b> A multidisciplinary approach involving early source control, tailored antimicrobial therapy, and, if monotherapy fails to control infection, combination therapy is advisable to treat life-threatening CA-MRSA infections.</p>","PeriodicalId":13579,"journal":{"name":"Infectious Disease Reports","volume":"17 2","pages":""},"PeriodicalIF":2.4000,"publicationDate":"2025-03-24","publicationTypes":"Journal Article","fieldsOfStudy":null,"isOpenAccess":false,"openAccessPdf":"https://www.ncbi.nlm.nih.gov/pmc/articles/PMC12026867/pdf/","citationCount":"0","resultStr":"{\"title\":\"Effective Management of a Skin and Soft Tissue Infection Caused by Community-Acquired MRSA Through Triple-Targeted Therapy Along with Aggressive Source Control: A Case Report.\",\"authors\":\"Matteo Laratta, Stefano Agliardi, Matteo Sola, Stefano Spina, Roberto Fumagalli\",\"doi\":\"10.3390/idr17020027\",\"DOIUrl\":null,\"url\":null,\"abstract\":\"<p><p><b>Background:</b> Methicillin-resistant <i>Staphylococcus aureus</i> (MRSA) is a significant cause of healthcare-associated infections in Europe. It has become increasingly prevalent in community settings, causing skin and soft tissue infections (SSTIs). Managing community-acquired (CA) MRSA infections is challenging due to its high virulence and resistance to common antibiotics, and prevention outside the hospital setting is complex. Combination therapy has demonstrated efficacy in the treatment of severe MRSA infections. Furthermore, surgical source control is critical in treating CA-MRSA infections, involving removing the primary infection site to interrupt bacterial replication. Timeliness and a correct surgical approach are essential for successful treatment outcomes and improved quality of life. <b>Methods:</b> This report details the case of a 15-year-old athlete who was admitted to the intensive care unit with septic shock caused by CA-MRSA. <b>Results:</b> Despite initial treatment, his condition rapidly worsened. A computed tomography (CT) scan identified multiple abscesses (in the lungs, limbs, thyroid, and subscapular region) along with other complications. To achieve adequate tissue concentrations at all affected sites, a triple-targeted antimicrobial therapy was initiated and adjusted based on therapeutic drug monitoring (TDM). At the same time, daily surgical debridement was performed. The patient responded significantly to this treatment, and blood cultures eventually returned negative. <b>Conclusions:</b> A multidisciplinary approach involving early source control, tailored antimicrobial therapy, and, if monotherapy fails to control infection, combination therapy is advisable to treat life-threatening CA-MRSA infections.</p>\",\"PeriodicalId\":13579,\"journal\":{\"name\":\"Infectious Disease Reports\",\"volume\":\"17 2\",\"pages\":\"\"},\"PeriodicalIF\":2.4000,\"publicationDate\":\"2025-03-24\",\"publicationTypes\":\"Journal Article\",\"fieldsOfStudy\":null,\"isOpenAccess\":false,\"openAccessPdf\":\"https://www.ncbi.nlm.nih.gov/pmc/articles/PMC12026867/pdf/\",\"citationCount\":\"0\",\"resultStr\":null,\"platform\":\"Semanticscholar\",\"paperid\":null,\"PeriodicalName\":\"Infectious Disease Reports\",\"FirstCategoryId\":\"1085\",\"ListUrlMain\":\"https://doi.org/10.3390/idr17020027\",\"RegionNum\":0,\"RegionCategory\":null,\"ArticlePicture\":[],\"TitleCN\":null,\"AbstractTextCN\":null,\"PMCID\":null,\"EPubDate\":\"\",\"PubModel\":\"\",\"JCR\":\"Q2\",\"JCRName\":\"INFECTIOUS DISEASES\",\"Score\":null,\"Total\":0}","platform":"Semanticscholar","paperid":null,"PeriodicalName":"Infectious Disease Reports","FirstCategoryId":"1085","ListUrlMain":"https://doi.org/10.3390/idr17020027","RegionNum":0,"RegionCategory":null,"ArticlePicture":[],"TitleCN":null,"AbstractTextCN":null,"PMCID":null,"EPubDate":"","PubModel":"","JCR":"Q2","JCRName":"INFECTIOUS DISEASES","Score":null,"Total":0}
引用次数: 0

摘要

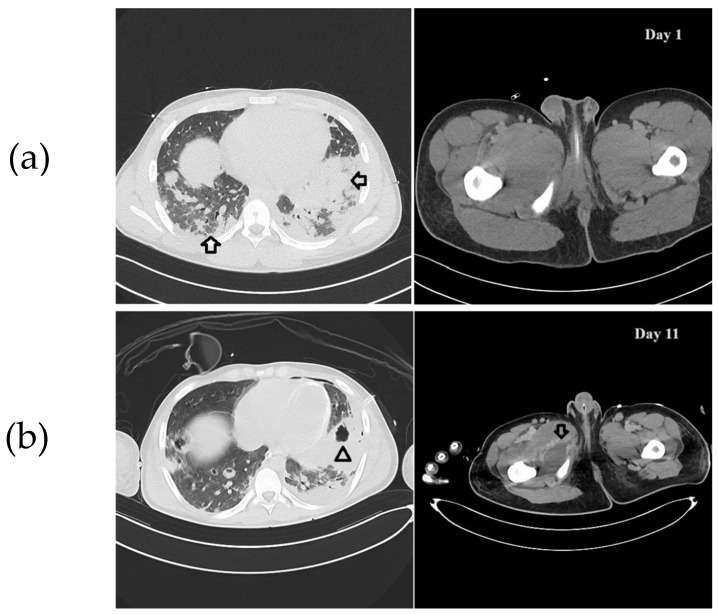
背景:耐甲氧西林金黄色葡萄球菌(MRSA)是欧洲医疗保健相关感染的重要原因。它在社区环境中越来越普遍,引起皮肤和软组织感染(SSTIs)。管理社区获得性(CA) MRSA感染具有挑战性,因为它的高毒力和对常见抗生素的耐药性,并且在医院外的预防是复杂的。联合治疗已证明对严重的MRSA感染有效。此外,手术源控制对于治疗CA-MRSA感染至关重要,包括去除原发感染部位以中断细菌复制。及时和正确的手术方法对于成功的治疗结果和改善生活质量至关重要。方法:本报告详细介绍了一名15岁运动员因CA-MRSA引起的脓毒性休克入住重症监护病房的病例。结果:经治疗后病情迅速恶化。计算机断层扫描(CT)发现多发脓肿(在肺、四肢、甲状腺和肩胛下区域)以及其他并发症。为了在所有受影响部位获得足够的组织浓度,启动了三靶向抗菌治疗,并根据治疗药物监测(TDM)进行了调整。同时每日进行手术清创。患者对这种治疗反应明显,最终血培养结果为阴性。结论:多学科的方法包括早期源头控制,量身定制的抗菌药物治疗,如果单一治疗不能控制感染,建议联合治疗危及生命的CA-MRSA感染。
本文章由计算机程序翻译,如有差异,请以英文原文为准。

Effective Management of a Skin and Soft Tissue Infection Caused by Community-Acquired MRSA Through Triple-Targeted Therapy Along with Aggressive Source Control: A Case Report.

Effective Management of a Skin and Soft Tissue Infection Caused by Community-Acquired MRSA Through Triple-Targeted Therapy Along with Aggressive Source Control: A Case Report.

Effective Management of a Skin and Soft Tissue Infection Caused by Community-Acquired MRSA Through Triple-Targeted Therapy Along with Aggressive Source Control: A Case Report.

Effective Management of a Skin and Soft Tissue Infection Caused by Community-Acquired MRSA Through Triple-Targeted Therapy Along with Aggressive Source Control: A Case Report.

Background: Methicillin-resistant Staphylococcus aureus (MRSA) is a significant cause of healthcare-associated infections in Europe. It has become increasingly prevalent in community settings, causing skin and soft tissue infections (SSTIs). Managing community-acquired (CA) MRSA infections is challenging due to its high virulence and resistance to common antibiotics, and prevention outside the hospital setting is complex. Combination therapy has demonstrated efficacy in the treatment of severe MRSA infections. Furthermore, surgical source control is critical in treating CA-MRSA infections, involving removing the primary infection site to interrupt bacterial replication. Timeliness and a correct surgical approach are essential for successful treatment outcomes and improved quality of life. Methods: This report details the case of a 15-year-old athlete who was admitted to the intensive care unit with septic shock caused by CA-MRSA. Results: Despite initial treatment, his condition rapidly worsened. A computed tomography (CT) scan identified multiple abscesses (in the lungs, limbs, thyroid, and subscapular region) along with other complications. To achieve adequate tissue concentrations at all affected sites, a triple-targeted antimicrobial therapy was initiated and adjusted based on therapeutic drug monitoring (TDM). At the same time, daily surgical debridement was performed. The patient responded significantly to this treatment, and blood cultures eventually returned negative. Conclusions: A multidisciplinary approach involving early source control, tailored antimicrobial therapy, and, if monotherapy fails to control infection, combination therapy is advisable to treat life-threatening CA-MRSA infections.

求助全文
通过发布文献求助,成功后即可免费获取论文全文。 去求助
来源期刊
Infectious Disease Reports
Infectious Disease Reports INFECTIOUS DISEASES-
CiteScore
5.10
自引率
0.00%
发文量
82
审稿时长
11 weeks
×
引用
GB/T 7714-2015
复制
MLA
复制
APA
复制
导出至
BibTeX EndNote RefMan NoteFirst NoteExpress
×
提示
您的信息不完整,为了账户安全,请先补充。
现在去补充
×
提示
您因"违规操作"
具体请查看互助需知
我知道了
×
提示
确定
请完成安全验证×
copy
已复制链接
快去分享给好友吧!
我知道了
右上角分享
点击右上角分享
0
联系我们:info@booksci.cn Book学术提供免费学术资源搜索服务,方便国内外学者检索中英文文献。致力于提供最便捷和优质的服务体验。 Copyright © 2023 布克学术 All rights reserved.
京ICP备2023020795号-1
ghs 京公网安备 11010802042870号
Book学术文献互助
Book学术文献互助群
群 号:604180095
Book学术官方微信