脂质显性毒性肿瘤综合征。

IF 1.3 Q4 OPHTHALMOLOGY
Ocular Oncology and Pathology Pub Date : 2025-04-01 Epub Date: 2024-12-09 DOI:10.1159/000543040
Jose Cijin Puthussery, William Wagner, Arun D Singh
{"title":"脂质显性毒性肿瘤综合征。","authors":"Jose Cijin Puthussery, William Wagner, Arun D Singh","doi":"10.1159/000543040","DOIUrl":null,"url":null,"abstract":"<p><strong>Introduction: </strong>The aim of the study was to describe clinical features of lipid dominant toxic tumor syndrome (TTS) and report outcomes following use of intravitreal steroids.</p><p><strong>Methods: </strong>Records of 13 patients who had lipid dominant TTS following treatment of choroidal melanoma with episcleral plaque brachytherapy (EPB) were retrospectively reviewed. Resolution of lipid exudates, subfoveal subretinal fluid, cystoid macular edema (CME), exudative detachment were main outcome measures.</p><p><strong>Results: </strong>Of the 13 patients who developed lipid dominant TTS, 11 (85%) had medium-sized melanomas, and 2 (15%) small-sized melanomas. The average time to onset following EPB was 22 months (range 3-48 months). Seven patients (54%) were noted to have dyslipidemia. The baseline visual acuity at the time of diagnosis of TTS was 50 ETDRS letters (range 10-85). Ophthalmic characteristics were lipid exudates centered around the tumor base in 13 (100%) patients, subfoveal subretinal fluid in 4 (31%) patients, and CME in 2 (15%) patients. Exudative detachment was absent in all (100%) patients. Regressed melanoma was present in all (100%) patients. Eight (62%) patients were treated with intravitreal steroids (4 mg triamcinolone), while 5 patients (38%) were observed. The response to intravitreal steroids was noted in 7(88%) of the treated patients, with the average time to response being 1.9 months. Features characterizing a positive response were reduction in lipid exudates centered around the tumor base (100%), reduction in subfoveal subretinal fluid (100%), and reduction in CME (50%). Cataract development was seen in 10 (83%) and ocular hypertension in 3 patients (23%). Proliferative radiation retinopathy developed in 2 (15%) patients, neovascular glaucoma developed in 1(8%) while no patients required enucleation.</p><p><strong>Conclusion: </strong>The lipid dominant TTS centered around the tumor base that occurs in a radiation responsive tumor could be considered a chronic variant in the spectrum of TTS. Intravitreal steroids in selected cases reverse the course of this variant, stabilizing or improving the vision and avoiding enucleation. Our observations would need to be verified through a larger prospective study.</p>","PeriodicalId":19434,"journal":{"name":"Ocular Oncology and Pathology","volume":"11 1","pages":"37-45"},"PeriodicalIF":1.3000,"publicationDate":"2025-04-01","publicationTypes":"Journal Article","fieldsOfStudy":null,"isOpenAccess":false,"openAccessPdf":"https://www.ncbi.nlm.nih.gov/pmc/articles/PMC11991737/pdf/","citationCount":"0","resultStr":"{\"title\":\"Lipid Dominant Toxic Tumor Syndrome.\",\"authors\":\"Jose Cijin Puthussery, William Wagner, Arun D Singh\",\"doi\":\"10.1159/000543040\",\"DOIUrl\":null,\"url\":null,\"abstract\":\"<p><strong>Introduction: </strong>The aim of the study was to describe clinical features of lipid dominant toxic tumor syndrome (TTS) and report outcomes following use of intravitreal steroids.</p><p><strong>Methods: </strong>Records of 13 patients who had lipid dominant TTS following treatment of choroidal melanoma with episcleral plaque brachytherapy (EPB) were retrospectively reviewed. Resolution of lipid exudates, subfoveal subretinal fluid, cystoid macular edema (CME), exudative detachment were main outcome measures.</p><p><strong>Results: </strong>Of the 13 patients who developed lipid dominant TTS, 11 (85%) had medium-sized melanomas, and 2 (15%) small-sized melanomas. The average time to onset following EPB was 22 months (range 3-48 months). Seven patients (54%) were noted to have dyslipidemia. The baseline visual acuity at the time of diagnosis of TTS was 50 ETDRS letters (range 10-85). Ophthalmic characteristics were lipid exudates centered around the tumor base in 13 (100%) patients, subfoveal subretinal fluid in 4 (31%) patients, and CME in 2 (15%) patients. Exudative detachment was absent in all (100%) patients. Regressed melanoma was present in all (100%) patients. Eight (62%) patients were treated with intravitreal steroids (4 mg triamcinolone), while 5 patients (38%) were observed. The response to intravitreal steroids was noted in 7(88%) of the treated patients, with the average time to response being 1.9 months. Features characterizing a positive response were reduction in lipid exudates centered around the tumor base (100%), reduction in subfoveal subretinal fluid (100%), and reduction in CME (50%). Cataract development was seen in 10 (83%) and ocular hypertension in 3 patients (23%). Proliferative radiation retinopathy developed in 2 (15%) patients, neovascular glaucoma developed in 1(8%) while no patients required enucleation.</p><p><strong>Conclusion: </strong>The lipid dominant TTS centered around the tumor base that occurs in a radiation responsive tumor could be considered a chronic variant in the spectrum of TTS. Intravitreal steroids in selected cases reverse the course of this variant, stabilizing or improving the vision and avoiding enucleation. Our observations would need to be verified through a larger prospective study.</p>\",\"PeriodicalId\":19434,\"journal\":{\"name\":\"Ocular Oncology and Pathology\",\"volume\":\"11 1\",\"pages\":\"37-45\"},\"PeriodicalIF\":1.3000,\"publicationDate\":\"2025-04-01\",\"publicationTypes\":\"Journal Article\",\"fieldsOfStudy\":null,\"isOpenAccess\":false,\"openAccessPdf\":\"https://www.ncbi.nlm.nih.gov/pmc/articles/PMC11991737/pdf/\",\"citationCount\":\"0\",\"resultStr\":null,\"platform\":\"Semanticscholar\",\"paperid\":null,\"PeriodicalName\":\"Ocular Oncology and Pathology\",\"FirstCategoryId\":\"1085\",\"ListUrlMain\":\"https://doi.org/10.1159/000543040\",\"RegionNum\":0,\"RegionCategory\":null,\"ArticlePicture\":[],\"TitleCN\":null,\"AbstractTextCN\":null,\"PMCID\":null,\"EPubDate\":\"2024/12/9 0:00:00\",\"PubModel\":\"Epub\",\"JCR\":\"Q4\",\"JCRName\":\"OPHTHALMOLOGY\",\"Score\":null,\"Total\":0}","platform":"Semanticscholar","paperid":null,"PeriodicalName":"Ocular Oncology and Pathology","FirstCategoryId":"1085","ListUrlMain":"https://doi.org/10.1159/000543040","RegionNum":0,"RegionCategory":null,"ArticlePicture":[],"TitleCN":null,"AbstractTextCN":null,"PMCID":null,"EPubDate":"2024/12/9 0:00:00","PubModel":"Epub","JCR":"Q4","JCRName":"OPHTHALMOLOGY","Score":null,"Total":0}
引用次数: 0

摘要

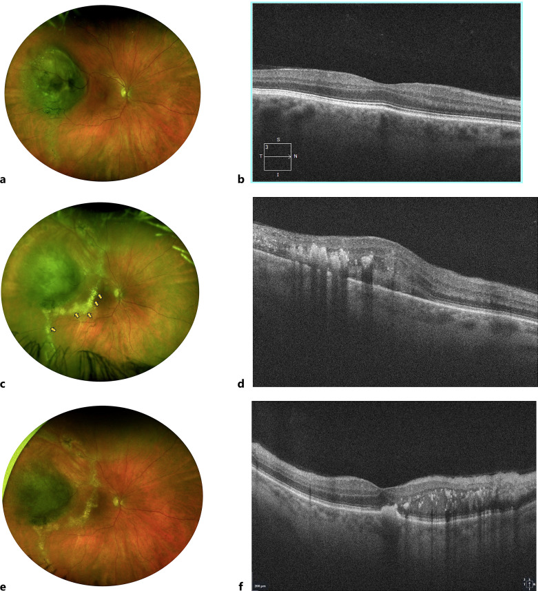
简介:本研究的目的是描述脂质显性毒性肿瘤综合征(TTS)的临床特征,并报告使用玻璃体内类固醇后的结果。方法:回顾性分析13例膜外斑块近距离放疗(EPB)治疗脉络膜黑色素瘤后脂质显性TTS的记录。脂质渗出、中央凹下视网膜下液、囊样黄斑水肿(CME)、渗出性脱离是主要观察指标。结果:在13例脂质显性TTS患者中,11例(85%)为中型黑色素瘤,2例(15%)为小型黑色素瘤。EPB后平均发病时间为22个月(范围3-48个月)。7例患者(54%)出现血脂异常。诊断TTS时的基线视力为50 ETDRS字母(范围10-85)。眼部特征为:13例(100%)患者以肿瘤基底为中心有脂质渗出,4例(31%)患者有中央凹下视网膜下液,2例(15%)患者有CME。所有(100%)患者均无渗出性脱离。所有(100%)患者均存在退行性黑色素瘤。8例(62%)患者接受玻璃体内类固醇(曲安奈德4 mg)治疗,5例(38%)患者接受观察。在接受治疗的患者中,有7人(88%)对玻璃体内类固醇有反应,平均反应时间为1.9个月。阳性反应的特征是肿瘤基底周围脂质渗出物减少(100%),中央凹下视网膜下液减少(100%),CME减少(50%)。10例(83%)出现白内障,3例(23%)出现高眼压。2例(15%)患者发生增殖性放射线视网膜病变,1例(8%)患者发生新生血管性青光眼,没有患者需要摘除眼球。结论:在放射应答性肿瘤中,以肿瘤基底为中心的脂质显性TTS可被认为是TTS谱中的一种慢性变异。在某些情况下,玻璃体内类固醇可以逆转这种变异的过程,稳定或改善视力,避免眼球摘除术。我们的观察结果需要通过更大的前瞻性研究来验证。
本文章由计算机程序翻译,如有差异,请以英文原文为准。

Lipid Dominant Toxic Tumor Syndrome.

Lipid Dominant Toxic Tumor Syndrome.

Lipid Dominant Toxic Tumor Syndrome.

Lipid Dominant Toxic Tumor Syndrome.

Introduction: The aim of the study was to describe clinical features of lipid dominant toxic tumor syndrome (TTS) and report outcomes following use of intravitreal steroids.

Methods: Records of 13 patients who had lipid dominant TTS following treatment of choroidal melanoma with episcleral plaque brachytherapy (EPB) were retrospectively reviewed. Resolution of lipid exudates, subfoveal subretinal fluid, cystoid macular edema (CME), exudative detachment were main outcome measures.

Results: Of the 13 patients who developed lipid dominant TTS, 11 (85%) had medium-sized melanomas, and 2 (15%) small-sized melanomas. The average time to onset following EPB was 22 months (range 3-48 months). Seven patients (54%) were noted to have dyslipidemia. The baseline visual acuity at the time of diagnosis of TTS was 50 ETDRS letters (range 10-85). Ophthalmic characteristics were lipid exudates centered around the tumor base in 13 (100%) patients, subfoveal subretinal fluid in 4 (31%) patients, and CME in 2 (15%) patients. Exudative detachment was absent in all (100%) patients. Regressed melanoma was present in all (100%) patients. Eight (62%) patients were treated with intravitreal steroids (4 mg triamcinolone), while 5 patients (38%) were observed. The response to intravitreal steroids was noted in 7(88%) of the treated patients, with the average time to response being 1.9 months. Features characterizing a positive response were reduction in lipid exudates centered around the tumor base (100%), reduction in subfoveal subretinal fluid (100%), and reduction in CME (50%). Cataract development was seen in 10 (83%) and ocular hypertension in 3 patients (23%). Proliferative radiation retinopathy developed in 2 (15%) patients, neovascular glaucoma developed in 1(8%) while no patients required enucleation.

Conclusion: The lipid dominant TTS centered around the tumor base that occurs in a radiation responsive tumor could be considered a chronic variant in the spectrum of TTS. Intravitreal steroids in selected cases reverse the course of this variant, stabilizing or improving the vision and avoiding enucleation. Our observations would need to be verified through a larger prospective study.

求助全文
通过发布文献求助,成功后即可免费获取论文全文。 去求助
来源期刊
CiteScore
2.40
自引率
0.00%
发文量
20
×
引用
GB/T 7714-2015
复制
MLA
复制
APA
复制
导出至
BibTeX EndNote RefMan NoteFirst NoteExpress
×
提示
您的信息不完整,为了账户安全,请先补充。
现在去补充
×
提示
您因"违规操作"
具体请查看互助需知
我知道了
×
提示
确定
请完成安全验证×
copy
已复制链接
快去分享给好友吧!
我知道了
右上角分享
点击右上角分享
0
联系我们:info@booksci.cn Book学术提供免费学术资源搜索服务,方便国内外学者检索中英文文献。致力于提供最便捷和优质的服务体验。 Copyright © 2023 布克学术 All rights reserved.
京ICP备2023020795号-1
ghs 京公网安备 11010802042870号
Book学术文献互助
Book学术文献互助群
群 号:604180095
Book学术官方微信