评估巴豆膜和坦索罗辛联合治疗良性前列腺增生的安全性。

IF 3 Q2 TOXICOLOGY
Journal of Toxicology Pub Date : 2025-02-28 eCollection Date: 2025-01-01 DOI:10.1155/jt/5574491
Cosmos Gborsong, George A Asare, Robert A Ngala, Christian Obirikorang, Josephine Ablakwa, Bernice Asiedu, Samuel Adjei, Osei Afriyie, Daniel Afriyie, Mokbul Hossain, Munmun Pervin, Md Mahmudul Alam, Mst Antora Akter, Mohammed Habibur Rahman
{"title":"评估巴豆膜和坦索罗辛联合治疗良性前列腺增生的安全性。","authors":"Cosmos Gborsong, George A Asare, Robert A Ngala, Christian Obirikorang, Josephine Ablakwa, Bernice Asiedu, Samuel Adjei, Osei Afriyie, Daniel Afriyie, Mokbul Hossain, Munmun Pervin, Md Mahmudul Alam, Mst Antora Akter, Mohammed Habibur Rahman","doi":"10.1155/jt/5574491","DOIUrl":null,"url":null,"abstract":"<p><p><b>Background:</b> The safety of combining tamsulosin (an allopathic drug) and <i>Croton membranaceus</i> aqueous extract, a medicinal plant for managing benign prostatic hyperplasia (BPH), was investigated. <b>Methods:</b> The roots of <i>CM</i> were used and processed into a water extract by maceration and decoction. Thirty-five Sprague Dawley rats were divided into seven groups of five rats each. Groups 2-7 were orchidectomy/testosterone injections BPH-induced. Group 1 was designated as the control group. Group 2 was designated as the model group (untreated). Group 3 was treated with 0.03 mg/kg b.wt. of tamsulosin. Group 4 received 30 mg/kg b.wt. of <i>CM</i> (low dose [LD]). Group 5 received 300 mg/kg b.wt. of <i>CM</i> (high dose [HD]); Group 6 received 0.03 mg/kg b.wt. of tamsulosin plus 30 mg/kg b.wt. of <i>CM</i>. Group 7 received 0.03 mg/kg b.wt. plus 300 mg/kg b.wt. of <i>CM</i>. Tamsulosin and <i>CM</i> were administered by oral gavage for 28 days. Prostate-specific antigen (PSA) levels, renal and liver function tests, and histology were assessed. <b>Results:</b> PSA decreased after treatment with LD <i>CM</i> (0.44 ± 0.03 ng/mL) and tamsulosin (0.43 ± 0.04 ng/mL) combined, compared with the control group (0.63 ± 0.03 ng/mL) (<i>p</i> < 0.006). Prostate gland/accessory organ weights were as follows: tamsulosin < <i>CM</i> LD < <i>CM</i> HD/T < <i>CM</i> LD/T < <i>CM</i> HD < model. In the <i>CM</i> LD/T group, the acini appeared empty and the acini fluid contained fatty droplets with a slender outer boundary that had very little active mucous surface. At a higher dose, <i>CM</i> HD/T caused a reduction in the sizes and shapes of active acini with most being empty and having little active mucous surfaces. <b>Conclusion:</b> The results suggest that the combination of <i>C. membranaceus</i> and tamsulosin does not provide additional therapeutic benefits for treating BPH. Relative organ weights provide a better evaluation metric than total organ weights.</p>","PeriodicalId":17421,"journal":{"name":"Journal of Toxicology","volume":"2025 ","pages":"5574491"},"PeriodicalIF":3.0000,"publicationDate":"2025-02-28","publicationTypes":"Journal Article","fieldsOfStudy":null,"isOpenAccess":false,"openAccessPdf":"https://www.ncbi.nlm.nih.gov/pmc/articles/PMC11991820/pdf/","citationCount":"0","resultStr":"{\"title\":\"Assessing the Safety of Combined Therapy, <i>Croton membranaceus</i> and Tamsulosin, in the Self-Prescribed Treatment Protocol for Benign Prostatic Hyperplasia.\",\"authors\":\"Cosmos Gborsong, George A Asare, Robert A Ngala, Christian Obirikorang, Josephine Ablakwa, Bernice Asiedu, Samuel Adjei, Osei Afriyie, Daniel Afriyie, Mokbul Hossain, Munmun Pervin, Md Mahmudul Alam, Mst Antora Akter, Mohammed Habibur Rahman\",\"doi\":\"10.1155/jt/5574491\",\"DOIUrl\":null,\"url\":null,\"abstract\":\"<p><p><b>Background:</b> The safety of combining tamsulosin (an allopathic drug) and <i>Croton membranaceus</i> aqueous extract, a medicinal plant for managing benign prostatic hyperplasia (BPH), was investigated. <b>Methods:</b> The roots of <i>CM</i> were used and processed into a water extract by maceration and decoction. Thirty-five Sprague Dawley rats were divided into seven groups of five rats each. Groups 2-7 were orchidectomy/testosterone injections BPH-induced. Group 1 was designated as the control group. Group 2 was designated as the model group (untreated). Group 3 was treated with 0.03 mg/kg b.wt. of tamsulosin. Group 4 received 30 mg/kg b.wt. of <i>CM</i> (low dose [LD]). Group 5 received 300 mg/kg b.wt. of <i>CM</i> (high dose [HD]); Group 6 received 0.03 mg/kg b.wt. of tamsulosin plus 30 mg/kg b.wt. of <i>CM</i>. Group 7 received 0.03 mg/kg b.wt. plus 300 mg/kg b.wt. of <i>CM</i>. Tamsulosin and <i>CM</i> were administered by oral gavage for 28 days. Prostate-specific antigen (PSA) levels, renal and liver function tests, and histology were assessed. <b>Results:</b> PSA decreased after treatment with LD <i>CM</i> (0.44 ± 0.03 ng/mL) and tamsulosin (0.43 ± 0.04 ng/mL) combined, compared with the control group (0.63 ± 0.03 ng/mL) (<i>p</i> < 0.006). Prostate gland/accessory organ weights were as follows: tamsulosin < <i>CM</i> LD < <i>CM</i> HD/T < <i>CM</i> LD/T < <i>CM</i> HD < model. In the <i>CM</i> LD/T group, the acini appeared empty and the acini fluid contained fatty droplets with a slender outer boundary that had very little active mucous surface. At a higher dose, <i>CM</i> HD/T caused a reduction in the sizes and shapes of active acini with most being empty and having little active mucous surfaces. <b>Conclusion:</b> The results suggest that the combination of <i>C. membranaceus</i> and tamsulosin does not provide additional therapeutic benefits for treating BPH. Relative organ weights provide a better evaluation metric than total organ weights.</p>\",\"PeriodicalId\":17421,\"journal\":{\"name\":\"Journal of Toxicology\",\"volume\":\"2025 \",\"pages\":\"5574491\"},\"PeriodicalIF\":3.0000,\"publicationDate\":\"2025-02-28\",\"publicationTypes\":\"Journal Article\",\"fieldsOfStudy\":null,\"isOpenAccess\":false,\"openAccessPdf\":\"https://www.ncbi.nlm.nih.gov/pmc/articles/PMC11991820/pdf/\",\"citationCount\":\"0\",\"resultStr\":null,\"platform\":\"Semanticscholar\",\"paperid\":null,\"PeriodicalName\":\"Journal of Toxicology\",\"FirstCategoryId\":\"3\",\"ListUrlMain\":\"https://doi.org/10.1155/jt/5574491\",\"RegionNum\":0,\"RegionCategory\":null,\"ArticlePicture\":[],\"TitleCN\":null,\"AbstractTextCN\":null,\"PMCID\":null,\"EPubDate\":\"2025/1/1 0:00:00\",\"PubModel\":\"eCollection\",\"JCR\":\"Q2\",\"JCRName\":\"TOXICOLOGY\",\"Score\":null,\"Total\":0}","platform":"Semanticscholar","paperid":null,"PeriodicalName":"Journal of Toxicology","FirstCategoryId":"3","ListUrlMain":"https://doi.org/10.1155/jt/5574491","RegionNum":0,"RegionCategory":null,"ArticlePicture":[],"TitleCN":null,"AbstractTextCN":null,"PMCID":null,"EPubDate":"2025/1/1 0:00:00","PubModel":"eCollection","JCR":"Q2","JCRName":"TOXICOLOGY","Score":null,"Total":0}
引用次数: 0

摘要

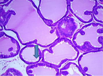
背景:研究了坦索罗辛(一种对抗药)与治疗良性前列腺增生(BPH)的药用植物巴豆水提物联合使用的安全性。方法:以中药根为原料,经浸渍、煎煮加工成水提物。将35只斯普拉格·道利大鼠分为7组,每组5只。2-7组为睾丸切除术/睾酮注射bph诱导组。第一组为对照组。第2组为模型组(未经处理)。第3组以0.03 mg/kg b.wt处理。tamsulosin。第4组给予30 mg/kg b.wt。CM(低剂量[LD])。第5组给予300 mg/kg b.wt。CM(高剂量[HD]);第6组给予0.03 mg/kg b.wt。坦索罗辛加30毫克/公斤体重。的厘米。第7组给予0.03 mg/kg b.wt。加上300毫克/公斤重量。的厘米。坦索罗辛和CM灌胃28 d。评估前列腺特异性抗原(PSA)水平、肾功能和肝功能检查以及组织学。结果:与对照组(0.63±0.03 ng/mL)相比,LD CM联合坦索罗辛(0.43±0.04 ng/mL)治疗后PSA降低(p < 0.006)。前列腺/附属器官重量如下:坦索罗辛组,腺泡呈空状,腺泡液含脂肪小滴,外边界细长,粘液表面活性很小。在较高剂量下,CM HD/T引起活性腺泡的大小和形状减小,大多数是空的,几乎没有活性的粘液表面。结论:膜孢杆菌联合坦索罗辛治疗前列腺增生无额外疗效。相对器官重量比总器官重量提供更好的评价指标。
本文章由计算机程序翻译,如有差异,请以英文原文为准。

Assessing the Safety of Combined Therapy, <i>Croton membranaceus</i> and Tamsulosin, in the Self-Prescribed Treatment Protocol for Benign Prostatic Hyperplasia.

Assessing the Safety of Combined Therapy, <i>Croton membranaceus</i> and Tamsulosin, in the Self-Prescribed Treatment Protocol for Benign Prostatic Hyperplasia.

Assessing the Safety of Combined Therapy, <i>Croton membranaceus</i> and Tamsulosin, in the Self-Prescribed Treatment Protocol for Benign Prostatic Hyperplasia.

Assessing the Safety of Combined Therapy, Croton membranaceus and Tamsulosin, in the Self-Prescribed Treatment Protocol for Benign Prostatic Hyperplasia.

Background: The safety of combining tamsulosin (an allopathic drug) and Croton membranaceus aqueous extract, a medicinal plant for managing benign prostatic hyperplasia (BPH), was investigated. Methods: The roots of CM were used and processed into a water extract by maceration and decoction. Thirty-five Sprague Dawley rats were divided into seven groups of five rats each. Groups 2-7 were orchidectomy/testosterone injections BPH-induced. Group 1 was designated as the control group. Group 2 was designated as the model group (untreated). Group 3 was treated with 0.03 mg/kg b.wt. of tamsulosin. Group 4 received 30 mg/kg b.wt. of CM (low dose [LD]). Group 5 received 300 mg/kg b.wt. of CM (high dose [HD]); Group 6 received 0.03 mg/kg b.wt. of tamsulosin plus 30 mg/kg b.wt. of CM. Group 7 received 0.03 mg/kg b.wt. plus 300 mg/kg b.wt. of CM. Tamsulosin and CM were administered by oral gavage for 28 days. Prostate-specific antigen (PSA) levels, renal and liver function tests, and histology were assessed. Results: PSA decreased after treatment with LD CM (0.44 ± 0.03 ng/mL) and tamsulosin (0.43 ± 0.04 ng/mL) combined, compared with the control group (0.63 ± 0.03 ng/mL) (p < 0.006). Prostate gland/accessory organ weights were as follows: tamsulosin < CM LD < CM HD/T < CM LD/T < CM HD < model. In the CM LD/T group, the acini appeared empty and the acini fluid contained fatty droplets with a slender outer boundary that had very little active mucous surface. At a higher dose, CM HD/T caused a reduction in the sizes and shapes of active acini with most being empty and having little active mucous surfaces. Conclusion: The results suggest that the combination of C. membranaceus and tamsulosin does not provide additional therapeutic benefits for treating BPH. Relative organ weights provide a better evaluation metric than total organ weights.

求助全文
通过发布文献求助,成功后即可免费获取论文全文。 去求助
来源期刊
Journal of Toxicology
Journal of Toxicology TOXICOLOGY-
CiteScore
5.50
自引率
3.40%
发文量
0
审稿时长
10 weeks
期刊介绍: Journal of Toxicology is a peer-reviewed, Open Access journal that publishes original research articles, review articles, and clinical studies in all areas of toxicological sciences. The journal will consider articles looking at the structure, function, and mechanism of agents that are toxic to humans and/or animals, as well as toxicological medicine, risk assessment, safety evaluation, and environmental health.
×
引用
GB/T 7714-2015
复制
MLA
复制
APA
复制
导出至
BibTeX EndNote RefMan NoteFirst NoteExpress
×
提示
您的信息不完整,为了账户安全,请先补充。
现在去补充
×
提示
您因"违规操作"
具体请查看互助需知
我知道了
×
提示
确定
请完成安全验证×
copy
已复制链接
快去分享给好友吧!
我知道了
右上角分享
点击右上角分享
0
联系我们:info@booksci.cn Book学术提供免费学术资源搜索服务,方便国内外学者检索中英文文献。致力于提供最便捷和优质的服务体验。 Copyright © 2023 布克学术 All rights reserved.
京ICP备2023020795号-1
ghs 京公网安备 11010802042870号
Book学术文献互助
Book学术文献互助群
群 号:604180095
Book学术官方微信