母犬囊性和肿瘤性卵巢凝集素的组织化学特征。

IF 1.7 3区 农林科学 Q2 AGRICULTURE, DAIRY & ANIMAL SCIENCE
Juliano P Terra, Thiago B Almeida, Lucas P O Rezende, Claudio G Barbeito, Francisco Acuña, Guilherme R Blume, Rômulo S A Eloi, Letícia B Oliveira, André L R M Santos, Fabiano J F Sant'Ana
{"title":"母犬囊性和肿瘤性卵巢凝集素的组织化学特征。","authors":"Juliano P Terra, Thiago B Almeida, Lucas P O Rezende, Claudio G Barbeito, Francisco Acuña, Guilherme R Blume, Rômulo S A Eloi, Letícia B Oliveira, André L R M Santos, Fabiano J F Sant'Ana","doi":"10.1111/rda.70075","DOIUrl":null,"url":null,"abstract":"<p><p>Studies have demonstrated that many reproductive disorders can compromise the binding pattern of glycosidic residues, mainly in cows and sows. In the current study, the binding pattern of lectins was characterised and compared in normal and pathological ovaries of bitches. Fourteen biotinylated lectins (BSA-1B, Con-A, DBA, LCA, PHA-E, PHA-L, PNA, RCA-1, SBA, SJA, STA, WGA, s-WGA, UEA-1) were used. In ovaries without lesions, the predominant staining for RCA-1 was observed in the zona pellucida (ZP) of initial follicles, in the oocytes of primordial and primary follicles, and in the artery wall. For WGA, the reaction predominated in the mesothelium, in the ZP of secondary follicles, in the corpus luteum (CL) and in the oocyte of secondary follicles. Reactivity for STA was more pronounced in the mesothelium and ZP of developing follicles. The mesothelial cells and the CL were mainly marked for LCA. PHA-L was stained in the mesothelium, CL, and connective stroma, while the lectin PHA-E showed reactivity especially in the stroma, mesothelium, and artery wall. In the cystic ovaries, changes in the reaction of some lectins were noted in various structures adjacent to the cysts. RCA-1 staining was reduced in the ZP and oocyte of primordial, primary, and secondary follicles, while there was an increase of staining in endothelial cells. With WGA lectin, there was a reduction in CL and an increase in endothelial cells. Reactivity to STA was reduced in the ZP of primary and secondary follicles and increased in endothelial cells. LCA was also reduced in the CL and ZP of primary and secondary follicles. For the PHA-L lectin, the staining was reduced in the mesothelial cells, CL, and ZP of the primary follicles, while for PHA-E the reduction occurred in the stroma, oocyte of the primary follicles, and in the GC of the secondary follicles. In all neoplasms analysed (dysgerminoma, granulosa cell tumour, adenocarcinoma), there was also a reduction in reactivity to various lectins, both in the neoplastic cells compared to the cells of origin and in the adjacent non-neoplastic ovarian tissue. The data from the current study suggest that the changes in ovarian glycosidic residues observed in cysts and neoplasms may contribute to infertility in bitches.</p>","PeriodicalId":21035,"journal":{"name":"Reproduction in Domestic Animals","volume":"60 5","pages":"e70075"},"PeriodicalIF":1.7000,"publicationDate":"2025-05-01","publicationTypes":"Journal Article","fieldsOfStudy":null,"isOpenAccess":false,"openAccessPdf":"https://www.ncbi.nlm.nih.gov/pmc/articles/PMC12077062/pdf/","citationCount":"0","resultStr":"{\"title\":\"Lectin-Histochemical Pattern on the Cystic and Neoplastic Ovaries of Bitches.\",\"authors\":\"Juliano P Terra, Thiago B Almeida, Lucas P O Rezende, Claudio G Barbeito, Francisco Acuña, Guilherme R Blume, Rômulo S A Eloi, Letícia B Oliveira, André L R M Santos, Fabiano J F Sant'Ana\",\"doi\":\"10.1111/rda.70075\",\"DOIUrl\":null,\"url\":null,\"abstract\":\"<p><p>Studies have demonstrated that many reproductive disorders can compromise the binding pattern of glycosidic residues, mainly in cows and sows. In the current study, the binding pattern of lectins was characterised and compared in normal and pathological ovaries of bitches. Fourteen biotinylated lectins (BSA-1B, Con-A, DBA, LCA, PHA-E, PHA-L, PNA, RCA-1, SBA, SJA, STA, WGA, s-WGA, UEA-1) were used. In ovaries without lesions, the predominant staining for RCA-1 was observed in the zona pellucida (ZP) of initial follicles, in the oocytes of primordial and primary follicles, and in the artery wall. For WGA, the reaction predominated in the mesothelium, in the ZP of secondary follicles, in the corpus luteum (CL) and in the oocyte of secondary follicles. Reactivity for STA was more pronounced in the mesothelium and ZP of developing follicles. The mesothelial cells and the CL were mainly marked for LCA. PHA-L was stained in the mesothelium, CL, and connective stroma, while the lectin PHA-E showed reactivity especially in the stroma, mesothelium, and artery wall. In the cystic ovaries, changes in the reaction of some lectins were noted in various structures adjacent to the cysts. RCA-1 staining was reduced in the ZP and oocyte of primordial, primary, and secondary follicles, while there was an increase of staining in endothelial cells. With WGA lectin, there was a reduction in CL and an increase in endothelial cells. Reactivity to STA was reduced in the ZP of primary and secondary follicles and increased in endothelial cells. LCA was also reduced in the CL and ZP of primary and secondary follicles. For the PHA-L lectin, the staining was reduced in the mesothelial cells, CL, and ZP of the primary follicles, while for PHA-E the reduction occurred in the stroma, oocyte of the primary follicles, and in the GC of the secondary follicles. In all neoplasms analysed (dysgerminoma, granulosa cell tumour, adenocarcinoma), there was also a reduction in reactivity to various lectins, both in the neoplastic cells compared to the cells of origin and in the adjacent non-neoplastic ovarian tissue. The data from the current study suggest that the changes in ovarian glycosidic residues observed in cysts and neoplasms may contribute to infertility in bitches.</p>\",\"PeriodicalId\":21035,\"journal\":{\"name\":\"Reproduction in Domestic Animals\",\"volume\":\"60 5\",\"pages\":\"e70075\"},\"PeriodicalIF\":1.7000,\"publicationDate\":\"2025-05-01\",\"publicationTypes\":\"Journal Article\",\"fieldsOfStudy\":null,\"isOpenAccess\":false,\"openAccessPdf\":\"https://www.ncbi.nlm.nih.gov/pmc/articles/PMC12077062/pdf/\",\"citationCount\":\"0\",\"resultStr\":null,\"platform\":\"Semanticscholar\",\"paperid\":null,\"PeriodicalName\":\"Reproduction in Domestic Animals\",\"FirstCategoryId\":\"97\",\"ListUrlMain\":\"https://doi.org/10.1111/rda.70075\",\"RegionNum\":3,\"RegionCategory\":\"农林科学\",\"ArticlePicture\":[],\"TitleCN\":null,\"AbstractTextCN\":null,\"PMCID\":null,\"EPubDate\":\"\",\"PubModel\":\"\",\"JCR\":\"Q2\",\"JCRName\":\"AGRICULTURE, DAIRY & ANIMAL SCIENCE\",\"Score\":null,\"Total\":0}","platform":"Semanticscholar","paperid":null,"PeriodicalName":"Reproduction in Domestic Animals","FirstCategoryId":"97","ListUrlMain":"https://doi.org/10.1111/rda.70075","RegionNum":3,"RegionCategory":"农林科学","ArticlePicture":[],"TitleCN":null,"AbstractTextCN":null,"PMCID":null,"EPubDate":"","PubModel":"","JCR":"Q2","JCRName":"AGRICULTURE, DAIRY & ANIMAL SCIENCE","Score":null,"Total":0}
引用次数: 0

摘要

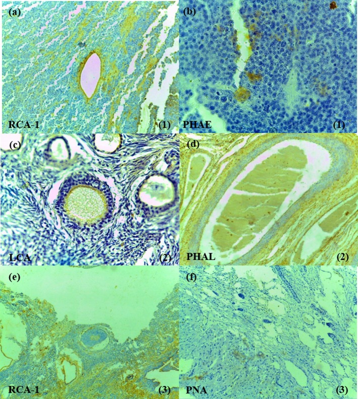
研究表明,许多生殖障碍可损害糖苷残基的结合模式,主要发生在奶牛和母猪身上。本研究对正常和病理母狗卵巢中凝集素的结合模式进行了表征和比较。采用14种生物素化凝集素(BSA-1B、Con-A、DBA、LCA、PHA-E、PHA-L、PNA、RCA-1、SBA、SJA、STA、WGA、s-WGA、UEA-1)。在无病变的卵巢中,RCA-1主要在初始卵泡的透明带(ZP)、原始卵泡和初级卵泡的卵母细胞以及动脉壁中染色。WGA的反应主要发生在间皮层、次级卵泡ZP、黄体(CL)和次级卵泡卵母细胞。STA的反应性在发育卵泡的间皮和ZP中更为明显。LCA以间皮细胞和上皮细胞为主。间皮细胞、上皮细胞和结缔组织基质中可见PHA-L染色,而凝集素PHA-E在间皮细胞、间皮细胞和动脉壁中表现出反应性。在囊性卵巢中,一些凝集素的反应在囊肿附近的各种结构中都有变化。原始、初级和次级卵泡的ZP和卵母细胞的RCA-1染色减少,内皮细胞的RCA-1染色增加。使用WGA凝集素,CL减少,内皮细胞增加。原发性和继发性滤泡的ZP对STA的反应性降低,内皮细胞对STA的反应性增加。原发性和继发性卵泡CL和ZP的LCA也降低。PHA-L凝集素在初代卵泡的间皮细胞、CL和ZP中染色减少,而PHA-E在初代卵泡的基质、卵母细胞和次级卵泡的GC中染色减少。在所有被分析的肿瘤(生殖异常瘤、颗粒细胞瘤、腺癌)中,肿瘤细胞对各种凝集素的反应性也有所降低,与原发细胞和邻近的非肿瘤卵巢组织相比都是如此。目前的研究数据表明,卵巢糖苷残基在囊肿和肿瘤中观察到的变化可能与母狗不孕有关。
本文章由计算机程序翻译,如有差异,请以英文原文为准。

Lectin-Histochemical Pattern on the Cystic and Neoplastic Ovaries of Bitches.

Lectin-Histochemical Pattern on the Cystic and Neoplastic Ovaries of Bitches.

Lectin-Histochemical Pattern on the Cystic and Neoplastic Ovaries of Bitches.

Lectin-Histochemical Pattern on the Cystic and Neoplastic Ovaries of Bitches.

Studies have demonstrated that many reproductive disorders can compromise the binding pattern of glycosidic residues, mainly in cows and sows. In the current study, the binding pattern of lectins was characterised and compared in normal and pathological ovaries of bitches. Fourteen biotinylated lectins (BSA-1B, Con-A, DBA, LCA, PHA-E, PHA-L, PNA, RCA-1, SBA, SJA, STA, WGA, s-WGA, UEA-1) were used. In ovaries without lesions, the predominant staining for RCA-1 was observed in the zona pellucida (ZP) of initial follicles, in the oocytes of primordial and primary follicles, and in the artery wall. For WGA, the reaction predominated in the mesothelium, in the ZP of secondary follicles, in the corpus luteum (CL) and in the oocyte of secondary follicles. Reactivity for STA was more pronounced in the mesothelium and ZP of developing follicles. The mesothelial cells and the CL were mainly marked for LCA. PHA-L was stained in the mesothelium, CL, and connective stroma, while the lectin PHA-E showed reactivity especially in the stroma, mesothelium, and artery wall. In the cystic ovaries, changes in the reaction of some lectins were noted in various structures adjacent to the cysts. RCA-1 staining was reduced in the ZP and oocyte of primordial, primary, and secondary follicles, while there was an increase of staining in endothelial cells. With WGA lectin, there was a reduction in CL and an increase in endothelial cells. Reactivity to STA was reduced in the ZP of primary and secondary follicles and increased in endothelial cells. LCA was also reduced in the CL and ZP of primary and secondary follicles. For the PHA-L lectin, the staining was reduced in the mesothelial cells, CL, and ZP of the primary follicles, while for PHA-E the reduction occurred in the stroma, oocyte of the primary follicles, and in the GC of the secondary follicles. In all neoplasms analysed (dysgerminoma, granulosa cell tumour, adenocarcinoma), there was also a reduction in reactivity to various lectins, both in the neoplastic cells compared to the cells of origin and in the adjacent non-neoplastic ovarian tissue. The data from the current study suggest that the changes in ovarian glycosidic residues observed in cysts and neoplasms may contribute to infertility in bitches.

求助全文
通过发布文献求助,成功后即可免费获取论文全文。 去求助
来源期刊
Reproduction in Domestic Animals
Reproduction in Domestic Animals 农林科学-奶制品与动物科学
CiteScore
3.00
自引率
5.90%
发文量
238
审稿时长
4-8 weeks
期刊介绍: The journal offers comprehensive information concerning physiology, pathology, and biotechnology of reproduction. Topical results are currently published in original papers, reviews, and short communications with particular attention to investigations on practicable techniques. Carefully selected reports, e. g. on embryo transfer and associated biotechnologies, gene transfer, and spermatology provide a link between basic research and clinical application. The journal applies to breeders, veterinarians, and biologists, and is also of interest in human medicine. Interdisciplinary cooperation is documented in the proceedings of the joint annual meetings. Fields of interest: Animal reproduction and biotechnology with special regard to investigations on applied and clinical research.
×
引用
GB/T 7714-2015
复制
MLA
复制
APA
复制
导出至
BibTeX EndNote RefMan NoteFirst NoteExpress
×
提示
您的信息不完整,为了账户安全,请先补充。
现在去补充
×
提示
您因"违规操作"
具体请查看互助需知
我知道了
×
提示
确定
请完成安全验证×
copy
已复制链接
快去分享给好友吧!
我知道了
右上角分享
点击右上角分享
0
联系我们:info@booksci.cn Book学术提供免费学术资源搜索服务,方便国内外学者检索中英文文献。致力于提供最便捷和优质的服务体验。 Copyright © 2023 布克学术 All rights reserved.
京ICP备2023020795号-1
ghs 京公网安备 11010802042870号
Book学术文献互助
Book学术文献互助群
群 号:604180095
Book学术官方微信