继发于伤寒立克次体感染的双侧急性多灶性视网膜炎和视网膜血管炎。

IF 2.3 Q1 OPHTHALMOLOGY
Weilin Song, Adrian Au, David Sarraf, Pradeep Prasad, Edmund Tsui
{"title":"继发于伤寒立克次体感染的双侧急性多灶性视网膜炎和视网膜血管炎。","authors":"Weilin Song, Adrian Au, David Sarraf, Pradeep Prasad, Edmund Tsui","doi":"10.1186/s12348-025-00496-4","DOIUrl":null,"url":null,"abstract":"<p><strong>Purpose: </strong>To describe a case of acute multifocal retinitis (AMR) and retinal vasculitis associated with Rickettsia typhi.</p><p><strong>Methods: </strong>Case report.</p><p><strong>Results: </strong>A 37-year-old previously healthy female presented with acute bilateral panuveitis that was preceded by a febrile illness with pneumonitis and transaminitis. On exam she had bilateral multifocal small white retinal lesions, vascular sheathing, and hemorrhages. The retinal lesions, which appeared consistent with infiltrates and/or ischemia, were confined within the inner or middle retinal layers on optical coherence tomography (OCT) and corresponded to late leakage on fluorescein angiography (FA). There was no evidence of choroidal involvement on indocyanine green angiography (ICGA). Based on the imaging findings and history, the diagnosis of AMR with associated small vessel retinal vasculitis was made and the patient was started empirically on doxycycline. Workup was positive for R. typhi. At follow-up, there was resolution of visual symptoms and nearly all retinal lesions.</p><p><strong>Conclusions: </strong>Rickettsial disease should be highly suspected in a patient with AMR and occlusive small vessel vasculitis. Retinal lesions may be either infiltrative or ischemic in nature. Diagnosis, which can be aided by multimodal retinal imaging, is essential for prompt initiation of appropriate antibiotic therapy.</p>","PeriodicalId":16600,"journal":{"name":"Journal of Ophthalmic Inflammation and Infection","volume":"15 1","pages":"38"},"PeriodicalIF":2.3000,"publicationDate":"2025-04-21","publicationTypes":"Journal Article","fieldsOfStudy":null,"isOpenAccess":false,"openAccessPdf":"https://www.ncbi.nlm.nih.gov/pmc/articles/PMC12011691/pdf/","citationCount":"0","resultStr":"{\"title\":\"Bilateral acute multifocal retinitis and retinal vasculitis secondary to Rickettsia typhi infection.\",\"authors\":\"Weilin Song, Adrian Au, David Sarraf, Pradeep Prasad, Edmund Tsui\",\"doi\":\"10.1186/s12348-025-00496-4\",\"DOIUrl\":null,\"url\":null,\"abstract\":\"<p><strong>Purpose: </strong>To describe a case of acute multifocal retinitis (AMR) and retinal vasculitis associated with Rickettsia typhi.</p><p><strong>Methods: </strong>Case report.</p><p><strong>Results: </strong>A 37-year-old previously healthy female presented with acute bilateral panuveitis that was preceded by a febrile illness with pneumonitis and transaminitis. On exam she had bilateral multifocal small white retinal lesions, vascular sheathing, and hemorrhages. The retinal lesions, which appeared consistent with infiltrates and/or ischemia, were confined within the inner or middle retinal layers on optical coherence tomography (OCT) and corresponded to late leakage on fluorescein angiography (FA). There was no evidence of choroidal involvement on indocyanine green angiography (ICGA). Based on the imaging findings and history, the diagnosis of AMR with associated small vessel retinal vasculitis was made and the patient was started empirically on doxycycline. Workup was positive for R. typhi. At follow-up, there was resolution of visual symptoms and nearly all retinal lesions.</p><p><strong>Conclusions: </strong>Rickettsial disease should be highly suspected in a patient with AMR and occlusive small vessel vasculitis. Retinal lesions may be either infiltrative or ischemic in nature. Diagnosis, which can be aided by multimodal retinal imaging, is essential for prompt initiation of appropriate antibiotic therapy.</p>\",\"PeriodicalId\":16600,\"journal\":{\"name\":\"Journal of Ophthalmic Inflammation and Infection\",\"volume\":\"15 1\",\"pages\":\"38\"},\"PeriodicalIF\":2.3000,\"publicationDate\":\"2025-04-21\",\"publicationTypes\":\"Journal Article\",\"fieldsOfStudy\":null,\"isOpenAccess\":false,\"openAccessPdf\":\"https://www.ncbi.nlm.nih.gov/pmc/articles/PMC12011691/pdf/\",\"citationCount\":\"0\",\"resultStr\":null,\"platform\":\"Semanticscholar\",\"paperid\":null,\"PeriodicalName\":\"Journal of Ophthalmic Inflammation and Infection\",\"FirstCategoryId\":\"1085\",\"ListUrlMain\":\"https://doi.org/10.1186/s12348-025-00496-4\",\"RegionNum\":0,\"RegionCategory\":null,\"ArticlePicture\":[],\"TitleCN\":null,\"AbstractTextCN\":null,\"PMCID\":null,\"EPubDate\":\"\",\"PubModel\":\"\",\"JCR\":\"Q1\",\"JCRName\":\"OPHTHALMOLOGY\",\"Score\":null,\"Total\":0}","platform":"Semanticscholar","paperid":null,"PeriodicalName":"Journal of Ophthalmic Inflammation and Infection","FirstCategoryId":"1085","ListUrlMain":"https://doi.org/10.1186/s12348-025-00496-4","RegionNum":0,"RegionCategory":null,"ArticlePicture":[],"TitleCN":null,"AbstractTextCN":null,"PMCID":null,"EPubDate":"","PubModel":"","JCR":"Q1","JCRName":"OPHTHALMOLOGY","Score":null,"Total":0}
引用次数: 0

摘要

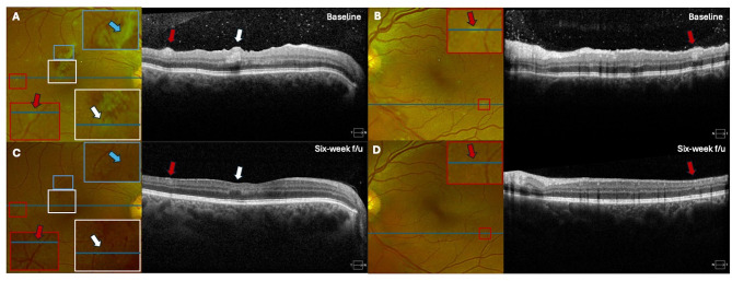
目的:报告一例与伤寒立克次体相关的急性多灶性视网膜炎(AMR)和视网膜血管炎。方法:病例报告。结果:一名37岁的健康女性表现为急性双侧全膜炎,之前有肺炎和转氨炎的发热性疾病。检查发现双侧多灶性白色小视网膜病变、血管鞘和出血。视网膜病变表现为浸润和/或缺血,在光学相干断层扫描(OCT)上局限于视网膜内层或中间层,在荧光素血管造影(FA)上对应于晚期渗漏。吲哚菁绿血管造影(ICGA)未见脉络膜受累。根据影像学表现和病史,诊断为AMR合并小血管视网膜血管炎,并开始经验性给予强力霉素治疗。检查结果为伤寒杆菌阳性。在随访中,视力症状和几乎所有视网膜病变都得到了缓解。结论:AMR合并闭塞性小血管炎患者应高度怀疑立克次体病。视网膜病变可能是浸润性的,也可能是缺血性的。诊断,这可以通过多模态视网膜成像辅助,是必要的及时开始适当的抗生素治疗。
本文章由计算机程序翻译,如有差异,请以英文原文为准。

Bilateral acute multifocal retinitis and retinal vasculitis secondary to Rickettsia typhi infection.

Bilateral acute multifocal retinitis and retinal vasculitis secondary to Rickettsia typhi infection.

Bilateral acute multifocal retinitis and retinal vasculitis secondary to Rickettsia typhi infection.

Bilateral acute multifocal retinitis and retinal vasculitis secondary to Rickettsia typhi infection.

Purpose: To describe a case of acute multifocal retinitis (AMR) and retinal vasculitis associated with Rickettsia typhi.

Methods: Case report.

Results: A 37-year-old previously healthy female presented with acute bilateral panuveitis that was preceded by a febrile illness with pneumonitis and transaminitis. On exam she had bilateral multifocal small white retinal lesions, vascular sheathing, and hemorrhages. The retinal lesions, which appeared consistent with infiltrates and/or ischemia, were confined within the inner or middle retinal layers on optical coherence tomography (OCT) and corresponded to late leakage on fluorescein angiography (FA). There was no evidence of choroidal involvement on indocyanine green angiography (ICGA). Based on the imaging findings and history, the diagnosis of AMR with associated small vessel retinal vasculitis was made and the patient was started empirically on doxycycline. Workup was positive for R. typhi. At follow-up, there was resolution of visual symptoms and nearly all retinal lesions.

Conclusions: Rickettsial disease should be highly suspected in a patient with AMR and occlusive small vessel vasculitis. Retinal lesions may be either infiltrative or ischemic in nature. Diagnosis, which can be aided by multimodal retinal imaging, is essential for prompt initiation of appropriate antibiotic therapy.

求助全文
通过发布文献求助,成功后即可免费获取论文全文。 去求助
来源期刊
CiteScore
3.80
自引率
3.40%
发文量
39
审稿时长
13 weeks
×
引用
GB/T 7714-2015
复制
MLA
复制
APA
复制
导出至
BibTeX EndNote RefMan NoteFirst NoteExpress
×
提示
您的信息不完整,为了账户安全,请先补充。
现在去补充
×
提示
您因"违规操作"
具体请查看互助需知
我知道了
×
提示
确定
请完成安全验证×
copy
已复制链接
快去分享给好友吧!
我知道了
右上角分享
点击右上角分享
0
联系我们:info@booksci.cn Book学术提供免费学术资源搜索服务,方便国内外学者检索中英文文献。致力于提供最便捷和优质的服务体验。 Copyright © 2023 布克学术 All rights reserved.
京ICP备2023020795号-1
ghs 京公网安备 11010802042870号
Book学术文献互助
Book学术文献互助群
群 号:604180095
Book学术官方微信