腹主动脉瘤破裂和腹主动脉瘘:一个高度致命的发现。

IF 1 Q4 PERIPHERAL VASCULAR DISEASE
Jornal Vascular Brasileiro Pub Date : 2025-04-14 eCollection Date: 2025-01-01 DOI:10.1590/1677-5449.202401342
Walter Mario Ángel Jaramillo, Marby Sharyne Forero Gaviria, Romario Chanci Drago, Natalia Guzmán Arango, Natalia Barrera Cuesta, Andrés Gilberto Giraldo Echeverri, Verónica Lucía Malabet Mejía
{"title":"腹主动脉瘤破裂和腹主动脉瘘:一个高度致命的发现。","authors":"Walter Mario Ángel Jaramillo, Marby Sharyne Forero Gaviria, Romario Chanci Drago, Natalia Guzmán Arango, Natalia Barrera Cuesta, Andrés Gilberto Giraldo Echeverri, Verónica Lucía Malabet Mejía","doi":"10.1590/1677-5449.202401342","DOIUrl":null,"url":null,"abstract":"<p><p>Within the spectrum of abdominal aortic aneurysm, various complications can arise, including the development of an arteriovenous fistula connecting this major vessel to the infrarenal inferior vena cava. This report presents the case of a 70-year-old man with sudden, intense abdominal pain and syncope, found intraoperatively to have an aortocaval fistula due to a ruptured abdominal aortic aneurysm. The patient underwent emergency care, including fistula closure and placement of a Dacron aortobifemoral graft. Aortocaval fistula is a rare complication of aortic aneurysmal disease, with clinical manifestations varying depending on disease progression, leading to high morbidity and mortality both before and after surgical or interventional treatment.</p>","PeriodicalId":14814,"journal":{"name":"Jornal Vascular Brasileiro","volume":"24 ","pages":"e20240134"},"PeriodicalIF":1.0000,"publicationDate":"2025-04-14","publicationTypes":"Journal Article","fieldsOfStudy":null,"isOpenAccess":false,"openAccessPdf":"https://www.ncbi.nlm.nih.gov/pmc/articles/PMC11999540/pdf/","citationCount":"0","resultStr":"{\"title\":\"Ruptured abdominal aortic aneurysm and aortocaval fistula: a highly lethal find.\",\"authors\":\"Walter Mario Ángel Jaramillo, Marby Sharyne Forero Gaviria, Romario Chanci Drago, Natalia Guzmán Arango, Natalia Barrera Cuesta, Andrés Gilberto Giraldo Echeverri, Verónica Lucía Malabet Mejía\",\"doi\":\"10.1590/1677-5449.202401342\",\"DOIUrl\":null,\"url\":null,\"abstract\":\"<p><p>Within the spectrum of abdominal aortic aneurysm, various complications can arise, including the development of an arteriovenous fistula connecting this major vessel to the infrarenal inferior vena cava. This report presents the case of a 70-year-old man with sudden, intense abdominal pain and syncope, found intraoperatively to have an aortocaval fistula due to a ruptured abdominal aortic aneurysm. The patient underwent emergency care, including fistula closure and placement of a Dacron aortobifemoral graft. Aortocaval fistula is a rare complication of aortic aneurysmal disease, with clinical manifestations varying depending on disease progression, leading to high morbidity and mortality both before and after surgical or interventional treatment.</p>\",\"PeriodicalId\":14814,\"journal\":{\"name\":\"Jornal Vascular Brasileiro\",\"volume\":\"24 \",\"pages\":\"e20240134\"},\"PeriodicalIF\":1.0000,\"publicationDate\":\"2025-04-14\",\"publicationTypes\":\"Journal Article\",\"fieldsOfStudy\":null,\"isOpenAccess\":false,\"openAccessPdf\":\"https://www.ncbi.nlm.nih.gov/pmc/articles/PMC11999540/pdf/\",\"citationCount\":\"0\",\"resultStr\":null,\"platform\":\"Semanticscholar\",\"paperid\":null,\"PeriodicalName\":\"Jornal Vascular Brasileiro\",\"FirstCategoryId\":\"1085\",\"ListUrlMain\":\"https://doi.org/10.1590/1677-5449.202401342\",\"RegionNum\":0,\"RegionCategory\":null,\"ArticlePicture\":[],\"TitleCN\":null,\"AbstractTextCN\":null,\"PMCID\":null,\"EPubDate\":\"2025/1/1 0:00:00\",\"PubModel\":\"eCollection\",\"JCR\":\"Q4\",\"JCRName\":\"PERIPHERAL VASCULAR DISEASE\",\"Score\":null,\"Total\":0}","platform":"Semanticscholar","paperid":null,"PeriodicalName":"Jornal Vascular Brasileiro","FirstCategoryId":"1085","ListUrlMain":"https://doi.org/10.1590/1677-5449.202401342","RegionNum":0,"RegionCategory":null,"ArticlePicture":[],"TitleCN":null,"AbstractTextCN":null,"PMCID":null,"EPubDate":"2025/1/1 0:00:00","PubModel":"eCollection","JCR":"Q4","JCRName":"PERIPHERAL VASCULAR DISEASE","Score":null,"Total":0}
引用次数: 0

摘要

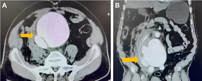
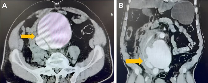
在腹主动脉瘤的范围内,可能出现各种并发症,包括将这条主要血管与肾下腔静脉连接起来的动静脉瘘的发展。本文报告一例70岁男性患者,因腹主动脉瘤破裂而出现突然剧烈腹痛和晕厥,术中发现主动脉腔瘘。患者接受了紧急护理,包括瘘管关闭和放置涤纶主动脉股动脉移植物。主动脉腔瘘是一种罕见的主动脉瘤疾病并发症,其临床表现因疾病进展而异,导致手术或介入治疗前后的高发病率和死亡率。
本文章由计算机程序翻译,如有差异,请以英文原文为准。

Ruptured abdominal aortic aneurysm and aortocaval fistula: a highly lethal find.

Ruptured abdominal aortic aneurysm and aortocaval fistula: a highly lethal find.

Ruptured abdominal aortic aneurysm and aortocaval fistula: a highly lethal find.

Ruptured abdominal aortic aneurysm and aortocaval fistula: a highly lethal find.

Within the spectrum of abdominal aortic aneurysm, various complications can arise, including the development of an arteriovenous fistula connecting this major vessel to the infrarenal inferior vena cava. This report presents the case of a 70-year-old man with sudden, intense abdominal pain and syncope, found intraoperatively to have an aortocaval fistula due to a ruptured abdominal aortic aneurysm. The patient underwent emergency care, including fistula closure and placement of a Dacron aortobifemoral graft. Aortocaval fistula is a rare complication of aortic aneurysmal disease, with clinical manifestations varying depending on disease progression, leading to high morbidity and mortality both before and after surgical or interventional treatment.

求助全文
通过发布文献求助,成功后即可免费获取论文全文。 去求助
来源期刊
Jornal Vascular Brasileiro
Jornal Vascular Brasileiro Medicine-Cardiology and Cardiovascular Medicine
CiteScore
1.20
自引率
0.00%
发文量
57
审稿时长
20 weeks
期刊介绍: The Jornal Vascular Brasileiro is editated and published quaterly to select and disseminate high-quality scientific contents concerning original research, novel surgical and diagnostic techniques, and clinical observations in the field of vascular surgery, angiology, and endovascular surgery. Its abbreviated title is J. Vasc. Bras., which should be used in bibliographies, footnotes and bibliographical references and strips.
×
引用
GB/T 7714-2015
复制
MLA
复制
APA
复制
导出至
BibTeX EndNote RefMan NoteFirst NoteExpress
×
提示
您的信息不完整,为了账户安全,请先补充。
现在去补充
×
提示
您因"违规操作"
具体请查看互助需知
我知道了
×
提示
确定
请完成安全验证×
copy
已复制链接
快去分享给好友吧!
我知道了
右上角分享
点击右上角分享
0
联系我们:info@booksci.cn Book学术提供免费学术资源搜索服务,方便国内外学者检索中英文文献。致力于提供最便捷和优质的服务体验。 Copyright © 2023 布克学术 All rights reserved.
京ICP备2023020795号-1
ghs 京公网安备 11010802042870号
Book学术文献互助
Book学术文献互助群
群 号:604180095
Book学术官方微信