两性霉素B在眼眶毛霉菌病治疗中的术前应用:1例报告。

IF 0.7 Q4 CLINICAL NEUROLOGY
Journal of Neurological Surgery Reports Pub Date : 2025-04-11 eCollection Date: 2025-04-01 DOI:10.1055/a-2558-6468
Russel T Wagner, Jacopo Berardinelli, Melanie B Fukui, Sammy Khalili, Neil S Mundi, Amin B Kassam, Stephen J Winkler
{"title":"两性霉素B在眼眶毛霉菌病治疗中的术前应用:1例报告。","authors":"Russel T Wagner, Jacopo Berardinelli, Melanie B Fukui, Sammy Khalili, Neil S Mundi, Amin B Kassam, Stephen J Winkler","doi":"10.1055/a-2558-6468","DOIUrl":null,"url":null,"abstract":"<p><p>This case report presents a 29-year-old male with diabetes mellitus who developed rhino-orbito-cerebral mucormycosis (ROCM) that was successfully treated with liposomal amphotericin B orbital injections. Despite emergent endoscopic debridement, the patient's disease progressed intracranially and intraorbitally, but he declined further surgical intervention. Subsequently, due to rapid acute vision loss, we initiated transcutaneous retrobulbar amphotericin B (TRAMB) injections. Following these injections, visual acuity, motility, and intraorbital fungal burden improved despite intracranial progression. This report highlights the benefits of TRAMB administration in aggressive fungal infections and explores the mechanisms behind its effectiveness, particularly in globe preservation. By targeting the infection in an area with a relatively robust blood supply, TRAMB reduces surgical difficulty and improves overall outcomes.</p>","PeriodicalId":44256,"journal":{"name":"Journal of Neurological Surgery Reports","volume":"86 2","pages":"e72-e76"},"PeriodicalIF":0.7000,"publicationDate":"2025-04-11","publicationTypes":"Journal Article","fieldsOfStudy":null,"isOpenAccess":false,"openAccessPdf":"https://www.ncbi.nlm.nih.gov/pmc/articles/PMC12020544/pdf/","citationCount":"0","resultStr":"{\"title\":\"Preoperative Administration of Amphotericin B in Orbital Mucormycosis Management: A Case Report.\",\"authors\":\"Russel T Wagner, Jacopo Berardinelli, Melanie B Fukui, Sammy Khalili, Neil S Mundi, Amin B Kassam, Stephen J Winkler\",\"doi\":\"10.1055/a-2558-6468\",\"DOIUrl\":null,\"url\":null,\"abstract\":\"<p><p>This case report presents a 29-year-old male with diabetes mellitus who developed rhino-orbito-cerebral mucormycosis (ROCM) that was successfully treated with liposomal amphotericin B orbital injections. Despite emergent endoscopic debridement, the patient's disease progressed intracranially and intraorbitally, but he declined further surgical intervention. Subsequently, due to rapid acute vision loss, we initiated transcutaneous retrobulbar amphotericin B (TRAMB) injections. Following these injections, visual acuity, motility, and intraorbital fungal burden improved despite intracranial progression. This report highlights the benefits of TRAMB administration in aggressive fungal infections and explores the mechanisms behind its effectiveness, particularly in globe preservation. By targeting the infection in an area with a relatively robust blood supply, TRAMB reduces surgical difficulty and improves overall outcomes.</p>\",\"PeriodicalId\":44256,\"journal\":{\"name\":\"Journal of Neurological Surgery Reports\",\"volume\":\"86 2\",\"pages\":\"e72-e76\"},\"PeriodicalIF\":0.7000,\"publicationDate\":\"2025-04-11\",\"publicationTypes\":\"Journal Article\",\"fieldsOfStudy\":null,\"isOpenAccess\":false,\"openAccessPdf\":\"https://www.ncbi.nlm.nih.gov/pmc/articles/PMC12020544/pdf/\",\"citationCount\":\"0\",\"resultStr\":null,\"platform\":\"Semanticscholar\",\"paperid\":null,\"PeriodicalName\":\"Journal of Neurological Surgery Reports\",\"FirstCategoryId\":\"1085\",\"ListUrlMain\":\"https://doi.org/10.1055/a-2558-6468\",\"RegionNum\":0,\"RegionCategory\":null,\"ArticlePicture\":[],\"TitleCN\":null,\"AbstractTextCN\":null,\"PMCID\":null,\"EPubDate\":\"2025/4/1 0:00:00\",\"PubModel\":\"eCollection\",\"JCR\":\"Q4\",\"JCRName\":\"CLINICAL NEUROLOGY\",\"Score\":null,\"Total\":0}","platform":"Semanticscholar","paperid":null,"PeriodicalName":"Journal of Neurological Surgery Reports","FirstCategoryId":"1085","ListUrlMain":"https://doi.org/10.1055/a-2558-6468","RegionNum":0,"RegionCategory":null,"ArticlePicture":[],"TitleCN":null,"AbstractTextCN":null,"PMCID":null,"EPubDate":"2025/4/1 0:00:00","PubModel":"eCollection","JCR":"Q4","JCRName":"CLINICAL NEUROLOGY","Score":null,"Total":0}
引用次数: 0

摘要

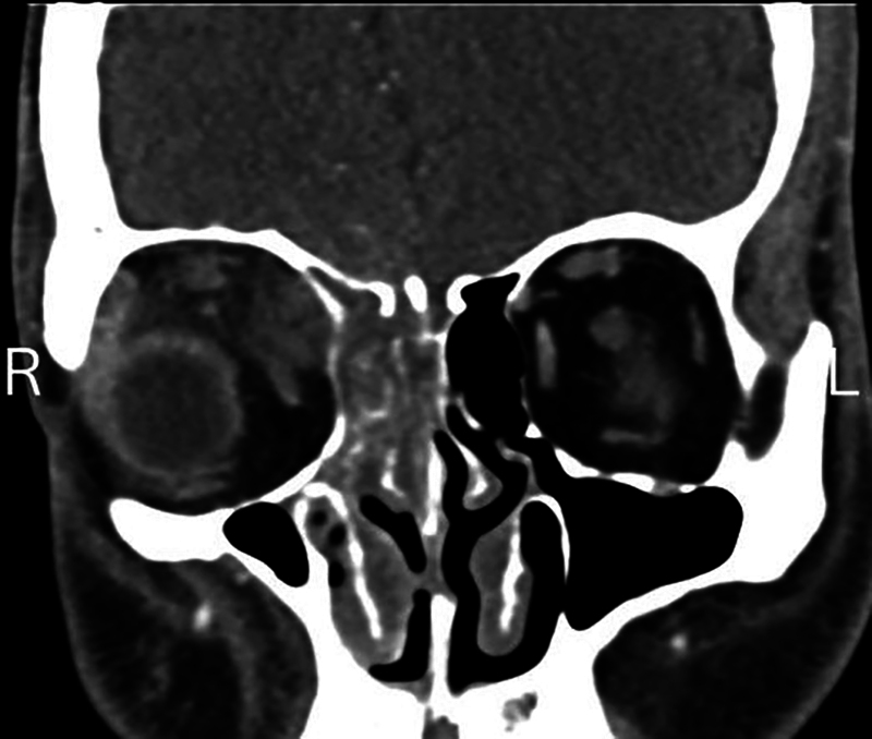
本病例报告一例29岁男性糖尿病患者并发鼻-眶-脑毛霉菌病(ROCM),经两性霉素B脂体眶内注射成功治疗。尽管紧急内镜清创,患者的疾病在颅内和眶内进展,但他拒绝进一步的手术干预。随后,由于急性视力迅速丧失,我们开始经皮球后两性霉素B (TRAMB)注射。注射后,尽管颅内进展,但视力、运动和眶内真菌负荷均有所改善。本报告强调了施用TRAMB治疗侵袭性真菌感染的益处,并探讨了其有效性背后的机制,特别是在全球保存方面。通过靶向血液供应相对稳定的区域的感染,TRAMB降低了手术难度并改善了总体结果。
本文章由计算机程序翻译,如有差异,请以英文原文为准。

Preoperative Administration of Amphotericin B in Orbital Mucormycosis Management: A Case Report.

Preoperative Administration of Amphotericin B in Orbital Mucormycosis Management: A Case Report.

Preoperative Administration of Amphotericin B in Orbital Mucormycosis Management: A Case Report.

Preoperative Administration of Amphotericin B in Orbital Mucormycosis Management: A Case Report.

This case report presents a 29-year-old male with diabetes mellitus who developed rhino-orbito-cerebral mucormycosis (ROCM) that was successfully treated with liposomal amphotericin B orbital injections. Despite emergent endoscopic debridement, the patient's disease progressed intracranially and intraorbitally, but he declined further surgical intervention. Subsequently, due to rapid acute vision loss, we initiated transcutaneous retrobulbar amphotericin B (TRAMB) injections. Following these injections, visual acuity, motility, and intraorbital fungal burden improved despite intracranial progression. This report highlights the benefits of TRAMB administration in aggressive fungal infections and explores the mechanisms behind its effectiveness, particularly in globe preservation. By targeting the infection in an area with a relatively robust blood supply, TRAMB reduces surgical difficulty and improves overall outcomes.

求助全文
通过发布文献求助,成功后即可免费获取论文全文。 去求助
来源期刊
自引率
0.00%
发文量
31
审稿时长
12 weeks
×
引用
GB/T 7714-2015
复制
MLA
复制
APA
复制
导出至
BibTeX EndNote RefMan NoteFirst NoteExpress
×
提示
您的信息不完整,为了账户安全,请先补充。
现在去补充
×
提示
您因"违规操作"
具体请查看互助需知
我知道了
×
提示
确定
请完成安全验证×
copy
已复制链接
快去分享给好友吧!
我知道了
右上角分享
点击右上角分享
0
联系我们:info@booksci.cn Book学术提供免费学术资源搜索服务,方便国内外学者检索中英文文献。致力于提供最便捷和优质的服务体验。 Copyright © 2023 布克学术 All rights reserved.
京ICP备2023020795号-1
ghs 京公网安备 11010802042870号
Book学术文献互助
Book学术文献互助群
群 号:604180095
Book学术官方微信