慢性阻塞性肺疾病并发球虫菌病和脓肿分枝杆菌感染。

IF 0.8 Q3 MEDICINE, GENERAL & INTERNAL
Lakshmi Kattamuri, Angelica Zambrano, Sparsha Reddy Duvvuru, Kunal Sharma, Abhizith Deoker
{"title":"慢性阻塞性肺疾病并发球虫菌病和脓肿分枝杆菌感染。","authors":"Lakshmi Kattamuri, Angelica Zambrano, Sparsha Reddy Duvvuru, Kunal Sharma, Abhizith Deoker","doi":"10.1177/23247096251334229","DOIUrl":null,"url":null,"abstract":"<p><p>Coccidioidomycosis, endemic in the southwestern United States, can lead to severe pulmonary complications, particularly in chronic obstructive pulmonary disease (COPD) patients with poor lung reserves. <i>Mycobacterium abscessus</i> has a predisposition for structurally damaged lungs, commonly causing difficult-to-treat bronchiectasis and cavitary lesions. We present the case of a 58-year-old patient with advanced COPD and a remote history of pulmonary coccidioidomycosis diagnosed 30 years earlier, who was found to have sputum and radiographic evidence of <i>M. abscessus</i> cavitary lung disease 4 years prior to admission, but was lost to follow-up. The current presentation is attributed to the progression of untreated <i>M. abscessus</i> infection and reactivation of latent <i>Coccidioides</i> infection. Despite the initiation of antifungal and antibiotic therapy, the subsequent course was complicated by the development of bronchopleural fistula and worsening respiratory failure, leading to an unfavorable outcome. This case highlights the diagnostic challenges associated with overlapping clinical and radiologic features of concurrent infections and devastating outcomes in patients with COPD. Prompt diagnostic testing and prolonged comprehensive therapy are of paramount importance in managing such complex infections.</p>","PeriodicalId":16198,"journal":{"name":"Journal of investigative medicine high impact case reports","volume":"13 ","pages":"23247096251334229"},"PeriodicalIF":0.8000,"publicationDate":"2025-01-01","publicationTypes":"Journal Article","fieldsOfStudy":null,"isOpenAccess":false,"openAccessPdf":"https://www.ncbi.nlm.nih.gov/pmc/articles/PMC12038191/pdf/","citationCount":"0","resultStr":"{\"title\":\"Concurrent Coccidioidomycosis and <i>Mycobacterium abscessus</i> Infection in Chronic Obstructive Pulmonary Disease.\",\"authors\":\"Lakshmi Kattamuri, Angelica Zambrano, Sparsha Reddy Duvvuru, Kunal Sharma, Abhizith Deoker\",\"doi\":\"10.1177/23247096251334229\",\"DOIUrl\":null,\"url\":null,\"abstract\":\"<p><p>Coccidioidomycosis, endemic in the southwestern United States, can lead to severe pulmonary complications, particularly in chronic obstructive pulmonary disease (COPD) patients with poor lung reserves. <i>Mycobacterium abscessus</i> has a predisposition for structurally damaged lungs, commonly causing difficult-to-treat bronchiectasis and cavitary lesions. We present the case of a 58-year-old patient with advanced COPD and a remote history of pulmonary coccidioidomycosis diagnosed 30 years earlier, who was found to have sputum and radiographic evidence of <i>M. abscessus</i> cavitary lung disease 4 years prior to admission, but was lost to follow-up. The current presentation is attributed to the progression of untreated <i>M. abscessus</i> infection and reactivation of latent <i>Coccidioides</i> infection. Despite the initiation of antifungal and antibiotic therapy, the subsequent course was complicated by the development of bronchopleural fistula and worsening respiratory failure, leading to an unfavorable outcome. This case highlights the diagnostic challenges associated with overlapping clinical and radiologic features of concurrent infections and devastating outcomes in patients with COPD. Prompt diagnostic testing and prolonged comprehensive therapy are of paramount importance in managing such complex infections.</p>\",\"PeriodicalId\":16198,\"journal\":{\"name\":\"Journal of investigative medicine high impact case reports\",\"volume\":\"13 \",\"pages\":\"23247096251334229\"},\"PeriodicalIF\":0.8000,\"publicationDate\":\"2025-01-01\",\"publicationTypes\":\"Journal Article\",\"fieldsOfStudy\":null,\"isOpenAccess\":false,\"openAccessPdf\":\"https://www.ncbi.nlm.nih.gov/pmc/articles/PMC12038191/pdf/\",\"citationCount\":\"0\",\"resultStr\":null,\"platform\":\"Semanticscholar\",\"paperid\":null,\"PeriodicalName\":\"Journal of investigative medicine high impact case reports\",\"FirstCategoryId\":\"1085\",\"ListUrlMain\":\"https://doi.org/10.1177/23247096251334229\",\"RegionNum\":0,\"RegionCategory\":null,\"ArticlePicture\":[],\"TitleCN\":null,\"AbstractTextCN\":null,\"PMCID\":null,\"EPubDate\":\"2025/4/28 0:00:00\",\"PubModel\":\"Epub\",\"JCR\":\"Q3\",\"JCRName\":\"MEDICINE, GENERAL & INTERNAL\",\"Score\":null,\"Total\":0}","platform":"Semanticscholar","paperid":null,"PeriodicalName":"Journal of investigative medicine high impact case reports","FirstCategoryId":"1085","ListUrlMain":"https://doi.org/10.1177/23247096251334229","RegionNum":0,"RegionCategory":null,"ArticlePicture":[],"TitleCN":null,"AbstractTextCN":null,"PMCID":null,"EPubDate":"2025/4/28 0:00:00","PubModel":"Epub","JCR":"Q3","JCRName":"MEDICINE, GENERAL & INTERNAL","Score":null,"Total":0}
引用次数: 0

摘要

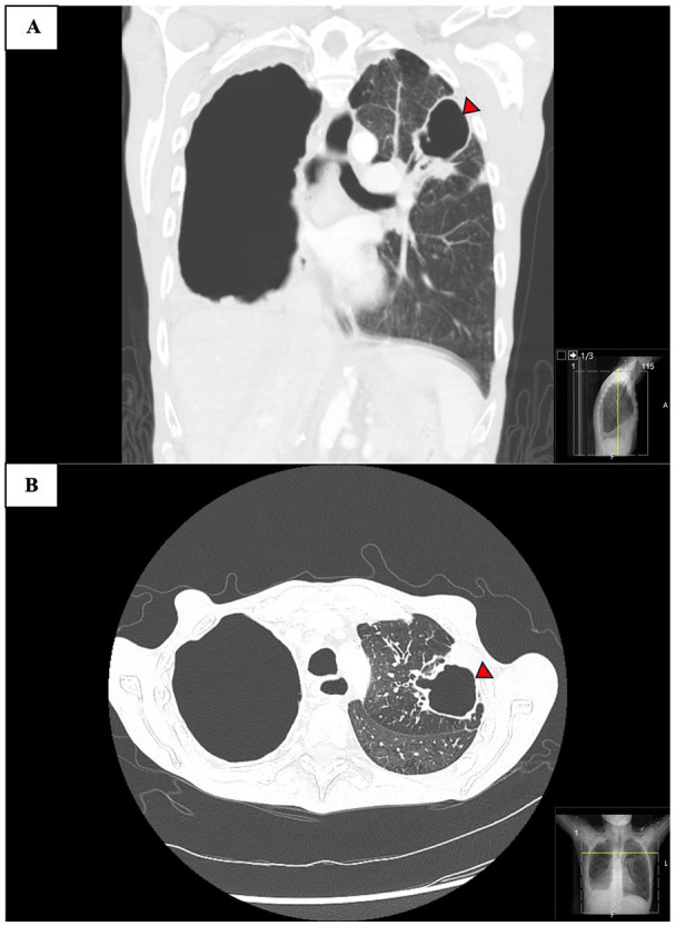
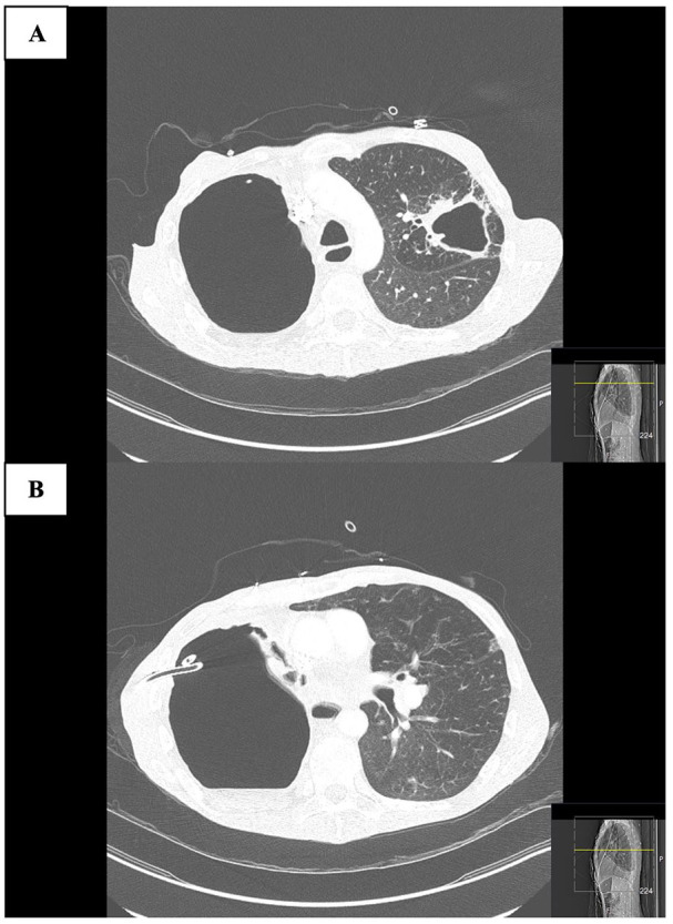
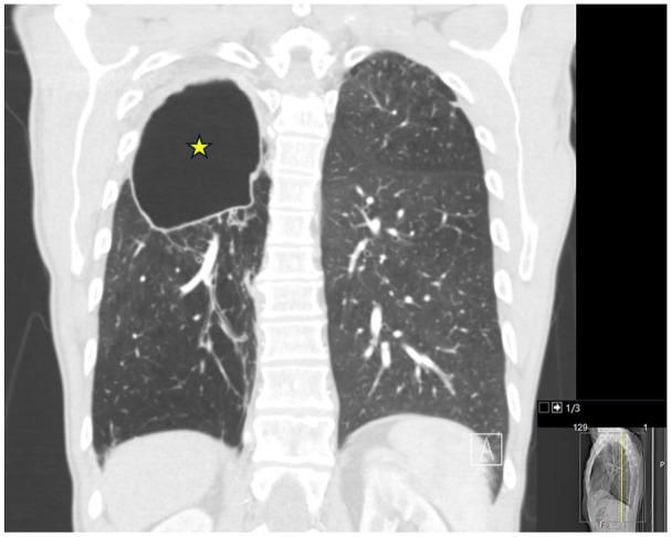
球孢子菌病是美国西南部的一种地方性疾病,可导致严重的肺部并发症,尤其是肺储备不良的慢性阻塞性肺疾病(COPD)患者。脓肿分枝杆菌易造成肺部结构性损伤,通常引起难以治疗的支气管扩张和空洞病变。我们报告一例58岁晚期慢性阻塞性肺病患者,30年前诊断为肺球虫菌病,入院前4年发现有脓疡分枝杆菌空洞性肺病的痰液和影像学证据,但未能随访。目前的表现是由于未经治疗的脓肿分枝杆菌感染的进展和潜伏的球虫感染的再激活。尽管开始进行抗真菌和抗生素治疗,但随后的过程因支气管胸膜瘘的发展和呼吸衰竭的恶化而复杂化,导致不利的结果。该病例强调了慢性阻塞性肺病患者并发感染的重叠临床和放射学特征以及破坏性结局相关的诊断挑战。及时的诊断检测和长期的综合治疗对于管理这种复杂的感染至关重要。
本文章由计算机程序翻译,如有差异,请以英文原文为准。

Concurrent Coccidioidomycosis and <i>Mycobacterium abscessus</i> Infection in Chronic Obstructive Pulmonary Disease.

Concurrent Coccidioidomycosis and <i>Mycobacterium abscessus</i> Infection in Chronic Obstructive Pulmonary Disease.

Concurrent Coccidioidomycosis and <i>Mycobacterium abscessus</i> Infection in Chronic Obstructive Pulmonary Disease.

Concurrent Coccidioidomycosis and Mycobacterium abscessus Infection in Chronic Obstructive Pulmonary Disease.

Coccidioidomycosis, endemic in the southwestern United States, can lead to severe pulmonary complications, particularly in chronic obstructive pulmonary disease (COPD) patients with poor lung reserves. Mycobacterium abscessus has a predisposition for structurally damaged lungs, commonly causing difficult-to-treat bronchiectasis and cavitary lesions. We present the case of a 58-year-old patient with advanced COPD and a remote history of pulmonary coccidioidomycosis diagnosed 30 years earlier, who was found to have sputum and radiographic evidence of M. abscessus cavitary lung disease 4 years prior to admission, but was lost to follow-up. The current presentation is attributed to the progression of untreated M. abscessus infection and reactivation of latent Coccidioides infection. Despite the initiation of antifungal and antibiotic therapy, the subsequent course was complicated by the development of bronchopleural fistula and worsening respiratory failure, leading to an unfavorable outcome. This case highlights the diagnostic challenges associated with overlapping clinical and radiologic features of concurrent infections and devastating outcomes in patients with COPD. Prompt diagnostic testing and prolonged comprehensive therapy are of paramount importance in managing such complex infections.

求助全文
通过发布文献求助,成功后即可免费获取论文全文。 去求助
来源期刊
CiteScore
1.90
自引率
0.00%
发文量
165
审稿时长
12 weeks
期刊介绍: The AFMR is committed to enhancing the training and career development of our members and to furthering its mission to facilitate the conduct of research to improve medical care. Case reports represent an important avenue for trainees (interns, residents, and fellows) and early-stage faculty to demonstrate productive, scholarly activity.
×
引用
GB/T 7714-2015
复制
MLA
复制
APA
复制
导出至
BibTeX EndNote RefMan NoteFirst NoteExpress
×
提示
您的信息不完整,为了账户安全,请先补充。
现在去补充
×
提示
您因"违规操作"
具体请查看互助需知
我知道了
×
提示
确定
请完成安全验证×
copy
已复制链接
快去分享给好友吧!
我知道了
右上角分享
点击右上角分享
0
联系我们:info@booksci.cn Book学术提供免费学术资源搜索服务,方便国内外学者检索中英文文献。致力于提供最便捷和优质的服务体验。 Copyright © 2023 布克学术 All rights reserved.
京ICP备2023020795号-1
ghs 京公网安备 11010802042870号
Book学术文献互助
Book学术文献互助群
群 号:604180095
Book学术官方微信