Pasireotide作为一线药物治疗肢端肥大症患者。

IF 3.4 2区 医学 Q2 ENDOCRINOLOGY & METABOLISM
Nicoleta C Olarescu, Anders P Jørgensen, Shahriar Atai, Markus K H Wiedmann, Daniel Dahlberg, Jens Bollerslev, Ansgar Heck
{"title":"Pasireotide作为一线药物治疗肢端肥大症患者。","authors":"Nicoleta C Olarescu, Anders P Jørgensen, Shahriar Atai, Markus K H Wiedmann, Daniel Dahlberg, Jens Bollerslev, Ansgar Heck","doi":"10.1007/s11102-025-01514-3","DOIUrl":null,"url":null,"abstract":"<p><strong>Background and purpose: </strong>In acromegaly, growth hormone (GH) excess and pituitary tumours are typically managed through transsphenoidal surgery, often in combination with somatostatin receptor ligands (SRLs) given either before or following surgery. Although first-generation SRLs (lanreotide and octreotide) are efficacious in many patients, some exhibit resistance.</p><p><strong>Methods: </strong>We present the efficacy of the second-generation SRL, pasireotide, in six patients anticipated to be resistant to first-generation SRLs. The patients had large, hyperintense tumors on T2-weighted MRI and sparse granulation pattern by histology.</p><p><strong>Results: </strong>Over three to eight months, pasireotide reduced tumour volume in all patients and improved GH and IGF-1 levels. Visual field defects normalised. Despite hyperglycemia, requiring antidiabetic treatment in two patients, pasireotide proved effective as a first pharmacological therapy.</p><p><strong>Conclusion: </strong>This series supports the use of pasireotide for rapid tumour control and GH reduction, in selected patients with complex and large tumours, likely to be resistant to first-generation SRLs. This approach expands the therapeutic options for managing the most challenging cases enhancing the potential for other subsequent treatment modalities.</p>","PeriodicalId":20202,"journal":{"name":"Pituitary","volume":"28 3","pages":"48"},"PeriodicalIF":3.4000,"publicationDate":"2025-04-11","publicationTypes":"Journal Article","fieldsOfStudy":null,"isOpenAccess":false,"openAccessPdf":"https://www.ncbi.nlm.nih.gov/pmc/articles/PMC11991941/pdf/","citationCount":"0","resultStr":"{\"title\":\"Pasireotide as first line medical therapy for selected patients with acromegaly.\",\"authors\":\"Nicoleta C Olarescu, Anders P Jørgensen, Shahriar Atai, Markus K H Wiedmann, Daniel Dahlberg, Jens Bollerslev, Ansgar Heck\",\"doi\":\"10.1007/s11102-025-01514-3\",\"DOIUrl\":null,\"url\":null,\"abstract\":\"<p><strong>Background and purpose: </strong>In acromegaly, growth hormone (GH) excess and pituitary tumours are typically managed through transsphenoidal surgery, often in combination with somatostatin receptor ligands (SRLs) given either before or following surgery. Although first-generation SRLs (lanreotide and octreotide) are efficacious in many patients, some exhibit resistance.</p><p><strong>Methods: </strong>We present the efficacy of the second-generation SRL, pasireotide, in six patients anticipated to be resistant to first-generation SRLs. The patients had large, hyperintense tumors on T2-weighted MRI and sparse granulation pattern by histology.</p><p><strong>Results: </strong>Over three to eight months, pasireotide reduced tumour volume in all patients and improved GH and IGF-1 levels. Visual field defects normalised. Despite hyperglycemia, requiring antidiabetic treatment in two patients, pasireotide proved effective as a first pharmacological therapy.</p><p><strong>Conclusion: </strong>This series supports the use of pasireotide for rapid tumour control and GH reduction, in selected patients with complex and large tumours, likely to be resistant to first-generation SRLs. This approach expands the therapeutic options for managing the most challenging cases enhancing the potential for other subsequent treatment modalities.</p>\",\"PeriodicalId\":20202,\"journal\":{\"name\":\"Pituitary\",\"volume\":\"28 3\",\"pages\":\"48\"},\"PeriodicalIF\":3.4000,\"publicationDate\":\"2025-04-11\",\"publicationTypes\":\"Journal Article\",\"fieldsOfStudy\":null,\"isOpenAccess\":false,\"openAccessPdf\":\"https://www.ncbi.nlm.nih.gov/pmc/articles/PMC11991941/pdf/\",\"citationCount\":\"0\",\"resultStr\":null,\"platform\":\"Semanticscholar\",\"paperid\":null,\"PeriodicalName\":\"Pituitary\",\"FirstCategoryId\":\"3\",\"ListUrlMain\":\"https://doi.org/10.1007/s11102-025-01514-3\",\"RegionNum\":2,\"RegionCategory\":\"医学\",\"ArticlePicture\":[],\"TitleCN\":null,\"AbstractTextCN\":null,\"PMCID\":null,\"EPubDate\":\"\",\"PubModel\":\"\",\"JCR\":\"Q2\",\"JCRName\":\"ENDOCRINOLOGY & METABOLISM\",\"Score\":null,\"Total\":0}","platform":"Semanticscholar","paperid":null,"PeriodicalName":"Pituitary","FirstCategoryId":"3","ListUrlMain":"https://doi.org/10.1007/s11102-025-01514-3","RegionNum":2,"RegionCategory":"医学","ArticlePicture":[],"TitleCN":null,"AbstractTextCN":null,"PMCID":null,"EPubDate":"","PubModel":"","JCR":"Q2","JCRName":"ENDOCRINOLOGY & METABOLISM","Score":null,"Total":0}
引用次数: 0

摘要

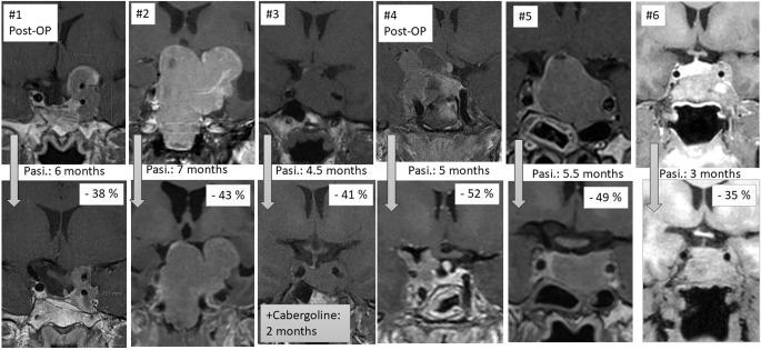
背景和目的:在肢端肥大症中,生长激素(GH)过量和垂体肿瘤通常通过经蝶窦手术治疗,通常与术前或术后给予生长抑素受体配体(srl)联合治疗。虽然第一代srl (lanreotide和octreotide)对许多患者有效,但有些患者表现出耐药性。方法:我们报告了第二代SRL pasireotide在6例预计对第一代SRL耐药的患者中的疗效。患者在t2加权MRI上表现为大而高强度的肿瘤,组织学上表现为稀疏的肉芽样。结果:在3到8个月的时间里,pasireotide减少了所有患者的肿瘤体积,提高了GH和IGF-1水平。视野缺损归一化。尽管有两名患者患有高血糖,需要抗糖尿病治疗,帕西罗肽被证明是有效的第一药物治疗。结论:该系列研究支持pasireotide用于快速肿瘤控制和GH降低,特别是对于可能对第一代srl具有耐药性的复杂和大肿瘤患者。这种方法扩大了治疗选择,以管理最具挑战性的病例,增强了其他后续治疗方式的潜力。
本文章由计算机程序翻译,如有差异,请以英文原文为准。

Pasireotide as first line medical therapy for selected patients with acromegaly.

Pasireotide as first line medical therapy for selected patients with acromegaly.

Background and purpose: In acromegaly, growth hormone (GH) excess and pituitary tumours are typically managed through transsphenoidal surgery, often in combination with somatostatin receptor ligands (SRLs) given either before or following surgery. Although first-generation SRLs (lanreotide and octreotide) are efficacious in many patients, some exhibit resistance.

Methods: We present the efficacy of the second-generation SRL, pasireotide, in six patients anticipated to be resistant to first-generation SRLs. The patients had large, hyperintense tumors on T2-weighted MRI and sparse granulation pattern by histology.

Results: Over three to eight months, pasireotide reduced tumour volume in all patients and improved GH and IGF-1 levels. Visual field defects normalised. Despite hyperglycemia, requiring antidiabetic treatment in two patients, pasireotide proved effective as a first pharmacological therapy.

Conclusion: This series supports the use of pasireotide for rapid tumour control and GH reduction, in selected patients with complex and large tumours, likely to be resistant to first-generation SRLs. This approach expands the therapeutic options for managing the most challenging cases enhancing the potential for other subsequent treatment modalities.

求助全文
通过发布文献求助,成功后即可免费获取论文全文。 去求助
来源期刊
Pituitary
Pituitary 医学-内分泌学与代谢
CiteScore
7.10
自引率
7.90%
发文量
90
审稿时长
6 months
期刊介绍: Pituitary is an international publication devoted to basic and clinical aspects of the pituitary gland. It is designed to publish original, high quality research in both basic and pituitary function as well as clinical pituitary disease. The journal considers: Biology of Pituitary Tumors Mechanisms of Pituitary Hormone Secretion Regulation of Pituitary Function Prospective Clinical Studies of Pituitary Disease Critical Basic and Clinical Reviews Pituitary is directed at basic investigators, physiologists, clinical adult and pediatric endocrinologists, neurosurgeons and reproductive endocrinologists interested in the broad field of the pituitary and its disorders. The Editorial Board has been drawn from international experts in basic and clinical endocrinology. The journal offers a rapid turnaround time for review of manuscripts, and the high standard of the journal is maintained by a selective peer-review process which aims to publish only the highest quality manuscripts. Pituitary will foster the publication of creative scholarship as it pertains to the pituitary and will provide a forum for basic scientists and clinicians to publish their high quality pituitary-related work.
×
引用
GB/T 7714-2015
复制
MLA
复制
APA
复制
导出至
BibTeX EndNote RefMan NoteFirst NoteExpress
×
提示
您的信息不完整,为了账户安全,请先补充。
现在去补充
×
提示
您因"违规操作"
具体请查看互助需知
我知道了
×
提示
确定
请完成安全验证×
copy
已复制链接
快去分享给好友吧!
我知道了
右上角分享
点击右上角分享
0
联系我们:info@booksci.cn Book学术提供免费学术资源搜索服务,方便国内外学者检索中英文文献。致力于提供最便捷和优质的服务体验。 Copyright © 2023 布克学术 All rights reserved.
京ICP备2023020795号-1
ghs 京公网安备 11010802042870号
Book学术文献互助
Book学术文献互助群
群 号:604180095
Book学术官方微信