乳腺细针抽吸器的横滨分类及其与组织病理学的相关性。

IF 1.7 Q4 ONCOLOGY
Vishal Rohilla, Parveen Kundu, Monika Gathwal, Pushpendra Malik, Chiranjeev Gathwal, Sunaina Hooda
{"title":"乳腺细针抽吸器的横滨分类及其与组织病理学的相关性。","authors":"Vishal Rohilla, Parveen Kundu, Monika Gathwal, Pushpendra Malik, Chiranjeev Gathwal, Sunaina Hooda","doi":"10.4274/ejbh.galenos.2025.2024-11-4","DOIUrl":null,"url":null,"abstract":"<p><strong>Objective: </strong>Breast cancer is the most prevalent cancer among women worldwide. In developing countries, fine needle aspiration cytology (FNAC) is commonly used for screening to reduce mortality rates. The International Academy of Cytology has established the Yokohama system to enhance diagnostic clarity and communication between pathologists and clinicians. A triple test approach, incorporating clinical evaluation, imaging, and FNAC, can further improve patient care for breast lesions and may enhance the Yokohama System's effectiveness.</p><p><strong>Materials and methods: </strong>A prospective study about breast FNAC was done over a period of one year, from October 2022 to September 2023. The study involved patients with breast lesion referred for FNAC in the department of Pathology. The FNAC results were further classified using the Yokohama system for reporting breast cytopathology, 2016. The cytological findings were correlated with available histopathological results.</p><p><strong>Results: </strong>In the study of 104 cases, 60 (57.7%) of whom had available histopathology results, breast lesions were categorized using the Yokohama system as: 7.7% insufficient, 47.1% benign, 26.9% atypical, 2.9% suspicious of malignancy, and 15.4% malignant. The risk of malignancy varied by category: 0% for category 1, 3.2% for category 2, 47% for category 3, and 100% for categories 4 and 5. The maximum sensitivity was 94.7% when considering atypical, suspicious, and malignant cases as positive. The highest specificity was 97.56% for malignant cases alone, while the best diagnostic accuracy was 83.3% when both malignant and suspicious cases were counted as positive.</p><p><strong>Conclusion: </strong>The Yokohama system effectively classified borderline lesions, facilitating early detection and improved management options. By integrating FNAC with standardized reporting, healthcare providers can make informed decisions, enhancing the diagnosis and treatment of breast lesions.</p>","PeriodicalId":93996,"journal":{"name":"European journal of breast health","volume":" ","pages":"237-245"},"PeriodicalIF":1.7000,"publicationDate":"2025-06-20","publicationTypes":"Journal Article","fieldsOfStudy":null,"isOpenAccess":false,"openAccessPdf":"https://www.ncbi.nlm.nih.gov/pmc/articles/PMC12180108/pdf/","citationCount":"0","resultStr":"{\"title\":\"Categorization of Breast Fine Needle Aspirates Using Yokohama Classification and Its Correlation With Histopathological Findings.\",\"authors\":\"Vishal Rohilla, Parveen Kundu, Monika Gathwal, Pushpendra Malik, Chiranjeev Gathwal, Sunaina Hooda\",\"doi\":\"10.4274/ejbh.galenos.2025.2024-11-4\",\"DOIUrl\":null,\"url\":null,\"abstract\":\"<p><strong>Objective: </strong>Breast cancer is the most prevalent cancer among women worldwide. In developing countries, fine needle aspiration cytology (FNAC) is commonly used for screening to reduce mortality rates. The International Academy of Cytology has established the Yokohama system to enhance diagnostic clarity and communication between pathologists and clinicians. A triple test approach, incorporating clinical evaluation, imaging, and FNAC, can further improve patient care for breast lesions and may enhance the Yokohama System's effectiveness.</p><p><strong>Materials and methods: </strong>A prospective study about breast FNAC was done over a period of one year, from October 2022 to September 2023. The study involved patients with breast lesion referred for FNAC in the department of Pathology. The FNAC results were further classified using the Yokohama system for reporting breast cytopathology, 2016. The cytological findings were correlated with available histopathological results.</p><p><strong>Results: </strong>In the study of 104 cases, 60 (57.7%) of whom had available histopathology results, breast lesions were categorized using the Yokohama system as: 7.7% insufficient, 47.1% benign, 26.9% atypical, 2.9% suspicious of malignancy, and 15.4% malignant. The risk of malignancy varied by category: 0% for category 1, 3.2% for category 2, 47% for category 3, and 100% for categories 4 and 5. The maximum sensitivity was 94.7% when considering atypical, suspicious, and malignant cases as positive. The highest specificity was 97.56% for malignant cases alone, while the best diagnostic accuracy was 83.3% when both malignant and suspicious cases were counted as positive.</p><p><strong>Conclusion: </strong>The Yokohama system effectively classified borderline lesions, facilitating early detection and improved management options. By integrating FNAC with standardized reporting, healthcare providers can make informed decisions, enhancing the diagnosis and treatment of breast lesions.</p>\",\"PeriodicalId\":93996,\"journal\":{\"name\":\"European journal of breast health\",\"volume\":\" \",\"pages\":\"237-245\"},\"PeriodicalIF\":1.7000,\"publicationDate\":\"2025-06-20\",\"publicationTypes\":\"Journal Article\",\"fieldsOfStudy\":null,\"isOpenAccess\":false,\"openAccessPdf\":\"https://www.ncbi.nlm.nih.gov/pmc/articles/PMC12180108/pdf/\",\"citationCount\":\"0\",\"resultStr\":null,\"platform\":\"Semanticscholar\",\"paperid\":null,\"PeriodicalName\":\"European journal of breast health\",\"FirstCategoryId\":\"1085\",\"ListUrlMain\":\"https://doi.org/10.4274/ejbh.galenos.2025.2024-11-4\",\"RegionNum\":0,\"RegionCategory\":null,\"ArticlePicture\":[],\"TitleCN\":null,\"AbstractTextCN\":null,\"PMCID\":null,\"EPubDate\":\"2025/5/2 0:00:00\",\"PubModel\":\"Epub\",\"JCR\":\"Q4\",\"JCRName\":\"ONCOLOGY\",\"Score\":null,\"Total\":0}","platform":"Semanticscholar","paperid":null,"PeriodicalName":"European journal of breast health","FirstCategoryId":"1085","ListUrlMain":"https://doi.org/10.4274/ejbh.galenos.2025.2024-11-4","RegionNum":0,"RegionCategory":null,"ArticlePicture":[],"TitleCN":null,"AbstractTextCN":null,"PMCID":null,"EPubDate":"2025/5/2 0:00:00","PubModel":"Epub","JCR":"Q4","JCRName":"ONCOLOGY","Score":null,"Total":0}
引用次数: 0

摘要

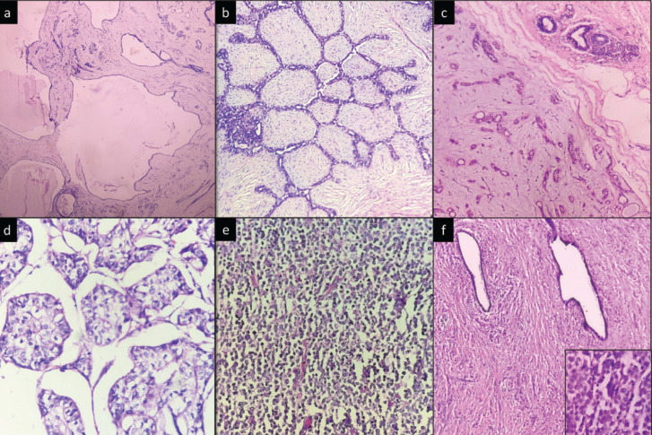
目的:乳腺癌是世界范围内最常见的女性癌症。在发展中国家,细针抽吸细胞学(FNAC)通常用于筛查,以降低死亡率。国际细胞学学会已经建立了横滨系统,以提高诊断的清晰度和病理学家和临床医生之间的沟通。结合临床评估、影像学和FNAC的三重测试方法可以进一步改善患者对乳腺病变的护理,并可能提高横滨系统的有效性。材料与方法:在2022年10月至2023年9月为期一年的时间里,对乳房FNAC进行前瞻性研究。该研究涉及在病理科转介的乳腺病变FNAC患者。FNAC结果使用2016年报告乳腺细胞病理学的Yokohama系统进一步分类。细胞学结果与组织病理学结果相关。结果:在104例病例中,60例(57.7%)有组织病理学结果,使用横滨系统将乳腺病变分类为:7.7%不充分,47.1%良性,26.9%不典型,2.9%可疑恶性,15.4%恶性。恶性肿瘤的风险因类别而异:第1类为0%,第2类为3.2%,第3类为47%,第4和第5类为100%。当考虑非典型、可疑和恶性病例为阳性时,最大敏感性为94.7%。单独诊断恶性病例特异性最高,为97.56%;同时诊断恶性和可疑病例均为阳性时,诊断准确率最高,为83.3%。结论:横滨系统能有效地对交界性病变进行分类,便于早期发现和改进治疗方案。通过将FNAC与标准化报告相结合,医疗保健提供者可以做出明智的决定,加强对乳腺病变的诊断和治疗。
本文章由计算机程序翻译,如有差异,请以英文原文为准。

Categorization of Breast Fine Needle Aspirates Using Yokohama Classification and Its Correlation With Histopathological Findings.

Categorization of Breast Fine Needle Aspirates Using Yokohama Classification and Its Correlation With Histopathological Findings.

Categorization of Breast Fine Needle Aspirates Using Yokohama Classification and Its Correlation With Histopathological Findings.

Objective: Breast cancer is the most prevalent cancer among women worldwide. In developing countries, fine needle aspiration cytology (FNAC) is commonly used for screening to reduce mortality rates. The International Academy of Cytology has established the Yokohama system to enhance diagnostic clarity and communication between pathologists and clinicians. A triple test approach, incorporating clinical evaluation, imaging, and FNAC, can further improve patient care for breast lesions and may enhance the Yokohama System's effectiveness.

Materials and methods: A prospective study about breast FNAC was done over a period of one year, from October 2022 to September 2023. The study involved patients with breast lesion referred for FNAC in the department of Pathology. The FNAC results were further classified using the Yokohama system for reporting breast cytopathology, 2016. The cytological findings were correlated with available histopathological results.

Results: In the study of 104 cases, 60 (57.7%) of whom had available histopathology results, breast lesions were categorized using the Yokohama system as: 7.7% insufficient, 47.1% benign, 26.9% atypical, 2.9% suspicious of malignancy, and 15.4% malignant. The risk of malignancy varied by category: 0% for category 1, 3.2% for category 2, 47% for category 3, and 100% for categories 4 and 5. The maximum sensitivity was 94.7% when considering atypical, suspicious, and malignant cases as positive. The highest specificity was 97.56% for malignant cases alone, while the best diagnostic accuracy was 83.3% when both malignant and suspicious cases were counted as positive.

Conclusion: The Yokohama system effectively classified borderline lesions, facilitating early detection and improved management options. By integrating FNAC with standardized reporting, healthcare providers can make informed decisions, enhancing the diagnosis and treatment of breast lesions.

求助全文
通过发布文献求助,成功后即可免费获取论文全文。 去求助
来源期刊
CiteScore
2.60
自引率
0.00%
发文量
0
×
引用
GB/T 7714-2015
复制
MLA
复制
APA
复制
导出至
BibTeX EndNote RefMan NoteFirst NoteExpress
×
提示
您的信息不完整,为了账户安全,请先补充。
现在去补充
×
提示
您因"违规操作"
具体请查看互助需知
我知道了
×
提示
确定
请完成安全验证×
copy
已复制链接
快去分享给好友吧!
我知道了
右上角分享
点击右上角分享
0
联系我们:info@booksci.cn Book学术提供免费学术资源搜索服务,方便国内外学者检索中英文文献。致力于提供最便捷和优质的服务体验。 Copyright © 2023 布克学术 All rights reserved.
京ICP备2023020795号-1
ghs 京公网安备 11010802042870号
Book学术文献互助
Book学术文献互助群
群 号:604180095
Book学术官方微信