von Hippel-Lindau病视网膜血管增生伴纤维化消退。

IF 1.2 Q4 OPHTHALMOLOGY
Taiwan Journal of Ophthalmology Pub Date : 2025-03-05 eCollection Date: 2025-01-01 DOI:10.4103/tjo.TJO-D-24-00116
Jing-Yi Chen, Hung-Da Chou, An-Ning Chao, Chi-Chun Lai, Mandeep S Sagoo
{"title":"von Hippel-Lindau病视网膜血管增生伴纤维化消退。","authors":"Jing-Yi Chen, Hung-Da Chou, An-Ning Chao, Chi-Chun Lai, Mandeep S Sagoo","doi":"10.4103/tjo.TJO-D-24-00116","DOIUrl":null,"url":null,"abstract":"<p><p>In this study, we report a rare case of retinal vascular proliferation (RVP) in von Hippel-Lindau (VHL) disease, followed by a literature review. A 12-year-old boy presented with a left cerebellar hemangioblastoma and right eye blurred vision for 1-2 years. Fundus examination found no capillary hemangioblastoma lesion but a broad epiretinal fibrovascular membrane, which caused significant traction to the right macula. The genetic testing identified a pathogenic missense mutation (c. 223A > G) within the <i>VHL</i> gene, confirming VHL disease. RVP is a less common, poorly understood condition that can occur in VHL disease apart from the typical retinal capillary hemangioblastoma. The surface vasculature of the fibrovascular membrane regressed over an observation period of 3 years, and pars plana vitrectomy was eventually conducted at the age of 15 years to remove the fibrovascular membrane. Nevertheless, his visual acuity remained at 20/200 at postoperative 1 year due to the development of cataracts. In our literature review, we analyzed 39 reported cases of RVP, of which 90% had unilateral lesions, 70% had lesions at the juxtapapillary location, and 50% had a visual acuity <20/40. The mean onset age was 24 years. An intervention was performed in 39% of the cases and 78% experienced improved vision posttreatment. In conclusion, RVP likely starts as mainly vascular proliferation and eventually regresses spontaneously to fibrotic tissue formation. Unlike typical retinal capillary hemangioblastoma, vision can improve after an intervention, even in eyes with juxtapapillary lesions.</p>","PeriodicalId":44978,"journal":{"name":"Taiwan Journal of Ophthalmology","volume":"15 1","pages":"138-142"},"PeriodicalIF":1.2000,"publicationDate":"2025-03-05","publicationTypes":"Journal Article","fieldsOfStudy":null,"isOpenAccess":false,"openAccessPdf":"https://www.ncbi.nlm.nih.gov/pmc/articles/PMC11981565/pdf/","citationCount":"0","resultStr":"{\"title\":\"Retinal vascular proliferation with fibrotic regression in von Hippel-Lindau disease.\",\"authors\":\"Jing-Yi Chen, Hung-Da Chou, An-Ning Chao, Chi-Chun Lai, Mandeep S Sagoo\",\"doi\":\"10.4103/tjo.TJO-D-24-00116\",\"DOIUrl\":null,\"url\":null,\"abstract\":\"<p><p>In this study, we report a rare case of retinal vascular proliferation (RVP) in von Hippel-Lindau (VHL) disease, followed by a literature review. A 12-year-old boy presented with a left cerebellar hemangioblastoma and right eye blurred vision for 1-2 years. Fundus examination found no capillary hemangioblastoma lesion but a broad epiretinal fibrovascular membrane, which caused significant traction to the right macula. The genetic testing identified a pathogenic missense mutation (c. 223A > G) within the <i>VHL</i> gene, confirming VHL disease. RVP is a less common, poorly understood condition that can occur in VHL disease apart from the typical retinal capillary hemangioblastoma. The surface vasculature of the fibrovascular membrane regressed over an observation period of 3 years, and pars plana vitrectomy was eventually conducted at the age of 15 years to remove the fibrovascular membrane. Nevertheless, his visual acuity remained at 20/200 at postoperative 1 year due to the development of cataracts. In our literature review, we analyzed 39 reported cases of RVP, of which 90% had unilateral lesions, 70% had lesions at the juxtapapillary location, and 50% had a visual acuity <20/40. The mean onset age was 24 years. An intervention was performed in 39% of the cases and 78% experienced improved vision posttreatment. In conclusion, RVP likely starts as mainly vascular proliferation and eventually regresses spontaneously to fibrotic tissue formation. Unlike typical retinal capillary hemangioblastoma, vision can improve after an intervention, even in eyes with juxtapapillary lesions.</p>\",\"PeriodicalId\":44978,\"journal\":{\"name\":\"Taiwan Journal of Ophthalmology\",\"volume\":\"15 1\",\"pages\":\"138-142\"},\"PeriodicalIF\":1.2000,\"publicationDate\":\"2025-03-05\",\"publicationTypes\":\"Journal Article\",\"fieldsOfStudy\":null,\"isOpenAccess\":false,\"openAccessPdf\":\"https://www.ncbi.nlm.nih.gov/pmc/articles/PMC11981565/pdf/\",\"citationCount\":\"0\",\"resultStr\":null,\"platform\":\"Semanticscholar\",\"paperid\":null,\"PeriodicalName\":\"Taiwan Journal of Ophthalmology\",\"FirstCategoryId\":\"1085\",\"ListUrlMain\":\"https://doi.org/10.4103/tjo.TJO-D-24-00116\",\"RegionNum\":0,\"RegionCategory\":null,\"ArticlePicture\":[],\"TitleCN\":null,\"AbstractTextCN\":null,\"PMCID\":null,\"EPubDate\":\"2025/1/1 0:00:00\",\"PubModel\":\"eCollection\",\"JCR\":\"Q4\",\"JCRName\":\"OPHTHALMOLOGY\",\"Score\":null,\"Total\":0}","platform":"Semanticscholar","paperid":null,"PeriodicalName":"Taiwan Journal of Ophthalmology","FirstCategoryId":"1085","ListUrlMain":"https://doi.org/10.4103/tjo.TJO-D-24-00116","RegionNum":0,"RegionCategory":null,"ArticlePicture":[],"TitleCN":null,"AbstractTextCN":null,"PMCID":null,"EPubDate":"2025/1/1 0:00:00","PubModel":"eCollection","JCR":"Q4","JCRName":"OPHTHALMOLOGY","Score":null,"Total":0}
引用次数: 0

摘要

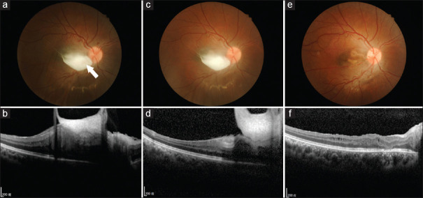
在本研究中,我们报告一例罕见的视网膜血管增生(RVP)在von Hippel-Lindau (VHL)病,随后的文献复习。一个12岁的男孩以左小脑血管母细胞瘤和右眼视力模糊1-2年。眼底检查未见毛细血管母细胞瘤病变,但有较宽的视网膜前纤维血管膜,对右侧黄斑有明显牵拉。基因检测发现了VHL基因内的致病性错义突变(c. 223A > G),证实了VHL疾病。除了典型的视网膜毛细血管母细胞瘤外,RVP是一种不太常见且知之甚少的疾病,可发生在VHL疾病中。在3年的观察期间,纤维血管膜表面血管系统退化,最终在15岁时行玻璃体平面肌切除术以去除纤维血管膜。然而,术后1年,由于白内障的发展,他的视力仍保持在20/200。在我们的文献回顾中,我们分析了39例报告的RVP病例,其中90%为单侧病变,70%为乳头旁病变,50%为视力
本文章由计算机程序翻译,如有差异,请以英文原文为准。

Retinal vascular proliferation with fibrotic regression in von Hippel-Lindau disease.

Retinal vascular proliferation with fibrotic regression in von Hippel-Lindau disease.

In this study, we report a rare case of retinal vascular proliferation (RVP) in von Hippel-Lindau (VHL) disease, followed by a literature review. A 12-year-old boy presented with a left cerebellar hemangioblastoma and right eye blurred vision for 1-2 years. Fundus examination found no capillary hemangioblastoma lesion but a broad epiretinal fibrovascular membrane, which caused significant traction to the right macula. The genetic testing identified a pathogenic missense mutation (c. 223A > G) within the VHL gene, confirming VHL disease. RVP is a less common, poorly understood condition that can occur in VHL disease apart from the typical retinal capillary hemangioblastoma. The surface vasculature of the fibrovascular membrane regressed over an observation period of 3 years, and pars plana vitrectomy was eventually conducted at the age of 15 years to remove the fibrovascular membrane. Nevertheless, his visual acuity remained at 20/200 at postoperative 1 year due to the development of cataracts. In our literature review, we analyzed 39 reported cases of RVP, of which 90% had unilateral lesions, 70% had lesions at the juxtapapillary location, and 50% had a visual acuity <20/40. The mean onset age was 24 years. An intervention was performed in 39% of the cases and 78% experienced improved vision posttreatment. In conclusion, RVP likely starts as mainly vascular proliferation and eventually regresses spontaneously to fibrotic tissue formation. Unlike typical retinal capillary hemangioblastoma, vision can improve after an intervention, even in eyes with juxtapapillary lesions.

求助全文
通过发布文献求助,成功后即可免费获取论文全文。 去求助
来源期刊
CiteScore
1.80
自引率
9.10%
发文量
68
审稿时长
19 weeks
×
引用
GB/T 7714-2015
复制
MLA
复制
APA
复制
导出至
BibTeX EndNote RefMan NoteFirst NoteExpress
×
提示
您的信息不完整,为了账户安全,请先补充。
现在去补充
×
提示
您因"违规操作"
具体请查看互助需知
我知道了
×
提示
确定
请完成安全验证×
copy
已复制链接
快去分享给好友吧!
我知道了
右上角分享
点击右上角分享
0
联系我们:info@booksci.cn Book学术提供免费学术资源搜索服务,方便国内外学者检索中英文文献。致力于提供最便捷和优质的服务体验。 Copyright © 2023 布克学术 All rights reserved.
京ICP备2023020795号-1
ghs 京公网安备 11010802042870号
Book学术文献互助
Book学术文献互助群
群 号:604180095
Book学术官方微信