小管周围毛细血管炎在狼疮性肾炎严重程度中的作用。

IF 1.9 4区 医学 Q3 RHEUMATOLOGY
Lupus Pub Date : 2025-06-01 Epub Date: 2025-04-14 DOI:10.1177/09612033251335821
Emel Yaldır, Balça Begüm Cengiz, Mustafa Fuat Açıkalın, Nazife Şule Yaşar Bilge
{"title":"小管周围毛细血管炎在狼疮性肾炎严重程度中的作用。","authors":"Emel Yaldır, Balça Begüm Cengiz, Mustafa Fuat Açıkalın, Nazife Şule Yaşar Bilge","doi":"10.1177/09612033251335821","DOIUrl":null,"url":null,"abstract":"<p><p>Background & ObjectivePresence of lupus nephritis is associated with a shorter time to death in systemic lupus erythematosus. The aim of this study was to determine the frequency of peritubular capillaritis (ptc) and its relationship with both active and chronic lesions in lupus nephritis.Material-MethodsSpecimens from 57 patients were re-evaluated. The degree of inflammation within the peritubular capillaries in each biopsy was assessed according to the Banff classification, and ptc scoring was performed. Additionally, patients were grouped based on high/low activity and chronicity index scores.ResultsForty-five (78.9%) of the patients were female, with a mean age of 27.43 years. Ptc was identified in 45 (78.9%) patients, with ptc scores of 1, 2, and 3 observed in 20 (35.08%), 20 (35.08%), and 5 (8.7%) patients, respectively. Severe ptc (scores 2 or 3) was more commonly detected in patients with elevated serum creatinine (>1.20 mg/dL) compared to those with normal creatinine levels (92.3% vs 29.5%, <i>p</i> < 0.001). The severity of ptc was higher in Class 4 patients than in Class 3 patients (68.2% vs 21.7%, <i>p</i> = 0.005). The rate of high ptc scores was greater in patients with an activity index of 6 or above compared to those with an activity index below 6 (62.5% vs 30.3%, <i>p</i> = 0.032). No significant correlation was found between the chronicity index and ptc.ConclusionsThe findings of this study suggest that ptc is a frequently observed pathological feature in patients with lupus nephritis. Furthermore, the severity of ptc appears to be positively associated with elevated serum creatinine levels, and higher ptc scores are more commonly detected in cases with a high activity index.</p>","PeriodicalId":18044,"journal":{"name":"Lupus","volume":" ","pages":"742-750"},"PeriodicalIF":1.9000,"publicationDate":"2025-06-01","publicationTypes":"Journal Article","fieldsOfStudy":null,"isOpenAccess":false,"openAccessPdf":"https://www.ncbi.nlm.nih.gov/pmc/articles/PMC12123054/pdf/","citationCount":"0","resultStr":"{\"title\":\"The role of peritubular capillaritis in severity of lupus nephritis.\",\"authors\":\"Emel Yaldır, Balça Begüm Cengiz, Mustafa Fuat Açıkalın, Nazife Şule Yaşar Bilge\",\"doi\":\"10.1177/09612033251335821\",\"DOIUrl\":null,\"url\":null,\"abstract\":\"<p><p>Background & ObjectivePresence of lupus nephritis is associated with a shorter time to death in systemic lupus erythematosus. The aim of this study was to determine the frequency of peritubular capillaritis (ptc) and its relationship with both active and chronic lesions in lupus nephritis.Material-MethodsSpecimens from 57 patients were re-evaluated. The degree of inflammation within the peritubular capillaries in each biopsy was assessed according to the Banff classification, and ptc scoring was performed. Additionally, patients were grouped based on high/low activity and chronicity index scores.ResultsForty-five (78.9%) of the patients were female, with a mean age of 27.43 years. Ptc was identified in 45 (78.9%) patients, with ptc scores of 1, 2, and 3 observed in 20 (35.08%), 20 (35.08%), and 5 (8.7%) patients, respectively. Severe ptc (scores 2 or 3) was more commonly detected in patients with elevated serum creatinine (>1.20 mg/dL) compared to those with normal creatinine levels (92.3% vs 29.5%, <i>p</i> < 0.001). The severity of ptc was higher in Class 4 patients than in Class 3 patients (68.2% vs 21.7%, <i>p</i> = 0.005). The rate of high ptc scores was greater in patients with an activity index of 6 or above compared to those with an activity index below 6 (62.5% vs 30.3%, <i>p</i> = 0.032). No significant correlation was found between the chronicity index and ptc.ConclusionsThe findings of this study suggest that ptc is a frequently observed pathological feature in patients with lupus nephritis. Furthermore, the severity of ptc appears to be positively associated with elevated serum creatinine levels, and higher ptc scores are more commonly detected in cases with a high activity index.</p>\",\"PeriodicalId\":18044,\"journal\":{\"name\":\"Lupus\",\"volume\":\" \",\"pages\":\"742-750\"},\"PeriodicalIF\":1.9000,\"publicationDate\":\"2025-06-01\",\"publicationTypes\":\"Journal Article\",\"fieldsOfStudy\":null,\"isOpenAccess\":false,\"openAccessPdf\":\"https://www.ncbi.nlm.nih.gov/pmc/articles/PMC12123054/pdf/\",\"citationCount\":\"0\",\"resultStr\":null,\"platform\":\"Semanticscholar\",\"paperid\":null,\"PeriodicalName\":\"Lupus\",\"FirstCategoryId\":\"3\",\"ListUrlMain\":\"https://doi.org/10.1177/09612033251335821\",\"RegionNum\":4,\"RegionCategory\":\"医学\",\"ArticlePicture\":[],\"TitleCN\":null,\"AbstractTextCN\":null,\"PMCID\":null,\"EPubDate\":\"2025/4/14 0:00:00\",\"PubModel\":\"Epub\",\"JCR\":\"Q3\",\"JCRName\":\"RHEUMATOLOGY\",\"Score\":null,\"Total\":0}","platform":"Semanticscholar","paperid":null,"PeriodicalName":"Lupus","FirstCategoryId":"3","ListUrlMain":"https://doi.org/10.1177/09612033251335821","RegionNum":4,"RegionCategory":"医学","ArticlePicture":[],"TitleCN":null,"AbstractTextCN":null,"PMCID":null,"EPubDate":"2025/4/14 0:00:00","PubModel":"Epub","JCR":"Q3","JCRName":"RHEUMATOLOGY","Score":null,"Total":0}
引用次数: 0

摘要

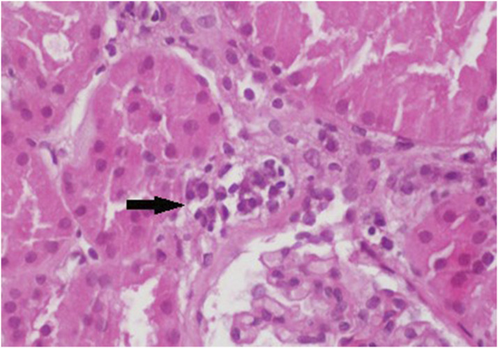
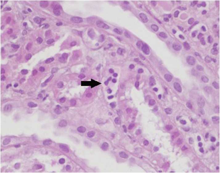
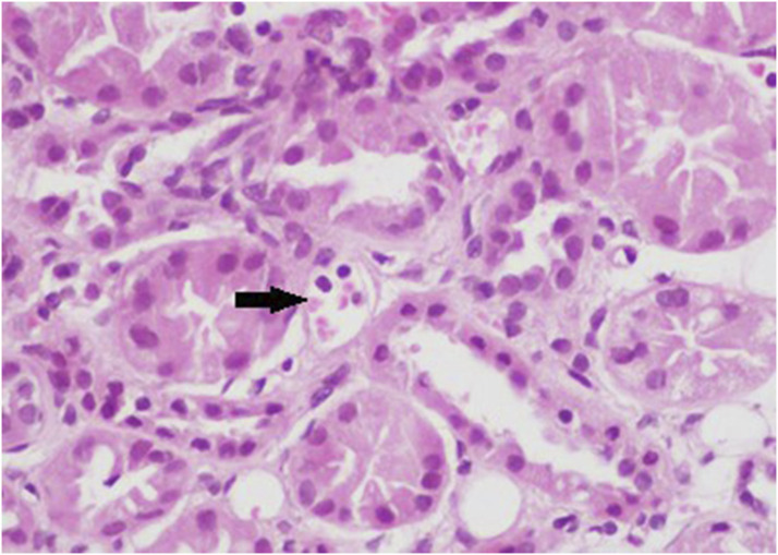
背景与目的系统性红斑狼疮患者出现狼疮性肾炎与较短的死亡时间相关。本研究的目的是确定小管周围毛细血管炎(ptc)的频率及其与狼疮性肾炎活动性和慢性病变的关系。材料-方法对57例患者的标本进行重新评价。根据Banff分类评估每次活检中小管周围毛细血管的炎症程度,并进行ptc评分。此外,根据高/低活动和慢性指数评分对患者进行分组。结果女性45例(78.9%),平均年龄27.43岁。Ptc患者45例(78.9%),Ptc评分为1、2、3分的患者分别为20例(35.08%)、20例(35.08%)、5例(8.7%)。与正常肌酐水平的患者相比,血清肌酐升高(>1.20 mg/dL)的患者更常检测到严重的ptc(评分2或3)(92.3% vs 29.5%, p < 0.001)。4类患者的ptc严重程度高于3类患者(68.2% vs 21.7%, p = 0.005)。活动指数为6或以上的患者ptc得分高的比例高于活动指数为6以下的患者(62.5% vs 30.3%, p = 0.032)。慢性指数与ptc无显著相关性。结论ptc是狼疮性肾炎患者常见的病理特征。此外,ptc的严重程度似乎与血清肌酐水平升高呈正相关,较高的ptc评分更常见于活动指数高的病例。
本文章由计算机程序翻译,如有差异,请以英文原文为准。

The role of peritubular capillaritis in severity of lupus nephritis.

The role of peritubular capillaritis in severity of lupus nephritis.

The role of peritubular capillaritis in severity of lupus nephritis.

The role of peritubular capillaritis in severity of lupus nephritis.

Background & ObjectivePresence of lupus nephritis is associated with a shorter time to death in systemic lupus erythematosus. The aim of this study was to determine the frequency of peritubular capillaritis (ptc) and its relationship with both active and chronic lesions in lupus nephritis.Material-MethodsSpecimens from 57 patients were re-evaluated. The degree of inflammation within the peritubular capillaries in each biopsy was assessed according to the Banff classification, and ptc scoring was performed. Additionally, patients were grouped based on high/low activity and chronicity index scores.ResultsForty-five (78.9%) of the patients were female, with a mean age of 27.43 years. Ptc was identified in 45 (78.9%) patients, with ptc scores of 1, 2, and 3 observed in 20 (35.08%), 20 (35.08%), and 5 (8.7%) patients, respectively. Severe ptc (scores 2 or 3) was more commonly detected in patients with elevated serum creatinine (>1.20 mg/dL) compared to those with normal creatinine levels (92.3% vs 29.5%, p < 0.001). The severity of ptc was higher in Class 4 patients than in Class 3 patients (68.2% vs 21.7%, p = 0.005). The rate of high ptc scores was greater in patients with an activity index of 6 or above compared to those with an activity index below 6 (62.5% vs 30.3%, p = 0.032). No significant correlation was found between the chronicity index and ptc.ConclusionsThe findings of this study suggest that ptc is a frequently observed pathological feature in patients with lupus nephritis. Furthermore, the severity of ptc appears to be positively associated with elevated serum creatinine levels, and higher ptc scores are more commonly detected in cases with a high activity index.

求助全文
通过发布文献求助,成功后即可免费获取论文全文。 去求助
来源期刊
Lupus
Lupus 医学-风湿病学
CiteScore
4.20
自引率
11.50%
发文量
225
审稿时长
1 months
期刊介绍: The only fully peer reviewed international journal devoted exclusively to lupus (and related disease) research. Lupus includes the most promising new clinical and laboratory-based studies from leading specialists in all lupus-related disciplines. Invaluable reading, with extended coverage, lupus-related disciplines include: Rheumatology, Dermatology, Immunology, Obstetrics, Psychiatry and Cardiovascular Research…
×
引用
GB/T 7714-2015
复制
MLA
复制
APA
复制
导出至
BibTeX EndNote RefMan NoteFirst NoteExpress
×
提示
您的信息不完整,为了账户安全,请先补充。
现在去补充
×
提示
您因"违规操作"
具体请查看互助需知
我知道了
×
提示
确定
请完成安全验证×
copy
已复制链接
快去分享给好友吧!
我知道了
右上角分享
点击右上角分享
0
联系我们:info@booksci.cn Book学术提供免费学术资源搜索服务,方便国内外学者检索中英文文献。致力于提供最便捷和优质的服务体验。 Copyright © 2023 布克学术 All rights reserved.
京ICP备2023020795号-1
ghs 京公网安备 11010802042870号
Book学术文献互助
Book学术文献互助群
群 号:604180095
Book学术官方微信