津纳综合征:来自挪威西部的临床见解。

IF 0.7 Q4 UROLOGY & NEPHROLOGY
Urologia Journal Pub Date : 2025-08-01 Epub Date: 2025-05-13 DOI:10.1177/03915603251335609
Emanuel Bjurulf, Lars A R Reisæter, Hemamaalini Rajkumar, Adeel Asghar Chaudhury, Alfred Honoré, Florin Hopland-Nechita, Christian Arvei Moen, Julie Nøss Haugland, Ravi Rawal, Ingunn Roth, Anh Khoi Vo, Christian Beisland, Patrick Juliebø-Jones
{"title":"津纳综合征:来自挪威西部的临床见解。","authors":"Emanuel Bjurulf, Lars A R Reisæter, Hemamaalini Rajkumar, Adeel Asghar Chaudhury, Alfred Honoré, Florin Hopland-Nechita, Christian Arvei Moen, Julie Nøss Haugland, Ravi Rawal, Ingunn Roth, Anh Khoi Vo, Christian Beisland, Patrick Juliebø-Jones","doi":"10.1177/03915603251335609","DOIUrl":null,"url":null,"abstract":"<p><strong>Introduction: </strong>Zinner syndrome (ZS) is characterised by unilateral renal agenesis, ipsilateral seminal vesicle cyst and obstruction of the ejaculatory duct. Although rare, urologists may encounter it at some point in their clinical practice. The literature is largely limited to case reports, and the condition is poorly understood. Our objective was to report on cases of ZS that have been managed at two centres in order to gain further clinical insights on this condition.</p><p><strong>Methods: </strong>A retrospective review was conducted on ZS cases presenting at two centres in Western Norway between January 2021 and June 2024. Data were collected on demographic details, symptomatology, imaging findings, management and fertility outcomes.</p><p><strong>Results: </strong>Six cases were identified that met the full triad for ZS, with ages ranging from 18 to 70 years. Five patients were symptomatic at presentation, reporting issues such as anejaculation and testicular pain during sexual activity. Two cases presented as emergencies, one with acute urinary retention and the other with severe pelvic pain. Half of the patients were successfully managed with a conservative approach. Two-thirds had children, either through natural conception or assisted reproductive methods, while the remaining patients underwent sperm cryopreservation.</p><p><strong>Conclusion: </strong>ZS presents with a wide range of symptoms and at varying ages. Not all symptomatic cases require surgical intervention, and management should be individualised. In select cases, a conservative approach can feasible.</p>","PeriodicalId":23574,"journal":{"name":"Urologia Journal","volume":" ","pages":"377-382"},"PeriodicalIF":0.7000,"publicationDate":"2025-08-01","publicationTypes":"Journal Article","fieldsOfStudy":null,"isOpenAccess":false,"openAccessPdf":"https://www.ncbi.nlm.nih.gov/pmc/articles/PMC12287545/pdf/","citationCount":"0","resultStr":"{\"title\":\"Zinner syndrome: Clinical insights from Western Norway.\",\"authors\":\"Emanuel Bjurulf, Lars A R Reisæter, Hemamaalini Rajkumar, Adeel Asghar Chaudhury, Alfred Honoré, Florin Hopland-Nechita, Christian Arvei Moen, Julie Nøss Haugland, Ravi Rawal, Ingunn Roth, Anh Khoi Vo, Christian Beisland, Patrick Juliebø-Jones\",\"doi\":\"10.1177/03915603251335609\",\"DOIUrl\":null,\"url\":null,\"abstract\":\"<p><strong>Introduction: </strong>Zinner syndrome (ZS) is characterised by unilateral renal agenesis, ipsilateral seminal vesicle cyst and obstruction of the ejaculatory duct. Although rare, urologists may encounter it at some point in their clinical practice. The literature is largely limited to case reports, and the condition is poorly understood. Our objective was to report on cases of ZS that have been managed at two centres in order to gain further clinical insights on this condition.</p><p><strong>Methods: </strong>A retrospective review was conducted on ZS cases presenting at two centres in Western Norway between January 2021 and June 2024. Data were collected on demographic details, symptomatology, imaging findings, management and fertility outcomes.</p><p><strong>Results: </strong>Six cases were identified that met the full triad for ZS, with ages ranging from 18 to 70 years. Five patients were symptomatic at presentation, reporting issues such as anejaculation and testicular pain during sexual activity. Two cases presented as emergencies, one with acute urinary retention and the other with severe pelvic pain. Half of the patients were successfully managed with a conservative approach. Two-thirds had children, either through natural conception or assisted reproductive methods, while the remaining patients underwent sperm cryopreservation.</p><p><strong>Conclusion: </strong>ZS presents with a wide range of symptoms and at varying ages. Not all symptomatic cases require surgical intervention, and management should be individualised. In select cases, a conservative approach can feasible.</p>\",\"PeriodicalId\":23574,\"journal\":{\"name\":\"Urologia Journal\",\"volume\":\" \",\"pages\":\"377-382\"},\"PeriodicalIF\":0.7000,\"publicationDate\":\"2025-08-01\",\"publicationTypes\":\"Journal Article\",\"fieldsOfStudy\":null,\"isOpenAccess\":false,\"openAccessPdf\":\"https://www.ncbi.nlm.nih.gov/pmc/articles/PMC12287545/pdf/\",\"citationCount\":\"0\",\"resultStr\":null,\"platform\":\"Semanticscholar\",\"paperid\":null,\"PeriodicalName\":\"Urologia Journal\",\"FirstCategoryId\":\"1085\",\"ListUrlMain\":\"https://doi.org/10.1177/03915603251335609\",\"RegionNum\":0,\"RegionCategory\":null,\"ArticlePicture\":[],\"TitleCN\":null,\"AbstractTextCN\":null,\"PMCID\":null,\"EPubDate\":\"2025/5/13 0:00:00\",\"PubModel\":\"Epub\",\"JCR\":\"Q4\",\"JCRName\":\"UROLOGY & NEPHROLOGY\",\"Score\":null,\"Total\":0}","platform":"Semanticscholar","paperid":null,"PeriodicalName":"Urologia Journal","FirstCategoryId":"1085","ListUrlMain":"https://doi.org/10.1177/03915603251335609","RegionNum":0,"RegionCategory":null,"ArticlePicture":[],"TitleCN":null,"AbstractTextCN":null,"PMCID":null,"EPubDate":"2025/5/13 0:00:00","PubModel":"Epub","JCR":"Q4","JCRName":"UROLOGY & NEPHROLOGY","Score":null,"Total":0}
引用次数: 0

摘要

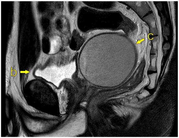
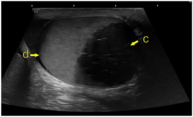
简介:Zinner综合征(ZS)以单侧肾脏发育不全、同侧精囊囊肿和射精管梗阻为特征。虽然罕见,泌尿科医生可能会遇到在他们的临床实践的某些点。文献主要局限于病例报告,对病情了解甚少。我们的目标是报告在两个中心管理的ZS病例,以便获得对这种情况的进一步临床见解。方法:对2021年1月至2024年6月期间在挪威西部两个中心出现的ZS病例进行回顾性分析。收集了有关人口统计学细节、症状学、影像学发现、管理和生育结果的数据。结果:6例患者符合ZS的全部三联征,年龄18 ~ 70岁。5例患者在出现症状时,报告诸如性活动中射精和睾丸疼痛等问题。两例急诊,一例急性尿潴留,另一例严重盆腔疼痛。半数患者采用保守治疗成功。三分之二的人通过自然受孕或辅助生殖方法生了孩子,而其余的人则接受了精子冷冻保存。结论:ZS表现出广泛的症状和不同的年龄。并非所有有症状的病例都需要手术干预,治疗应个体化。在某些情况下,保守的方法是可行的。
本文章由计算机程序翻译,如有差异,请以英文原文为准。

Zinner syndrome: Clinical insights from Western Norway.

Zinner syndrome: Clinical insights from Western Norway.

Zinner syndrome: Clinical insights from Western Norway.

Zinner syndrome: Clinical insights from Western Norway.

Introduction: Zinner syndrome (ZS) is characterised by unilateral renal agenesis, ipsilateral seminal vesicle cyst and obstruction of the ejaculatory duct. Although rare, urologists may encounter it at some point in their clinical practice. The literature is largely limited to case reports, and the condition is poorly understood. Our objective was to report on cases of ZS that have been managed at two centres in order to gain further clinical insights on this condition.

Methods: A retrospective review was conducted on ZS cases presenting at two centres in Western Norway between January 2021 and June 2024. Data were collected on demographic details, symptomatology, imaging findings, management and fertility outcomes.

Results: Six cases were identified that met the full triad for ZS, with ages ranging from 18 to 70 years. Five patients were symptomatic at presentation, reporting issues such as anejaculation and testicular pain during sexual activity. Two cases presented as emergencies, one with acute urinary retention and the other with severe pelvic pain. Half of the patients were successfully managed with a conservative approach. Two-thirds had children, either through natural conception or assisted reproductive methods, while the remaining patients underwent sperm cryopreservation.

Conclusion: ZS presents with a wide range of symptoms and at varying ages. Not all symptomatic cases require surgical intervention, and management should be individualised. In select cases, a conservative approach can feasible.

求助全文
通过发布文献求助,成功后即可免费获取论文全文。 去求助
来源期刊
Urologia Journal
Urologia Journal UROLOGY & NEPHROLOGY-
CiteScore
0.60
自引率
12.50%
发文量
66
×
引用
GB/T 7714-2015
复制
MLA
复制
APA
复制
导出至
BibTeX EndNote RefMan NoteFirst NoteExpress
×
提示
您的信息不完整,为了账户安全,请先补充。
现在去补充
×
提示
您因"违规操作"
具体请查看互助需知
我知道了
×
提示
确定
请完成安全验证×
copy
已复制链接
快去分享给好友吧!
我知道了
右上角分享
点击右上角分享
0
联系我们:info@booksci.cn Book学术提供免费学术资源搜索服务,方便国内外学者检索中英文文献。致力于提供最便捷和优质的服务体验。 Copyright © 2023 布克学术 All rights reserved.
京ICP备2023020795号-1
ghs 京公网安备 11010802042870号
Book学术文献互助
Book学术文献互助群
群 号:604180095
Book学术官方微信