厚脉络膜血管病的短波长和红外自身荧光成像。

IF 1.8 Q2 Medicine
Norihiko Nakagawa, Takuya Shunto, Issei Nishiyama, Kohei Maruyama, Miki Sawa
{"title":"厚脉络膜血管病的短波长和红外自身荧光成像。","authors":"Norihiko Nakagawa, Takuya Shunto, Issei Nishiyama, Kohei Maruyama, Miki Sawa","doi":"10.3390/vision9020038","DOIUrl":null,"url":null,"abstract":"<p><strong>Purpose: </strong>The purpose of this paper is to investigate the relationship between short-wavelength autofluorescence (SWAF) and infrared autofluorescence (IRAF) patterns in pachychoroid neovasculopathy (PNV) with serous retinal detachment (SRD).</p><p><strong>Methods: </strong>This study used an observational case series of 62 eyes of 58 consecutive patients diagnosed with symptomatic PNV from January 2019 and October 2021 at a single institution. SWAF and IRAF patterns were analyzed with disease chronicity, and autofluorescence changes in macular neovascularization (MNV) were assessed in two images.</p><p><strong>Results: </strong>SWAF patterns and the mean duration of symptoms were as follows: blocked (15 eyes, 24%), 1.0 months; mottled (8 eyes, 13%), 2.8 months; hyper (24 eyes, 39%), 5.0 months; hyper/hypo (10 eyes, 16%), 7.0 months; descending tract (5 eyes, 8%), 12.0 months (<i>p</i> < 0.01). IRAF patterns and the mean duration of symptoms were as follows: blocked (17 eyes, 27%), 1.0 months; hyper (22 eyes, 35%), 4.0 months; mixed/hyper dominant (9 eyes, 15%), 5.0 months; mixed/hypo dominant (9 eyes, 15%), 6.8 months; descending tract (5 eyes, 8%), 12.0 months (<i>p</i> < 0.01). Abnormal autofluorescence corresponding to MNV lesion was seen in 34 eyes (55%) with SWAF and 59 eyes (95%) with IRAF (<i>p</i> < 0.01).</p><p><strong>Conclusions: </strong>SWAF and IRAF show multiple patterns and are related to disease chronicity in symptomatic PNV. IRAF could be helpful in detecting the lesion of MNV.</p>","PeriodicalId":36586,"journal":{"name":"Vision (Switzerland)","volume":"9 2","pages":""},"PeriodicalIF":1.8000,"publicationDate":"2025-04-21","publicationTypes":"Journal Article","fieldsOfStudy":null,"isOpenAccess":false,"openAccessPdf":"https://www.ncbi.nlm.nih.gov/pmc/articles/PMC12015855/pdf/","citationCount":"0","resultStr":"{\"title\":\"Short-Wavelength and Infrared Autofluorescence Imaging in Pachychoroid Neovasculopathy.\",\"authors\":\"Norihiko Nakagawa, Takuya Shunto, Issei Nishiyama, Kohei Maruyama, Miki Sawa\",\"doi\":\"10.3390/vision9020038\",\"DOIUrl\":null,\"url\":null,\"abstract\":\"<p><strong>Purpose: </strong>The purpose of this paper is to investigate the relationship between short-wavelength autofluorescence (SWAF) and infrared autofluorescence (IRAF) patterns in pachychoroid neovasculopathy (PNV) with serous retinal detachment (SRD).</p><p><strong>Methods: </strong>This study used an observational case series of 62 eyes of 58 consecutive patients diagnosed with symptomatic PNV from January 2019 and October 2021 at a single institution. SWAF and IRAF patterns were analyzed with disease chronicity, and autofluorescence changes in macular neovascularization (MNV) were assessed in two images.</p><p><strong>Results: </strong>SWAF patterns and the mean duration of symptoms were as follows: blocked (15 eyes, 24%), 1.0 months; mottled (8 eyes, 13%), 2.8 months; hyper (24 eyes, 39%), 5.0 months; hyper/hypo (10 eyes, 16%), 7.0 months; descending tract (5 eyes, 8%), 12.0 months (<i>p</i> < 0.01). IRAF patterns and the mean duration of symptoms were as follows: blocked (17 eyes, 27%), 1.0 months; hyper (22 eyes, 35%), 4.0 months; mixed/hyper dominant (9 eyes, 15%), 5.0 months; mixed/hypo dominant (9 eyes, 15%), 6.8 months; descending tract (5 eyes, 8%), 12.0 months (<i>p</i> < 0.01). Abnormal autofluorescence corresponding to MNV lesion was seen in 34 eyes (55%) with SWAF and 59 eyes (95%) with IRAF (<i>p</i> < 0.01).</p><p><strong>Conclusions: </strong>SWAF and IRAF show multiple patterns and are related to disease chronicity in symptomatic PNV. IRAF could be helpful in detecting the lesion of MNV.</p>\",\"PeriodicalId\":36586,\"journal\":{\"name\":\"Vision (Switzerland)\",\"volume\":\"9 2\",\"pages\":\"\"},\"PeriodicalIF\":1.8000,\"publicationDate\":\"2025-04-21\",\"publicationTypes\":\"Journal Article\",\"fieldsOfStudy\":null,\"isOpenAccess\":false,\"openAccessPdf\":\"https://www.ncbi.nlm.nih.gov/pmc/articles/PMC12015855/pdf/\",\"citationCount\":\"0\",\"resultStr\":null,\"platform\":\"Semanticscholar\",\"paperid\":null,\"PeriodicalName\":\"Vision (Switzerland)\",\"FirstCategoryId\":\"1085\",\"ListUrlMain\":\"https://doi.org/10.3390/vision9020038\",\"RegionNum\":0,\"RegionCategory\":null,\"ArticlePicture\":[],\"TitleCN\":null,\"AbstractTextCN\":null,\"PMCID\":null,\"EPubDate\":\"\",\"PubModel\":\"\",\"JCR\":\"Q2\",\"JCRName\":\"Medicine\",\"Score\":null,\"Total\":0}","platform":"Semanticscholar","paperid":null,"PeriodicalName":"Vision (Switzerland)","FirstCategoryId":"1085","ListUrlMain":"https://doi.org/10.3390/vision9020038","RegionNum":0,"RegionCategory":null,"ArticlePicture":[],"TitleCN":null,"AbstractTextCN":null,"PMCID":null,"EPubDate":"","PubModel":"","JCR":"Q2","JCRName":"Medicine","Score":null,"Total":0}
引用次数: 0

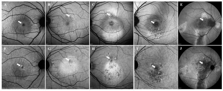
摘要

目的:探讨厚脉络膜新生血管病变(PNV)伴浆液性视网膜脱离(SRD)的短波长自身荧光(swf)和红外自身荧光(IRAF)模式的关系。方法:本研究使用了2019年1月至2021年10月在同一家机构连续诊断为症状性PNV的58例患者的62只眼睛的观察病例系列。分析SWAF和IRAF模式与疾病的慢性关系,并在两幅图像中评估黄斑新生血管(MNV)的自身荧光变化。结果:SWAF分型及平均症状持续时间如下:阻塞(15眼,24%),1.0个月;斑驳(8眼,13%),2.8个月;Hyper(24眼,39%),5.0个月;Hyper / hypoo(10眼,16%),7.0个月;降支(5眼,8%),12.0个月(p < 0.01)。IRAF分型及平均症状持续时间如下:阻塞(17眼,27%),1.0个月;Hyper(22眼,35%),4.0个月;混合型/超显性型(9眼,15%),5.0个月;混合型/次显性型(9眼,15%),6.8个月;降支(5眼,8%),12.0个月(p < 0.01)。swf组和IRAF组分别有34眼(55%)和59眼(95%)出现与MNV病变相应的自身荧光异常(p < 0.01)。结论:症状性PNV患者swf和IRAF表现出多种模式,并与疾病的慢性性有关。IRAF有助于检测MNV的病变。
本文章由计算机程序翻译,如有差异,请以英文原文为准。

Short-Wavelength and Infrared Autofluorescence Imaging in Pachychoroid Neovasculopathy.

Short-Wavelength and Infrared Autofluorescence Imaging in Pachychoroid Neovasculopathy.

Short-Wavelength and Infrared Autofluorescence Imaging in Pachychoroid Neovasculopathy.

Short-Wavelength and Infrared Autofluorescence Imaging in Pachychoroid Neovasculopathy.

Purpose: The purpose of this paper is to investigate the relationship between short-wavelength autofluorescence (SWAF) and infrared autofluorescence (IRAF) patterns in pachychoroid neovasculopathy (PNV) with serous retinal detachment (SRD).

Methods: This study used an observational case series of 62 eyes of 58 consecutive patients diagnosed with symptomatic PNV from January 2019 and October 2021 at a single institution. SWAF and IRAF patterns were analyzed with disease chronicity, and autofluorescence changes in macular neovascularization (MNV) were assessed in two images.

Results: SWAF patterns and the mean duration of symptoms were as follows: blocked (15 eyes, 24%), 1.0 months; mottled (8 eyes, 13%), 2.8 months; hyper (24 eyes, 39%), 5.0 months; hyper/hypo (10 eyes, 16%), 7.0 months; descending tract (5 eyes, 8%), 12.0 months (p < 0.01). IRAF patterns and the mean duration of symptoms were as follows: blocked (17 eyes, 27%), 1.0 months; hyper (22 eyes, 35%), 4.0 months; mixed/hyper dominant (9 eyes, 15%), 5.0 months; mixed/hypo dominant (9 eyes, 15%), 6.8 months; descending tract (5 eyes, 8%), 12.0 months (p < 0.01). Abnormal autofluorescence corresponding to MNV lesion was seen in 34 eyes (55%) with SWAF and 59 eyes (95%) with IRAF (p < 0.01).

Conclusions: SWAF and IRAF show multiple patterns and are related to disease chronicity in symptomatic PNV. IRAF could be helpful in detecting the lesion of MNV.

求助全文
通过发布文献求助,成功后即可免费获取论文全文。 去求助
来源期刊
Vision (Switzerland)
Vision (Switzerland) Health Professions-Optometry
CiteScore
2.30
自引率
0.00%
发文量
62
审稿时长
11 weeks
×
引用
GB/T 7714-2015
复制
MLA
复制
APA
复制
导出至
BibTeX EndNote RefMan NoteFirst NoteExpress
×
提示
您的信息不完整,为了账户安全,请先补充。
现在去补充
×
提示
您因"违规操作"
具体请查看互助需知
我知道了
×
提示
确定
请完成安全验证×
copy
已复制链接
快去分享给好友吧!
我知道了
右上角分享
点击右上角分享
0
联系我们:info@booksci.cn Book学术提供免费学术资源搜索服务,方便国内外学者检索中英文文献。致力于提供最便捷和优质的服务体验。 Copyright © 2023 布克学术 All rights reserved.
京ICP备2023020795号-1
ghs 京公网安备 11010802042870号
Book学术文献互助
Book学术文献互助群
群 号:604180095
Book学术官方微信