输尿管结石支架取出后尿脓毒症复发1例报告。

Case Reports in Urology Pub Date : 2025-04-23 eCollection Date: 2025-01-01 DOI:10.1155/criu/5547651
Cesar Prugue, Parker Reber, Amanda Austin
{"title":"输尿管结石支架取出后尿脓毒症复发1例报告。","authors":"Cesar Prugue, Parker Reber, Amanda Austin","doi":"10.1155/criu/5547651","DOIUrl":null,"url":null,"abstract":"<p><p>Urosepsis, a severe infection originating from the urinary tract, can be life-threatening. We present the case of a 56-year-old female who developed urosepsis twice within 15 days, each episode occurring shortly after stent removal. Ureteroscopy with stent placement was initially performed to treat a 12-mm stone in the distal left ureter. Although the stent was removed only after imaging showed no residual stones, sepsis developed shortly after, leading to another ureteroscopy and stent placement. Before the removal of the second stent, imaging again confirmed no stones were present, yet she experienced sepsis once more following the second stent removal. Further imaging studies during hospital admission for both episodes of sepsis revealed stone fragments and hydronephrosis which were missed during office evaluations. This case highlights the need for more effective imaging techniques to detect residual stones. The decision to place a stent after ureteroscopy for ureteral stone treatment should also be carefully considered, even for low-risk patients, to reduce infection risk.</p>","PeriodicalId":30323,"journal":{"name":"Case Reports in Urology","volume":"2025 ","pages":"5547651"},"PeriodicalIF":0.0000,"publicationDate":"2025-04-23","publicationTypes":"Journal Article","fieldsOfStudy":null,"isOpenAccess":false,"openAccessPdf":"https://www.ncbi.nlm.nih.gov/pmc/articles/PMC12043385/pdf/","citationCount":"0","resultStr":"{\"title\":\"Recurrent Urosepsis Following Stent Removal for Ureteral Stones: A Case Report.\",\"authors\":\"Cesar Prugue, Parker Reber, Amanda Austin\",\"doi\":\"10.1155/criu/5547651\",\"DOIUrl\":null,\"url\":null,\"abstract\":\"<p><p>Urosepsis, a severe infection originating from the urinary tract, can be life-threatening. We present the case of a 56-year-old female who developed urosepsis twice within 15 days, each episode occurring shortly after stent removal. Ureteroscopy with stent placement was initially performed to treat a 12-mm stone in the distal left ureter. Although the stent was removed only after imaging showed no residual stones, sepsis developed shortly after, leading to another ureteroscopy and stent placement. Before the removal of the second stent, imaging again confirmed no stones were present, yet she experienced sepsis once more following the second stent removal. Further imaging studies during hospital admission for both episodes of sepsis revealed stone fragments and hydronephrosis which were missed during office evaluations. This case highlights the need for more effective imaging techniques to detect residual stones. The decision to place a stent after ureteroscopy for ureteral stone treatment should also be carefully considered, even for low-risk patients, to reduce infection risk.</p>\",\"PeriodicalId\":30323,\"journal\":{\"name\":\"Case Reports in Urology\",\"volume\":\"2025 \",\"pages\":\"5547651\"},\"PeriodicalIF\":0.0000,\"publicationDate\":\"2025-04-23\",\"publicationTypes\":\"Journal Article\",\"fieldsOfStudy\":null,\"isOpenAccess\":false,\"openAccessPdf\":\"https://www.ncbi.nlm.nih.gov/pmc/articles/PMC12043385/pdf/\",\"citationCount\":\"0\",\"resultStr\":null,\"platform\":\"Semanticscholar\",\"paperid\":null,\"PeriodicalName\":\"Case Reports in Urology\",\"FirstCategoryId\":\"1085\",\"ListUrlMain\":\"https://doi.org/10.1155/criu/5547651\",\"RegionNum\":0,\"RegionCategory\":null,\"ArticlePicture\":[],\"TitleCN\":null,\"AbstractTextCN\":null,\"PMCID\":null,\"EPubDate\":\"2025/1/1 0:00:00\",\"PubModel\":\"eCollection\",\"JCR\":\"\",\"JCRName\":\"\",\"Score\":null,\"Total\":0}","platform":"Semanticscholar","paperid":null,"PeriodicalName":"Case Reports in Urology","FirstCategoryId":"1085","ListUrlMain":"https://doi.org/10.1155/criu/5547651","RegionNum":0,"RegionCategory":null,"ArticlePicture":[],"TitleCN":null,"AbstractTextCN":null,"PMCID":null,"EPubDate":"2025/1/1 0:00:00","PubModel":"eCollection","JCR":"","JCRName":"","Score":null,"Total":0}
引用次数: 0

摘要

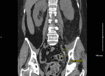
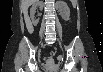
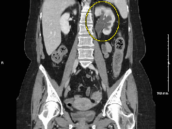
尿脓毒症是一种源自泌尿道的严重感染,可能危及生命。我们报告了一位56岁的女性患者,她在15天内两次出现尿脓毒症,每次发作都发生在支架移除后不久。输尿管镜下支架置入治疗左侧远端输尿管12毫米结石。尽管在影像学检查未发现结石残留后才取出支架,但不久后脓毒症发生,导致再次输尿管镜检查和支架置入。在第二次支架移除之前,影像学再次证实没有结石存在,但在第二次支架移除后,她再次出现败血症。两例败血症住院期间的进一步影像学检查显示结石碎片和肾积水,这在办公室评估中被遗漏。这个病例强调需要更有效的成像技术来检测残留的结石。输尿管镜下输尿管结石治疗后放置支架的决定也应仔细考虑,即使是低风险患者,以减少感染风险。
本文章由计算机程序翻译,如有差异,请以英文原文为准。

Recurrent Urosepsis Following Stent Removal for Ureteral Stones: A Case Report.

Recurrent Urosepsis Following Stent Removal for Ureteral Stones: A Case Report.

Recurrent Urosepsis Following Stent Removal for Ureteral Stones: A Case Report.

Recurrent Urosepsis Following Stent Removal for Ureteral Stones: A Case Report.

Urosepsis, a severe infection originating from the urinary tract, can be life-threatening. We present the case of a 56-year-old female who developed urosepsis twice within 15 days, each episode occurring shortly after stent removal. Ureteroscopy with stent placement was initially performed to treat a 12-mm stone in the distal left ureter. Although the stent was removed only after imaging showed no residual stones, sepsis developed shortly after, leading to another ureteroscopy and stent placement. Before the removal of the second stent, imaging again confirmed no stones were present, yet she experienced sepsis once more following the second stent removal. Further imaging studies during hospital admission for both episodes of sepsis revealed stone fragments and hydronephrosis which were missed during office evaluations. This case highlights the need for more effective imaging techniques to detect residual stones. The decision to place a stent after ureteroscopy for ureteral stone treatment should also be carefully considered, even for low-risk patients, to reduce infection risk.

求助全文
通过发布文献求助,成功后即可免费获取论文全文。 去求助
来源期刊
自引率
0.00%
发文量
28
审稿时长
13 weeks
×
引用
GB/T 7714-2015
复制
MLA
复制
APA
复制
导出至
BibTeX EndNote RefMan NoteFirst NoteExpress
×
提示
您的信息不完整,为了账户安全,请先补充。
现在去补充
×
提示
您因"违规操作"
具体请查看互助需知
我知道了
×
提示
确定
请完成安全验证×
copy
已复制链接
快去分享给好友吧!
我知道了
右上角分享
点击右上角分享
0
联系我们:info@booksci.cn Book学术提供免费学术资源搜索服务,方便国内外学者检索中英文文献。致力于提供最便捷和优质的服务体验。 Copyright © 2023 布克学术 All rights reserved.
京ICP备2023020795号-1
ghs 京公网安备 11010802042870号
Book学术文献互助
Book学术文献互助群
群 号:604180095
Book学术官方微信