创伤回声:dsa引导线圈栓塞治疗颈动脉海绵瘘,表现为眼部杂音和搏动性眼球突出。

Discoveries (Craiova, Romania) Pub Date : 2025-03-31 eCollection Date: 2025-01-01 DOI:10.15190/d.2025.2
Erekle Ekvtimishvil, Arpita Meher, Jessen Johnson
{"title":"创伤回声:dsa引导线圈栓塞治疗颈动脉海绵瘘,表现为眼部杂音和搏动性眼球突出。","authors":"Erekle Ekvtimishvil, Arpita Meher, Jessen Johnson","doi":"10.15190/d.2025.2","DOIUrl":null,"url":null,"abstract":"<p><p>Carotid-Cavernous Fistulas (CCFs) are abnormal arteriovenous connections between the carotid artery and the cavernous sinus, resulting from trauma. This case report presents a 47-year-old male who developed a CCF following a road traffic accident. The patient exhibited symptoms such as pulsatile exophthalmos and an ocular bruit, characteristic of CCFs. Diagnosis was confirmed through Digital Subtraction Angiography (DSA), revealed the origin of the fistula. The patient was treated using a novel combined approach of microsurgery and endovascular intervention, involving ligation of the internal carotid artery and transarterial coil embolization. The treatment resulted in rapid resolution of symptoms, including the pulsatile exophthalmos and ocular bruit. This case highlights the importance of a multidisciplinary approach, blending microsurgical and advanced endovascular techniques, in effectively managing traumatic CCFs. The study underscores the value of early diagnosis and the evolving role of minimally invasive procedures in improving patient outcomes.</p>","PeriodicalId":72829,"journal":{"name":"Discoveries (Craiova, Romania)","volume":"13 1","pages":"e203"},"PeriodicalIF":0.0000,"publicationDate":"2025-03-31","publicationTypes":"Journal Article","fieldsOfStudy":null,"isOpenAccess":false,"openAccessPdf":"https://www.ncbi.nlm.nih.gov/pmc/articles/PMC12062737/pdf/","citationCount":"0","resultStr":"{\"title\":\"Echoes of Trauma: DSA-Guided Coil Embolization for Carotid Cavernous Fistula Presenting with Ocular Bruit and Pulsatile Exophthalmos.\",\"authors\":\"Erekle Ekvtimishvil, Arpita Meher, Jessen Johnson\",\"doi\":\"10.15190/d.2025.2\",\"DOIUrl\":null,\"url\":null,\"abstract\":\"<p><p>Carotid-Cavernous Fistulas (CCFs) are abnormal arteriovenous connections between the carotid artery and the cavernous sinus, resulting from trauma. This case report presents a 47-year-old male who developed a CCF following a road traffic accident. The patient exhibited symptoms such as pulsatile exophthalmos and an ocular bruit, characteristic of CCFs. Diagnosis was confirmed through Digital Subtraction Angiography (DSA), revealed the origin of the fistula. The patient was treated using a novel combined approach of microsurgery and endovascular intervention, involving ligation of the internal carotid artery and transarterial coil embolization. The treatment resulted in rapid resolution of symptoms, including the pulsatile exophthalmos and ocular bruit. This case highlights the importance of a multidisciplinary approach, blending microsurgical and advanced endovascular techniques, in effectively managing traumatic CCFs. The study underscores the value of early diagnosis and the evolving role of minimally invasive procedures in improving patient outcomes.</p>\",\"PeriodicalId\":72829,\"journal\":{\"name\":\"Discoveries (Craiova, Romania)\",\"volume\":\"13 1\",\"pages\":\"e203\"},\"PeriodicalIF\":0.0000,\"publicationDate\":\"2025-03-31\",\"publicationTypes\":\"Journal Article\",\"fieldsOfStudy\":null,\"isOpenAccess\":false,\"openAccessPdf\":\"https://www.ncbi.nlm.nih.gov/pmc/articles/PMC12062737/pdf/\",\"citationCount\":\"0\",\"resultStr\":null,\"platform\":\"Semanticscholar\",\"paperid\":null,\"PeriodicalName\":\"Discoveries (Craiova, Romania)\",\"FirstCategoryId\":\"1085\",\"ListUrlMain\":\"https://doi.org/10.15190/d.2025.2\",\"RegionNum\":0,\"RegionCategory\":null,\"ArticlePicture\":[],\"TitleCN\":null,\"AbstractTextCN\":null,\"PMCID\":null,\"EPubDate\":\"2025/1/1 0:00:00\",\"PubModel\":\"eCollection\",\"JCR\":\"\",\"JCRName\":\"\",\"Score\":null,\"Total\":0}","platform":"Semanticscholar","paperid":null,"PeriodicalName":"Discoveries (Craiova, Romania)","FirstCategoryId":"1085","ListUrlMain":"https://doi.org/10.15190/d.2025.2","RegionNum":0,"RegionCategory":null,"ArticlePicture":[],"TitleCN":null,"AbstractTextCN":null,"PMCID":null,"EPubDate":"2025/1/1 0:00:00","PubModel":"eCollection","JCR":"","JCRName":"","Score":null,"Total":0}
引用次数: 0

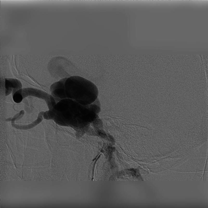
摘要

颈海绵状瘘(CCFs)是颈动脉和海绵窦之间异常的动静脉连接,由外伤引起。本病例报告提出一位47岁男性,在道路交通事故后发展为CCF。患者表现出搏动性眼球突出和眼球杂色等症状,这是CCFs的特征。通过数字减影血管造影(DSA)确认诊断,显示瘘的来源。患者采用显微手术和血管内介入治疗的新方法,包括内颈动脉结扎和经动脉线圈栓塞。治疗后症状迅速缓解,包括搏动性眼球突出和眼压。本病例强调了多学科方法的重要性,结合显微外科和先进的血管内技术,有效地治疗创伤性CCFs。该研究强调了早期诊断的价值和微创手术在改善患者预后方面的作用。
本文章由计算机程序翻译,如有差异,请以英文原文为准。

Echoes of Trauma: DSA-Guided Coil Embolization for Carotid Cavernous Fistula Presenting with Ocular Bruit and Pulsatile Exophthalmos.

Echoes of Trauma: DSA-Guided Coil Embolization for Carotid Cavernous Fistula Presenting with Ocular Bruit and Pulsatile Exophthalmos.

Echoes of Trauma: DSA-Guided Coil Embolization for Carotid Cavernous Fistula Presenting with Ocular Bruit and Pulsatile Exophthalmos.

Echoes of Trauma: DSA-Guided Coil Embolization for Carotid Cavernous Fistula Presenting with Ocular Bruit and Pulsatile Exophthalmos.

Carotid-Cavernous Fistulas (CCFs) are abnormal arteriovenous connections between the carotid artery and the cavernous sinus, resulting from trauma. This case report presents a 47-year-old male who developed a CCF following a road traffic accident. The patient exhibited symptoms such as pulsatile exophthalmos and an ocular bruit, characteristic of CCFs. Diagnosis was confirmed through Digital Subtraction Angiography (DSA), revealed the origin of the fistula. The patient was treated using a novel combined approach of microsurgery and endovascular intervention, involving ligation of the internal carotid artery and transarterial coil embolization. The treatment resulted in rapid resolution of symptoms, including the pulsatile exophthalmos and ocular bruit. This case highlights the importance of a multidisciplinary approach, blending microsurgical and advanced endovascular techniques, in effectively managing traumatic CCFs. The study underscores the value of early diagnosis and the evolving role of minimally invasive procedures in improving patient outcomes.

求助全文
通过发布文献求助,成功后即可免费获取论文全文。 去求助
来源期刊
自引率
0.00%
发文量
0
×
引用
GB/T 7714-2015
复制
MLA
复制
APA
复制
导出至
BibTeX EndNote RefMan NoteFirst NoteExpress
×
提示
您的信息不完整,为了账户安全,请先补充。
现在去补充
×
提示
您因"违规操作"
具体请查看互助需知
我知道了
×
提示
确定
请完成安全验证×
copy
已复制链接
快去分享给好友吧!
我知道了
右上角分享
点击右上角分享
0
联系我们:info@booksci.cn Book学术提供免费学术资源搜索服务,方便国内外学者检索中英文文献。致力于提供最便捷和优质的服务体验。 Copyright © 2023 布克学术 All rights reserved.
京ICP备2023020795号-1
ghs 京公网安备 11010802042870号
Book学术文献互助
Book学术文献互助群
群 号:604180095
Book学术官方微信