腹膜反射受累是直肠癌的预后因素。一项前瞻性研究的长期肿瘤预后。

IF 2.3 3区 医学 Q2 GASTROENTEROLOGY & HEPATOLOGY
Eduardo Alvarez-Sarrado, Matteo Frasson, Jorge Sancho-Muriel, Maria Jose Gomez-Jurado, Hanna Cholewa, Vicent Primo-Romaguera, Monica Millan, Adela Batista, Polina Rudenko, Blas Flor-Lorente, Eduardo Garcia-Granero, Francisco Giner
{"title":"腹膜反射受累是直肠癌的预后因素。一项前瞻性研究的长期肿瘤预后。","authors":"Eduardo Alvarez-Sarrado, Matteo Frasson, Jorge Sancho-Muriel, Maria Jose Gomez-Jurado, Hanna Cholewa, Vicent Primo-Romaguera, Monica Millan, Adela Batista, Polina Rudenko, Blas Flor-Lorente, Eduardo Garcia-Granero, Francisco Giner","doi":"10.1007/s00384-025-04909-7","DOIUrl":null,"url":null,"abstract":"<p><strong>Purpose: </strong>To assess the relevance of peritoneal reflection involvement in long-term oncological outcomes in patients with rectal cancer.</p><p><strong>Methods: </strong>Prospective observational study from a specialized colorectal unit that included a consecutive series of patients undergoing mesorectal excision for rectal cancer. Peritoneal reflection (PR) involvement was evaluated on pathological examination using Shepherd's classification. Overall survival (OS), disease-free survival (DFS), and local recurrence (LR) were assessed.</p><p><strong>Results: </strong>One hundred sixty patients were included in the present analysis. Peritoneal involvement was present in 28.2% of the 85 tumors above or at the level of PR. There were no differences in OS, DFS, or LR according to tumor's height location. The 5-year OS, DFS, and LR for tumors involving PR were 58.3%, 61.7%, and 30.3%, respectively. Patients with peritoneal involvement had a higher LR rate (p = 0.02) and shorter OS (p = 0.04). Shepherd's grade 4 peritoneal involvement was an independent risk factor for OS (HR 2.9; 95% CI 1.1-9.5, p = 0.04) and LR (HR 4.2; 95% CI 1.2-16.9, p = 0.04).</p><p><strong>Conclusion: </strong>After rectal cancer resection, peritoneal involvement is an independent risk factor for local recurrence and poor survival.</p>","PeriodicalId":13789,"journal":{"name":"International Journal of Colorectal Disease","volume":"40 1","pages":"114"},"PeriodicalIF":2.3000,"publicationDate":"2025-05-10","publicationTypes":"Journal Article","fieldsOfStudy":null,"isOpenAccess":false,"openAccessPdf":"https://www.ncbi.nlm.nih.gov/pmc/articles/PMC12065752/pdf/","citationCount":"0","resultStr":"{\"title\":\"Peritoneal reflection involvement as a prognostic factor in rectal cancer. Long-term oncological outcomes from a prospective study.\",\"authors\":\"Eduardo Alvarez-Sarrado, Matteo Frasson, Jorge Sancho-Muriel, Maria Jose Gomez-Jurado, Hanna Cholewa, Vicent Primo-Romaguera, Monica Millan, Adela Batista, Polina Rudenko, Blas Flor-Lorente, Eduardo Garcia-Granero, Francisco Giner\",\"doi\":\"10.1007/s00384-025-04909-7\",\"DOIUrl\":null,\"url\":null,\"abstract\":\"<p><strong>Purpose: </strong>To assess the relevance of peritoneal reflection involvement in long-term oncological outcomes in patients with rectal cancer.</p><p><strong>Methods: </strong>Prospective observational study from a specialized colorectal unit that included a consecutive series of patients undergoing mesorectal excision for rectal cancer. Peritoneal reflection (PR) involvement was evaluated on pathological examination using Shepherd's classification. Overall survival (OS), disease-free survival (DFS), and local recurrence (LR) were assessed.</p><p><strong>Results: </strong>One hundred sixty patients were included in the present analysis. Peritoneal involvement was present in 28.2% of the 85 tumors above or at the level of PR. There were no differences in OS, DFS, or LR according to tumor's height location. The 5-year OS, DFS, and LR for tumors involving PR were 58.3%, 61.7%, and 30.3%, respectively. Patients with peritoneal involvement had a higher LR rate (p = 0.02) and shorter OS (p = 0.04). Shepherd's grade 4 peritoneal involvement was an independent risk factor for OS (HR 2.9; 95% CI 1.1-9.5, p = 0.04) and LR (HR 4.2; 95% CI 1.2-16.9, p = 0.04).</p><p><strong>Conclusion: </strong>After rectal cancer resection, peritoneal involvement is an independent risk factor for local recurrence and poor survival.</p>\",\"PeriodicalId\":13789,\"journal\":{\"name\":\"International Journal of Colorectal Disease\",\"volume\":\"40 1\",\"pages\":\"114\"},\"PeriodicalIF\":2.3000,\"publicationDate\":\"2025-05-10\",\"publicationTypes\":\"Journal Article\",\"fieldsOfStudy\":null,\"isOpenAccess\":false,\"openAccessPdf\":\"https://www.ncbi.nlm.nih.gov/pmc/articles/PMC12065752/pdf/\",\"citationCount\":\"0\",\"resultStr\":null,\"platform\":\"Semanticscholar\",\"paperid\":null,\"PeriodicalName\":\"International Journal of Colorectal Disease\",\"FirstCategoryId\":\"3\",\"ListUrlMain\":\"https://doi.org/10.1007/s00384-025-04909-7\",\"RegionNum\":3,\"RegionCategory\":\"医学\",\"ArticlePicture\":[],\"TitleCN\":null,\"AbstractTextCN\":null,\"PMCID\":null,\"EPubDate\":\"\",\"PubModel\":\"\",\"JCR\":\"Q2\",\"JCRName\":\"GASTROENTEROLOGY & HEPATOLOGY\",\"Score\":null,\"Total\":0}","platform":"Semanticscholar","paperid":null,"PeriodicalName":"International Journal of Colorectal Disease","FirstCategoryId":"3","ListUrlMain":"https://doi.org/10.1007/s00384-025-04909-7","RegionNum":3,"RegionCategory":"医学","ArticlePicture":[],"TitleCN":null,"AbstractTextCN":null,"PMCID":null,"EPubDate":"","PubModel":"","JCR":"Q2","JCRName":"GASTROENTEROLOGY & HEPATOLOGY","Score":null,"Total":0}
引用次数: 0

摘要

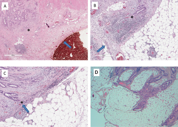
目的:评估腹膜反射受累与直肠癌患者长期肿瘤预后的相关性。方法:前瞻性观察研究,来自一个专门的结直肠单位,包括连续一系列接受直肠癌肠系膜切除术的患者。病理检查采用Shepherd分级法评价腹膜反射(PR)受累情况。评估总生存期(OS)、无病生存期(DFS)和局部复发(LR)。结果:160例患者纳入本分析。在85例高于或低于PR水平的肿瘤中,有28.2%的肿瘤累及腹膜。肿瘤高度位置不同,OS、DFS或LR无差异。累及PR的肿瘤5年OS、DFS和LR分别为58.3%、61.7%和30.3%。累及腹膜的患者LR率较高(p = 0.02), OS较短(p = 0.04)。Shepherd 4级腹膜受累是OS的独立危险因素(HR 2.9;95% CI 1.1-9.5, p = 0.04)和LR (HR 4.2;95% CI 1.2 ~ 16.9, p = 0.04)。结论:直肠癌切除术后腹膜受累是局部复发和生存差的独立危险因素。
本文章由计算机程序翻译,如有差异,请以英文原文为准。

Peritoneal reflection involvement as a prognostic factor in rectal cancer. Long-term oncological outcomes from a prospective study.

Peritoneal reflection involvement as a prognostic factor in rectal cancer. Long-term oncological outcomes from a prospective study.

Peritoneal reflection involvement as a prognostic factor in rectal cancer. Long-term oncological outcomes from a prospective study.

Purpose: To assess the relevance of peritoneal reflection involvement in long-term oncological outcomes in patients with rectal cancer.

Methods: Prospective observational study from a specialized colorectal unit that included a consecutive series of patients undergoing mesorectal excision for rectal cancer. Peritoneal reflection (PR) involvement was evaluated on pathological examination using Shepherd's classification. Overall survival (OS), disease-free survival (DFS), and local recurrence (LR) were assessed.

Results: One hundred sixty patients were included in the present analysis. Peritoneal involvement was present in 28.2% of the 85 tumors above or at the level of PR. There were no differences in OS, DFS, or LR according to tumor's height location. The 5-year OS, DFS, and LR for tumors involving PR were 58.3%, 61.7%, and 30.3%, respectively. Patients with peritoneal involvement had a higher LR rate (p = 0.02) and shorter OS (p = 0.04). Shepherd's grade 4 peritoneal involvement was an independent risk factor for OS (HR 2.9; 95% CI 1.1-9.5, p = 0.04) and LR (HR 4.2; 95% CI 1.2-16.9, p = 0.04).

Conclusion: After rectal cancer resection, peritoneal involvement is an independent risk factor for local recurrence and poor survival.

求助全文
通过发布文献求助,成功后即可免费获取论文全文。 去求助
来源期刊
CiteScore
4.90
自引率
3.60%
发文量
206
审稿时长
3-8 weeks
期刊介绍: The International Journal of Colorectal Disease, Clinical and Molecular Gastroenterology and Surgery aims to publish novel and state-of-the-art papers which deal with the physiology and pathophysiology of diseases involving the entire gastrointestinal tract. In addition to original research articles, the following categories will be included: reviews (usually commissioned but may also be submitted), case reports, letters to the editor, and protocols on clinical studies. The journal offers its readers an interdisciplinary forum for clinical science and molecular research related to gastrointestinal disease.
×
引用
GB/T 7714-2015
复制
MLA
复制
APA
复制
导出至
BibTeX EndNote RefMan NoteFirst NoteExpress
×
提示
您的信息不完整,为了账户安全,请先补充。
现在去补充
×
提示
您因"违规操作"
具体请查看互助需知
我知道了
×
提示
确定
请完成安全验证×
copy
已复制链接
快去分享给好友吧!
我知道了
右上角分享
点击右上角分享
0
联系我们:info@booksci.cn Book学术提供免费学术资源搜索服务,方便国内外学者检索中英文文献。致力于提供最便捷和优质的服务体验。 Copyright © 2023 布克学术 All rights reserved.
京ICP备2023020795号-1
ghs 京公网安备 11010802042870号
Book学术文献互助
Book学术文献互助群
群 号:604180095
Book学术官方微信