锌纳米颗粒减轻氮嘧菌酯及其纳米包封引起的大鼠肝、肾毒性。

IF 7.4 2区 生物学 Q1 BIOCHEMISTRY & MOLECULAR BIOLOGY
Redox Report Pub Date : 2025-12-01 Epub Date: 2025-04-20 DOI:10.1080/13510002.2025.2491318
Nashwa Elshaer, Ahmed M Eldeeb, Ahmed A A Aioub, Ahmed S Hashem, Soumya Ghosh, Lamya Ahmed Alkeridis, Mohammed Ali Alshehri, Mustafa Shukry, Daklallah A Almalki, Hind A Alkhatabi, Mohamed Afifi, Ammar Al-Farga, Mohamed A Hendawy, Ahmed E A El-Sobki
{"title":"锌纳米颗粒减轻氮嘧菌酯及其纳米包封引起的大鼠肝、肾毒性。","authors":"Nashwa Elshaer, Ahmed M Eldeeb, Ahmed A A Aioub, Ahmed S Hashem, Soumya Ghosh, Lamya Ahmed Alkeridis, Mohammed Ali Alshehri, Mustafa Shukry, Daklallah A Almalki, Hind A Alkhatabi, Mohamed Afifi, Ammar Al-Farga, Mohamed A Hendawy, Ahmed E A El-Sobki","doi":"10.1080/13510002.2025.2491318","DOIUrl":null,"url":null,"abstract":"<p><p>This study sought to ascertain if zinc nanoparticles (ZnNPs) could lessen the toxicity of azoxystrobin (AZ). This naturally occurring methoxyacrylate is one of the most often used fungicides in agriculture in male albino rats. Six sets of 60 mature male albino rats were randomly assigned: control (distilled water), Azoxystrobin formulation (AZOF), Azoxystrobin nano-formula (AZON), ZnNPs, AZOF + ZnNPs, and AZON + ZnNPs. Blood and tissues were obtained for further immunohistochemical, pathological, and biochemical examination. The results showed that exposure to AZOF and AZON significantly increased the levels of the oxidative stress indicators glutathione peroxidase (GPx), catalase (CAT), superoxide dismutase (SOD), and malondialdehyde (MDA). Additionally, AZOF significantly impacts liver function bioindicators, including aspartate aminotransferase (AST) and alanine aminotransferase (ALT) levels. AZOF and AZON induced damage to the liver and kidney by disrupting vascular dilatation and causing hemorrhages, apoptosis, inflammatory lymphocytes, and necrosis. Furthermore, co-administration of ZnNPs with fungicides (AZOF and AZON) can gently enhance the alterations of oxidative stress and liver function bioindicators levels. These findings showed that ZnNPs could help male rats receiving AZ treat their histologically abnormal liver and kidney.</p>","PeriodicalId":21096,"journal":{"name":"Redox Report","volume":"30 1","pages":"2491318"},"PeriodicalIF":7.4000,"publicationDate":"2025-12-01","publicationTypes":"Journal Article","fieldsOfStudy":null,"isOpenAccess":false,"openAccessPdf":"https://www.ncbi.nlm.nih.gov/pmc/articles/PMC12010655/pdf/","citationCount":"0","resultStr":"{\"title\":\"Zinc nanoparticles mitigate azoxystrobin and its nanoencapsulation-induced hepatic and renal toxicity in rats.\",\"authors\":\"Nashwa Elshaer, Ahmed M Eldeeb, Ahmed A A Aioub, Ahmed S Hashem, Soumya Ghosh, Lamya Ahmed Alkeridis, Mohammed Ali Alshehri, Mustafa Shukry, Daklallah A Almalki, Hind A Alkhatabi, Mohamed Afifi, Ammar Al-Farga, Mohamed A Hendawy, Ahmed E A El-Sobki\",\"doi\":\"10.1080/13510002.2025.2491318\",\"DOIUrl\":null,\"url\":null,\"abstract\":\"<p><p>This study sought to ascertain if zinc nanoparticles (ZnNPs) could lessen the toxicity of azoxystrobin (AZ). This naturally occurring methoxyacrylate is one of the most often used fungicides in agriculture in male albino rats. Six sets of 60 mature male albino rats were randomly assigned: control (distilled water), Azoxystrobin formulation (AZOF), Azoxystrobin nano-formula (AZON), ZnNPs, AZOF + ZnNPs, and AZON + ZnNPs. Blood and tissues were obtained for further immunohistochemical, pathological, and biochemical examination. The results showed that exposure to AZOF and AZON significantly increased the levels of the oxidative stress indicators glutathione peroxidase (GPx), catalase (CAT), superoxide dismutase (SOD), and malondialdehyde (MDA). Additionally, AZOF significantly impacts liver function bioindicators, including aspartate aminotransferase (AST) and alanine aminotransferase (ALT) levels. AZOF and AZON induced damage to the liver and kidney by disrupting vascular dilatation and causing hemorrhages, apoptosis, inflammatory lymphocytes, and necrosis. Furthermore, co-administration of ZnNPs with fungicides (AZOF and AZON) can gently enhance the alterations of oxidative stress and liver function bioindicators levels. These findings showed that ZnNPs could help male rats receiving AZ treat their histologically abnormal liver and kidney.</p>\",\"PeriodicalId\":21096,\"journal\":{\"name\":\"Redox Report\",\"volume\":\"30 1\",\"pages\":\"2491318\"},\"PeriodicalIF\":7.4000,\"publicationDate\":\"2025-12-01\",\"publicationTypes\":\"Journal Article\",\"fieldsOfStudy\":null,\"isOpenAccess\":false,\"openAccessPdf\":\"https://www.ncbi.nlm.nih.gov/pmc/articles/PMC12010655/pdf/\",\"citationCount\":\"0\",\"resultStr\":null,\"platform\":\"Semanticscholar\",\"paperid\":null,\"PeriodicalName\":\"Redox Report\",\"FirstCategoryId\":\"99\",\"ListUrlMain\":\"https://doi.org/10.1080/13510002.2025.2491318\",\"RegionNum\":2,\"RegionCategory\":\"生物学\",\"ArticlePicture\":[],\"TitleCN\":null,\"AbstractTextCN\":null,\"PMCID\":null,\"EPubDate\":\"2025/4/20 0:00:00\",\"PubModel\":\"Epub\",\"JCR\":\"Q1\",\"JCRName\":\"BIOCHEMISTRY & MOLECULAR BIOLOGY\",\"Score\":null,\"Total\":0}","platform":"Semanticscholar","paperid":null,"PeriodicalName":"Redox Report","FirstCategoryId":"99","ListUrlMain":"https://doi.org/10.1080/13510002.2025.2491318","RegionNum":2,"RegionCategory":"生物学","ArticlePicture":[],"TitleCN":null,"AbstractTextCN":null,"PMCID":null,"EPubDate":"2025/4/20 0:00:00","PubModel":"Epub","JCR":"Q1","JCRName":"BIOCHEMISTRY & MOLECULAR BIOLOGY","Score":null,"Total":0}
引用次数: 0

摘要

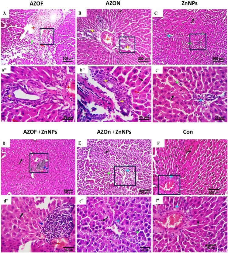
本研究旨在确定锌纳米颗粒(ZnNPs)是否可以减轻氮氧嘧啶(AZ)的毒性。这种天然存在的甲氧基丙烯酸酯是农业中雄性白化大鼠最常用的杀菌剂之一。选择6组60只成年雄性白化病大鼠,随机分为:对照组(蒸馏水)、氮氧虫胺制剂(AZOF)、氮氧虫胺纳米制剂(AZON)、ZnNPs、AZOF + ZnNPs和AZON + ZnNPs。取血液和组织作进一步的免疫组织化学、病理和生化检查。结果表明,暴露于AZOF和AZON显著提高了氧化应激指标谷胱甘肽过氧化物酶(GPx)、过氧化氢酶(CAT)、超氧化物歧化酶(SOD)和丙二醛(MDA)水平。此外,AZOF显著影响肝功能生物指标,包括天冬氨酸转氨酶(AST)和丙氨酸转氨酶(ALT)水平。AZOF和AZON通过破坏血管扩张和引起出血、细胞凋亡、炎症淋巴细胞和坏死来诱导肝脏和肾脏损伤。此外,ZnNPs与杀菌剂(AZOF和AZON)共同给药可以轻度增强氧化应激和肝功能生物指标水平的改变。上述结果表明,ZnNPs对AZ雄性大鼠肝肾组织学异常具有一定的治疗作用。
本文章由计算机程序翻译,如有差异,请以英文原文为准。

Zinc nanoparticles mitigate azoxystrobin and its nanoencapsulation-induced hepatic and renal toxicity in rats.

Zinc nanoparticles mitigate azoxystrobin and its nanoencapsulation-induced hepatic and renal toxicity in rats.

Zinc nanoparticles mitigate azoxystrobin and its nanoencapsulation-induced hepatic and renal toxicity in rats.

Zinc nanoparticles mitigate azoxystrobin and its nanoencapsulation-induced hepatic and renal toxicity in rats.

This study sought to ascertain if zinc nanoparticles (ZnNPs) could lessen the toxicity of azoxystrobin (AZ). This naturally occurring methoxyacrylate is one of the most often used fungicides in agriculture in male albino rats. Six sets of 60 mature male albino rats were randomly assigned: control (distilled water), Azoxystrobin formulation (AZOF), Azoxystrobin nano-formula (AZON), ZnNPs, AZOF + ZnNPs, and AZON + ZnNPs. Blood and tissues were obtained for further immunohistochemical, pathological, and biochemical examination. The results showed that exposure to AZOF and AZON significantly increased the levels of the oxidative stress indicators glutathione peroxidase (GPx), catalase (CAT), superoxide dismutase (SOD), and malondialdehyde (MDA). Additionally, AZOF significantly impacts liver function bioindicators, including aspartate aminotransferase (AST) and alanine aminotransferase (ALT) levels. AZOF and AZON induced damage to the liver and kidney by disrupting vascular dilatation and causing hemorrhages, apoptosis, inflammatory lymphocytes, and necrosis. Furthermore, co-administration of ZnNPs with fungicides (AZOF and AZON) can gently enhance the alterations of oxidative stress and liver function bioindicators levels. These findings showed that ZnNPs could help male rats receiving AZ treat their histologically abnormal liver and kidney.

求助全文
通过发布文献求助,成功后即可免费获取论文全文。 去求助
来源期刊
Redox Report
Redox Report 生物-生化与分子生物学
CiteScore
6.10
自引率
0.00%
发文量
28
审稿时长
>12 weeks
期刊介绍: Redox Report is a multidisciplinary peer-reviewed open access journal focusing on the role of free radicals, oxidative stress, activated oxygen, perioxidative and redox processes, primarily in the human environment and human pathology. Relevant papers on the animal and plant environment, biology and pathology will also be included. While emphasis is placed upon methodological and intellectual advances underpinned by new data, the journal offers scope for review, hypotheses, critiques and other forms of discussion.
×
引用
GB/T 7714-2015
复制
MLA
复制
APA
复制
导出至
BibTeX EndNote RefMan NoteFirst NoteExpress
×
提示
您的信息不完整,为了账户安全,请先补充。
现在去补充
×
提示
您因"违规操作"
具体请查看互助需知
我知道了
×
提示
确定
请完成安全验证×
copy
已复制链接
快去分享给好友吧!
我知道了
右上角分享
点击右上角分享
0
联系我们:info@booksci.cn Book学术提供免费学术资源搜索服务,方便国内外学者检索中英文文献。致力于提供最便捷和优质的服务体验。 Copyright © 2023 布克学术 All rights reserved.
京ICP备2023020795号-1
ghs 京公网安备 11010802042870号
Book学术文献互助
Book学术文献互助群
群 号:604180095
Book学术官方微信