从良性到恶性:肠系膜去分化脂肪肉瘤伴炎性肌成纤维细胞肿瘤样特征1例。

IF 2.3 3区 医学 Q2 PATHOLOGY
Simon Schallenberg, Miriam Schulte, Mihnea P Dragomir, Armin Jarosch, Wolfgang Hartmann, Eva Wardelmann
{"title":"从良性到恶性:肠系膜去分化脂肪肉瘤伴炎性肌成纤维细胞肿瘤样特征1例。","authors":"Simon Schallenberg, Miriam Schulte, Mihnea P Dragomir, Armin Jarosch, Wolfgang Hartmann, Eva Wardelmann","doi":"10.1186/s13000-025-01640-3","DOIUrl":null,"url":null,"abstract":"<p><p>Dedifferentiated liposarcoma (DDLPS) with inflammatory myofibroblastic tumor (IMT)-like features is a rare and diagnostically challenging variant of soft tissue sarcoma. We report the case of a 74-year-old man who presented with a mesenteric mass in 2022 and recurrent tumors in 2024. Tissue from both primary and recurrent tumors were submitted to our reference center for pathological reevaluation, with a suspicion of IMT being suspected. Although the tumors exhibited morphological characteristics consistent with those observed in IMT, they displayed distinctive histological, immunohistochemical and molecular features suggestive of DDLPS with IMT-like features, including amplification of the MDM2 gene. This report highlights the morphological spectrum of DDLPS, the diagnostic role of molecular pathology, and the importance of differentiating this aggressive neoplasm from benign entities such as IMT.</p>","PeriodicalId":11237,"journal":{"name":"Diagnostic Pathology","volume":"20 1","pages":"39"},"PeriodicalIF":2.3000,"publicationDate":"2025-04-10","publicationTypes":"Journal Article","fieldsOfStudy":null,"isOpenAccess":false,"openAccessPdf":"https://www.ncbi.nlm.nih.gov/pmc/articles/PMC11984290/pdf/","citationCount":"0","resultStr":"{\"title\":\"From benign appearance to malignant truth: a case report of mesenteric dedifferentiated liposarcoma with inflammatory myofibroblastic tumor-like features.\",\"authors\":\"Simon Schallenberg, Miriam Schulte, Mihnea P Dragomir, Armin Jarosch, Wolfgang Hartmann, Eva Wardelmann\",\"doi\":\"10.1186/s13000-025-01640-3\",\"DOIUrl\":null,\"url\":null,\"abstract\":\"<p><p>Dedifferentiated liposarcoma (DDLPS) with inflammatory myofibroblastic tumor (IMT)-like features is a rare and diagnostically challenging variant of soft tissue sarcoma. We report the case of a 74-year-old man who presented with a mesenteric mass in 2022 and recurrent tumors in 2024. Tissue from both primary and recurrent tumors were submitted to our reference center for pathological reevaluation, with a suspicion of IMT being suspected. Although the tumors exhibited morphological characteristics consistent with those observed in IMT, they displayed distinctive histological, immunohistochemical and molecular features suggestive of DDLPS with IMT-like features, including amplification of the MDM2 gene. This report highlights the morphological spectrum of DDLPS, the diagnostic role of molecular pathology, and the importance of differentiating this aggressive neoplasm from benign entities such as IMT.</p>\",\"PeriodicalId\":11237,\"journal\":{\"name\":\"Diagnostic Pathology\",\"volume\":\"20 1\",\"pages\":\"39\"},\"PeriodicalIF\":2.3000,\"publicationDate\":\"2025-04-10\",\"publicationTypes\":\"Journal Article\",\"fieldsOfStudy\":null,\"isOpenAccess\":false,\"openAccessPdf\":\"https://www.ncbi.nlm.nih.gov/pmc/articles/PMC11984290/pdf/\",\"citationCount\":\"0\",\"resultStr\":null,\"platform\":\"Semanticscholar\",\"paperid\":null,\"PeriodicalName\":\"Diagnostic Pathology\",\"FirstCategoryId\":\"3\",\"ListUrlMain\":\"https://doi.org/10.1186/s13000-025-01640-3\",\"RegionNum\":3,\"RegionCategory\":\"医学\",\"ArticlePicture\":[],\"TitleCN\":null,\"AbstractTextCN\":null,\"PMCID\":null,\"EPubDate\":\"\",\"PubModel\":\"\",\"JCR\":\"Q2\",\"JCRName\":\"PATHOLOGY\",\"Score\":null,\"Total\":0}","platform":"Semanticscholar","paperid":null,"PeriodicalName":"Diagnostic Pathology","FirstCategoryId":"3","ListUrlMain":"https://doi.org/10.1186/s13000-025-01640-3","RegionNum":3,"RegionCategory":"医学","ArticlePicture":[],"TitleCN":null,"AbstractTextCN":null,"PMCID":null,"EPubDate":"","PubModel":"","JCR":"Q2","JCRName":"PATHOLOGY","Score":null,"Total":0}
引用次数: 0

摘要

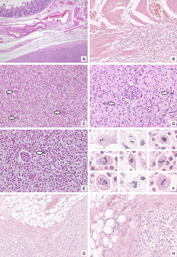
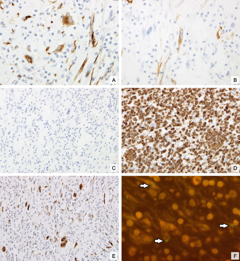
伴有炎性肌纤维母细胞瘤(IMT)样特征的去分化脂肪肉瘤(DDLPS)是一种罕见的软组织肉瘤,诊断上具有挑战性。我们报告一例74岁的男性,他在2022年出现肠系膜肿块,并在2024年复发肿瘤。原发和复发肿瘤的组织都提交给我们的参考中心进行病理重新评估,怀疑有IMT。尽管肿瘤表现出与IMT一致的形态学特征,但它们表现出独特的组织学、免疫组织化学和分子特征,提示具有IMT样特征的DDLPS,包括MDM2基因扩增。本报告强调了DDLPS的形态学谱,分子病理学的诊断作用,以及将这种侵袭性肿瘤与良性肿瘤(如IMT)区分开来的重要性。
本文章由计算机程序翻译,如有差异,请以英文原文为准。

From benign appearance to malignant truth: a case report of mesenteric dedifferentiated liposarcoma with inflammatory myofibroblastic tumor-like features.

From benign appearance to malignant truth: a case report of mesenteric dedifferentiated liposarcoma with inflammatory myofibroblastic tumor-like features.

From benign appearance to malignant truth: a case report of mesenteric dedifferentiated liposarcoma with inflammatory myofibroblastic tumor-like features.

Dedifferentiated liposarcoma (DDLPS) with inflammatory myofibroblastic tumor (IMT)-like features is a rare and diagnostically challenging variant of soft tissue sarcoma. We report the case of a 74-year-old man who presented with a mesenteric mass in 2022 and recurrent tumors in 2024. Tissue from both primary and recurrent tumors were submitted to our reference center for pathological reevaluation, with a suspicion of IMT being suspected. Although the tumors exhibited morphological characteristics consistent with those observed in IMT, they displayed distinctive histological, immunohistochemical and molecular features suggestive of DDLPS with IMT-like features, including amplification of the MDM2 gene. This report highlights the morphological spectrum of DDLPS, the diagnostic role of molecular pathology, and the importance of differentiating this aggressive neoplasm from benign entities such as IMT.

求助全文
通过发布文献求助,成功后即可免费获取论文全文。 去求助
来源期刊
Diagnostic Pathology
Diagnostic Pathology 医学-病理学
CiteScore
4.60
自引率
0.00%
发文量
93
审稿时长
1 months
期刊介绍: Diagnostic Pathology is an open access, peer-reviewed, online journal that considers research in surgical and clinical pathology, immunology, and biology, with a special focus on cutting-edge approaches in diagnostic pathology and tissue-based therapy. The journal covers all aspects of surgical pathology, including classic diagnostic pathology, prognosis-related diagnosis (tumor stages, prognosis markers, such as MIB-percentage, hormone receptors, etc.), and therapy-related findings. The journal also focuses on the technological aspects of pathology, including molecular biology techniques, morphometry aspects (stereology, DNA analysis, syntactic structure analysis), communication aspects (telecommunication, virtual microscopy, virtual pathology institutions, etc.), and electronic education and quality assurance (for example interactive publication, on-line references with automated updating, etc.).
×
引用
GB/T 7714-2015
复制
MLA
复制
APA
复制
导出至
BibTeX EndNote RefMan NoteFirst NoteExpress
×
提示
您的信息不完整,为了账户安全,请先补充。
现在去补充
×
提示
您因"违规操作"
具体请查看互助需知
我知道了
×
提示
确定
请完成安全验证×
copy
已复制链接
快去分享给好友吧!
我知道了
右上角分享
点击右上角分享
0
联系我们:info@booksci.cn Book学术提供免费学术资源搜索服务,方便国内外学者检索中英文文献。致力于提供最便捷和优质的服务体验。 Copyright © 2023 布克学术 All rights reserved.
京ICP备2023020795号-1
ghs 京公网安备 11010802042870号
Book学术文献互助
Book学术文献互助群
群 号:604180095
Book学术官方微信