基于人工智能的肺结节随诊胸部CT自动匹配。

IF 3.6 Q1 RADIOLOGY, NUCLEAR MEDICINE & MEDICAL IMAGING
Nicola Fink, Jonathan I Sperl, Johannes Rueckel, Theresa Stüber, Sophia S Goller, Jan Rudolph, Felix Escher, Theresia Aschauer, Boj F Hoppe, Jens Ricke, Bastian O Sabel
{"title":"基于人工智能的肺结节随诊胸部CT自动匹配。","authors":"Nicola Fink, Jonathan I Sperl, Johannes Rueckel, Theresa Stüber, Sophia S Goller, Jan Rudolph, Felix Escher, Theresia Aschauer, Boj F Hoppe, Jens Ricke, Bastian O Sabel","doi":"10.1186/s41747-025-00579-w","DOIUrl":null,"url":null,"abstract":"<p><strong>Background: </strong>The growing demand for follow-up imaging highlights the need for tools supporting the assessment of pulmonary nodules over time. We evaluated the performance of an artificial intelligence (AI)-based system for automated nodule matching.</p><p><strong>Methods: </strong>In this single-center study, patients with nodules and ≤ 2 chest computed tomography (CT) examinations were retrospectively selected. An AI-based algorithm was used for automated nodule detection and matching. The matching rate and the causes for incorrect matching were evaluated for the ten largest lesions (5-30 mm in diameter) registered on baseline CT. The dependence of the matching rate on nodule number and localization was also analyzed.</p><p><strong>Results: </strong>One hundred patients (46 females), with a median age of 62 years (interquartile range 57-69), and 253 CTs were included. Focusing on the ten largest lesions, 1,141 lesions were identified, of which 36 (3.2%) were other structures incorrectly identified as nodules (false-positives). Of the 1,105 identified nodules, 964 (87.2%) were correctly detected and matched. The matching rate for nodules registered in both baseline and follow-up scans was 97.8%. The matching rate per case ranged 80.0-100.0% (median 90.0%). Correct matching rate decreased in follow-up examinations to over 50 nodules (p = 0.003), with an overrepresentation of missed matching. Matching rates were higher in parenchymal (91.8%), peripheral (84.4%), and juxtavascular (82.4%) nodules than in juxtaphrenic nodules (71.1%) (p < 0.001). Missed matching was overrepresented in juxtavascular, and incorrect assignment in juxtaphrenic nodules.</p><p><strong>Conclusion: </strong>The correct automated-matching rate of metastatic pulmonary nodules in follow-up examinations was high, but it depends on localization and a number of nodules.</p><p><strong>Relevance statement: </strong>The algorithm enables precise follow-up matching of pulmonary nodules, potentially providing a solid basis for standardized and accurate evaluations. Understanding the algorithm's strengths and weaknesses based on nodule localization and number enhances the interpretation of AI-based results.</p><p><strong>Key points: </strong>The AI algorithm achieved a correct nodule matching rate of 87.2% and up to 97.8% when considering nodules detected in both baseline and follow-up scans. Matching accuracy depended on nodule number and localization. This algorithm has the potential to support response evaluation criteria in solid tumor-based evaluations in clinical practice.</p>","PeriodicalId":36926,"journal":{"name":"European Radiology Experimental","volume":"9 1","pages":"48"},"PeriodicalIF":3.6000,"publicationDate":"2025-05-02","publicationTypes":"Journal Article","fieldsOfStudy":null,"isOpenAccess":false,"openAccessPdf":"https://www.ncbi.nlm.nih.gov/pmc/articles/PMC12048373/pdf/","citationCount":"0","resultStr":"{\"title\":\"Artificial intelligence-based automated matching of pulmonary nodules on follow-up chest CT.\",\"authors\":\"Nicola Fink, Jonathan I Sperl, Johannes Rueckel, Theresa Stüber, Sophia S Goller, Jan Rudolph, Felix Escher, Theresia Aschauer, Boj F Hoppe, Jens Ricke, Bastian O Sabel\",\"doi\":\"10.1186/s41747-025-00579-w\",\"DOIUrl\":null,\"url\":null,\"abstract\":\"<p><strong>Background: </strong>The growing demand for follow-up imaging highlights the need for tools supporting the assessment of pulmonary nodules over time. We evaluated the performance of an artificial intelligence (AI)-based system for automated nodule matching.</p><p><strong>Methods: </strong>In this single-center study, patients with nodules and ≤ 2 chest computed tomography (CT) examinations were retrospectively selected. An AI-based algorithm was used for automated nodule detection and matching. The matching rate and the causes for incorrect matching were evaluated for the ten largest lesions (5-30 mm in diameter) registered on baseline CT. The dependence of the matching rate on nodule number and localization was also analyzed.</p><p><strong>Results: </strong>One hundred patients (46 females), with a median age of 62 years (interquartile range 57-69), and 253 CTs were included. Focusing on the ten largest lesions, 1,141 lesions were identified, of which 36 (3.2%) were other structures incorrectly identified as nodules (false-positives). Of the 1,105 identified nodules, 964 (87.2%) were correctly detected and matched. The matching rate for nodules registered in both baseline and follow-up scans was 97.8%. The matching rate per case ranged 80.0-100.0% (median 90.0%). Correct matching rate decreased in follow-up examinations to over 50 nodules (p = 0.003), with an overrepresentation of missed matching. Matching rates were higher in parenchymal (91.8%), peripheral (84.4%), and juxtavascular (82.4%) nodules than in juxtaphrenic nodules (71.1%) (p < 0.001). Missed matching was overrepresented in juxtavascular, and incorrect assignment in juxtaphrenic nodules.</p><p><strong>Conclusion: </strong>The correct automated-matching rate of metastatic pulmonary nodules in follow-up examinations was high, but it depends on localization and a number of nodules.</p><p><strong>Relevance statement: </strong>The algorithm enables precise follow-up matching of pulmonary nodules, potentially providing a solid basis for standardized and accurate evaluations. Understanding the algorithm's strengths and weaknesses based on nodule localization and number enhances the interpretation of AI-based results.</p><p><strong>Key points: </strong>The AI algorithm achieved a correct nodule matching rate of 87.2% and up to 97.8% when considering nodules detected in both baseline and follow-up scans. Matching accuracy depended on nodule number and localization. This algorithm has the potential to support response evaluation criteria in solid tumor-based evaluations in clinical practice.</p>\",\"PeriodicalId\":36926,\"journal\":{\"name\":\"European Radiology Experimental\",\"volume\":\"9 1\",\"pages\":\"48\"},\"PeriodicalIF\":3.6000,\"publicationDate\":\"2025-05-02\",\"publicationTypes\":\"Journal Article\",\"fieldsOfStudy\":null,\"isOpenAccess\":false,\"openAccessPdf\":\"https://www.ncbi.nlm.nih.gov/pmc/articles/PMC12048373/pdf/\",\"citationCount\":\"0\",\"resultStr\":null,\"platform\":\"Semanticscholar\",\"paperid\":null,\"PeriodicalName\":\"European Radiology Experimental\",\"FirstCategoryId\":\"1085\",\"ListUrlMain\":\"https://doi.org/10.1186/s41747-025-00579-w\",\"RegionNum\":0,\"RegionCategory\":null,\"ArticlePicture\":[],\"TitleCN\":null,\"AbstractTextCN\":null,\"PMCID\":null,\"EPubDate\":\"\",\"PubModel\":\"\",\"JCR\":\"Q1\",\"JCRName\":\"RADIOLOGY, NUCLEAR MEDICINE & MEDICAL IMAGING\",\"Score\":null,\"Total\":0}","platform":"Semanticscholar","paperid":null,"PeriodicalName":"European Radiology Experimental","FirstCategoryId":"1085","ListUrlMain":"https://doi.org/10.1186/s41747-025-00579-w","RegionNum":0,"RegionCategory":null,"ArticlePicture":[],"TitleCN":null,"AbstractTextCN":null,"PMCID":null,"EPubDate":"","PubModel":"","JCR":"Q1","JCRName":"RADIOLOGY, NUCLEAR MEDICINE & MEDICAL IMAGING","Score":null,"Total":0}
引用次数: 0

摘要

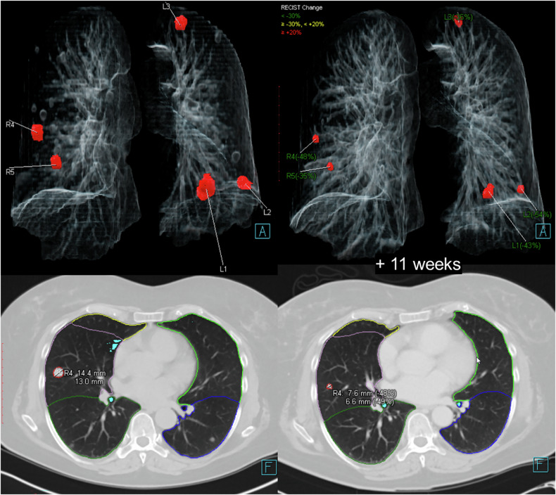
背景:随着时间的推移,对随访影像的需求不断增长,这凸显了对支持肺结节评估的工具的需求。我们评估了一个基于人工智能(AI)的自动模块匹配系统的性能。方法:在本单中心研究中,回顾性选择有结节且胸部CT检查≤2次的患者。采用基于人工智能的算法进行自动结节检测和匹配。对基线CT记录的10个最大病变(直径5- 30mm)的匹配率和不正确匹配的原因进行了评估。分析了匹配率与结节数量和定位的关系。结果:纳入100例患者(46例女性),中位年龄62岁(四分位数范围57-69),253例ct。以10个最大的病变为重点,鉴定出1141个病变,其中36个(3.2%)是被错误识别为结节的其他结构(假阳性)。在1105例确诊的结节中,964例(87.2%)被正确检测和匹配。基线和随访扫描中登记的结节匹配率为97.8%。每例匹配率为80.0% -100.0%(中位数为90.0%)。在超过50个结节的随访检查中,正确匹配率下降(p = 0.003),漏配率过高。肺实质结节(91.8%)、外周结节(84.4%)和血管旁结节(82.4%)的匹配率高于肾旁结节(71.1%)。(p)结论:肺转移性结节的自动匹配率在随访检查中较高,但取决于结节的定位和数量。相关声明:该算法可以实现肺结节的精确随访匹配,为标准化和准确的评估提供坚实的基础。基于结节定位和数量了解算法的优缺点可以增强对基于人工智能的结果的解释。重点:AI算法的结节匹配正确率为87.2%,考虑基线和随访扫描中发现的结节,准确率高达97.8%。匹配精度取决于结节数量和定位。该算法有潜力在临床实践中支持基于实体肿瘤的评估反应评价标准。
本文章由计算机程序翻译,如有差异,请以英文原文为准。

Artificial intelligence-based automated matching of pulmonary nodules on follow-up chest CT.

Artificial intelligence-based automated matching of pulmonary nodules on follow-up chest CT.

Artificial intelligence-based automated matching of pulmonary nodules on follow-up chest CT.

Artificial intelligence-based automated matching of pulmonary nodules on follow-up chest CT.

Background: The growing demand for follow-up imaging highlights the need for tools supporting the assessment of pulmonary nodules over time. We evaluated the performance of an artificial intelligence (AI)-based system for automated nodule matching.

Methods: In this single-center study, patients with nodules and ≤ 2 chest computed tomography (CT) examinations were retrospectively selected. An AI-based algorithm was used for automated nodule detection and matching. The matching rate and the causes for incorrect matching were evaluated for the ten largest lesions (5-30 mm in diameter) registered on baseline CT. The dependence of the matching rate on nodule number and localization was also analyzed.

Results: One hundred patients (46 females), with a median age of 62 years (interquartile range 57-69), and 253 CTs were included. Focusing on the ten largest lesions, 1,141 lesions were identified, of which 36 (3.2%) were other structures incorrectly identified as nodules (false-positives). Of the 1,105 identified nodules, 964 (87.2%) were correctly detected and matched. The matching rate for nodules registered in both baseline and follow-up scans was 97.8%. The matching rate per case ranged 80.0-100.0% (median 90.0%). Correct matching rate decreased in follow-up examinations to over 50 nodules (p = 0.003), with an overrepresentation of missed matching. Matching rates were higher in parenchymal (91.8%), peripheral (84.4%), and juxtavascular (82.4%) nodules than in juxtaphrenic nodules (71.1%) (p < 0.001). Missed matching was overrepresented in juxtavascular, and incorrect assignment in juxtaphrenic nodules.

Conclusion: The correct automated-matching rate of metastatic pulmonary nodules in follow-up examinations was high, but it depends on localization and a number of nodules.

Relevance statement: The algorithm enables precise follow-up matching of pulmonary nodules, potentially providing a solid basis for standardized and accurate evaluations. Understanding the algorithm's strengths and weaknesses based on nodule localization and number enhances the interpretation of AI-based results.

Key points: The AI algorithm achieved a correct nodule matching rate of 87.2% and up to 97.8% when considering nodules detected in both baseline and follow-up scans. Matching accuracy depended on nodule number and localization. This algorithm has the potential to support response evaluation criteria in solid tumor-based evaluations in clinical practice.

求助全文
通过发布文献求助,成功后即可免费获取论文全文。 去求助
来源期刊
European Radiology Experimental
European Radiology Experimental Medicine-Radiology, Nuclear Medicine and Imaging
CiteScore
6.70
自引率
2.60%
发文量
56
审稿时长
18 weeks
×
引用
GB/T 7714-2015
复制
MLA
复制
APA
复制
导出至
BibTeX EndNote RefMan NoteFirst NoteExpress
×
提示
您的信息不完整,为了账户安全,请先补充。
现在去补充
×
提示
您因"违规操作"
具体请查看互助需知
我知道了
×
提示
确定
请完成安全验证×
copy
已复制链接
快去分享给好友吧!
我知道了
右上角分享
点击右上角分享
0
联系我们:info@booksci.cn Book学术提供免费学术资源搜索服务,方便国内外学者检索中英文文献。致力于提供最便捷和优质的服务体验。 Copyright © 2023 布克学术 All rights reserved.
京ICP备2023020795号-1
ghs 京公网安备 11010802042870号
Book学术文献互助
Book学术文献互助群
群 号:604180095
Book学术官方微信