特发性涎腺病模拟肿瘤:临床和组织病理学考虑。

Q3 Medicine
S NishaJaisree, Pratibha Ramani, R Abilasha, B R Varun
{"title":"特发性涎腺病模拟肿瘤:临床和组织病理学考虑。","authors":"S NishaJaisree, Pratibha Ramani, R Abilasha, B R Varun","doi":"10.4103/jomfp.jomfp_230_24","DOIUrl":null,"url":null,"abstract":"<p><p>Soft tissue lesions involving the posterior palate region are unusual cases, especially among children. In such scenarios, it is essential to arrive at an accurate and conclusive diagnosis and also rule out malignancies. Several allergic diseases resulting in sialadenitis have been identified which include Kimura's disease, eosinophilic sialodochitis, and IgG4-related sialadenitis. In the current case report, we have described the unique histopathological findings of a rare lesion involving the posterior palate linked to elevated levels of serum IgE. Primary hyper-IgE-related salivary gland disease has been described as the homogenous enlargement of multiple salivary glands associated with elevated serum IgE levels. They may also be associated with allergic anaphylaxis or autoimmune dysfunction. Literature has revealed similar lesions involving the major glands; however, the current study describes a rare and de-novo finding in which the minor glands of the palate are involved along with a review of literature of various cases of idiopathic sialadenosis.</p>","PeriodicalId":38846,"journal":{"name":"Journal of Oral and Maxillofacial Pathology","volume":"29 1","pages":"145-151"},"PeriodicalIF":0.0000,"publicationDate":"2025-01-01","publicationTypes":"Journal Article","fieldsOfStudy":null,"isOpenAccess":false,"openAccessPdf":"https://www.ncbi.nlm.nih.gov/pmc/articles/PMC12002591/pdf/","citationCount":"0","resultStr":"{\"title\":\"Idiopathic sialadenosis mimicking neoplasms: Clinical and histopathological considerations.\",\"authors\":\"S NishaJaisree, Pratibha Ramani, R Abilasha, B R Varun\",\"doi\":\"10.4103/jomfp.jomfp_230_24\",\"DOIUrl\":null,\"url\":null,\"abstract\":\"<p><p>Soft tissue lesions involving the posterior palate region are unusual cases, especially among children. In such scenarios, it is essential to arrive at an accurate and conclusive diagnosis and also rule out malignancies. Several allergic diseases resulting in sialadenitis have been identified which include Kimura's disease, eosinophilic sialodochitis, and IgG4-related sialadenitis. In the current case report, we have described the unique histopathological findings of a rare lesion involving the posterior palate linked to elevated levels of serum IgE. Primary hyper-IgE-related salivary gland disease has been described as the homogenous enlargement of multiple salivary glands associated with elevated serum IgE levels. They may also be associated with allergic anaphylaxis or autoimmune dysfunction. Literature has revealed similar lesions involving the major glands; however, the current study describes a rare and de-novo finding in which the minor glands of the palate are involved along with a review of literature of various cases of idiopathic sialadenosis.</p>\",\"PeriodicalId\":38846,\"journal\":{\"name\":\"Journal of Oral and Maxillofacial Pathology\",\"volume\":\"29 1\",\"pages\":\"145-151\"},\"PeriodicalIF\":0.0000,\"publicationDate\":\"2025-01-01\",\"publicationTypes\":\"Journal Article\",\"fieldsOfStudy\":null,\"isOpenAccess\":false,\"openAccessPdf\":\"https://www.ncbi.nlm.nih.gov/pmc/articles/PMC12002591/pdf/\",\"citationCount\":\"0\",\"resultStr\":null,\"platform\":\"Semanticscholar\",\"paperid\":null,\"PeriodicalName\":\"Journal of Oral and Maxillofacial Pathology\",\"FirstCategoryId\":\"1085\",\"ListUrlMain\":\"https://doi.org/10.4103/jomfp.jomfp_230_24\",\"RegionNum\":0,\"RegionCategory\":null,\"ArticlePicture\":[],\"TitleCN\":null,\"AbstractTextCN\":null,\"PMCID\":null,\"EPubDate\":\"2025/3/28 0:00:00\",\"PubModel\":\"Epub\",\"JCR\":\"Q3\",\"JCRName\":\"Medicine\",\"Score\":null,\"Total\":0}","platform":"Semanticscholar","paperid":null,"PeriodicalName":"Journal of Oral and Maxillofacial Pathology","FirstCategoryId":"1085","ListUrlMain":"https://doi.org/10.4103/jomfp.jomfp_230_24","RegionNum":0,"RegionCategory":null,"ArticlePicture":[],"TitleCN":null,"AbstractTextCN":null,"PMCID":null,"EPubDate":"2025/3/28 0:00:00","PubModel":"Epub","JCR":"Q3","JCRName":"Medicine","Score":null,"Total":0}
引用次数: 0

摘要

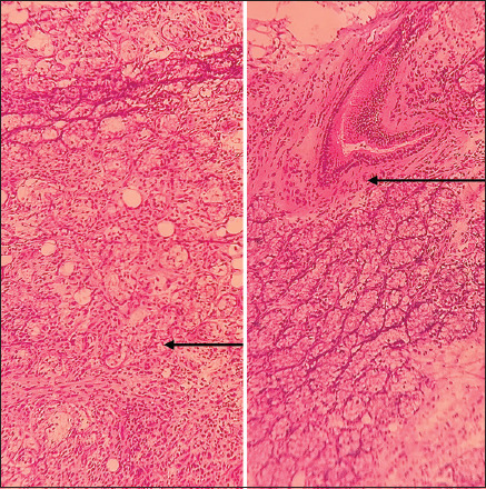
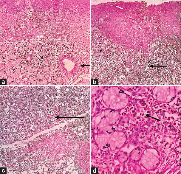
软组织病变累及后腭区是罕见的情况下,特别是在儿童。在这种情况下,必须作出准确和结论性的诊断,并排除恶性肿瘤。几种导致涎腺炎的过敏性疾病已被确定,包括木村病、嗜酸性涎腺炎和igg4相关的涎腺炎。在目前的病例报告中,我们描述了一个罕见的病变涉及后腭与血清IgE水平升高的独特的组织病理学结果。原发性高IgE相关性唾液腺疾病被描述为与血清IgE水平升高相关的多个唾液腺均质性肿大。它们也可能与过敏反应或自身免疫功能障碍有关。文献显示类似的病变累及主要腺体;然而,目前的研究描述了一种罕见的和从头发现,其中腭的小腺体涉及到各种特发性唾液腺病的文献综述。
本文章由计算机程序翻译,如有差异,请以英文原文为准。

Idiopathic sialadenosis mimicking neoplasms: Clinical and histopathological considerations.

Idiopathic sialadenosis mimicking neoplasms: Clinical and histopathological considerations.

Idiopathic sialadenosis mimicking neoplasms: Clinical and histopathological considerations.

Soft tissue lesions involving the posterior palate region are unusual cases, especially among children. In such scenarios, it is essential to arrive at an accurate and conclusive diagnosis and also rule out malignancies. Several allergic diseases resulting in sialadenitis have been identified which include Kimura's disease, eosinophilic sialodochitis, and IgG4-related sialadenitis. In the current case report, we have described the unique histopathological findings of a rare lesion involving the posterior palate linked to elevated levels of serum IgE. Primary hyper-IgE-related salivary gland disease has been described as the homogenous enlargement of multiple salivary glands associated with elevated serum IgE levels. They may also be associated with allergic anaphylaxis or autoimmune dysfunction. Literature has revealed similar lesions involving the major glands; however, the current study describes a rare and de-novo finding in which the minor glands of the palate are involved along with a review of literature of various cases of idiopathic sialadenosis.

求助全文
通过发布文献求助,成功后即可免费获取论文全文。 去求助
来源期刊
Journal of Oral and Maxillofacial Pathology
Journal of Oral and Maxillofacial Pathology Medicine-Otorhinolaryngology
CiteScore
1.40
自引率
0.00%
发文量
115
期刊介绍: The journal of Oral and Maxillofacial Pathology [ISSN:print-(0973-029X, online-1998-393X)] is a tri-annual journal published on behalf of “The Indian Association of Oral and Maxillofacial Pathologists” (IAOMP). The publication of JOMFP was started in the year 1993. The journal publishes papers on a wide spectrum of topics associated with the scope of Oral and Maxillofacial Pathology, also, ensuring scientific merit and quality. It is a comprehensive reading material for the professionals who want to upgrade their diagnostic skills in Oral Diseases; allows exposure to newer topics and methods of research in the Oral-facial Tissues and Pathology. New features allow an open minded thinking and approach to various pathologies. It also encourages authors to showcase quality work done by them and to compile relevant cases which are diagnostically challenging. The Journal takes pride in maintaining the quality of articles and photomicrographs.
×
引用
GB/T 7714-2015
复制
MLA
复制
APA
复制
导出至
BibTeX EndNote RefMan NoteFirst NoteExpress
×
提示
您的信息不完整,为了账户安全,请先补充。
现在去补充
×
提示
您因"违规操作"
具体请查看互助需知
我知道了
×
提示
确定
请完成安全验证×
copy
已复制链接
快去分享给好友吧!
我知道了
右上角分享
点击右上角分享
0
联系我们:info@booksci.cn Book学术提供免费学术资源搜索服务,方便国内外学者检索中英文文献。致力于提供最便捷和优质的服务体验。 Copyright © 2023 布克学术 All rights reserved.
京ICP备2023020795号-1
ghs 京公网安备 11010802042870号
Book学术文献互助
Book学术文献互助群
群 号:604180095
Book学术官方微信