猫肠系膜淋巴畸形伴乳糜胸。

IF 0.7 Q3 VETERINARY SCIENCES
Journal of Feline Medicine and Surgery Open Reports Pub Date : 2025-04-19 eCollection Date: 2025-01-01 DOI:10.1177/20551169251327400
Claudia Wy Leung, Krysten Lee, Erin Mooney, Jia Wen Siow, Shannon L Donahoe
{"title":"猫肠系膜淋巴畸形伴乳糜胸。","authors":"Claudia Wy Leung, Krysten Lee, Erin Mooney, Jia Wen Siow, Shannon L Donahoe","doi":"10.1177/20551169251327400","DOIUrl":null,"url":null,"abstract":"<p><strong>Case summary: </strong>An 8-year-old female spayed Russian Blue cat presented for acute progressive dyspnoea. The patient had pleural effusion and was diagnosed with chylothorax. A multiphase contrast-enhanced CT scan of thoracic and abdominal cavities was performed to facilitate diagnosis and surgical planning. Incidentally, a large lobulated, elongated, cystic and encapsulated peritoneal mass was found. Contrast pooled within the peritoneal mass during lymphography, suggesting lymphatic origin. The patient was eventually euthanased as a result of recurrence of chylothorax. Necropsy revealed multiple irregular, thin-walled pockets of chylous fluid pooling within the mesentery. Histopathology of the affected mesentery was compatible with a diagnosis of lymphatic malformation.</p><p><strong>Relevance and novel information: </strong>To the authors' knowledge, this is the first case describing a feline presentation of mesenteric lymphatic malformation. This is also the first case reporting the presentation of chylothorax for a veterinary patient with mesenteric lymphatic malformation.</p>","PeriodicalId":36588,"journal":{"name":"Journal of Feline Medicine and Surgery Open Reports","volume":"11 1","pages":"20551169251327400"},"PeriodicalIF":0.7000,"publicationDate":"2025-04-19","publicationTypes":"Journal Article","fieldsOfStudy":null,"isOpenAccess":false,"openAccessPdf":"https://www.ncbi.nlm.nih.gov/pmc/articles/PMC12033810/pdf/","citationCount":"0","resultStr":"{\"title\":\"Mesenteric lymphatic malformation with chylothorax in a cat.\",\"authors\":\"Claudia Wy Leung, Krysten Lee, Erin Mooney, Jia Wen Siow, Shannon L Donahoe\",\"doi\":\"10.1177/20551169251327400\",\"DOIUrl\":null,\"url\":null,\"abstract\":\"<p><strong>Case summary: </strong>An 8-year-old female spayed Russian Blue cat presented for acute progressive dyspnoea. The patient had pleural effusion and was diagnosed with chylothorax. A multiphase contrast-enhanced CT scan of thoracic and abdominal cavities was performed to facilitate diagnosis and surgical planning. Incidentally, a large lobulated, elongated, cystic and encapsulated peritoneal mass was found. Contrast pooled within the peritoneal mass during lymphography, suggesting lymphatic origin. The patient was eventually euthanased as a result of recurrence of chylothorax. Necropsy revealed multiple irregular, thin-walled pockets of chylous fluid pooling within the mesentery. Histopathology of the affected mesentery was compatible with a diagnosis of lymphatic malformation.</p><p><strong>Relevance and novel information: </strong>To the authors' knowledge, this is the first case describing a feline presentation of mesenteric lymphatic malformation. This is also the first case reporting the presentation of chylothorax for a veterinary patient with mesenteric lymphatic malformation.</p>\",\"PeriodicalId\":36588,\"journal\":{\"name\":\"Journal of Feline Medicine and Surgery Open Reports\",\"volume\":\"11 1\",\"pages\":\"20551169251327400\"},\"PeriodicalIF\":0.7000,\"publicationDate\":\"2025-04-19\",\"publicationTypes\":\"Journal Article\",\"fieldsOfStudy\":null,\"isOpenAccess\":false,\"openAccessPdf\":\"https://www.ncbi.nlm.nih.gov/pmc/articles/PMC12033810/pdf/\",\"citationCount\":\"0\",\"resultStr\":null,\"platform\":\"Semanticscholar\",\"paperid\":null,\"PeriodicalName\":\"Journal of Feline Medicine and Surgery Open Reports\",\"FirstCategoryId\":\"1085\",\"ListUrlMain\":\"https://doi.org/10.1177/20551169251327400\",\"RegionNum\":0,\"RegionCategory\":null,\"ArticlePicture\":[],\"TitleCN\":null,\"AbstractTextCN\":null,\"PMCID\":null,\"EPubDate\":\"2025/1/1 0:00:00\",\"PubModel\":\"eCollection\",\"JCR\":\"Q3\",\"JCRName\":\"VETERINARY SCIENCES\",\"Score\":null,\"Total\":0}","platform":"Semanticscholar","paperid":null,"PeriodicalName":"Journal of Feline Medicine and Surgery Open Reports","FirstCategoryId":"1085","ListUrlMain":"https://doi.org/10.1177/20551169251327400","RegionNum":0,"RegionCategory":null,"ArticlePicture":[],"TitleCN":null,"AbstractTextCN":null,"PMCID":null,"EPubDate":"2025/1/1 0:00:00","PubModel":"eCollection","JCR":"Q3","JCRName":"VETERINARY SCIENCES","Score":null,"Total":0}
引用次数: 0

摘要

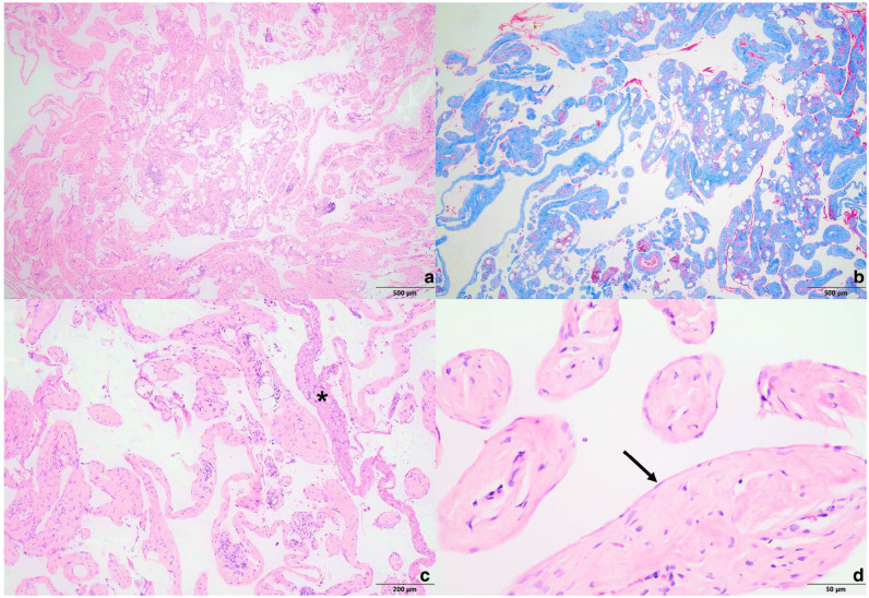
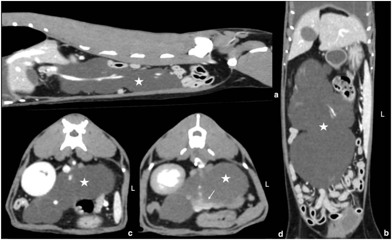
病例总结:一只8岁雌性绝育俄罗斯蓝猫出现急性进行性呼吸困难。患者有胸腔积液,诊断为乳糜胸。为方便诊断和手术计划,行胸腔和腹腔多期增强CT扫描。顺带发现一个大的分叶状、细长、囊性和包裹性腹膜肿块。淋巴造影剂在腹膜肿块内淤积,提示起源于淋巴。该患者最终因乳糜胸复发而被安乐死。尸检显示肠系膜内有多个不规则的薄壁囊状乳糜液池。受影响肠系膜的组织病理学与淋巴畸形的诊断是相容的。相关性和新信息:据作者所知,这是第一例描述猫肠系膜淋巴畸形的病例。这也是第一例报告乳糜胸的兽医病人肠系膜淋巴畸形。
本文章由计算机程序翻译,如有差异,请以英文原文为准。

Mesenteric lymphatic malformation with chylothorax in a cat.

Mesenteric lymphatic malformation with chylothorax in a cat.

Mesenteric lymphatic malformation with chylothorax in a cat.

Mesenteric lymphatic malformation with chylothorax in a cat.

Case summary: An 8-year-old female spayed Russian Blue cat presented for acute progressive dyspnoea. The patient had pleural effusion and was diagnosed with chylothorax. A multiphase contrast-enhanced CT scan of thoracic and abdominal cavities was performed to facilitate diagnosis and surgical planning. Incidentally, a large lobulated, elongated, cystic and encapsulated peritoneal mass was found. Contrast pooled within the peritoneal mass during lymphography, suggesting lymphatic origin. The patient was eventually euthanased as a result of recurrence of chylothorax. Necropsy revealed multiple irregular, thin-walled pockets of chylous fluid pooling within the mesentery. Histopathology of the affected mesentery was compatible with a diagnosis of lymphatic malformation.

Relevance and novel information: To the authors' knowledge, this is the first case describing a feline presentation of mesenteric lymphatic malformation. This is also the first case reporting the presentation of chylothorax for a veterinary patient with mesenteric lymphatic malformation.

求助全文
通过发布文献求助,成功后即可免费获取论文全文。 去求助
来源期刊
CiteScore
1.30
自引率
14.30%
发文量
57
审稿时长
15 weeks
×
引用
GB/T 7714-2015
复制
MLA
复制
APA
复制
导出至
BibTeX EndNote RefMan NoteFirst NoteExpress
×
提示
您的信息不完整,为了账户安全,请先补充。
现在去补充
×
提示
您因"违规操作"
具体请查看互助需知
我知道了
×
提示
确定
请完成安全验证×
copy
已复制链接
快去分享给好友吧!
我知道了
右上角分享
点击右上角分享
0
联系我们:info@booksci.cn Book学术提供免费学术资源搜索服务,方便国内外学者检索中英文文献。致力于提供最便捷和优质的服务体验。 Copyright © 2023 布克学术 All rights reserved.
京ICP备2023020795号-1
ghs 京公网安备 11010802042870号
Book学术文献互助
Book学术文献互助群
群 号:604180095
Book学术官方微信