影像学方法对转移性前列腺癌骨髓脂肪含量评估的影响。

IF 4.7 2区 医学 Q1 RADIOLOGY, NUCLEAR MEDICINE & MEDICAL IMAGING
European Radiology Pub Date : 2025-10-01 Epub Date: 2025-04-11 DOI:10.1007/s00330-025-11564-7
Yassine N Azma, Nada Boci, Katarzyna Abramowicz, Luca Russo, Matthew R Orton, Nina Tunariu, Dow-Mu Koh, Geoffrey Charles-Edwards, David J Collins, Jessica M Winfield
{"title":"影像学方法对转移性前列腺癌骨髓脂肪含量评估的影响。","authors":"Yassine N Azma, Nada Boci, Katarzyna Abramowicz, Luca Russo, Matthew R Orton, Nina Tunariu, Dow-Mu Koh, Geoffrey Charles-Edwards, David J Collins, Jessica M Winfield","doi":"10.1007/s00330-025-11564-7","DOIUrl":null,"url":null,"abstract":"<p><strong>Objective: </strong>This study aimed to assess the accuracy of fat fraction estimation with clinically available Dixon sequences in normal-appearing marrow and bone metastases in the pelvis of metastatic prostate cancer patients.</p><p><strong>Methods: </strong>A prospective single-centre study was conducted with metastatic prostate cancer patients and healthy volunteers. Linearity and bias of fat fraction estimates from clinically available Dixon sequences were assessed against a 6-point PDw gradient echo (q-Dixon) sequence measuring the reference standard proton density fat fraction. Lesion fat fraction estimates were cross-compared using the Friedman test. Repeatability in volunteers was evaluated with Bland-Altman plots. Sensitivity of fat fraction estimates using TSE-Dixon sequences to specific absorption rate (SAR) related modifications were evaluated with correlation plots.</p><p><strong>Results: </strong>Thirty-three patients were recruited for this study. Significant (p < 0.05) absolute bias (12.4%) was demonstrated in the T1-weighted (T1w) Dixon measurements against the q-Dixon. Significant differences (p < 0.05) between fat fraction estimates provided by the T1w Dixon and PDw Dixon sequences were observed in 13 active and 6 treated lesions. Repeatability coefficients for fat fraction estimates ranged from 5.9 to 9.0% in the pelvic tissues of healthy volunteers. Reduction of slice number with repetition time for SAR had the greatest effect, reaching a maximum difference in fat fraction of 14.7% from the q-Dixon for the T2w-TSE Dixon in bone marrow.</p><p><strong>Conclusions: </strong>T1w Dixon methods can detect post-treatment changes but remain confounded by relaxation time biases. While all Dixon methods showed good repeatability, careful choice of SAR-related modifications is critical to maintaining accuracy for PD- and T2-weighted TSE sequences.</p><p><strong>Key points: </strong>Question The clinical validity of signal-weighted fat fraction estimates versus proton density fat fraction for characterising metastatic bone lesions has not been fully assessed. Findings T1-weighted Dixon sequences in line with whole-body MRI international guidelines demonstrate significant fat fraction bias, particularly in lesions and muscle. Clinical relevance Fat fraction estimation using T1-weighted Dixon sequences recommended in international guidelines are highly sensitive to relaxation time biases, making underlying physiological changes potentially ambiguous.</p>","PeriodicalId":12076,"journal":{"name":"European Radiology","volume":" ","pages":"6039-6051"},"PeriodicalIF":4.7000,"publicationDate":"2025-10-01","publicationTypes":"Journal Article","fieldsOfStudy":null,"isOpenAccess":false,"openAccessPdf":"https://www.ncbi.nlm.nih.gov/pmc/articles/PMC12417236/pdf/","citationCount":"0","resultStr":"{\"title\":\"Influence of imaging method on fat fraction estimation for assessing bone marrow in metastatic prostate cancer.\",\"authors\":\"Yassine N Azma, Nada Boci, Katarzyna Abramowicz, Luca Russo, Matthew R Orton, Nina Tunariu, Dow-Mu Koh, Geoffrey Charles-Edwards, David J Collins, Jessica M Winfield\",\"doi\":\"10.1007/s00330-025-11564-7\",\"DOIUrl\":null,\"url\":null,\"abstract\":\"<p><strong>Objective: </strong>This study aimed to assess the accuracy of fat fraction estimation with clinically available Dixon sequences in normal-appearing marrow and bone metastases in the pelvis of metastatic prostate cancer patients.</p><p><strong>Methods: </strong>A prospective single-centre study was conducted with metastatic prostate cancer patients and healthy volunteers. Linearity and bias of fat fraction estimates from clinically available Dixon sequences were assessed against a 6-point PDw gradient echo (q-Dixon) sequence measuring the reference standard proton density fat fraction. Lesion fat fraction estimates were cross-compared using the Friedman test. Repeatability in volunteers was evaluated with Bland-Altman plots. Sensitivity of fat fraction estimates using TSE-Dixon sequences to specific absorption rate (SAR) related modifications were evaluated with correlation plots.</p><p><strong>Results: </strong>Thirty-three patients were recruited for this study. Significant (p < 0.05) absolute bias (12.4%) was demonstrated in the T1-weighted (T1w) Dixon measurements against the q-Dixon. Significant differences (p < 0.05) between fat fraction estimates provided by the T1w Dixon and PDw Dixon sequences were observed in 13 active and 6 treated lesions. Repeatability coefficients for fat fraction estimates ranged from 5.9 to 9.0% in the pelvic tissues of healthy volunteers. Reduction of slice number with repetition time for SAR had the greatest effect, reaching a maximum difference in fat fraction of 14.7% from the q-Dixon for the T2w-TSE Dixon in bone marrow.</p><p><strong>Conclusions: </strong>T1w Dixon methods can detect post-treatment changes but remain confounded by relaxation time biases. While all Dixon methods showed good repeatability, careful choice of SAR-related modifications is critical to maintaining accuracy for PD- and T2-weighted TSE sequences.</p><p><strong>Key points: </strong>Question The clinical validity of signal-weighted fat fraction estimates versus proton density fat fraction for characterising metastatic bone lesions has not been fully assessed. Findings T1-weighted Dixon sequences in line with whole-body MRI international guidelines demonstrate significant fat fraction bias, particularly in lesions and muscle. Clinical relevance Fat fraction estimation using T1-weighted Dixon sequences recommended in international guidelines are highly sensitive to relaxation time biases, making underlying physiological changes potentially ambiguous.</p>\",\"PeriodicalId\":12076,\"journal\":{\"name\":\"European Radiology\",\"volume\":\" \",\"pages\":\"6039-6051\"},\"PeriodicalIF\":4.7000,\"publicationDate\":\"2025-10-01\",\"publicationTypes\":\"Journal Article\",\"fieldsOfStudy\":null,\"isOpenAccess\":false,\"openAccessPdf\":\"https://www.ncbi.nlm.nih.gov/pmc/articles/PMC12417236/pdf/\",\"citationCount\":\"0\",\"resultStr\":null,\"platform\":\"Semanticscholar\",\"paperid\":null,\"PeriodicalName\":\"European Radiology\",\"FirstCategoryId\":\"3\",\"ListUrlMain\":\"https://doi.org/10.1007/s00330-025-11564-7\",\"RegionNum\":2,\"RegionCategory\":\"医学\",\"ArticlePicture\":[],\"TitleCN\":null,\"AbstractTextCN\":null,\"PMCID\":null,\"EPubDate\":\"2025/4/11 0:00:00\",\"PubModel\":\"Epub\",\"JCR\":\"Q1\",\"JCRName\":\"RADIOLOGY, NUCLEAR MEDICINE & MEDICAL IMAGING\",\"Score\":null,\"Total\":0}","platform":"Semanticscholar","paperid":null,"PeriodicalName":"European Radiology","FirstCategoryId":"3","ListUrlMain":"https://doi.org/10.1007/s00330-025-11564-7","RegionNum":2,"RegionCategory":"医学","ArticlePicture":[],"TitleCN":null,"AbstractTextCN":null,"PMCID":null,"EPubDate":"2025/4/11 0:00:00","PubModel":"Epub","JCR":"Q1","JCRName":"RADIOLOGY, NUCLEAR MEDICINE & MEDICAL IMAGING","Score":null,"Total":0}
引用次数: 0

摘要

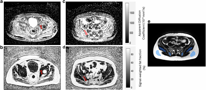
目的:本研究旨在评估临床可用的Dixon序列在转移性前列腺癌患者正常骨髓和骨盆骨转移中脂肪分数估计的准确性。方法:对转移性前列腺癌患者和健康志愿者进行前瞻性单中心研究。根据6点PDw梯度回声(q-Dixon)序列测量参考标准质子密度脂肪分数,评估临床可用Dixon序列估计脂肪分数的线性和偏倚。病变脂肪分数估计值使用Friedman检验进行交叉比较。用Bland-Altman图评价志愿者的重复性。利用TSE-Dixon序列估算脂肪组分对特定吸收率(SAR)相关修饰的敏感性用相关图进行评估。结果:33例患者被纳入本研究。结论:T1w Dixon方法可以检测到治疗后的变化,但仍受放松时间偏差的影响。虽然所有的Dixon方法都显示出良好的重复性,但谨慎选择与sar相关的修饰对于保持PD-和t2加权TSE序列的准确性至关重要。信号加权脂肪分数估计与质子密度脂肪分数表征转移性骨病变的临床有效性尚未得到充分评估。t1加权Dixon序列符合全身MRI国际指南,显示出明显的脂肪部分偏倚,特别是在病变和肌肉中。使用国际指南中推荐的t1加权Dixon序列进行脂肪分数估计对松弛时间偏差高度敏感,使得潜在的生理变化可能不明确。
本文章由计算机程序翻译,如有差异,请以英文原文为准。

Influence of imaging method on fat fraction estimation for assessing bone marrow in metastatic prostate cancer.

Influence of imaging method on fat fraction estimation for assessing bone marrow in metastatic prostate cancer.

Influence of imaging method on fat fraction estimation for assessing bone marrow in metastatic prostate cancer.

Influence of imaging method on fat fraction estimation for assessing bone marrow in metastatic prostate cancer.

Objective: This study aimed to assess the accuracy of fat fraction estimation with clinically available Dixon sequences in normal-appearing marrow and bone metastases in the pelvis of metastatic prostate cancer patients.

Methods: A prospective single-centre study was conducted with metastatic prostate cancer patients and healthy volunteers. Linearity and bias of fat fraction estimates from clinically available Dixon sequences were assessed against a 6-point PDw gradient echo (q-Dixon) sequence measuring the reference standard proton density fat fraction. Lesion fat fraction estimates were cross-compared using the Friedman test. Repeatability in volunteers was evaluated with Bland-Altman plots. Sensitivity of fat fraction estimates using TSE-Dixon sequences to specific absorption rate (SAR) related modifications were evaluated with correlation plots.

Results: Thirty-three patients were recruited for this study. Significant (p < 0.05) absolute bias (12.4%) was demonstrated in the T1-weighted (T1w) Dixon measurements against the q-Dixon. Significant differences (p < 0.05) between fat fraction estimates provided by the T1w Dixon and PDw Dixon sequences were observed in 13 active and 6 treated lesions. Repeatability coefficients for fat fraction estimates ranged from 5.9 to 9.0% in the pelvic tissues of healthy volunteers. Reduction of slice number with repetition time for SAR had the greatest effect, reaching a maximum difference in fat fraction of 14.7% from the q-Dixon for the T2w-TSE Dixon in bone marrow.

Conclusions: T1w Dixon methods can detect post-treatment changes but remain confounded by relaxation time biases. While all Dixon methods showed good repeatability, careful choice of SAR-related modifications is critical to maintaining accuracy for PD- and T2-weighted TSE sequences.

Key points: Question The clinical validity of signal-weighted fat fraction estimates versus proton density fat fraction for characterising metastatic bone lesions has not been fully assessed. Findings T1-weighted Dixon sequences in line with whole-body MRI international guidelines demonstrate significant fat fraction bias, particularly in lesions and muscle. Clinical relevance Fat fraction estimation using T1-weighted Dixon sequences recommended in international guidelines are highly sensitive to relaxation time biases, making underlying physiological changes potentially ambiguous.

求助全文
通过发布文献求助,成功后即可免费获取论文全文。 去求助
来源期刊
European Radiology
European Radiology 医学-核医学
CiteScore
11.60
自引率
8.50%
发文量
874
审稿时长
2-4 weeks
期刊介绍: European Radiology (ER) continuously updates scientific knowledge in radiology by publication of strong original articles and state-of-the-art reviews written by leading radiologists. A well balanced combination of review articles, original papers, short communications from European radiological congresses and information on society matters makes ER an indispensable source for current information in this field. This is the Journal of the European Society of Radiology, and the official journal of a number of societies. From 2004-2008 supplements to European Radiology were published under its companion, European Radiology Supplements, ISSN 1613-3749.
×
引用
GB/T 7714-2015
复制
MLA
复制
APA
复制
导出至
BibTeX EndNote RefMan NoteFirst NoteExpress
×
提示
您的信息不完整,为了账户安全,请先补充。
现在去补充
×
提示
您因"违规操作"
具体请查看互助需知
我知道了
×
提示
确定
请完成安全验证×
copy
已复制链接
快去分享给好友吧!
我知道了
右上角分享
点击右上角分享
0
联系我们:info@booksci.cn Book学术提供免费学术资源搜索服务,方便国内外学者检索中英文文献。致力于提供最便捷和优质的服务体验。 Copyright © 2023 布克学术 All rights reserved.
京ICP备2023020795号-1
ghs 京公网安备 11010802042870号
Book学术文献互助
Book学术文献互助群
群 号:604180095
Book学术官方微信