低温活检后非结核性分枝杆菌肺结节的完全解决:第一例报告。

IF 2.3 3区 医学 Q2 PATHOLOGY
Sung Joon Han, Chaeuk Chung, Dongil Park
{"title":"低温活检后非结核性分枝杆菌肺结节的完全解决:第一例报告。","authors":"Sung Joon Han, Chaeuk Chung, Dongil Park","doi":"10.1186/s13000-025-01644-z","DOIUrl":null,"url":null,"abstract":"<p><strong>Background: </strong>Non-tuberculous mycobacterial (NTM) lung disease presents diagnostic and therapeutic challenges, often mimicking lung cancer, tuberculosis, and other bronchopulmonary disorders. Management typically involves prolonged antibiotic treatment, but alternative therapeutic approaches for localized disease remain underexplored. Cryobiopsy has emerged as an advanced bronchoscopic diagnostic technique, providing larger, higher-quality lung tissue samples compared to traditional forceps biopsy. However, its potential therapeutic effects, particularly its unintended cryoablation effect, remain an area of active investigation.</p><p><strong>Case presentation: </strong>A 46-year-old healthy woman was incidentally found to have a 1.3-cm pulmonary nodule in the left anterior basal segment during a routine health examination, with no symptoms or significant medical history. Initial CT imaging raised suspicions of T1a lung cancer. Subsequent endobronchial ultrasound transbronchial lung biopsy and transbronchial lung cryobiopsy revealed granulomatous inflammation. Tests for tuberculosis and NTM, including acid-fast bacilli (AFB) smear, mycobacterial culture, and PCR for Mycobacterium tuberculosis and NTM, were negative. Following the biopsies, chest X-rays showed an enlarged shadow at the lesion, suggesting necrosis after cryobiopsy. The patient was treated with moxifloxacin, leading to symptom improvement. A final diagnosis of NTM infection, specifically Mycobacterium avium, was confirmed from bronchoalveolar lavage fluid obtained three weeks after the tissue biopsy. Remarkably, at four months post-biopsy, a chest CT scan showed complete resolution of the nodule without additional antimicrobial therapy, suggesting a potential therapeutic effect of cryobiopsy-induced cryoablation.</p><p><strong>Conclusions: </strong>NTM nodules may undergo necrosis and resolve due to the ablation effect of cryobiopsy, suggesting cryoablation as a potential option for inoperable localized NTM disease.</p>","PeriodicalId":11237,"journal":{"name":"Diagnostic Pathology","volume":"20 1","pages":"42"},"PeriodicalIF":2.3000,"publicationDate":"2025-04-11","publicationTypes":"Journal Article","fieldsOfStudy":null,"isOpenAccess":false,"openAccessPdf":"https://www.ncbi.nlm.nih.gov/pmc/articles/PMC11987443/pdf/","citationCount":"0","resultStr":"{\"title\":\"Complete resolution of non-tuberculous mycobacterial pulmonary nodule following cryobiopsy: The first case report.\",\"authors\":\"Sung Joon Han, Chaeuk Chung, Dongil Park\",\"doi\":\"10.1186/s13000-025-01644-z\",\"DOIUrl\":null,\"url\":null,\"abstract\":\"<p><strong>Background: </strong>Non-tuberculous mycobacterial (NTM) lung disease presents diagnostic and therapeutic challenges, often mimicking lung cancer, tuberculosis, and other bronchopulmonary disorders. Management typically involves prolonged antibiotic treatment, but alternative therapeutic approaches for localized disease remain underexplored. Cryobiopsy has emerged as an advanced bronchoscopic diagnostic technique, providing larger, higher-quality lung tissue samples compared to traditional forceps biopsy. However, its potential therapeutic effects, particularly its unintended cryoablation effect, remain an area of active investigation.</p><p><strong>Case presentation: </strong>A 46-year-old healthy woman was incidentally found to have a 1.3-cm pulmonary nodule in the left anterior basal segment during a routine health examination, with no symptoms or significant medical history. Initial CT imaging raised suspicions of T1a lung cancer. Subsequent endobronchial ultrasound transbronchial lung biopsy and transbronchial lung cryobiopsy revealed granulomatous inflammation. Tests for tuberculosis and NTM, including acid-fast bacilli (AFB) smear, mycobacterial culture, and PCR for Mycobacterium tuberculosis and NTM, were negative. Following the biopsies, chest X-rays showed an enlarged shadow at the lesion, suggesting necrosis after cryobiopsy. The patient was treated with moxifloxacin, leading to symptom improvement. A final diagnosis of NTM infection, specifically Mycobacterium avium, was confirmed from bronchoalveolar lavage fluid obtained three weeks after the tissue biopsy. Remarkably, at four months post-biopsy, a chest CT scan showed complete resolution of the nodule without additional antimicrobial therapy, suggesting a potential therapeutic effect of cryobiopsy-induced cryoablation.</p><p><strong>Conclusions: </strong>NTM nodules may undergo necrosis and resolve due to the ablation effect of cryobiopsy, suggesting cryoablation as a potential option for inoperable localized NTM disease.</p>\",\"PeriodicalId\":11237,\"journal\":{\"name\":\"Diagnostic Pathology\",\"volume\":\"20 1\",\"pages\":\"42\"},\"PeriodicalIF\":2.3000,\"publicationDate\":\"2025-04-11\",\"publicationTypes\":\"Journal Article\",\"fieldsOfStudy\":null,\"isOpenAccess\":false,\"openAccessPdf\":\"https://www.ncbi.nlm.nih.gov/pmc/articles/PMC11987443/pdf/\",\"citationCount\":\"0\",\"resultStr\":null,\"platform\":\"Semanticscholar\",\"paperid\":null,\"PeriodicalName\":\"Diagnostic Pathology\",\"FirstCategoryId\":\"3\",\"ListUrlMain\":\"https://doi.org/10.1186/s13000-025-01644-z\",\"RegionNum\":3,\"RegionCategory\":\"医学\",\"ArticlePicture\":[],\"TitleCN\":null,\"AbstractTextCN\":null,\"PMCID\":null,\"EPubDate\":\"\",\"PubModel\":\"\",\"JCR\":\"Q2\",\"JCRName\":\"PATHOLOGY\",\"Score\":null,\"Total\":0}","platform":"Semanticscholar","paperid":null,"PeriodicalName":"Diagnostic Pathology","FirstCategoryId":"3","ListUrlMain":"https://doi.org/10.1186/s13000-025-01644-z","RegionNum":3,"RegionCategory":"医学","ArticlePicture":[],"TitleCN":null,"AbstractTextCN":null,"PMCID":null,"EPubDate":"","PubModel":"","JCR":"Q2","JCRName":"PATHOLOGY","Score":null,"Total":0}
引用次数: 0

摘要

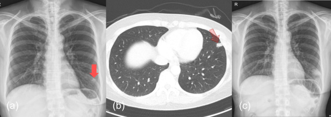
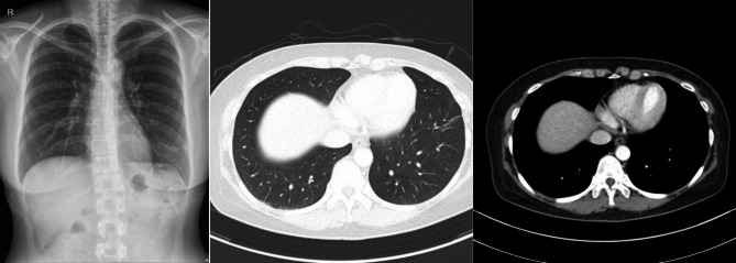
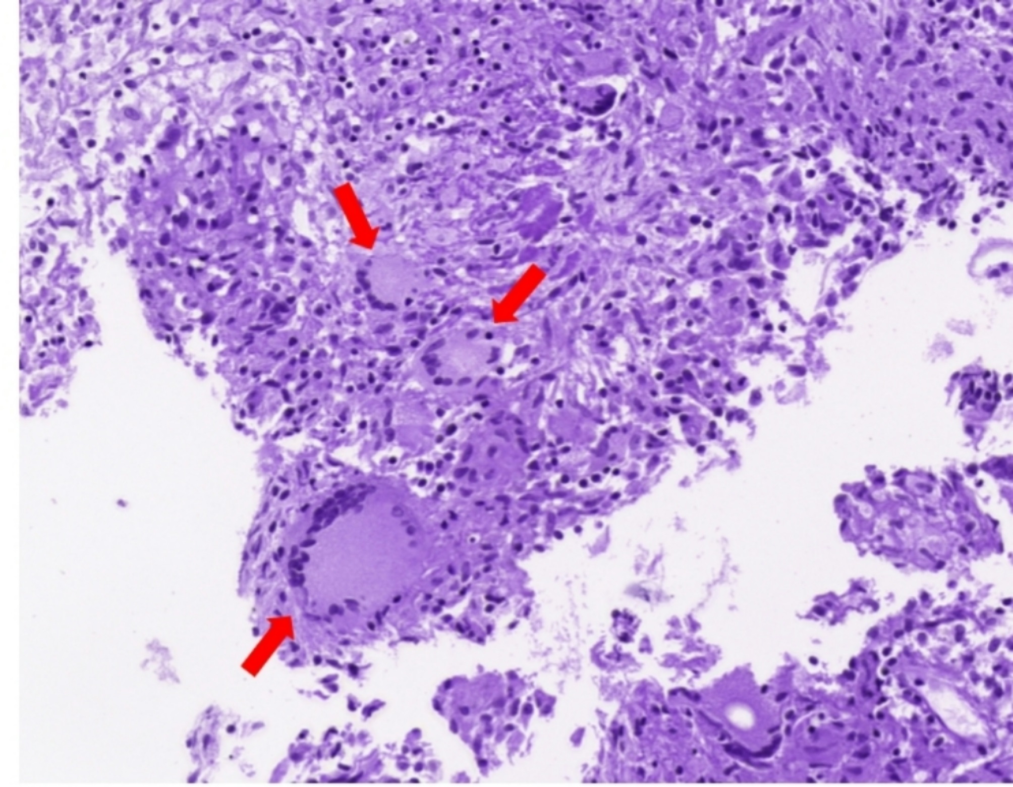
背景:非结核性分枝杆菌(NTM)肺病具有诊断和治疗方面的挑战,通常与肺癌、结核病和其他支气管肺疾病相似。治疗通常涉及长期抗生素治疗,但对局部疾病的替代治疗方法仍未得到充分探索。低温活检已经成为一种先进的支气管镜诊断技术,与传统的镊子活检相比,它提供了更大、更高质量的肺组织样本。然而,其潜在的治疗效果,特别是其意外的冷冻消融效果,仍然是一个积极研究的领域。病例介绍:一名46岁健康女性,在常规健康检查中偶然发现左侧前基段有一个1.3 cm的肺结节,无症状或显著病史。初步CT表现怀疑为T1a肺癌。随后的支气管超声经支气管肺活检和经支气管肺低温活检显示肉芽肿性炎症。结核病和NTM的检测,包括抗酸杆菌(AFB)涂片、分枝杆菌培养和结核分枝杆菌和NTM的PCR检测均为阴性。活检后,胸部x光片显示病变处阴影增大,提示冷冻活检后坏死。患者给予莫西沙星治疗,症状有所改善。组织活检后三周获得的支气管肺泡灌洗液证实了NTM感染的最终诊断,特别是鸟分枝杆菌。值得注意的是,在活检后4个月,胸部CT扫描显示结节完全溶解,无需额外的抗菌治疗,这表明低温活检诱导的冷冻消融有潜在的治疗效果。结论:由于低温活检的消融作用,NTM结节可能发生坏死和消退,提示冷冻消融是无法手术的局限性NTM疾病的潜在选择。
本文章由计算机程序翻译,如有差异,请以英文原文为准。

Complete resolution of non-tuberculous mycobacterial pulmonary nodule following cryobiopsy: The first case report.

Complete resolution of non-tuberculous mycobacterial pulmonary nodule following cryobiopsy: The first case report.

Complete resolution of non-tuberculous mycobacterial pulmonary nodule following cryobiopsy: The first case report.

Complete resolution of non-tuberculous mycobacterial pulmonary nodule following cryobiopsy: The first case report.

Background: Non-tuberculous mycobacterial (NTM) lung disease presents diagnostic and therapeutic challenges, often mimicking lung cancer, tuberculosis, and other bronchopulmonary disorders. Management typically involves prolonged antibiotic treatment, but alternative therapeutic approaches for localized disease remain underexplored. Cryobiopsy has emerged as an advanced bronchoscopic diagnostic technique, providing larger, higher-quality lung tissue samples compared to traditional forceps biopsy. However, its potential therapeutic effects, particularly its unintended cryoablation effect, remain an area of active investigation.

Case presentation: A 46-year-old healthy woman was incidentally found to have a 1.3-cm pulmonary nodule in the left anterior basal segment during a routine health examination, with no symptoms or significant medical history. Initial CT imaging raised suspicions of T1a lung cancer. Subsequent endobronchial ultrasound transbronchial lung biopsy and transbronchial lung cryobiopsy revealed granulomatous inflammation. Tests for tuberculosis and NTM, including acid-fast bacilli (AFB) smear, mycobacterial culture, and PCR for Mycobacterium tuberculosis and NTM, were negative. Following the biopsies, chest X-rays showed an enlarged shadow at the lesion, suggesting necrosis after cryobiopsy. The patient was treated with moxifloxacin, leading to symptom improvement. A final diagnosis of NTM infection, specifically Mycobacterium avium, was confirmed from bronchoalveolar lavage fluid obtained three weeks after the tissue biopsy. Remarkably, at four months post-biopsy, a chest CT scan showed complete resolution of the nodule without additional antimicrobial therapy, suggesting a potential therapeutic effect of cryobiopsy-induced cryoablation.

Conclusions: NTM nodules may undergo necrosis and resolve due to the ablation effect of cryobiopsy, suggesting cryoablation as a potential option for inoperable localized NTM disease.

求助全文
通过发布文献求助,成功后即可免费获取论文全文。 去求助
来源期刊
Diagnostic Pathology
Diagnostic Pathology 医学-病理学
CiteScore
4.60
自引率
0.00%
发文量
93
审稿时长
1 months
期刊介绍: Diagnostic Pathology is an open access, peer-reviewed, online journal that considers research in surgical and clinical pathology, immunology, and biology, with a special focus on cutting-edge approaches in diagnostic pathology and tissue-based therapy. The journal covers all aspects of surgical pathology, including classic diagnostic pathology, prognosis-related diagnosis (tumor stages, prognosis markers, such as MIB-percentage, hormone receptors, etc.), and therapy-related findings. The journal also focuses on the technological aspects of pathology, including molecular biology techniques, morphometry aspects (stereology, DNA analysis, syntactic structure analysis), communication aspects (telecommunication, virtual microscopy, virtual pathology institutions, etc.), and electronic education and quality assurance (for example interactive publication, on-line references with automated updating, etc.).
×
引用
GB/T 7714-2015
复制
MLA
复制
APA
复制
导出至
BibTeX EndNote RefMan NoteFirst NoteExpress
×
提示
您的信息不完整,为了账户安全,请先补充。
现在去补充
×
提示
您因"违规操作"
具体请查看互助需知
我知道了
×
提示
确定
请完成安全验证×
copy
已复制链接
快去分享给好友吧!
我知道了
右上角分享
点击右上角分享
0
联系我们:info@booksci.cn Book学术提供免费学术资源搜索服务,方便国内外学者检索中英文文献。致力于提供最便捷和优质的服务体验。 Copyright © 2023 布克学术 All rights reserved.
京ICP备2023020795号-1
ghs 京公网安备 11010802042870号
Book学术文献互助
Book学术文献互助群
群 号:604180095
Book学术官方微信