厚皮性-关节炎的伟大模仿者:一个案例系列。

IF 2.3 4区 医学 Q2 MEDICINE, GENERAL & INTERNAL
Croatian Medical Journal Pub Date : 2025-05-07
Iva Rukavina, Marijan Frković, Mario Sestan, Ivana Brnadic, Alenka Gagro, Suzana Ožanić Bulić, Marija Jelusic
{"title":"厚皮性-关节炎的伟大模仿者:一个案例系列。","authors":"Iva Rukavina, Marijan Frković, Mario Sestan, Ivana Brnadic, Alenka Gagro, Suzana Ožanić Bulić, Marija Jelusic","doi":"","DOIUrl":null,"url":null,"abstract":"<p><p>Pachydermodactily is a rare digital fibromatosis of unknown origin, mainly affecting adolescent boys. It presents as symmetrical, painless thickening of the soft tissues, usually around the proximal interphalangeal joints (PIP). Patients often experience delayed diagnoses, receive unnecessary treatments, or are misdiagnosed with chronic inflammatory arthritis. Although the exact cause remains unclear, pachydermodactyly may be associated with repetitive mechanical trauma, such as rubbing or interlacing the fingers, which can lead to secondary skin thickening. Treatment is often not required given its benign prognosis, although some patients ask for therapy due to the cosmetic impact of the condition. The aim of this study was to present the characteristics of seven patients diagnosed with pachydermodactily at pediatric rheumatology outpatient clinics in Zagreb. Additionally, we performed a comprehensive literature review of reported cases published from 1975 to 2024 using PubMed and Google Scholar. The primary symptom observed was swelling of the soft tissues around the PIP and metacarpophalangeal joints, with some patients presenting with hyperkeratotic plaques resembling knuckle pads. One patient experienced hand pain. Clinical examination and diagnostic workup were performed (laboratory tests specific for rheumatologic diseases, radiological tests such as joint ultrasound, x-ray or magnetic resonance imaging, or skin biopsy) to exclude other conditions with similar clinical features and etiologies, such as juvenile idiopathic arthritis. None of the patients met the criteria for juvenile idiopathic arthritis according to the classification criteria of the International League of Associations for Rheumatology. Increasing awareness of pachydermodactyly and achieving accurate diagnoses can reduce unnecessary diagnostic tests, treatments, and patient anxiety.</p>","PeriodicalId":10796,"journal":{"name":"Croatian Medical Journal","volume":"66 2","pages":"164-172"},"PeriodicalIF":2.3000,"publicationDate":"2025-05-07","publicationTypes":"Journal Article","fieldsOfStudy":null,"isOpenAccess":false,"openAccessPdf":"https://www.ncbi.nlm.nih.gov/pmc/articles/PMC12093116/pdf/","citationCount":"0","resultStr":"{\"title\":\"Pachydermodactily - the great imitator of arthritis: a case series.\",\"authors\":\"Iva Rukavina, Marijan Frković, Mario Sestan, Ivana Brnadic, Alenka Gagro, Suzana Ožanić Bulić, Marija Jelusic\",\"doi\":\"\",\"DOIUrl\":null,\"url\":null,\"abstract\":\"<p><p>Pachydermodactily is a rare digital fibromatosis of unknown origin, mainly affecting adolescent boys. It presents as symmetrical, painless thickening of the soft tissues, usually around the proximal interphalangeal joints (PIP). Patients often experience delayed diagnoses, receive unnecessary treatments, or are misdiagnosed with chronic inflammatory arthritis. Although the exact cause remains unclear, pachydermodactyly may be associated with repetitive mechanical trauma, such as rubbing or interlacing the fingers, which can lead to secondary skin thickening. Treatment is often not required given its benign prognosis, although some patients ask for therapy due to the cosmetic impact of the condition. The aim of this study was to present the characteristics of seven patients diagnosed with pachydermodactily at pediatric rheumatology outpatient clinics in Zagreb. Additionally, we performed a comprehensive literature review of reported cases published from 1975 to 2024 using PubMed and Google Scholar. The primary symptom observed was swelling of the soft tissues around the PIP and metacarpophalangeal joints, with some patients presenting with hyperkeratotic plaques resembling knuckle pads. One patient experienced hand pain. Clinical examination and diagnostic workup were performed (laboratory tests specific for rheumatologic diseases, radiological tests such as joint ultrasound, x-ray or magnetic resonance imaging, or skin biopsy) to exclude other conditions with similar clinical features and etiologies, such as juvenile idiopathic arthritis. None of the patients met the criteria for juvenile idiopathic arthritis according to the classification criteria of the International League of Associations for Rheumatology. Increasing awareness of pachydermodactyly and achieving accurate diagnoses can reduce unnecessary diagnostic tests, treatments, and patient anxiety.</p>\",\"PeriodicalId\":10796,\"journal\":{\"name\":\"Croatian Medical Journal\",\"volume\":\"66 2\",\"pages\":\"164-172\"},\"PeriodicalIF\":2.3000,\"publicationDate\":\"2025-05-07\",\"publicationTypes\":\"Journal Article\",\"fieldsOfStudy\":null,\"isOpenAccess\":false,\"openAccessPdf\":\"https://www.ncbi.nlm.nih.gov/pmc/articles/PMC12093116/pdf/\",\"citationCount\":\"0\",\"resultStr\":null,\"platform\":\"Semanticscholar\",\"paperid\":null,\"PeriodicalName\":\"Croatian Medical Journal\",\"FirstCategoryId\":\"3\",\"ListUrlMain\":\"\",\"RegionNum\":4,\"RegionCategory\":\"医学\",\"ArticlePicture\":[],\"TitleCN\":null,\"AbstractTextCN\":null,\"PMCID\":null,\"EPubDate\":\"\",\"PubModel\":\"\",\"JCR\":\"Q2\",\"JCRName\":\"MEDICINE, GENERAL & INTERNAL\",\"Score\":null,\"Total\":0}","platform":"Semanticscholar","paperid":null,"PeriodicalName":"Croatian Medical Journal","FirstCategoryId":"3","ListUrlMain":"","RegionNum":4,"RegionCategory":"医学","ArticlePicture":[],"TitleCN":null,"AbstractTextCN":null,"PMCID":null,"EPubDate":"","PubModel":"","JCR":"Q2","JCRName":"MEDICINE, GENERAL & INTERNAL","Score":null,"Total":0}
引用次数: 0

摘要

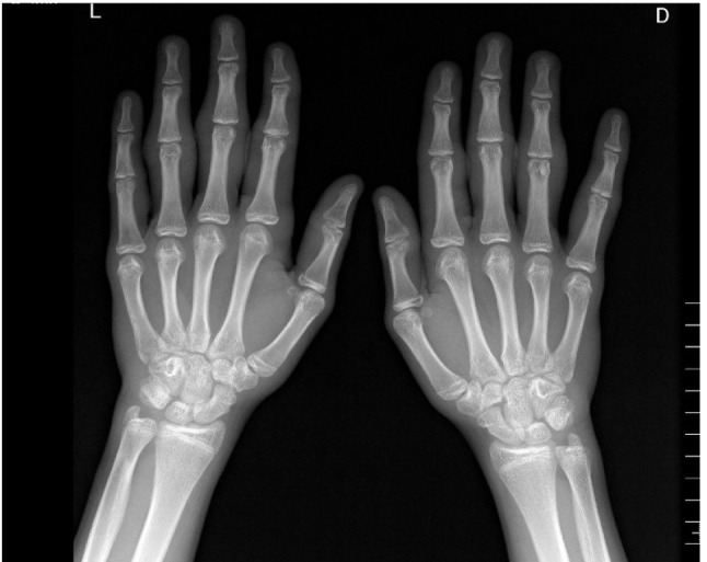
厚皮性是一种罕见的不明原因的数字纤维瘤病,主要影响青少年男孩。它表现为对称,无痛的软组织增厚,通常在近端指间关节(PIP)周围。患者经常经历延迟诊断,接受不必要的治疗,或被误诊为慢性炎症性关节炎。虽然确切原因尚不清楚,但厚皮畸形可能与重复性机械创伤有关,如手指摩擦或交叉,可导致继发性皮肤增厚。由于其预后良好,通常不需要治疗,尽管一些患者由于这种情况对美容的影响而要求治疗。本研究的目的是介绍在萨格勒布儿科风湿病门诊诊断为厚皮性的7例患者的特征。此外,我们使用PubMed和谷歌Scholar对1975年至2024年发表的报告病例进行了全面的文献综述。观察到的主要症状是PIP和掌指关节周围软组织肿胀,一些患者出现类似指关节垫的角化斑。一名患者经历了手部疼痛。进行临床检查和诊断检查(针对风湿病的实验室检查,放射学检查,如关节超声、x射线或磁共振成像,或皮肤活检),以排除具有类似临床特征和病因的其他疾病,如青少年特发性关节炎。根据国际风湿病协会联盟的分类标准,所有患者均不符合青少年特发性关节炎的标准。提高对厚皮病的认识和实现准确诊断可以减少不必要的诊断测试、治疗和患者焦虑。
本文章由计算机程序翻译,如有差异,请以英文原文为准。

Pachydermodactily - the great imitator of arthritis: a case series.

Pachydermodactily - the great imitator of arthritis: a case series.

Pachydermodactily - the great imitator of arthritis: a case series.

Pachydermodactily - the great imitator of arthritis: a case series.

Pachydermodactily is a rare digital fibromatosis of unknown origin, mainly affecting adolescent boys. It presents as symmetrical, painless thickening of the soft tissues, usually around the proximal interphalangeal joints (PIP). Patients often experience delayed diagnoses, receive unnecessary treatments, or are misdiagnosed with chronic inflammatory arthritis. Although the exact cause remains unclear, pachydermodactyly may be associated with repetitive mechanical trauma, such as rubbing or interlacing the fingers, which can lead to secondary skin thickening. Treatment is often not required given its benign prognosis, although some patients ask for therapy due to the cosmetic impact of the condition. The aim of this study was to present the characteristics of seven patients diagnosed with pachydermodactily at pediatric rheumatology outpatient clinics in Zagreb. Additionally, we performed a comprehensive literature review of reported cases published from 1975 to 2024 using PubMed and Google Scholar. The primary symptom observed was swelling of the soft tissues around the PIP and metacarpophalangeal joints, with some patients presenting with hyperkeratotic plaques resembling knuckle pads. One patient experienced hand pain. Clinical examination and diagnostic workup were performed (laboratory tests specific for rheumatologic diseases, radiological tests such as joint ultrasound, x-ray or magnetic resonance imaging, or skin biopsy) to exclude other conditions with similar clinical features and etiologies, such as juvenile idiopathic arthritis. None of the patients met the criteria for juvenile idiopathic arthritis according to the classification criteria of the International League of Associations for Rheumatology. Increasing awareness of pachydermodactyly and achieving accurate diagnoses can reduce unnecessary diagnostic tests, treatments, and patient anxiety.

求助全文
通过发布文献求助,成功后即可免费获取论文全文。 去求助
来源期刊
Croatian Medical Journal
Croatian Medical Journal 医学-医学:内科
CiteScore
3.00
自引率
5.30%
发文量
105
审稿时长
6-12 weeks
期刊介绍: Croatian Medical Journal (CMJ) is an international peer reviewed journal open to scientists from all fields of biomedicine and health related research. Although CMJ welcomes all contributions that increase and expand on medical knowledge, the two areas are of the special interest: topics globally relevant for biomedicine and health and medicine in developing and emerging countries.
×
引用
GB/T 7714-2015
复制
MLA
复制
APA
复制
导出至
BibTeX EndNote RefMan NoteFirst NoteExpress
×
提示
您的信息不完整,为了账户安全,请先补充。
现在去补充
×
提示
您因"违规操作"
具体请查看互助需知
我知道了
×
提示
确定
请完成安全验证×
copy
已复制链接
快去分享给好友吧!
我知道了
右上角分享
点击右上角分享
0
联系我们:info@booksci.cn Book学术提供免费学术资源搜索服务,方便国内外学者检索中英文文献。致力于提供最便捷和优质的服务体验。 Copyright © 2023 布克学术 All rights reserved.
京ICP备2023020795号-1
ghs 京公网安备 11010802042870号
Book学术文献互助
Book学术文献互助群
群 号:604180095
Book学术官方微信