典型间质性肺炎和分枝杆菌肺病:一个病例系列。

IF 2.4 Q2 INFECTIOUS DISEASES
Maria Angela Licata, Giorgio Monteleone, Enrico Schiavi, Maria Musso, Paola Mencarini, Annelisa Mastrobattista, Serena Maria Carli, Carlotta Cerva, Giacomo Sgalla, Luca Richeldi, Fabrizio Palmieri, Gina Gualano
{"title":"典型间质性肺炎和分枝杆菌肺病:一个病例系列。","authors":"Maria Angela Licata, Giorgio Monteleone, Enrico Schiavi, Maria Musso, Paola Mencarini, Annelisa Mastrobattista, Serena Maria Carli, Carlotta Cerva, Giacomo Sgalla, Luca Richeldi, Fabrizio Palmieri, Gina Gualano","doi":"10.3390/idr17020028","DOIUrl":null,"url":null,"abstract":"<p><strong>Background: </strong>Interstitial lung diseases (ILDs) are a heterogeneous group of conditions that can cause fibrosis of the lung interstitium, resulting in respiratory failure and death. Patients with an ILD, particularly idiopathic pulmonary fibrosis (IPF) or connective tissue disease-associated ILDs (CTD-ILDs), are prone to develop chronic pulmonary infections such as tuberculosis (TB) and non-tuberculous mycobacterial pulmonary disease (NTM-PD).</p><p><strong>Methods: </strong>This case series examines the management of three ILD patients with a usual interstitial pneumonia (UIP) pattern and concomitant NTM-PD or TB at National Institute for Infectious Diseases \"Lazzaro Spallanzani\" in Rome, Italy, over three years (2019-2022).</p><p><strong>Results and conclusions: </strong>Multi-disciplinary discussion (MDD) was crucial to define the therapeutic approach due to the increased risk of side effects and drug interactions. Our work underscored how a comprehensive diagnostic evaluation, enriched by MDD, is useful for optimizing the management and reducing drug-related adverse effects and interactions in ILD patients with cavitary lesions.</p>","PeriodicalId":13579,"journal":{"name":"Infectious Disease Reports","volume":"17 2","pages":""},"PeriodicalIF":2.4000,"publicationDate":"2025-04-03","publicationTypes":"Journal Article","fieldsOfStudy":null,"isOpenAccess":false,"openAccessPdf":"https://www.ncbi.nlm.nih.gov/pmc/articles/PMC12026791/pdf/","citationCount":"0","resultStr":"{\"title\":\"Usual Interstitial Pneumonia Pattern and Mycobacteria Lung Diseases: A Case Series.\",\"authors\":\"Maria Angela Licata, Giorgio Monteleone, Enrico Schiavi, Maria Musso, Paola Mencarini, Annelisa Mastrobattista, Serena Maria Carli, Carlotta Cerva, Giacomo Sgalla, Luca Richeldi, Fabrizio Palmieri, Gina Gualano\",\"doi\":\"10.3390/idr17020028\",\"DOIUrl\":null,\"url\":null,\"abstract\":\"<p><strong>Background: </strong>Interstitial lung diseases (ILDs) are a heterogeneous group of conditions that can cause fibrosis of the lung interstitium, resulting in respiratory failure and death. Patients with an ILD, particularly idiopathic pulmonary fibrosis (IPF) or connective tissue disease-associated ILDs (CTD-ILDs), are prone to develop chronic pulmonary infections such as tuberculosis (TB) and non-tuberculous mycobacterial pulmonary disease (NTM-PD).</p><p><strong>Methods: </strong>This case series examines the management of three ILD patients with a usual interstitial pneumonia (UIP) pattern and concomitant NTM-PD or TB at National Institute for Infectious Diseases \\\"Lazzaro Spallanzani\\\" in Rome, Italy, over three years (2019-2022).</p><p><strong>Results and conclusions: </strong>Multi-disciplinary discussion (MDD) was crucial to define the therapeutic approach due to the increased risk of side effects and drug interactions. Our work underscored how a comprehensive diagnostic evaluation, enriched by MDD, is useful for optimizing the management and reducing drug-related adverse effects and interactions in ILD patients with cavitary lesions.</p>\",\"PeriodicalId\":13579,\"journal\":{\"name\":\"Infectious Disease Reports\",\"volume\":\"17 2\",\"pages\":\"\"},\"PeriodicalIF\":2.4000,\"publicationDate\":\"2025-04-03\",\"publicationTypes\":\"Journal Article\",\"fieldsOfStudy\":null,\"isOpenAccess\":false,\"openAccessPdf\":\"https://www.ncbi.nlm.nih.gov/pmc/articles/PMC12026791/pdf/\",\"citationCount\":\"0\",\"resultStr\":null,\"platform\":\"Semanticscholar\",\"paperid\":null,\"PeriodicalName\":\"Infectious Disease Reports\",\"FirstCategoryId\":\"1085\",\"ListUrlMain\":\"https://doi.org/10.3390/idr17020028\",\"RegionNum\":0,\"RegionCategory\":null,\"ArticlePicture\":[],\"TitleCN\":null,\"AbstractTextCN\":null,\"PMCID\":null,\"EPubDate\":\"\",\"PubModel\":\"\",\"JCR\":\"Q2\",\"JCRName\":\"INFECTIOUS DISEASES\",\"Score\":null,\"Total\":0}","platform":"Semanticscholar","paperid":null,"PeriodicalName":"Infectious Disease Reports","FirstCategoryId":"1085","ListUrlMain":"https://doi.org/10.3390/idr17020028","RegionNum":0,"RegionCategory":null,"ArticlePicture":[],"TitleCN":null,"AbstractTextCN":null,"PMCID":null,"EPubDate":"","PubModel":"","JCR":"Q2","JCRName":"INFECTIOUS DISEASES","Score":null,"Total":0}
引用次数: 0

摘要

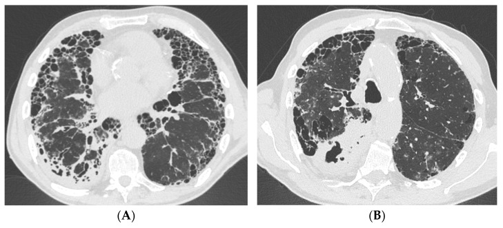
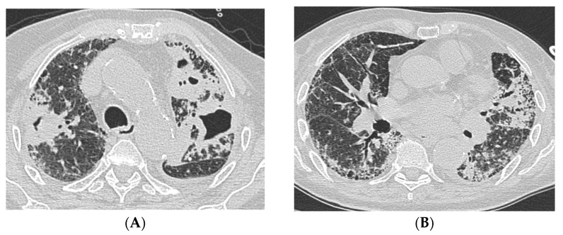
背景:间质性肺病(ILDs)是一组异质性疾病,可引起肺间质纤维化,导致呼吸衰竭和死亡。ILD患者,特别是特发性肺纤维化(IPF)或结缔组织病相关ILD (ctd -ILD),容易发展为慢性肺部感染,如结核病(TB)和非结核性分枝杆菌肺病(NTM-PD)。方法:本病例系列研究了意大利罗马国家传染病研究所(Lazzaro Spallanzani)三年来(2019-2022年)对三名患有常见间质性肺炎(UIP)模式并伴有NTM-PD或结核病的ILD患者的治疗。结果和结论:由于副作用和药物相互作用的风险增加,多学科讨论(MDD)对确定治疗方法至关重要。我们的工作强调了一个全面的诊断评估,丰富了MDD,是如何有助于优化管理和减少药物相关的不良反应和相互作用的ILD患者空洞病变。
本文章由计算机程序翻译,如有差异,请以英文原文为准。

Usual Interstitial Pneumonia Pattern and Mycobacteria Lung Diseases: A Case Series.

Usual Interstitial Pneumonia Pattern and Mycobacteria Lung Diseases: A Case Series.

Usual Interstitial Pneumonia Pattern and Mycobacteria Lung Diseases: A Case Series.

Background: Interstitial lung diseases (ILDs) are a heterogeneous group of conditions that can cause fibrosis of the lung interstitium, resulting in respiratory failure and death. Patients with an ILD, particularly idiopathic pulmonary fibrosis (IPF) or connective tissue disease-associated ILDs (CTD-ILDs), are prone to develop chronic pulmonary infections such as tuberculosis (TB) and non-tuberculous mycobacterial pulmonary disease (NTM-PD).

Methods: This case series examines the management of three ILD patients with a usual interstitial pneumonia (UIP) pattern and concomitant NTM-PD or TB at National Institute for Infectious Diseases "Lazzaro Spallanzani" in Rome, Italy, over three years (2019-2022).

Results and conclusions: Multi-disciplinary discussion (MDD) was crucial to define the therapeutic approach due to the increased risk of side effects and drug interactions. Our work underscored how a comprehensive diagnostic evaluation, enriched by MDD, is useful for optimizing the management and reducing drug-related adverse effects and interactions in ILD patients with cavitary lesions.

求助全文
通过发布文献求助,成功后即可免费获取论文全文。 去求助
来源期刊
Infectious Disease Reports
Infectious Disease Reports INFECTIOUS DISEASES-
CiteScore
5.10
自引率
0.00%
发文量
82
审稿时长
11 weeks
×
引用
GB/T 7714-2015
复制
MLA
复制
APA
复制
导出至
BibTeX EndNote RefMan NoteFirst NoteExpress
×
提示
您的信息不完整,为了账户安全,请先补充。
现在去补充
×
提示
您因"违规操作"
具体请查看互助需知
我知道了
×
提示
确定
请完成安全验证×
copy
已复制链接
快去分享给好友吧!
我知道了
右上角分享
点击右上角分享
0
联系我们:info@booksci.cn Book学术提供免费学术资源搜索服务,方便国内外学者检索中英文文献。致力于提供最便捷和优质的服务体验。 Copyright © 2023 布克学术 All rights reserved.
京ICP备2023020795号-1
ghs 京公网安备 11010802042870号
Book学术文献互助
Book学术文献互助群
群 号:604180095
Book学术官方微信