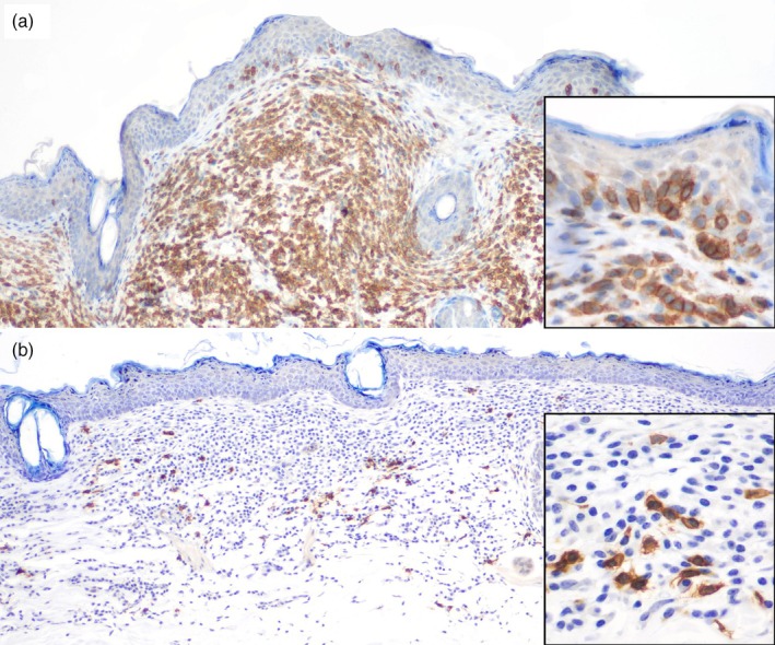
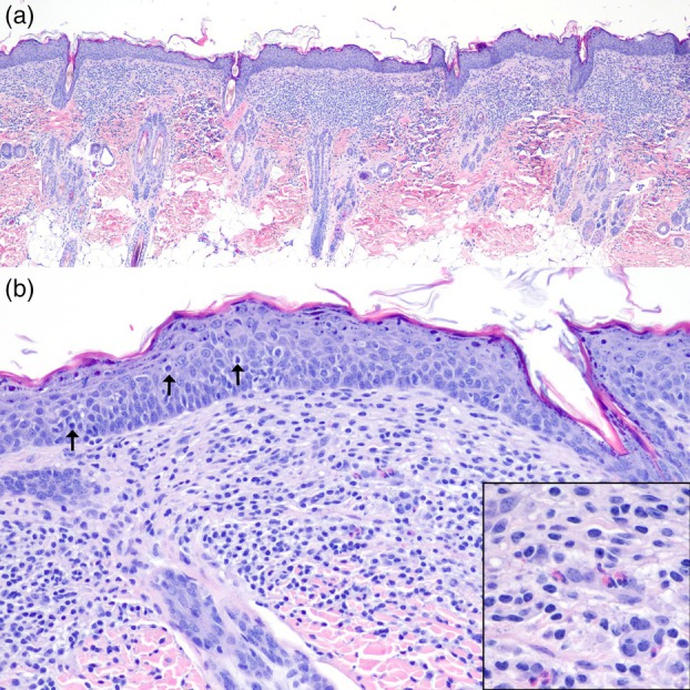
首次报道耳廓狐(Vulpes zerda)的惰性皮肤t细胞淋巴瘤。

IF 1.4 3区 农林科学 Q3 DERMATOLOGY
Veterinary dermatology Pub Date : 2025-10-01 Epub Date: 2025-05-02 DOI:10.1111/vde.13351
Kristen L Shekelle, Alan R Glassman, Kay A Backues, Jennifer J Kilburn, Desirae A Foust-Wheatcraft, Lauren Wood Stranahan
{"title":"首次报道耳廓狐(Vulpes zerda)的惰性皮肤t细胞淋巴瘤。","authors":"Kristen L Shekelle, Alan R Glassman, Kay A Backues, Jennifer J Kilburn, Desirae A Foust-Wheatcraft, Lauren Wood Stranahan","doi":"10.1111/vde.13351","DOIUrl":null,"url":null,"abstract":"<p><p>A 10-year-old fennec fox (Vulpes zerda) was presented for multifocal regions of chronic alopecia and crusting. Cutaneous lymphocytosis was diagnosed through histopathological examination and immunohistochemical investigation. Clonal rearrangement of the T-cell receptor gamma locus supports that lymphocytosis in this case was an indolent lymphoma.</p>","PeriodicalId":23599,"journal":{"name":"Veterinary dermatology","volume":" ","pages":"707-711"},"PeriodicalIF":1.4000,"publicationDate":"2025-10-01","publicationTypes":"Journal Article","fieldsOfStudy":null,"isOpenAccess":false,"openAccessPdf":"https://www.ncbi.nlm.nih.gov/pmc/articles/PMC12420848/pdf/","citationCount":"0","resultStr":"{\"title\":\"First report of indolent cutaneous T-cell lymphoma in a fennec fox (Vulpes zerda).\",\"authors\":\"Kristen L Shekelle, Alan R Glassman, Kay A Backues, Jennifer J Kilburn, Desirae A Foust-Wheatcraft, Lauren Wood Stranahan\",\"doi\":\"10.1111/vde.13351\",\"DOIUrl\":null,\"url\":null,\"abstract\":\"<p><p>A 10-year-old fennec fox (Vulpes zerda) was presented for multifocal regions of chronic alopecia and crusting. Cutaneous lymphocytosis was diagnosed through histopathological examination and immunohistochemical investigation. Clonal rearrangement of the T-cell receptor gamma locus supports that lymphocytosis in this case was an indolent lymphoma.</p>\",\"PeriodicalId\":23599,\"journal\":{\"name\":\"Veterinary dermatology\",\"volume\":\" \",\"pages\":\"707-711\"},\"PeriodicalIF\":1.4000,\"publicationDate\":\"2025-10-01\",\"publicationTypes\":\"Journal Article\",\"fieldsOfStudy\":null,\"isOpenAccess\":false,\"openAccessPdf\":\"https://www.ncbi.nlm.nih.gov/pmc/articles/PMC12420848/pdf/\",\"citationCount\":\"0\",\"resultStr\":null,\"platform\":\"Semanticscholar\",\"paperid\":null,\"PeriodicalName\":\"Veterinary dermatology\",\"FirstCategoryId\":\"97\",\"ListUrlMain\":\"https://doi.org/10.1111/vde.13351\",\"RegionNum\":3,\"RegionCategory\":\"农林科学\",\"ArticlePicture\":[],\"TitleCN\":null,\"AbstractTextCN\":null,\"PMCID\":null,\"EPubDate\":\"2025/5/2 0:00:00\",\"PubModel\":\"Epub\",\"JCR\":\"Q3\",\"JCRName\":\"DERMATOLOGY\",\"Score\":null,\"Total\":0}","platform":"Semanticscholar","paperid":null,"PeriodicalName":"Veterinary dermatology","FirstCategoryId":"97","ListUrlMain":"https://doi.org/10.1111/vde.13351","RegionNum":3,"RegionCategory":"农林科学","ArticlePicture":[],"TitleCN":null,"AbstractTextCN":null,"PMCID":null,"EPubDate":"2025/5/2 0:00:00","PubModel":"Epub","JCR":"Q3","JCRName":"DERMATOLOGY","Score":null,"Total":0}
引用次数: 0

摘要

一个10岁的耳廓狐(Vulpes zerda)提出了慢性脱发和结痂的多灶区域。经组织病理学检查及免疫组化检查诊断为皮肤淋巴细胞增多症。t细胞受体γ位点的克隆重排支持本病例的淋巴细胞增多症是一种惰性淋巴瘤。
本文章由计算机程序翻译,如有差异,请以英文原文为准。

First report of indolent cutaneous T-cell lymphoma in a fennec fox (Vulpes zerda).

First report of indolent cutaneous T-cell lymphoma in a fennec fox (Vulpes zerda).

First report of indolent cutaneous T-cell lymphoma in a fennec fox (Vulpes zerda).

First report of indolent cutaneous T-cell lymphoma in a fennec fox (Vulpes zerda).

A 10-year-old fennec fox (Vulpes zerda) was presented for multifocal regions of chronic alopecia and crusting. Cutaneous lymphocytosis was diagnosed through histopathological examination and immunohistochemical investigation. Clonal rearrangement of the T-cell receptor gamma locus supports that lymphocytosis in this case was an indolent lymphoma.

求助全文
通过发布文献求助,成功后即可免费获取论文全文。 去求助
来源期刊
Veterinary dermatology
Veterinary dermatology 农林科学-兽医学
CiteScore
3.20
自引率
21.40%
发文量
92
审稿时长
12-24 weeks
期刊介绍: Veterinary Dermatology is a bi-monthly, peer-reviewed, international journal which publishes papers on all aspects of the skin of mammals, birds, reptiles, amphibians and fish. Scientific research papers, clinical case reports and reviews covering the following aspects of dermatology will be considered for publication: -Skin structure (anatomy, histology, ultrastructure) -Skin function (physiology, biochemistry, pharmacology, immunology, genetics) -Skin microbiology and parasitology -Dermatopathology -Pathogenesis, diagnosis and treatment of skin diseases -New disease entities
×
引用
GB/T 7714-2015
复制
MLA
复制
APA
复制
导出至
BibTeX EndNote RefMan NoteFirst NoteExpress
×
提示
您的信息不完整,为了账户安全,请先补充。
现在去补充
×
提示
您因"违规操作"
具体请查看互助需知
我知道了
×
提示
确定
请完成安全验证×
copy
已复制链接
快去分享给好友吧!
我知道了
右上角分享
点击右上角分享
0
联系我们:info@booksci.cn Book学术提供免费学术资源搜索服务,方便国内外学者检索中英文文献。致力于提供最便捷和优质的服务体验。 Copyright © 2023 布克学术 All rights reserved.
京ICP备2023020795号-1
ghs 京公网安备 11010802042870号
Book学术文献互助
Book学术文献互助群
群 号:604180095
Book学术官方微信