家族性腺瘤性息肉病偶遇圆顶型腺癌1例报告及文献复习。

IF 2.3 3区 医学 Q2 PATHOLOGY
Ying-Ying Chang, Xiao-Long Zhang, Yao-Hui Wang, Ting-Sheng Ling
{"title":"家族性腺瘤性息肉病偶遇圆顶型腺癌1例报告及文献复习。","authors":"Ying-Ying Chang, Xiao-Long Zhang, Yao-Hui Wang, Ting-Sheng Ling","doi":"10.1186/s13000-025-01633-2","DOIUrl":null,"url":null,"abstract":"<p><p>Dome-type carcinoma (DC), also referred as Gut-associated lymphoid tissue (GALT) carcinoma, is a rare variant of colorectal adenocarcinoma which has been seldomly reported up to now. We report a case of a DC lesion developed in a 33-year-old male diagnosed with family adenomatous polyposis (FAP). A 1.5 × 1.5 cm well-demarcated lesion exhibited a 0-Is + IIc figure was detected near the anastomotic stoma during regular colonoscopic polypectomy. Surgical specimen showed well-differentiated adenocarcinoma consisted of dilated cystic glands and the lymphoid stroma with reactive germinal centers exhibited a destructive manner of infiltration into SM2 level. The immunohistochemical findings revealed MUC1 positive but MUC2 negative of the carcinomas epithelial which retained all the 4 mismatch repair proteins (MMRs) (MLH1, PMS2, MSH2, and MSH6) and was negative for EBV-encoded small RNA-1 (EBER). Considered a rare category of colorectal adenocarcinoma, more cases will help uncover the nature of GALT/dome-type carcinoma. Clinicians and pathologists should be aware of recognizing this special type of carcinoma and making necessary differential diagnostics.</p>","PeriodicalId":11237,"journal":{"name":"Diagnostic Pathology","volume":"20 1","pages":"47"},"PeriodicalIF":2.3000,"publicationDate":"2025-04-17","publicationTypes":"Journal Article","fieldsOfStudy":null,"isOpenAccess":false,"openAccessPdf":"https://www.ncbi.nlm.nih.gov/pmc/articles/PMC12004612/pdf/","citationCount":"0","resultStr":"{\"title\":\"Family adenomatous polyposis come across dome type adenocarcinoma: a case report and literature review.\",\"authors\":\"Ying-Ying Chang, Xiao-Long Zhang, Yao-Hui Wang, Ting-Sheng Ling\",\"doi\":\"10.1186/s13000-025-01633-2\",\"DOIUrl\":null,\"url\":null,\"abstract\":\"<p><p>Dome-type carcinoma (DC), also referred as Gut-associated lymphoid tissue (GALT) carcinoma, is a rare variant of colorectal adenocarcinoma which has been seldomly reported up to now. We report a case of a DC lesion developed in a 33-year-old male diagnosed with family adenomatous polyposis (FAP). A 1.5 × 1.5 cm well-demarcated lesion exhibited a 0-Is + IIc figure was detected near the anastomotic stoma during regular colonoscopic polypectomy. Surgical specimen showed well-differentiated adenocarcinoma consisted of dilated cystic glands and the lymphoid stroma with reactive germinal centers exhibited a destructive manner of infiltration into SM2 level. The immunohistochemical findings revealed MUC1 positive but MUC2 negative of the carcinomas epithelial which retained all the 4 mismatch repair proteins (MMRs) (MLH1, PMS2, MSH2, and MSH6) and was negative for EBV-encoded small RNA-1 (EBER). Considered a rare category of colorectal adenocarcinoma, more cases will help uncover the nature of GALT/dome-type carcinoma. Clinicians and pathologists should be aware of recognizing this special type of carcinoma and making necessary differential diagnostics.</p>\",\"PeriodicalId\":11237,\"journal\":{\"name\":\"Diagnostic Pathology\",\"volume\":\"20 1\",\"pages\":\"47\"},\"PeriodicalIF\":2.3000,\"publicationDate\":\"2025-04-17\",\"publicationTypes\":\"Journal Article\",\"fieldsOfStudy\":null,\"isOpenAccess\":false,\"openAccessPdf\":\"https://www.ncbi.nlm.nih.gov/pmc/articles/PMC12004612/pdf/\",\"citationCount\":\"0\",\"resultStr\":null,\"platform\":\"Semanticscholar\",\"paperid\":null,\"PeriodicalName\":\"Diagnostic Pathology\",\"FirstCategoryId\":\"3\",\"ListUrlMain\":\"https://doi.org/10.1186/s13000-025-01633-2\",\"RegionNum\":3,\"RegionCategory\":\"医学\",\"ArticlePicture\":[],\"TitleCN\":null,\"AbstractTextCN\":null,\"PMCID\":null,\"EPubDate\":\"\",\"PubModel\":\"\",\"JCR\":\"Q2\",\"JCRName\":\"PATHOLOGY\",\"Score\":null,\"Total\":0}","platform":"Semanticscholar","paperid":null,"PeriodicalName":"Diagnostic Pathology","FirstCategoryId":"3","ListUrlMain":"https://doi.org/10.1186/s13000-025-01633-2","RegionNum":3,"RegionCategory":"医学","ArticlePicture":[],"TitleCN":null,"AbstractTextCN":null,"PMCID":null,"EPubDate":"","PubModel":"","JCR":"Q2","JCRName":"PATHOLOGY","Score":null,"Total":0}
引用次数: 0

摘要

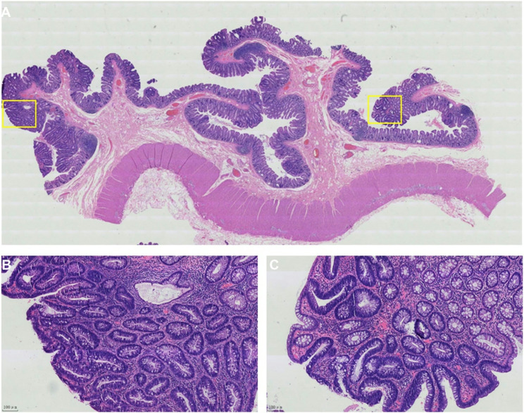
穹窿型癌(Dome-type carcinoma, DC)又称肠相关淋巴组织癌(Gut-associated lymphoid tissue, GALT),是一种罕见的结直肠腺癌变体,目前报道较少。我们报告一个33岁男性的DC病变,诊断为家族性腺瘤性息肉病(FAP)。常规结肠镜息肉切除术时在吻合口附近发现一个1.5 × 1.5 cm界限清晰的病变,呈0-Is + IIc状。手术标本显示分化良好的腺癌由扩张的囊性腺组成,具有活性生发中心的淋巴样基质表现出向SM2水平的破坏性浸润。免疫组化结果显示,癌上皮MUC1阳性,MUC2阴性,保留了所有4种错配修复蛋白(MLH1、PMS2、MSH2和MSH6), ebv编码的小RNA-1 (EBER)阴性。作为一种罕见的结直肠腺癌,更多的病例将有助于揭示GALT/穹顶型癌的本质。临床医生和病理学家应该意识到认识这种特殊类型的癌,并作出必要的鉴别诊断。
本文章由计算机程序翻译,如有差异,请以英文原文为准。

Family adenomatous polyposis come across dome type adenocarcinoma: a case report and literature review.

Family adenomatous polyposis come across dome type adenocarcinoma: a case report and literature review.

Family adenomatous polyposis come across dome type adenocarcinoma: a case report and literature review.

Family adenomatous polyposis come across dome type adenocarcinoma: a case report and literature review.

Dome-type carcinoma (DC), also referred as Gut-associated lymphoid tissue (GALT) carcinoma, is a rare variant of colorectal adenocarcinoma which has been seldomly reported up to now. We report a case of a DC lesion developed in a 33-year-old male diagnosed with family adenomatous polyposis (FAP). A 1.5 × 1.5 cm well-demarcated lesion exhibited a 0-Is + IIc figure was detected near the anastomotic stoma during regular colonoscopic polypectomy. Surgical specimen showed well-differentiated adenocarcinoma consisted of dilated cystic glands and the lymphoid stroma with reactive germinal centers exhibited a destructive manner of infiltration into SM2 level. The immunohistochemical findings revealed MUC1 positive but MUC2 negative of the carcinomas epithelial which retained all the 4 mismatch repair proteins (MMRs) (MLH1, PMS2, MSH2, and MSH6) and was negative for EBV-encoded small RNA-1 (EBER). Considered a rare category of colorectal adenocarcinoma, more cases will help uncover the nature of GALT/dome-type carcinoma. Clinicians and pathologists should be aware of recognizing this special type of carcinoma and making necessary differential diagnostics.

求助全文
通过发布文献求助,成功后即可免费获取论文全文。 去求助
来源期刊
Diagnostic Pathology
Diagnostic Pathology 医学-病理学
CiteScore
4.60
自引率
0.00%
发文量
93
审稿时长
1 months
期刊介绍: Diagnostic Pathology is an open access, peer-reviewed, online journal that considers research in surgical and clinical pathology, immunology, and biology, with a special focus on cutting-edge approaches in diagnostic pathology and tissue-based therapy. The journal covers all aspects of surgical pathology, including classic diagnostic pathology, prognosis-related diagnosis (tumor stages, prognosis markers, such as MIB-percentage, hormone receptors, etc.), and therapy-related findings. The journal also focuses on the technological aspects of pathology, including molecular biology techniques, morphometry aspects (stereology, DNA analysis, syntactic structure analysis), communication aspects (telecommunication, virtual microscopy, virtual pathology institutions, etc.), and electronic education and quality assurance (for example interactive publication, on-line references with automated updating, etc.).
×
引用
GB/T 7714-2015
复制
MLA
复制
APA
复制
导出至
BibTeX EndNote RefMan NoteFirst NoteExpress
×
提示
您的信息不完整,为了账户安全,请先补充。
现在去补充
×
提示
您因"违规操作"
具体请查看互助需知
我知道了
×
提示
确定
请完成安全验证×
copy
已复制链接
快去分享给好友吧!
我知道了
右上角分享
点击右上角分享
0
联系我们:info@booksci.cn Book学术提供免费学术资源搜索服务,方便国内外学者检索中英文文献。致力于提供最便捷和优质的服务体验。 Copyright © 2023 布克学术 All rights reserved.
京ICP备2023020795号-1
ghs 京公网安备 11010802042870号
Book学术文献互助
Book学术文献互助群
群 号:604180095
Book学术官方微信