腮腺炎病毒核蛋白的一个区域影响有缺陷的干扰粒子的产生。

IF 4.3 4区 医学 Q2 BIOTECHNOLOGY & APPLIED MICROBIOLOGY
Jacquline Risalvato, James Zengel, Mark Phillips, Ashley Beavis, Ming Luo, Biao He
{"title":"腮腺炎病毒核蛋白的一个区域影响有缺陷的干扰粒子的产生。","authors":"Jacquline Risalvato, James Zengel, Mark Phillips, Ashley Beavis, Ming Luo, Biao He","doi":"10.1099/jgv.0.002085","DOIUrl":null,"url":null,"abstract":"<p><p>Mumps virus (MuV) is a negative-sense, single-stranded RNA virus belonging to the family <i>Paramyxoviridae</i>. MuV causes acute infection of the parotid glands, and the infection can result in severe cases of encephalitis, meningitis and deafness in humans. The non-segmented RNA genome of MuV is encapsidated by the nucleocapsid protein (NP), which forms the ribonucleoprotein (RNP) complex that serves as a template for viral RNA synthesis. To make viral genomic RNA accessible to the viral polymerase, a conformational change within NP occurs. Recently, an atomic model of the NP of MuV was developed with cryogenic-electron microscopy (cryo-EM) using PIV5 NP crystal structure as a homology template. To examine NP's structure and function, we performed mutational analysis of MuV NP at region(s) proposed to play a role in accessing viral RNA. The MuV NP mutants containing G185P, A197Q, Q200R and groups denoted as Top (N63G, P139D, A197Q), Tip (P109E, N121G, A124R) and Bottom (G21S, E29T, P43N, R93Q, R304Q) were first tested in a minigenome system. All mutations resulted in reduced reporter gene activities with Q200R and Bottom having the most severe negative effects. Rescuing of recombinant viruses with these mutations was attempted, and only MuV mutants '185 (G185P)', '197 (A197Q)' and 'Top (N63G, P139D, A197A)' were obtained. The 'Top' MuV mutant exhibited normal growth kinetics at low multiplicities of infection (MOIs); however, at high MOIs, the virus had reduced peak litres than low MOIs. Further analysis indicates that production of defective interfering particles (DI particles or DIPs) was enhanced by the mutant virus, indicating that this region, a known alpha-helix hinge region, is important for full-length genome replication, suggesting that it plays a role in maintaining stability of viral RNA-dependent RNA-polymerase on RNP template during MuV viral RNA synthesis. Understanding the production of DI particles will lead to a better understanding of MuV pathogenesis, as well as its replication/transcription process.</p>","PeriodicalId":15880,"journal":{"name":"Journal of General Virology","volume":"106 4","pages":""},"PeriodicalIF":4.3000,"publicationDate":"2025-04-01","publicationTypes":"Journal Article","fieldsOfStudy":null,"isOpenAccess":false,"openAccessPdf":"https://www.ncbi.nlm.nih.gov/pmc/articles/PMC11992363/pdf/","citationCount":"0","resultStr":"{\"title\":\"A region of mumps virus nucleoprotein affects defective interfering particle production.\",\"authors\":\"Jacquline Risalvato, James Zengel, Mark Phillips, Ashley Beavis, Ming Luo, Biao He\",\"doi\":\"10.1099/jgv.0.002085\",\"DOIUrl\":null,\"url\":null,\"abstract\":\"<p><p>Mumps virus (MuV) is a negative-sense, single-stranded RNA virus belonging to the family <i>Paramyxoviridae</i>. MuV causes acute infection of the parotid glands, and the infection can result in severe cases of encephalitis, meningitis and deafness in humans. The non-segmented RNA genome of MuV is encapsidated by the nucleocapsid protein (NP), which forms the ribonucleoprotein (RNP) complex that serves as a template for viral RNA synthesis. To make viral genomic RNA accessible to the viral polymerase, a conformational change within NP occurs. Recently, an atomic model of the NP of MuV was developed with cryogenic-electron microscopy (cryo-EM) using PIV5 NP crystal structure as a homology template. To examine NP's structure and function, we performed mutational analysis of MuV NP at region(s) proposed to play a role in accessing viral RNA. The MuV NP mutants containing G185P, A197Q, Q200R and groups denoted as Top (N63G, P139D, A197Q), Tip (P109E, N121G, A124R) and Bottom (G21S, E29T, P43N, R93Q, R304Q) were first tested in a minigenome system. All mutations resulted in reduced reporter gene activities with Q200R and Bottom having the most severe negative effects. Rescuing of recombinant viruses with these mutations was attempted, and only MuV mutants '185 (G185P)', '197 (A197Q)' and 'Top (N63G, P139D, A197A)' were obtained. The 'Top' MuV mutant exhibited normal growth kinetics at low multiplicities of infection (MOIs); however, at high MOIs, the virus had reduced peak litres than low MOIs. Further analysis indicates that production of defective interfering particles (DI particles or DIPs) was enhanced by the mutant virus, indicating that this region, a known alpha-helix hinge region, is important for full-length genome replication, suggesting that it plays a role in maintaining stability of viral RNA-dependent RNA-polymerase on RNP template during MuV viral RNA synthesis. Understanding the production of DI particles will lead to a better understanding of MuV pathogenesis, as well as its replication/transcription process.</p>\",\"PeriodicalId\":15880,\"journal\":{\"name\":\"Journal of General Virology\",\"volume\":\"106 4\",\"pages\":\"\"},\"PeriodicalIF\":4.3000,\"publicationDate\":\"2025-04-01\",\"publicationTypes\":\"Journal Article\",\"fieldsOfStudy\":null,\"isOpenAccess\":false,\"openAccessPdf\":\"https://www.ncbi.nlm.nih.gov/pmc/articles/PMC11992363/pdf/\",\"citationCount\":\"0\",\"resultStr\":null,\"platform\":\"Semanticscholar\",\"paperid\":null,\"PeriodicalName\":\"Journal of General Virology\",\"FirstCategoryId\":\"3\",\"ListUrlMain\":\"https://doi.org/10.1099/jgv.0.002085\",\"RegionNum\":4,\"RegionCategory\":\"医学\",\"ArticlePicture\":[],\"TitleCN\":null,\"AbstractTextCN\":null,\"PMCID\":null,\"EPubDate\":\"\",\"PubModel\":\"\",\"JCR\":\"Q2\",\"JCRName\":\"BIOTECHNOLOGY & APPLIED MICROBIOLOGY\",\"Score\":null,\"Total\":0}","platform":"Semanticscholar","paperid":null,"PeriodicalName":"Journal of General Virology","FirstCategoryId":"3","ListUrlMain":"https://doi.org/10.1099/jgv.0.002085","RegionNum":4,"RegionCategory":"医学","ArticlePicture":[],"TitleCN":null,"AbstractTextCN":null,"PMCID":null,"EPubDate":"","PubModel":"","JCR":"Q2","JCRName":"BIOTECHNOLOGY & APPLIED MICROBIOLOGY","Score":null,"Total":0}
引用次数: 0

摘要

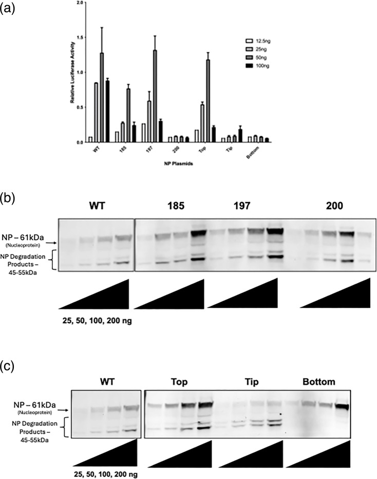
腮腺炎病毒(MuV)是一种负义单链RNA病毒,属于副粘病毒科。MuV引起腮腺的急性感染,感染可导致人类严重的脑炎、脑膜炎和耳聋。MuV的非片段RNA基因组被核衣壳蛋白(NP)封装,形成核糖核蛋白(RNP)复合物,作为病毒RNA合成的模板。为了使病毒基因组RNA接近病毒聚合酶,在NP内发生构象变化。近年来,以PIV5 NP晶体结构为同源模板,利用低温电镜(cryo-EM)建立了MuV NP的原子模型。为了研究NP的结构和功能,我们在被认为在获取病毒RNA中起作用的区域对MuV NP进行了突变分析。首先在微基因组系统中检测含有G185P、A197Q、Q200R和Top (N63G、P139D、A197Q)、Tip (P109E、N121G、A124R)和Bottom (G21S、E29T、P43N、R93Q、R304Q)的MuV NP突变体。所有突变均导致报告基因活性降低,其中Q200R和Bottom的负面影响最为严重。试图挽救这些突变的重组病毒,仅获得MuV突变体‘185 (G185P)’, ‘197 (A197Q)’和‘Top (N63G, P139D, A197A)’。“Top”MuV突变体在低感染倍数(MOIs)下表现出正常的生长动力学;然而,在高moi时,病毒的峰值升比低moi时降低。进一步分析表明,突变病毒增强了缺陷干扰颗粒(DI颗粒或DIPs)的产生,表明该区域(已知的α -螺旋铰链区)对全长基因组复制很重要,这表明在MuV病毒RNA合成过程中,它在维持病毒RNA依赖的RNA-聚合酶在RNP模板上的稳定性方面发挥作用。了解DI颗粒的产生将有助于更好地了解MuV的发病机制及其复制/转录过程。
本文章由计算机程序翻译,如有差异,请以英文原文为准。

A region of mumps virus nucleoprotein affects defective interfering particle production.

A region of mumps virus nucleoprotein affects defective interfering particle production.

A region of mumps virus nucleoprotein affects defective interfering particle production.

A region of mumps virus nucleoprotein affects defective interfering particle production.

Mumps virus (MuV) is a negative-sense, single-stranded RNA virus belonging to the family Paramyxoviridae. MuV causes acute infection of the parotid glands, and the infection can result in severe cases of encephalitis, meningitis and deafness in humans. The non-segmented RNA genome of MuV is encapsidated by the nucleocapsid protein (NP), which forms the ribonucleoprotein (RNP) complex that serves as a template for viral RNA synthesis. To make viral genomic RNA accessible to the viral polymerase, a conformational change within NP occurs. Recently, an atomic model of the NP of MuV was developed with cryogenic-electron microscopy (cryo-EM) using PIV5 NP crystal structure as a homology template. To examine NP's structure and function, we performed mutational analysis of MuV NP at region(s) proposed to play a role in accessing viral RNA. The MuV NP mutants containing G185P, A197Q, Q200R and groups denoted as Top (N63G, P139D, A197Q), Tip (P109E, N121G, A124R) and Bottom (G21S, E29T, P43N, R93Q, R304Q) were first tested in a minigenome system. All mutations resulted in reduced reporter gene activities with Q200R and Bottom having the most severe negative effects. Rescuing of recombinant viruses with these mutations was attempted, and only MuV mutants '185 (G185P)', '197 (A197Q)' and 'Top (N63G, P139D, A197A)' were obtained. The 'Top' MuV mutant exhibited normal growth kinetics at low multiplicities of infection (MOIs); however, at high MOIs, the virus had reduced peak litres than low MOIs. Further analysis indicates that production of defective interfering particles (DI particles or DIPs) was enhanced by the mutant virus, indicating that this region, a known alpha-helix hinge region, is important for full-length genome replication, suggesting that it plays a role in maintaining stability of viral RNA-dependent RNA-polymerase on RNP template during MuV viral RNA synthesis. Understanding the production of DI particles will lead to a better understanding of MuV pathogenesis, as well as its replication/transcription process.

求助全文
通过发布文献求助,成功后即可免费获取论文全文。 去求助
来源期刊
Journal of General Virology
Journal of General Virology 医学-病毒学
CiteScore
7.70
自引率
2.60%
发文量
91
审稿时长
3 months
期刊介绍: JOURNAL OF GENERAL VIROLOGY (JGV), a journal of the Society for General Microbiology (SGM), publishes high-calibre research papers with high production standards, giving the journal a worldwide reputation for excellence and attracting an eminent audience.
×
引用
GB/T 7714-2015
复制
MLA
复制
APA
复制
导出至
BibTeX EndNote RefMan NoteFirst NoteExpress
×
提示
您的信息不完整,为了账户安全,请先补充。
现在去补充
×
提示
您因"违规操作"
具体请查看互助需知
我知道了
×
提示
确定
请完成安全验证×
copy
已复制链接
快去分享给好友吧!
我知道了
右上角分享
点击右上角分享
0
联系我们:info@booksci.cn Book学术提供免费学术资源搜索服务,方便国内外学者检索中英文文献。致力于提供最便捷和优质的服务体验。 Copyright © 2023 布克学术 All rights reserved.
京ICP备2023020795号-1
ghs 京公网安备 11010802042870号
Book学术文献互助
Book学术文献互助群
群 号:604180095
Book学术官方微信