沙门氏菌心内膜炎:引起壁性感染性心内膜炎的罕见菌血症。

IF 0.8 Q4 INFECTIOUS DISEASES
Case Reports in Infectious Diseases Pub Date : 2025-04-14 eCollection Date: 2025-01-01 DOI:10.1155/crdi/3830316
Seth Krueger, Michael Carcella, Caroline Dillon, Darrell McBride
{"title":"沙门氏菌心内膜炎:引起壁性感染性心内膜炎的罕见菌血症。","authors":"Seth Krueger, Michael Carcella, Caroline Dillon, Darrell McBride","doi":"10.1155/crdi/3830316","DOIUrl":null,"url":null,"abstract":"<p><p>Current guidelines do not recommend routine cardiac imaging in patients with gram-negative bacteremia, as gram-negative infective endocarditis is rare. Nongastrointestinal <i>Salmonella</i> infections causing endocarditis are even more uncommon, especially in the developed world. We present the case of a 60-year-old female with <i>Salmonella</i> bacteremia, ultimately found to have a right atrial mural endocarditis involving an implantable cardioverter-defibrillator and an indwelling venous catheter. The vegetation and indwelling devices were removed from the operating room due to the high concern of embolization if performed percutaneously, and she completed 6 weeks of antibiotic therapy. Both indwelling devices were later replaced once treatment was completed, and there was no evidence of recurrence at the 8-month follow-up. This case proves that in those with cardiac implantable electronic devices and other indwelling devices which enter the heart, who are found to have atypical bacteremia, may benefit from cardiac imaging as a part of their workup.</p>","PeriodicalId":9608,"journal":{"name":"Case Reports in Infectious Diseases","volume":"2025 ","pages":"3830316"},"PeriodicalIF":0.8000,"publicationDate":"2025-04-14","publicationTypes":"Journal Article","fieldsOfStudy":null,"isOpenAccess":false,"openAccessPdf":"https://www.ncbi.nlm.nih.gov/pmc/articles/PMC12011455/pdf/","citationCount":"0","resultStr":"{\"title\":\"<i>Salmonella</i> Endocarditis: Rare Bacteremia Causing Mural Infective Endocarditis.\",\"authors\":\"Seth Krueger, Michael Carcella, Caroline Dillon, Darrell McBride\",\"doi\":\"10.1155/crdi/3830316\",\"DOIUrl\":null,\"url\":null,\"abstract\":\"<p><p>Current guidelines do not recommend routine cardiac imaging in patients with gram-negative bacteremia, as gram-negative infective endocarditis is rare. Nongastrointestinal <i>Salmonella</i> infections causing endocarditis are even more uncommon, especially in the developed world. We present the case of a 60-year-old female with <i>Salmonella</i> bacteremia, ultimately found to have a right atrial mural endocarditis involving an implantable cardioverter-defibrillator and an indwelling venous catheter. The vegetation and indwelling devices were removed from the operating room due to the high concern of embolization if performed percutaneously, and she completed 6 weeks of antibiotic therapy. Both indwelling devices were later replaced once treatment was completed, and there was no evidence of recurrence at the 8-month follow-up. This case proves that in those with cardiac implantable electronic devices and other indwelling devices which enter the heart, who are found to have atypical bacteremia, may benefit from cardiac imaging as a part of their workup.</p>\",\"PeriodicalId\":9608,\"journal\":{\"name\":\"Case Reports in Infectious Diseases\",\"volume\":\"2025 \",\"pages\":\"3830316\"},\"PeriodicalIF\":0.8000,\"publicationDate\":\"2025-04-14\",\"publicationTypes\":\"Journal Article\",\"fieldsOfStudy\":null,\"isOpenAccess\":false,\"openAccessPdf\":\"https://www.ncbi.nlm.nih.gov/pmc/articles/PMC12011455/pdf/\",\"citationCount\":\"0\",\"resultStr\":null,\"platform\":\"Semanticscholar\",\"paperid\":null,\"PeriodicalName\":\"Case Reports in Infectious Diseases\",\"FirstCategoryId\":\"1085\",\"ListUrlMain\":\"https://doi.org/10.1155/crdi/3830316\",\"RegionNum\":0,\"RegionCategory\":null,\"ArticlePicture\":[],\"TitleCN\":null,\"AbstractTextCN\":null,\"PMCID\":null,\"EPubDate\":\"2025/1/1 0:00:00\",\"PubModel\":\"eCollection\",\"JCR\":\"Q4\",\"JCRName\":\"INFECTIOUS DISEASES\",\"Score\":null,\"Total\":0}","platform":"Semanticscholar","paperid":null,"PeriodicalName":"Case Reports in Infectious Diseases","FirstCategoryId":"1085","ListUrlMain":"https://doi.org/10.1155/crdi/3830316","RegionNum":0,"RegionCategory":null,"ArticlePicture":[],"TitleCN":null,"AbstractTextCN":null,"PMCID":null,"EPubDate":"2025/1/1 0:00:00","PubModel":"eCollection","JCR":"Q4","JCRName":"INFECTIOUS DISEASES","Score":null,"Total":0}
引用次数: 0

摘要

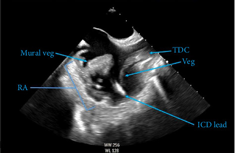
目前的指南不推荐对革兰氏阴性菌血症患者进行常规心脏影像学检查,因为革兰氏阴性感染性心内膜炎是罕见的。引起心内膜炎的非肠道沙门氏菌感染更为罕见,尤其是在发达国家。我们提出的情况下,60岁的女性沙门氏菌血症,最终发现有一个右心房壁心内膜炎涉及植入式心律转复除颤器和留置静脉导管。由于担心经皮穿刺会引起栓塞,我们将植体和留置器移出手术室,并完成了6周的抗生素治疗。治疗完成后,两种留置装置均被更换,在8个月的随访中没有复发的迹象。本病例证明,在心脏植入电子设备和其他进入心脏的留置设备的患者中,如果发现有非典型菌血症,心脏成像作为其检查的一部分可能会受益。
本文章由计算机程序翻译,如有差异,请以英文原文为准。

<i>Salmonella</i> Endocarditis: Rare Bacteremia Causing Mural Infective Endocarditis.

Salmonella Endocarditis: Rare Bacteremia Causing Mural Infective Endocarditis.

Current guidelines do not recommend routine cardiac imaging in patients with gram-negative bacteremia, as gram-negative infective endocarditis is rare. Nongastrointestinal Salmonella infections causing endocarditis are even more uncommon, especially in the developed world. We present the case of a 60-year-old female with Salmonella bacteremia, ultimately found to have a right atrial mural endocarditis involving an implantable cardioverter-defibrillator and an indwelling venous catheter. The vegetation and indwelling devices were removed from the operating room due to the high concern of embolization if performed percutaneously, and she completed 6 weeks of antibiotic therapy. Both indwelling devices were later replaced once treatment was completed, and there was no evidence of recurrence at the 8-month follow-up. This case proves that in those with cardiac implantable electronic devices and other indwelling devices which enter the heart, who are found to have atypical bacteremia, may benefit from cardiac imaging as a part of their workup.

求助全文
通过发布文献求助,成功后即可免费获取论文全文。 去求助
来源期刊
自引率
0.00%
发文量
64
审稿时长
13 weeks
×
引用
GB/T 7714-2015
复制
MLA
复制
APA
复制
导出至
BibTeX EndNote RefMan NoteFirst NoteExpress
×
提示
您的信息不完整,为了账户安全,请先补充。
现在去补充
×
提示
您因"违规操作"
具体请查看互助需知
我知道了
×
提示
确定
请完成安全验证×
copy
已复制链接
快去分享给好友吧!
我知道了
右上角分享
点击右上角分享
0
联系我们:info@booksci.cn Book学术提供免费学术资源搜索服务,方便国内外学者检索中英文文献。致力于提供最便捷和优质的服务体验。 Copyright © 2023 布克学术 All rights reserved.
京ICP备2023020795号-1
ghs 京公网安备 11010802042870号
Book学术文献互助
Book学术文献互助群
群 号:604180095
Book学术官方微信