卡巴他赛诱导的转移性去雄抵抗性前列腺癌患者输尿管炎:2014-2024年单中心病例系列

IF 3.5 2区 医学 Q2 ONCOLOGY
Ahmed H Zedan, Jesper S Gade, Karsten Egbert Arnold Zieger, Mads H Poulsen, Anja Schmidt Vejlgaard, Filip Lund Hjorth Fredensborg
{"title":"卡巴他赛诱导的转移性去雄抵抗性前列腺癌患者输尿管炎:2014-2024年单中心病例系列","authors":"Ahmed H Zedan, Jesper S Gade, Karsten Egbert Arnold Zieger, Mads H Poulsen, Anja Schmidt Vejlgaard, Filip Lund Hjorth Fredensborg","doi":"10.1186/s40644-025-00872-2","DOIUrl":null,"url":null,"abstract":"<p><strong>Background: </strong>One of the main and effective therapy choices for patients with metastatic castration-resistant prostate cancer (mCRPC) is cabazitaxel (CBZ). Cystitis and hematuria are among the most significant non-hematological adverse events associated with CBZ treatment. But because the prevalence of CBZ-induced ureteritis has not been thoroughly studied, this case series investigation was carried out to emphasize the condition's clinical relevance and potential treatment alternatives.</p><p><strong>Case presentation: </strong>Between June 2014 and May 2024, 354 patients diagnosed with mCRPC were treated with CBZ at the Department of Oncology, Vejle Hospital. A total of 36 patients (10%) exhibited ureteritis-like symptoms, presenting with discomfort in the pelvis, lower abdomen, or flanks, with or without hematuria. Radiological evidence of ureter changes was present in 29 out of 36 individuals (80%), along with hydronephrosis/hydroureter in some patients. Prior to therapy with CBZ, radiation to the pelvis or lower abdomen was documented in 7 out of 36 patients (19%). Various analgesics and dosage modifications were considered for the therapy of CBZ-induced ureteritis, with treatment discontinuation yielding the most favorable results.</p><p><strong>Conclusion: </strong>The onset of ureteritis during CBZ treatment is an underrated side effect in clinical practice. Hematuria and hydronephrosis/hydroureter are the most associated complications. Both analgesics and dosage reduction should be contemplated for management, while therapy cessation may be requisite in certain individuals.</p>","PeriodicalId":9548,"journal":{"name":"Cancer Imaging","volume":"25 1","pages":"54"},"PeriodicalIF":3.5000,"publicationDate":"2025-04-09","publicationTypes":"Journal Article","fieldsOfStudy":null,"isOpenAccess":false,"openAccessPdf":"https://www.ncbi.nlm.nih.gov/pmc/articles/PMC11984042/pdf/","citationCount":"0","resultStr":"{\"title\":\"Cabazitaxel-induced ureteritis in metastatic castration-resistant prostate cancer patients: a single center case series 2014-2024.\",\"authors\":\"Ahmed H Zedan, Jesper S Gade, Karsten Egbert Arnold Zieger, Mads H Poulsen, Anja Schmidt Vejlgaard, Filip Lund Hjorth Fredensborg\",\"doi\":\"10.1186/s40644-025-00872-2\",\"DOIUrl\":null,\"url\":null,\"abstract\":\"<p><strong>Background: </strong>One of the main and effective therapy choices for patients with metastatic castration-resistant prostate cancer (mCRPC) is cabazitaxel (CBZ). Cystitis and hematuria are among the most significant non-hematological adverse events associated with CBZ treatment. But because the prevalence of CBZ-induced ureteritis has not been thoroughly studied, this case series investigation was carried out to emphasize the condition's clinical relevance and potential treatment alternatives.</p><p><strong>Case presentation: </strong>Between June 2014 and May 2024, 354 patients diagnosed with mCRPC were treated with CBZ at the Department of Oncology, Vejle Hospital. A total of 36 patients (10%) exhibited ureteritis-like symptoms, presenting with discomfort in the pelvis, lower abdomen, or flanks, with or without hematuria. Radiological evidence of ureter changes was present in 29 out of 36 individuals (80%), along with hydronephrosis/hydroureter in some patients. Prior to therapy with CBZ, radiation to the pelvis or lower abdomen was documented in 7 out of 36 patients (19%). Various analgesics and dosage modifications were considered for the therapy of CBZ-induced ureteritis, with treatment discontinuation yielding the most favorable results.</p><p><strong>Conclusion: </strong>The onset of ureteritis during CBZ treatment is an underrated side effect in clinical practice. Hematuria and hydronephrosis/hydroureter are the most associated complications. Both analgesics and dosage reduction should be contemplated for management, while therapy cessation may be requisite in certain individuals.</p>\",\"PeriodicalId\":9548,\"journal\":{\"name\":\"Cancer Imaging\",\"volume\":\"25 1\",\"pages\":\"54\"},\"PeriodicalIF\":3.5000,\"publicationDate\":\"2025-04-09\",\"publicationTypes\":\"Journal Article\",\"fieldsOfStudy\":null,\"isOpenAccess\":false,\"openAccessPdf\":\"https://www.ncbi.nlm.nih.gov/pmc/articles/PMC11984042/pdf/\",\"citationCount\":\"0\",\"resultStr\":null,\"platform\":\"Semanticscholar\",\"paperid\":null,\"PeriodicalName\":\"Cancer Imaging\",\"FirstCategoryId\":\"3\",\"ListUrlMain\":\"https://doi.org/10.1186/s40644-025-00872-2\",\"RegionNum\":2,\"RegionCategory\":\"医学\",\"ArticlePicture\":[],\"TitleCN\":null,\"AbstractTextCN\":null,\"PMCID\":null,\"EPubDate\":\"\",\"PubModel\":\"\",\"JCR\":\"Q2\",\"JCRName\":\"ONCOLOGY\",\"Score\":null,\"Total\":0}","platform":"Semanticscholar","paperid":null,"PeriodicalName":"Cancer Imaging","FirstCategoryId":"3","ListUrlMain":"https://doi.org/10.1186/s40644-025-00872-2","RegionNum":2,"RegionCategory":"医学","ArticlePicture":[],"TitleCN":null,"AbstractTextCN":null,"PMCID":null,"EPubDate":"","PubModel":"","JCR":"Q2","JCRName":"ONCOLOGY","Score":null,"Total":0}
引用次数: 0

摘要

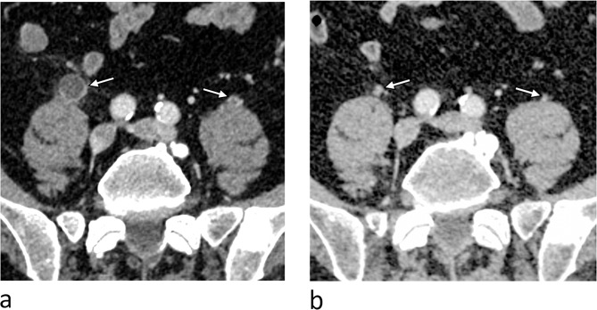
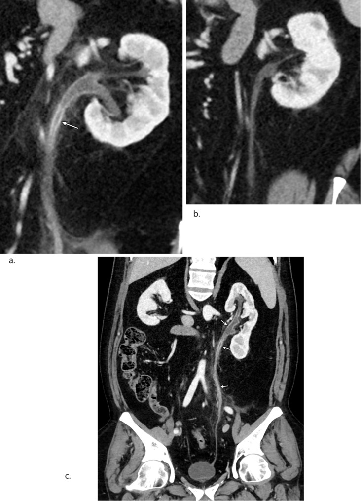
背景:卡巴他赛(cabazitaxel, CBZ)是转移性去势抵抗性前列腺癌(mCRPC)患者主要有效的治疗选择之一。膀胱炎和血尿是与CBZ治疗相关的最显著的非血液学不良事件。但由于cbz引起的输尿管炎的患病率尚未得到深入研究,因此进行了病例系列调查,以强调该疾病的临床相关性和潜在的治疗方案。病例介绍:2014年6月至2024年5月,在Vejle医院肿瘤科诊断为mCRPC的354例患者接受了CBZ治疗。共有36例患者(10%)出现输尿管炎样症状,表现为骨盆、下腹部或侧腹不适,伴或不伴血尿。36例患者中有29例(80%)存在输尿管改变的影像学证据,部分患者伴有肾积水/输尿管积水。在CBZ治疗之前,36例患者中有7例(19%)记录了骨盆或下腹部的放疗。各种镇痛药和剂量调整被考虑用于治疗cbz引起的输尿管炎,治疗停止产生最有利的结果。结论:CBZ治疗过程中发生输尿管炎是临床中被低估的不良反应。血尿和肾积水/输尿管积水是最常见的并发症。止痛剂和减少剂量都应该考虑治疗,而某些个体可能需要停止治疗。
本文章由计算机程序翻译,如有差异,请以英文原文为准。

Cabazitaxel-induced ureteritis in metastatic castration-resistant prostate cancer patients: a single center case series 2014-2024.

Cabazitaxel-induced ureteritis in metastatic castration-resistant prostate cancer patients: a single center case series 2014-2024.

Cabazitaxel-induced ureteritis in metastatic castration-resistant prostate cancer patients: a single center case series 2014-2024.

Background: One of the main and effective therapy choices for patients with metastatic castration-resistant prostate cancer (mCRPC) is cabazitaxel (CBZ). Cystitis and hematuria are among the most significant non-hematological adverse events associated with CBZ treatment. But because the prevalence of CBZ-induced ureteritis has not been thoroughly studied, this case series investigation was carried out to emphasize the condition's clinical relevance and potential treatment alternatives.

Case presentation: Between June 2014 and May 2024, 354 patients diagnosed with mCRPC were treated with CBZ at the Department of Oncology, Vejle Hospital. A total of 36 patients (10%) exhibited ureteritis-like symptoms, presenting with discomfort in the pelvis, lower abdomen, or flanks, with or without hematuria. Radiological evidence of ureter changes was present in 29 out of 36 individuals (80%), along with hydronephrosis/hydroureter in some patients. Prior to therapy with CBZ, radiation to the pelvis or lower abdomen was documented in 7 out of 36 patients (19%). Various analgesics and dosage modifications were considered for the therapy of CBZ-induced ureteritis, with treatment discontinuation yielding the most favorable results.

Conclusion: The onset of ureteritis during CBZ treatment is an underrated side effect in clinical practice. Hematuria and hydronephrosis/hydroureter are the most associated complications. Both analgesics and dosage reduction should be contemplated for management, while therapy cessation may be requisite in certain individuals.

求助全文
通过发布文献求助,成功后即可免费获取论文全文。 去求助
来源期刊
Cancer Imaging
Cancer Imaging ONCOLOGY-RADIOLOGY, NUCLEAR MEDICINE & MEDICAL IMAGING
CiteScore
7.00
自引率
0.00%
发文量
66
审稿时长
>12 weeks
期刊介绍: Cancer Imaging is an open access, peer-reviewed journal publishing original articles, reviews and editorials written by expert international radiologists working in oncology. The journal encompasses CT, MR, PET, ultrasound, radionuclide and multimodal imaging in all kinds of malignant tumours, plus new developments, techniques and innovations. Topics of interest include: Breast Imaging Chest Complications of treatment Ear, Nose & Throat Gastrointestinal Hepatobiliary & Pancreatic Imaging biomarkers Interventional Lymphoma Measurement of tumour response Molecular functional imaging Musculoskeletal Neuro oncology Nuclear Medicine Paediatric.
×
引用
GB/T 7714-2015
复制
MLA
复制
APA
复制
导出至
BibTeX EndNote RefMan NoteFirst NoteExpress
×
提示
您的信息不完整,为了账户安全,请先补充。
现在去补充
×
提示
您因"违规操作"
具体请查看互助需知
我知道了
×
提示
确定
请完成安全验证×
copy
已复制链接
快去分享给好友吧!
我知道了
右上角分享
点击右上角分享
0
联系我们:info@booksci.cn Book学术提供免费学术资源搜索服务,方便国内外学者检索中英文文献。致力于提供最便捷和优质的服务体验。 Copyright © 2023 布克学术 All rights reserved.
京ICP备2023020795号-1
ghs 京公网安备 11010802042870号
Book学术文献互助
Book学术文献互助群
群 号:604180095
Book学术官方微信