维格列汀能预防辐射诱发的卵巢早衰吗?深入了解AMPK和AKT信号通路。

IF 2.7 3区 医学 Q2 PHARMACOLOGY & PHARMACY
Nada A Mahgoub, Doaa A El-Sherbiny, Ebtehal El-Demerdash
{"title":"维格列汀能预防辐射诱发的卵巢早衰吗?深入了解AMPK和AKT信号通路。","authors":"Nada A Mahgoub, Doaa A El-Sherbiny, Ebtehal El-Demerdash","doi":"10.1186/s40360-025-00903-5","DOIUrl":null,"url":null,"abstract":"<p><strong>Background: </strong>Among the detrimental side effects caused by radiotherapy in young females is the ovarian damage, eventually causing premature ovarian failure (POF). While many signaling pathways contribute to the pathogenesis of POF, to date no sufficient data exist on the AMPK and AKT signaling pathways in irradiated ovaries. Both AMPK and AKT play crucial roles in the process of folliculogenesis. Vildagliptin (vilda) is a dipeptidyl peptidase-4 inhibitor with modulatory effect on both AMPK and AKT. Therefore, our study aimed to investigate the biochemical changes that occur in the AMPK/AKT signaling pathway, and the effect of co-administration of vildagliptin in radiation-induced POF.</p><p><strong>Methods: </strong>Female Sprague-dawley rats were randomly divided into four groups: control, radiation, radiation + vilda, or vilda alone groups. Vilda was administered orally once/day, and on the 10th day of the experiment, radiation and radiation + vilda group rats were subjected to 3.2 Gy of whole-body gamma irradiation. Behavioral activity was assessed on the 13th day of the experiment. On day 14 of the experiment, all rats were euthanized. Serum samples were collected, and ovaries were dissected for histological and biochemical analyses.</p><p><strong>Results: </strong>Irradiation of female rats resulted in increased locomotor hyperactivity, impaired memory, and ovarian damage as evidenced by the marked histopathological deterioration. Additionally, irradiation led to a significant decrease in body weight gain, gonadosomatic index, and serum estradiol level. Further, it caused a significant increase in serum AMH, phosphorylated AMPK, phosphorylated AKT, cytoplasmic Nrf2 expression and phosphorylated CREB levels. Co-administration of vilda exhibited neuroprotective effects, preserved the ovarian histological architecture but failed to preserve the primordial follicle pool in irradiated rats.</p><p><strong>Conclusion: </strong>In conclusion, AMPK/AKT signaling pathway is upregulated in radiation-induced POF. It possibly contributes to POF pathogenesis by accelerating the activation of primordial follicles, hence leading to their premature depletion. Coadministration of vilda can protect the ovaries and temporarily preserve its endocrine function; however, it does not sustain the ovarian reproductive capacity due to the early depletion of the pool of primordial follicles. Women undergoing radiotherapy should be cautious with the use of AKT-activating drugs.</p>","PeriodicalId":9023,"journal":{"name":"BMC Pharmacology & Toxicology","volume":"26 1","pages":"81"},"PeriodicalIF":2.7000,"publicationDate":"2025-04-12","publicationTypes":"Journal Article","fieldsOfStudy":null,"isOpenAccess":false,"openAccessPdf":"https://www.ncbi.nlm.nih.gov/pmc/articles/PMC11994011/pdf/","citationCount":"0","resultStr":"{\"title\":\"Can vildagliptin protect against radiation-induced premature ovarian failure? Insights into the AMPK and AKT signaling pathways.\",\"authors\":\"Nada A Mahgoub, Doaa A El-Sherbiny, Ebtehal El-Demerdash\",\"doi\":\"10.1186/s40360-025-00903-5\",\"DOIUrl\":null,\"url\":null,\"abstract\":\"<p><strong>Background: </strong>Among the detrimental side effects caused by radiotherapy in young females is the ovarian damage, eventually causing premature ovarian failure (POF). While many signaling pathways contribute to the pathogenesis of POF, to date no sufficient data exist on the AMPK and AKT signaling pathways in irradiated ovaries. Both AMPK and AKT play crucial roles in the process of folliculogenesis. Vildagliptin (vilda) is a dipeptidyl peptidase-4 inhibitor with modulatory effect on both AMPK and AKT. Therefore, our study aimed to investigate the biochemical changes that occur in the AMPK/AKT signaling pathway, and the effect of co-administration of vildagliptin in radiation-induced POF.</p><p><strong>Methods: </strong>Female Sprague-dawley rats were randomly divided into four groups: control, radiation, radiation + vilda, or vilda alone groups. Vilda was administered orally once/day, and on the 10th day of the experiment, radiation and radiation + vilda group rats were subjected to 3.2 Gy of whole-body gamma irradiation. Behavioral activity was assessed on the 13th day of the experiment. On day 14 of the experiment, all rats were euthanized. Serum samples were collected, and ovaries were dissected for histological and biochemical analyses.</p><p><strong>Results: </strong>Irradiation of female rats resulted in increased locomotor hyperactivity, impaired memory, and ovarian damage as evidenced by the marked histopathological deterioration. Additionally, irradiation led to a significant decrease in body weight gain, gonadosomatic index, and serum estradiol level. Further, it caused a significant increase in serum AMH, phosphorylated AMPK, phosphorylated AKT, cytoplasmic Nrf2 expression and phosphorylated CREB levels. Co-administration of vilda exhibited neuroprotective effects, preserved the ovarian histological architecture but failed to preserve the primordial follicle pool in irradiated rats.</p><p><strong>Conclusion: </strong>In conclusion, AMPK/AKT signaling pathway is upregulated in radiation-induced POF. It possibly contributes to POF pathogenesis by accelerating the activation of primordial follicles, hence leading to their premature depletion. Coadministration of vilda can protect the ovaries and temporarily preserve its endocrine function; however, it does not sustain the ovarian reproductive capacity due to the early depletion of the pool of primordial follicles. Women undergoing radiotherapy should be cautious with the use of AKT-activating drugs.</p>\",\"PeriodicalId\":9023,\"journal\":{\"name\":\"BMC Pharmacology & Toxicology\",\"volume\":\"26 1\",\"pages\":\"81\"},\"PeriodicalIF\":2.7000,\"publicationDate\":\"2025-04-12\",\"publicationTypes\":\"Journal Article\",\"fieldsOfStudy\":null,\"isOpenAccess\":false,\"openAccessPdf\":\"https://www.ncbi.nlm.nih.gov/pmc/articles/PMC11994011/pdf/\",\"citationCount\":\"0\",\"resultStr\":null,\"platform\":\"Semanticscholar\",\"paperid\":null,\"PeriodicalName\":\"BMC Pharmacology & Toxicology\",\"FirstCategoryId\":\"3\",\"ListUrlMain\":\"https://doi.org/10.1186/s40360-025-00903-5\",\"RegionNum\":3,\"RegionCategory\":\"医学\",\"ArticlePicture\":[],\"TitleCN\":null,\"AbstractTextCN\":null,\"PMCID\":null,\"EPubDate\":\"\",\"PubModel\":\"\",\"JCR\":\"Q2\",\"JCRName\":\"PHARMACOLOGY & PHARMACY\",\"Score\":null,\"Total\":0}","platform":"Semanticscholar","paperid":null,"PeriodicalName":"BMC Pharmacology & Toxicology","FirstCategoryId":"3","ListUrlMain":"https://doi.org/10.1186/s40360-025-00903-5","RegionNum":3,"RegionCategory":"医学","ArticlePicture":[],"TitleCN":null,"AbstractTextCN":null,"PMCID":null,"EPubDate":"","PubModel":"","JCR":"Q2","JCRName":"PHARMACOLOGY & PHARMACY","Score":null,"Total":0}
引用次数: 0

摘要

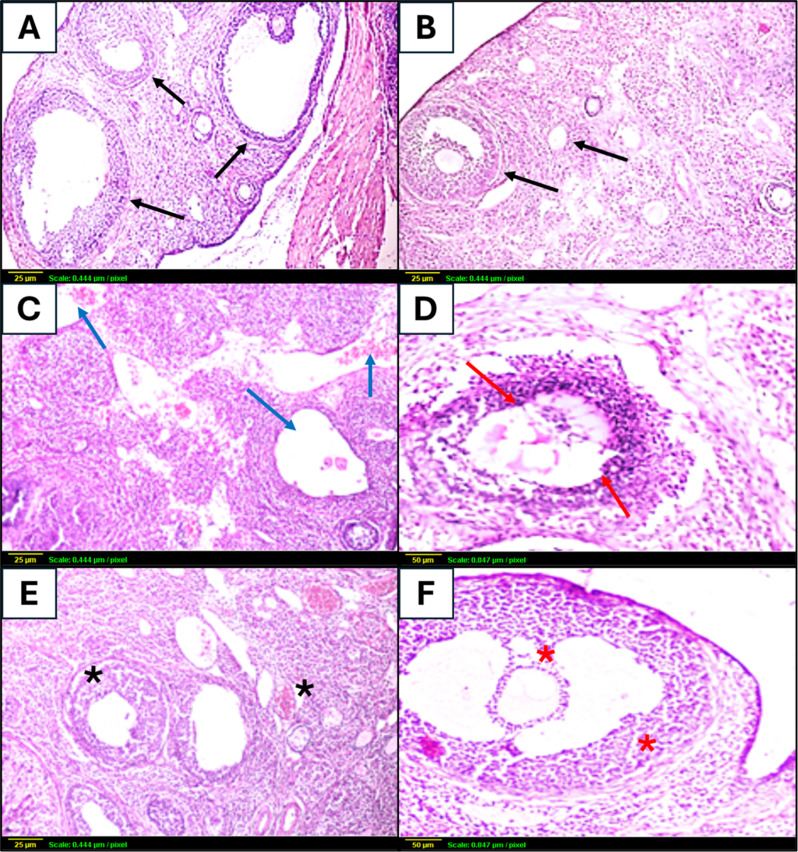
背景:年轻女性放射治疗的不良副作用之一是卵巢损伤,最终导致卵巢早衰(POF)。虽然有许多信号通路参与POF的发病机制,但迄今为止还没有足够的关于照射卵巢中AMPK和AKT信号通路的数据。AMPK和AKT在卵泡形成过程中起着至关重要的作用。维格列汀(Vildagliptin)是一种二肽基肽酶-4抑制剂,对AMPK和AKT均有调节作用。因此,我们的研究旨在探讨AMPK/AKT信号通路的生化变化,以及维格列汀在辐射诱导的POF中的作用。方法:雌性Sprague-dawley大鼠随机分为对照组、辐射组、辐射+ vilda组和单独vilda组。Vilda给药1次/天,实验第10天,辐射组和辐射+ Vilda组大鼠接受3.2 Gy的全身γ辐射。实验第13天进行行为活动评估。实验第14天,对所有大鼠实施安乐死。采集血清标本,解剖卵巢进行组织学和生化分析。结果:雌性大鼠受到辐射后,运动亢进、记忆受损、卵巢损伤明显恶化。此外,辐照导致体重增加、促性腺指数和血清雌二醇水平显著降低。此外,它还导致血清AMH、磷酸化AMPK、磷酸化AKT、胞质Nrf2表达和磷酸化CREB水平显著升高。同时给药维尔达显示出神经保护作用,保留了卵巢组织结构,但未能保留原始卵泡池。结论:综上所述,AMPK/AKT信号通路在辐射诱导的POF中表达上调。它可能通过加速原始卵泡的激活,从而导致其过早衰竭,从而有助于POF的发病机制。同时给药可保护卵巢,暂时维持卵巢内分泌功能;然而,由于原始卵泡池的早期耗竭,它不能维持卵巢的生殖能力。接受放射治疗的妇女应谨慎使用akt活化药物。
本文章由计算机程序翻译,如有差异,请以英文原文为准。

Can vildagliptin protect against radiation-induced premature ovarian failure? Insights into the AMPK and AKT signaling pathways.

Can vildagliptin protect against radiation-induced premature ovarian failure? Insights into the AMPK and AKT signaling pathways.

Can vildagliptin protect against radiation-induced premature ovarian failure? Insights into the AMPK and AKT signaling pathways.

Can vildagliptin protect against radiation-induced premature ovarian failure? Insights into the AMPK and AKT signaling pathways.

Background: Among the detrimental side effects caused by radiotherapy in young females is the ovarian damage, eventually causing premature ovarian failure (POF). While many signaling pathways contribute to the pathogenesis of POF, to date no sufficient data exist on the AMPK and AKT signaling pathways in irradiated ovaries. Both AMPK and AKT play crucial roles in the process of folliculogenesis. Vildagliptin (vilda) is a dipeptidyl peptidase-4 inhibitor with modulatory effect on both AMPK and AKT. Therefore, our study aimed to investigate the biochemical changes that occur in the AMPK/AKT signaling pathway, and the effect of co-administration of vildagliptin in radiation-induced POF.

Methods: Female Sprague-dawley rats were randomly divided into four groups: control, radiation, radiation + vilda, or vilda alone groups. Vilda was administered orally once/day, and on the 10th day of the experiment, radiation and radiation + vilda group rats were subjected to 3.2 Gy of whole-body gamma irradiation. Behavioral activity was assessed on the 13th day of the experiment. On day 14 of the experiment, all rats were euthanized. Serum samples were collected, and ovaries were dissected for histological and biochemical analyses.

Results: Irradiation of female rats resulted in increased locomotor hyperactivity, impaired memory, and ovarian damage as evidenced by the marked histopathological deterioration. Additionally, irradiation led to a significant decrease in body weight gain, gonadosomatic index, and serum estradiol level. Further, it caused a significant increase in serum AMH, phosphorylated AMPK, phosphorylated AKT, cytoplasmic Nrf2 expression and phosphorylated CREB levels. Co-administration of vilda exhibited neuroprotective effects, preserved the ovarian histological architecture but failed to preserve the primordial follicle pool in irradiated rats.

Conclusion: In conclusion, AMPK/AKT signaling pathway is upregulated in radiation-induced POF. It possibly contributes to POF pathogenesis by accelerating the activation of primordial follicles, hence leading to their premature depletion. Coadministration of vilda can protect the ovaries and temporarily preserve its endocrine function; however, it does not sustain the ovarian reproductive capacity due to the early depletion of the pool of primordial follicles. Women undergoing radiotherapy should be cautious with the use of AKT-activating drugs.

求助全文
通过发布文献求助,成功后即可免费获取论文全文。 去求助
来源期刊
BMC Pharmacology & Toxicology
BMC Pharmacology & Toxicology PHARMACOLOGY & PHARMACYTOXICOLOGY&nb-TOXICOLOGY
CiteScore
4.80
自引率
0.00%
发文量
87
审稿时长
12 weeks
期刊介绍: BMC Pharmacology and Toxicology is an open access, peer-reviewed journal that considers articles on all aspects of chemically defined therapeutic and toxic agents. The journal welcomes submissions from all fields of experimental and clinical pharmacology including clinical trials and toxicology.
×
引用
GB/T 7714-2015
复制
MLA
复制
APA
复制
导出至
BibTeX EndNote RefMan NoteFirst NoteExpress
×
提示
您的信息不完整,为了账户安全,请先补充。
现在去补充
×
提示
您因"违规操作"
具体请查看互助需知
我知道了
×
提示
确定
请完成安全验证×
copy
已复制链接
快去分享给好友吧!
我知道了
右上角分享
点击右上角分享
0
联系我们:info@booksci.cn Book学术提供免费学术资源搜索服务,方便国内外学者检索中英文文献。致力于提供最便捷和优质的服务体验。 Copyright © 2023 布克学术 All rights reserved.
京ICP备2023020795号-1
ghs 京公网安备 11010802042870号
Book学术文献互助
Book学术文献互助群
群 号:604180095
Book学术官方微信