诊断为免疫检查点抑制剂治疗相关性肺炎的患者的临床特征、结局和预测模型

IF 5.1 2区 医学 Q2 IMMUNOLOGY
Antonious Hazim, Irene Riestra Guiance, Jacob Shreve, Gordon Ruan, Damian McGlothlin, Allison LeMahieu, Robert Haemmerle, Keith Mcconn, Richard C Godby, Lisa Kottschade, Anna Schwecke, Casey Fazer-Posorske, Tobias Peikert, Eric Edell, Konstantinos Leventakos, Ashley Egan
{"title":"诊断为免疫检查点抑制剂治疗相关性肺炎的患者的临床特征、结局和预测模型","authors":"Antonious Hazim, Irene Riestra Guiance, Jacob Shreve, Gordon Ruan, Damian McGlothlin, Allison LeMahieu, Robert Haemmerle, Keith Mcconn, Richard C Godby, Lisa Kottschade, Anna Schwecke, Casey Fazer-Posorske, Tobias Peikert, Eric Edell, Konstantinos Leventakos, Ashley Egan","doi":"10.1007/s00262-025-04053-9","DOIUrl":null,"url":null,"abstract":"<p><strong>Purpose: </strong>The aim of this study is to better characterize the clinical characteristics and outcomes of patients diagnosed with Immune checkpoint Inhibitor (ICI) pneumonitis and propose predictive models.</p><p><strong>Patients and methods: </strong>Patients diagnosed with ICI pneumonitis at Mayo Clinic from 2014 to 2022 were studied. All cases were independently reviewed by our pulmonology specialist (A.E.) to confirm the appropriate diagnosis. The grading of pneumonitis was defined in accordance with ASCO guidelines (Schneider et al. in J Clin Oncol 39(36):4073-4126, 2021. https://doi.org/10.1200/JCO.21.01440 ). Predictive modeling was performed using gradient boosting machine learning technology, XGBoost (Chen in 1(4):1, 2015), to conduct binary classification and model reverse engineering using Shapley statistics (Lundberg and Lee in Adv Neural Inf Process Syst 30, 2017).</p><p><strong>Results: </strong>One hundred and seventy patients with ICI pneumonitis were included (median age 67; IQR 59, 75). Median overall survival was 2.3 years (95% CI: 1.8, NR). A higher grade of ICI pneumonitis was associated with inferior survival (HR 5.85, 95% CI: 2.27, 15.09; p < 0.001). Patients who were rechallenged with immunotherapy had significantly improved hazard of survival compared to patients not rechallenged (HR 0.37, 95% CI: 0.21, 0.68; p = 0.001). Risk of death from ICI pneumonitis prior to starting immunotherapy was modeled with an area under the curve of the receiver operator characteristic (AUC-ROC) of 0.79 with the most contributory features including peripheral blood lymphocyte count, oxygen dependence, pulmonary function testing, and PD-L1 expression.</p><p><strong>Conclusion: </strong>The presentation of ICI pneumonitis is highly variable, and outcomes are dependent on severity, but favor grade 2 disease when patients are rechallenged with immunotherapy. However, using commonly available clinical data, we can accurately identify patients at high risk of death from ICI pneumonitis. Further effort is needed to produce clinical models able to provide clinician decision support when evaluating patients with ICI toxicities and considering ICI rechallenge.</p>","PeriodicalId":9595,"journal":{"name":"Cancer Immunology, Immunotherapy","volume":"74 7","pages":"194"},"PeriodicalIF":5.1000,"publicationDate":"2025-05-09","publicationTypes":"Journal Article","fieldsOfStudy":null,"isOpenAccess":false,"openAccessPdf":"https://www.ncbi.nlm.nih.gov/pmc/articles/PMC12064548/pdf/","citationCount":"0","resultStr":"{\"title\":\"Clinical characteristics, outcomes, and predictive modeling of patients diagnosed with immune checkpoint inhibitor therapy-related pneumonitis.\",\"authors\":\"Antonious Hazim, Irene Riestra Guiance, Jacob Shreve, Gordon Ruan, Damian McGlothlin, Allison LeMahieu, Robert Haemmerle, Keith Mcconn, Richard C Godby, Lisa Kottschade, Anna Schwecke, Casey Fazer-Posorske, Tobias Peikert, Eric Edell, Konstantinos Leventakos, Ashley Egan\",\"doi\":\"10.1007/s00262-025-04053-9\",\"DOIUrl\":null,\"url\":null,\"abstract\":\"<p><strong>Purpose: </strong>The aim of this study is to better characterize the clinical characteristics and outcomes of patients diagnosed with Immune checkpoint Inhibitor (ICI) pneumonitis and propose predictive models.</p><p><strong>Patients and methods: </strong>Patients diagnosed with ICI pneumonitis at Mayo Clinic from 2014 to 2022 were studied. All cases were independently reviewed by our pulmonology specialist (A.E.) to confirm the appropriate diagnosis. The grading of pneumonitis was defined in accordance with ASCO guidelines (Schneider et al. in J Clin Oncol 39(36):4073-4126, 2021. https://doi.org/10.1200/JCO.21.01440 ). Predictive modeling was performed using gradient boosting machine learning technology, XGBoost (Chen in 1(4):1, 2015), to conduct binary classification and model reverse engineering using Shapley statistics (Lundberg and Lee in Adv Neural Inf Process Syst 30, 2017).</p><p><strong>Results: </strong>One hundred and seventy patients with ICI pneumonitis were included (median age 67; IQR 59, 75). Median overall survival was 2.3 years (95% CI: 1.8, NR). A higher grade of ICI pneumonitis was associated with inferior survival (HR 5.85, 95% CI: 2.27, 15.09; p < 0.001). Patients who were rechallenged with immunotherapy had significantly improved hazard of survival compared to patients not rechallenged (HR 0.37, 95% CI: 0.21, 0.68; p = 0.001). Risk of death from ICI pneumonitis prior to starting immunotherapy was modeled with an area under the curve of the receiver operator characteristic (AUC-ROC) of 0.79 with the most contributory features including peripheral blood lymphocyte count, oxygen dependence, pulmonary function testing, and PD-L1 expression.</p><p><strong>Conclusion: </strong>The presentation of ICI pneumonitis is highly variable, and outcomes are dependent on severity, but favor grade 2 disease when patients are rechallenged with immunotherapy. However, using commonly available clinical data, we can accurately identify patients at high risk of death from ICI pneumonitis. Further effort is needed to produce clinical models able to provide clinician decision support when evaluating patients with ICI toxicities and considering ICI rechallenge.</p>\",\"PeriodicalId\":9595,\"journal\":{\"name\":\"Cancer Immunology, Immunotherapy\",\"volume\":\"74 7\",\"pages\":\"194\"},\"PeriodicalIF\":5.1000,\"publicationDate\":\"2025-05-09\",\"publicationTypes\":\"Journal Article\",\"fieldsOfStudy\":null,\"isOpenAccess\":false,\"openAccessPdf\":\"https://www.ncbi.nlm.nih.gov/pmc/articles/PMC12064548/pdf/\",\"citationCount\":\"0\",\"resultStr\":null,\"platform\":\"Semanticscholar\",\"paperid\":null,\"PeriodicalName\":\"Cancer Immunology, Immunotherapy\",\"FirstCategoryId\":\"3\",\"ListUrlMain\":\"https://doi.org/10.1007/s00262-025-04053-9\",\"RegionNum\":2,\"RegionCategory\":\"医学\",\"ArticlePicture\":[],\"TitleCN\":null,\"AbstractTextCN\":null,\"PMCID\":null,\"EPubDate\":\"\",\"PubModel\":\"\",\"JCR\":\"Q2\",\"JCRName\":\"IMMUNOLOGY\",\"Score\":null,\"Total\":0}","platform":"Semanticscholar","paperid":null,"PeriodicalName":"Cancer Immunology, Immunotherapy","FirstCategoryId":"3","ListUrlMain":"https://doi.org/10.1007/s00262-025-04053-9","RegionNum":2,"RegionCategory":"医学","ArticlePicture":[],"TitleCN":null,"AbstractTextCN":null,"PMCID":null,"EPubDate":"","PubModel":"","JCR":"Q2","JCRName":"IMMUNOLOGY","Score":null,"Total":0}
引用次数: 0

摘要

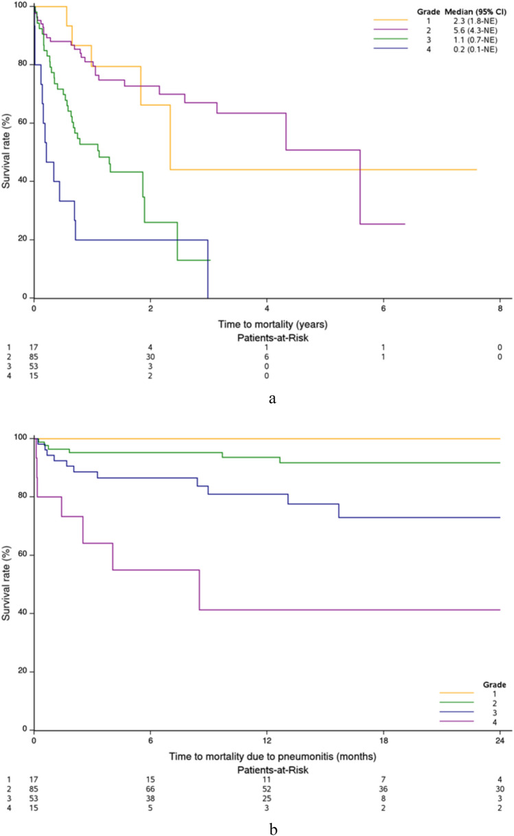
目的:本研究的目的是更好地描述诊断为免疫检查点抑制剂(ICI)肺炎的患者的临床特征和结局,并提出预测模型。患者和方法:对2014 - 2022年梅奥诊所诊断为ICI肺炎的患者进行研究。所有病例均由我们的肺科专家(A.E.)独立审查,以确认适当的诊断。肺炎的分级是根据ASCO指南定义的(Schneider et al. in J clinical Oncol 39(36):4073-4126, 2021)。https://doi.org/10.1200/JCO.21.01440)。使用梯度增强机器学习技术XGBoost (Chen in 1(4):1, 2015)进行预测建模,并使用Shapley统计进行二元分类和模型逆向工程(Lundberg and Lee in Adv Neural Inf Process system 30, 2017)。结果:纳入170例ICI肺炎患者(中位年龄67岁;第59页,第75页)。中位总生存期为2.3年(95% CI: 1.8, NR)。ICI肺炎分级越高,生存期越差(相对危险度5.85,95% CI: 2.27, 15.09;结论:ICI肺炎的表现是高度可变的,结果取决于严重程度,但当患者再次接受免疫治疗时,倾向于2级疾病。然而,使用常见的临床数据,我们可以准确地识别ICI肺炎死亡风险高的患者。需要进一步努力建立临床模型,以便在评估ICI毒性和考虑ICI再挑战时为临床医生提供决策支持。
本文章由计算机程序翻译,如有差异,请以英文原文为准。

Clinical characteristics, outcomes, and predictive modeling of patients diagnosed with immune checkpoint inhibitor therapy-related pneumonitis.

Clinical characteristics, outcomes, and predictive modeling of patients diagnosed with immune checkpoint inhibitor therapy-related pneumonitis.

Clinical characteristics, outcomes, and predictive modeling of patients diagnosed with immune checkpoint inhibitor therapy-related pneumonitis.

Clinical characteristics, outcomes, and predictive modeling of patients diagnosed with immune checkpoint inhibitor therapy-related pneumonitis.

Purpose: The aim of this study is to better characterize the clinical characteristics and outcomes of patients diagnosed with Immune checkpoint Inhibitor (ICI) pneumonitis and propose predictive models.

Patients and methods: Patients diagnosed with ICI pneumonitis at Mayo Clinic from 2014 to 2022 were studied. All cases were independently reviewed by our pulmonology specialist (A.E.) to confirm the appropriate diagnosis. The grading of pneumonitis was defined in accordance with ASCO guidelines (Schneider et al. in J Clin Oncol 39(36):4073-4126, 2021. https://doi.org/10.1200/JCO.21.01440 ). Predictive modeling was performed using gradient boosting machine learning technology, XGBoost (Chen in 1(4):1, 2015), to conduct binary classification and model reverse engineering using Shapley statistics (Lundberg and Lee in Adv Neural Inf Process Syst 30, 2017).

Results: One hundred and seventy patients with ICI pneumonitis were included (median age 67; IQR 59, 75). Median overall survival was 2.3 years (95% CI: 1.8, NR). A higher grade of ICI pneumonitis was associated with inferior survival (HR 5.85, 95% CI: 2.27, 15.09; p < 0.001). Patients who were rechallenged with immunotherapy had significantly improved hazard of survival compared to patients not rechallenged (HR 0.37, 95% CI: 0.21, 0.68; p = 0.001). Risk of death from ICI pneumonitis prior to starting immunotherapy was modeled with an area under the curve of the receiver operator characteristic (AUC-ROC) of 0.79 with the most contributory features including peripheral blood lymphocyte count, oxygen dependence, pulmonary function testing, and PD-L1 expression.

Conclusion: The presentation of ICI pneumonitis is highly variable, and outcomes are dependent on severity, but favor grade 2 disease when patients are rechallenged with immunotherapy. However, using commonly available clinical data, we can accurately identify patients at high risk of death from ICI pneumonitis. Further effort is needed to produce clinical models able to provide clinician decision support when evaluating patients with ICI toxicities and considering ICI rechallenge.

求助全文
通过发布文献求助,成功后即可免费获取论文全文。 去求助
来源期刊
CiteScore
10.50
自引率
1.70%
发文量
207
审稿时长
1 months
期刊介绍: Cancer Immunology, Immunotherapy has the basic aim of keeping readers informed of the latest research results in the fields of oncology and immunology. As knowledge expands, the scope of the journal has broadened to include more of the progress being made in the areas of biology concerned with biological response modifiers. This helps keep readers up to date on the latest advances in our understanding of tumor-host interactions. The journal publishes short editorials including "position papers," general reviews, original articles, and short communications, providing a forum for the most current experimental and clinical advances in tumor immunology.
×
引用
GB/T 7714-2015
复制
MLA
复制
APA
复制
导出至
BibTeX EndNote RefMan NoteFirst NoteExpress
×
提示
您的信息不完整,为了账户安全,请先补充。
现在去补充
×
提示
您因"违规操作"
具体请查看互助需知
我知道了
×
提示
确定
请完成安全验证×
copy
已复制链接
快去分享给好友吧!
我知道了
右上角分享
点击右上角分享
0
联系我们:info@booksci.cn Book学术提供免费学术资源搜索服务,方便国内外学者检索中英文文献。致力于提供最便捷和优质的服务体验。 Copyright © 2023 布克学术 All rights reserved.
京ICP备2023020795号-1
ghs 京公网安备 11010802042870号
Book学术文献互助
Book学术文献互助群
群 号:604180095
Book学术官方微信