钢铁般的勇气:揭示食道溃疡的罕见偶发病例报告。

IF 0.6 Q4 GASTROENTEROLOGY & HEPATOLOGY
Case Reports in Gastroenterology Pub Date : 2025-03-21 eCollection Date: 2025-01-01 DOI:10.1159/000544108
Akshi Raj, Mangesh Londhe, Yogesh Bade, Madhuri Singh, Charusheela Gore, Anuj Sharma
{"title":"钢铁般的勇气:揭示食道溃疡的罕见偶发病例报告。","authors":"Akshi Raj, Mangesh Londhe, Yogesh Bade, Madhuri Singh, Charusheela Gore, Anuj Sharma","doi":"10.1159/000544108","DOIUrl":null,"url":null,"abstract":"<p><strong>Introduction: </strong>Erosive damage to the upper gastrointestinal (GI) tract caused by therapeutic oral iron supplements is relatively uncommon. While such injuries are frequently linked to overdoses of oral iron, they can also occur with doses within the standard therapeutic range. Cases have highlighted GI complications caused by iron, predominantly involving the stomach and sometimes the esophagus. During absorption, iron is initially processed as ferrous iron, which, when bound to proteins, can lead to cellular injury. Additionally, ferric iron exerts a corrosive effect on the GI mucosa and disrupts cellular processes by generating free radicals and triggering lipid peroxidation.</p><p><strong>Case presentation: </strong>A 55-year-old female with dysphagia, pain, and anorexia showed linear to circumferential ulcers covered with white slough extensively around central esophagus with thickened and erythematous mucosa with focal erosions on esophagogastroduodenoscopy.</p><p><strong>Conclusion: </strong>This case highlights a rare case report of iron-induced esophageal ulcer found incidentally and the significance of acknowledging that iron preparations can harm the esophageal mucosa, especially in an Indian population where anemia is fairly predominant.</p>","PeriodicalId":9614,"journal":{"name":"Case Reports in Gastroenterology","volume":"19 1","pages":"184-189"},"PeriodicalIF":0.6000,"publicationDate":"2025-03-21","publicationTypes":"Journal Article","fieldsOfStudy":null,"isOpenAccess":false,"openAccessPdf":"https://www.ncbi.nlm.nih.gov/pmc/articles/PMC11928071/pdf/","citationCount":"0","resultStr":"{\"title\":\"Iron Mettle: Unveiling an Unusual Incidental Case Report of Esophageal Ulcer.\",\"authors\":\"Akshi Raj, Mangesh Londhe, Yogesh Bade, Madhuri Singh, Charusheela Gore, Anuj Sharma\",\"doi\":\"10.1159/000544108\",\"DOIUrl\":null,\"url\":null,\"abstract\":\"<p><strong>Introduction: </strong>Erosive damage to the upper gastrointestinal (GI) tract caused by therapeutic oral iron supplements is relatively uncommon. While such injuries are frequently linked to overdoses of oral iron, they can also occur with doses within the standard therapeutic range. Cases have highlighted GI complications caused by iron, predominantly involving the stomach and sometimes the esophagus. During absorption, iron is initially processed as ferrous iron, which, when bound to proteins, can lead to cellular injury. Additionally, ferric iron exerts a corrosive effect on the GI mucosa and disrupts cellular processes by generating free radicals and triggering lipid peroxidation.</p><p><strong>Case presentation: </strong>A 55-year-old female with dysphagia, pain, and anorexia showed linear to circumferential ulcers covered with white slough extensively around central esophagus with thickened and erythematous mucosa with focal erosions on esophagogastroduodenoscopy.</p><p><strong>Conclusion: </strong>This case highlights a rare case report of iron-induced esophageal ulcer found incidentally and the significance of acknowledging that iron preparations can harm the esophageal mucosa, especially in an Indian population where anemia is fairly predominant.</p>\",\"PeriodicalId\":9614,\"journal\":{\"name\":\"Case Reports in Gastroenterology\",\"volume\":\"19 1\",\"pages\":\"184-189\"},\"PeriodicalIF\":0.6000,\"publicationDate\":\"2025-03-21\",\"publicationTypes\":\"Journal Article\",\"fieldsOfStudy\":null,\"isOpenAccess\":false,\"openAccessPdf\":\"https://www.ncbi.nlm.nih.gov/pmc/articles/PMC11928071/pdf/\",\"citationCount\":\"0\",\"resultStr\":null,\"platform\":\"Semanticscholar\",\"paperid\":null,\"PeriodicalName\":\"Case Reports in Gastroenterology\",\"FirstCategoryId\":\"1085\",\"ListUrlMain\":\"https://doi.org/10.1159/000544108\",\"RegionNum\":0,\"RegionCategory\":null,\"ArticlePicture\":[],\"TitleCN\":null,\"AbstractTextCN\":null,\"PMCID\":null,\"EPubDate\":\"2025/1/1 0:00:00\",\"PubModel\":\"eCollection\",\"JCR\":\"Q4\",\"JCRName\":\"GASTROENTEROLOGY & HEPATOLOGY\",\"Score\":null,\"Total\":0}","platform":"Semanticscholar","paperid":null,"PeriodicalName":"Case Reports in Gastroenterology","FirstCategoryId":"1085","ListUrlMain":"https://doi.org/10.1159/000544108","RegionNum":0,"RegionCategory":null,"ArticlePicture":[],"TitleCN":null,"AbstractTextCN":null,"PMCID":null,"EPubDate":"2025/1/1 0:00:00","PubModel":"eCollection","JCR":"Q4","JCRName":"GASTROENTEROLOGY & HEPATOLOGY","Score":null,"Total":0}
引用次数: 0

摘要

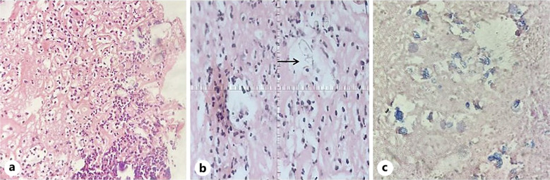
导读:由治疗性口服补铁剂引起的上消化道糜烂性损伤是相对罕见的。虽然这种损伤通常与口服铁过量有关,但在标准治疗范围内的剂量也可能发生。病例强调了由铁引起的胃肠道并发症,主要累及胃,有时累及食道。在吸收过程中,铁最初被加工成亚铁,当与蛋白质结合时,会导致细胞损伤。此外,铁对胃肠道粘膜具有腐蚀作用,并通过产生自由基和触发脂质过氧化而破坏细胞过程。病例介绍:55岁女性,吞咽困难、疼痛和厌食,食管胃十二指肠镜检查显示,食管中央周围有广泛的线状至环状溃疡,覆盖白色粘液,粘膜增厚、红斑并灶性糜烂。结论:本病例强调了偶然发现的铁致食管溃疡的罕见病例报告,以及承认铁制剂可损害食管粘膜的重要性,特别是在贫血相当普遍的印度人群中。
本文章由计算机程序翻译,如有差异,请以英文原文为准。

Iron Mettle: Unveiling an Unusual Incidental Case Report of Esophageal Ulcer.

Iron Mettle: Unveiling an Unusual Incidental Case Report of Esophageal Ulcer.

Iron Mettle: Unveiling an Unusual Incidental Case Report of Esophageal Ulcer.

Introduction: Erosive damage to the upper gastrointestinal (GI) tract caused by therapeutic oral iron supplements is relatively uncommon. While such injuries are frequently linked to overdoses of oral iron, they can also occur with doses within the standard therapeutic range. Cases have highlighted GI complications caused by iron, predominantly involving the stomach and sometimes the esophagus. During absorption, iron is initially processed as ferrous iron, which, when bound to proteins, can lead to cellular injury. Additionally, ferric iron exerts a corrosive effect on the GI mucosa and disrupts cellular processes by generating free radicals and triggering lipid peroxidation.

Case presentation: A 55-year-old female with dysphagia, pain, and anorexia showed linear to circumferential ulcers covered with white slough extensively around central esophagus with thickened and erythematous mucosa with focal erosions on esophagogastroduodenoscopy.

Conclusion: This case highlights a rare case report of iron-induced esophageal ulcer found incidentally and the significance of acknowledging that iron preparations can harm the esophageal mucosa, especially in an Indian population where anemia is fairly predominant.

求助全文
通过发布文献求助,成功后即可免费获取论文全文。 去求助
来源期刊
Case Reports in Gastroenterology
Case Reports in Gastroenterology Medicine-Gastroenterology
CiteScore
1.10
自引率
0.00%
发文量
99
审稿时长
7 weeks
期刊介绍:
×
引用
GB/T 7714-2015
复制
MLA
复制
APA
复制
导出至
BibTeX EndNote RefMan NoteFirst NoteExpress
×
提示
您的信息不完整,为了账户安全,请先补充。
现在去补充
×
提示
您因"违规操作"
具体请查看互助需知
我知道了
×
提示
确定
请完成安全验证×
copy
已复制链接
快去分享给好友吧!
我知道了
右上角分享
点击右上角分享
0
联系我们:info@booksci.cn Book学术提供免费学术资源搜索服务,方便国内外学者检索中英文文献。致力于提供最便捷和优质的服务体验。 Copyright © 2023 布克学术 All rights reserved.
京ICP备2023020795号-1
ghs 京公网安备 11010802042870号
Book学术文献互助
Book学术文献互助群
群 号:604180095
Book学术官方微信