橙皮苷、抗坏血酸及其联合应用对抗结核药物肝毒性大鼠氧化应激、血脂异常及组织学改变的保护作用。

IF 1.5 4区 医学 Q4 PHARMACOLOGY & PHARMACY
Indian Journal of Pharmacology Pub Date : 2025-01-01 Epub Date: 2025-05-06 DOI:10.4103/ijp.ijp_116_24
Nathiya Shanmugam, Preethi Umanath, Vennila Gurusamy
{"title":"橙皮苷、抗坏血酸及其联合应用对抗结核药物肝毒性大鼠氧化应激、血脂异常及组织学改变的保护作用。","authors":"Nathiya Shanmugam, Preethi Umanath, Vennila Gurusamy","doi":"10.4103/ijp.ijp_116_24","DOIUrl":null,"url":null,"abstract":"<p><strong>Background: </strong>Hesperidin and ascorbic acid (AA) enhance cellular antioxidant defense systems by neutralizing the free radicals which formed during oxidative stress that could offer protective effects against drug-induced liver injury. Hence, this study aims to investigate the effect of hesperidin, AA and their combination against antitubercular drug (ATDs)- induced hepatotoxicity in Wistar albino rats.</p><p><strong>Materials and methods: </strong>The rats were divided into six groups of 6 animals each. Isoniazid (H), Rifampicin (R), and pyrazinamide (Z) (27, 54, 135 mg/kg.b.wt) were co-administration for 50 days to induce hepatotoxicity. Hesperidin 200 mg/kg and AA 100 mg/kg p.o were administered 1 h before ATDs administration. At the end of the study, blood and liver tissues were collected and subjected to biochemical and histopathological examination. Biochemical parameters, serum marker enzymes (aspartate aminotransferase, alanine aminotransferase, alkaline phosphatase, acid phosphatase, Gamma glutamyltransferase, and lactate dehydrogenase), lipid peroxidation (LPO), antioxidant enzymes (superoxide dismutase, catalase, GSH, glutathione peroxidase, GR, Vitamin C, and Vitamin E), lipid profile, membrane bound ATPase, and histological changes of liver were assessed.</p><p><strong>Results: </strong>Our results revealed that HRZ-induced hepatotoxicity was evident by significant (P < 0.001) elevation in level of urea, creatinine, bilirubin, liver marker enzymes, lipid profile (P < 0.01), and LPO (P < 0.001) along with significant decline in the level of total protein, albumin (P > 0.05), ATPase (P < 0.001), and antioxidant enzymes (P < 0.001). Treatment with HDN and AA significantly reduced the changes induced by HRZ. However, compared to individual treatment, combined treatment with HDN and AA significantly (P < 0.001) ameliorated all the changes induced by ATDs and improved the hepatic architecture to near normal.</p><p><strong>Conclusion: </strong>The combination of HDN and AA demonstrated a synergistic therapeutic effect against HRZ-induced liver injury; hence, this combination represents a potential novel strategy for the management of anti-TB drug-induced liver damage.</p>","PeriodicalId":13490,"journal":{"name":"Indian Journal of Pharmacology","volume":"57 1","pages":"4-11"},"PeriodicalIF":1.5000,"publicationDate":"2025-01-01","publicationTypes":"Journal Article","fieldsOfStudy":null,"isOpenAccess":false,"openAccessPdf":"https://www.ncbi.nlm.nih.gov/pmc/articles/PMC12133061/pdf/","citationCount":"0","resultStr":"{\"title\":\"Protective effect of hesperidin, ascorbic acid and their combination on oxidative stress, dyslipidemia, and histological changes in antitubercular drug-induced hepatotoxicity in rats.\",\"authors\":\"Nathiya Shanmugam, Preethi Umanath, Vennila Gurusamy\",\"doi\":\"10.4103/ijp.ijp_116_24\",\"DOIUrl\":null,\"url\":null,\"abstract\":\"<p><strong>Background: </strong>Hesperidin and ascorbic acid (AA) enhance cellular antioxidant defense systems by neutralizing the free radicals which formed during oxidative stress that could offer protective effects against drug-induced liver injury. Hence, this study aims to investigate the effect of hesperidin, AA and their combination against antitubercular drug (ATDs)- induced hepatotoxicity in Wistar albino rats.</p><p><strong>Materials and methods: </strong>The rats were divided into six groups of 6 animals each. Isoniazid (H), Rifampicin (R), and pyrazinamide (Z) (27, 54, 135 mg/kg.b.wt) were co-administration for 50 days to induce hepatotoxicity. Hesperidin 200 mg/kg and AA 100 mg/kg p.o were administered 1 h before ATDs administration. At the end of the study, blood and liver tissues were collected and subjected to biochemical and histopathological examination. Biochemical parameters, serum marker enzymes (aspartate aminotransferase, alanine aminotransferase, alkaline phosphatase, acid phosphatase, Gamma glutamyltransferase, and lactate dehydrogenase), lipid peroxidation (LPO), antioxidant enzymes (superoxide dismutase, catalase, GSH, glutathione peroxidase, GR, Vitamin C, and Vitamin E), lipid profile, membrane bound ATPase, and histological changes of liver were assessed.</p><p><strong>Results: </strong>Our results revealed that HRZ-induced hepatotoxicity was evident by significant (P < 0.001) elevation in level of urea, creatinine, bilirubin, liver marker enzymes, lipid profile (P < 0.01), and LPO (P < 0.001) along with significant decline in the level of total protein, albumin (P > 0.05), ATPase (P < 0.001), and antioxidant enzymes (P < 0.001). Treatment with HDN and AA significantly reduced the changes induced by HRZ. However, compared to individual treatment, combined treatment with HDN and AA significantly (P < 0.001) ameliorated all the changes induced by ATDs and improved the hepatic architecture to near normal.</p><p><strong>Conclusion: </strong>The combination of HDN and AA demonstrated a synergistic therapeutic effect against HRZ-induced liver injury; hence, this combination represents a potential novel strategy for the management of anti-TB drug-induced liver damage.</p>\",\"PeriodicalId\":13490,\"journal\":{\"name\":\"Indian Journal of Pharmacology\",\"volume\":\"57 1\",\"pages\":\"4-11\"},\"PeriodicalIF\":1.5000,\"publicationDate\":\"2025-01-01\",\"publicationTypes\":\"Journal Article\",\"fieldsOfStudy\":null,\"isOpenAccess\":false,\"openAccessPdf\":\"https://www.ncbi.nlm.nih.gov/pmc/articles/PMC12133061/pdf/\",\"citationCount\":\"0\",\"resultStr\":null,\"platform\":\"Semanticscholar\",\"paperid\":null,\"PeriodicalName\":\"Indian Journal of Pharmacology\",\"FirstCategoryId\":\"3\",\"ListUrlMain\":\"https://doi.org/10.4103/ijp.ijp_116_24\",\"RegionNum\":4,\"RegionCategory\":\"医学\",\"ArticlePicture\":[],\"TitleCN\":null,\"AbstractTextCN\":null,\"PMCID\":null,\"EPubDate\":\"2025/5/6 0:00:00\",\"PubModel\":\"Epub\",\"JCR\":\"Q4\",\"JCRName\":\"PHARMACOLOGY & PHARMACY\",\"Score\":null,\"Total\":0}","platform":"Semanticscholar","paperid":null,"PeriodicalName":"Indian Journal of Pharmacology","FirstCategoryId":"3","ListUrlMain":"https://doi.org/10.4103/ijp.ijp_116_24","RegionNum":4,"RegionCategory":"医学","ArticlePicture":[],"TitleCN":null,"AbstractTextCN":null,"PMCID":null,"EPubDate":"2025/5/6 0:00:00","PubModel":"Epub","JCR":"Q4","JCRName":"PHARMACOLOGY & PHARMACY","Score":null,"Total":0}
引用次数: 0

摘要

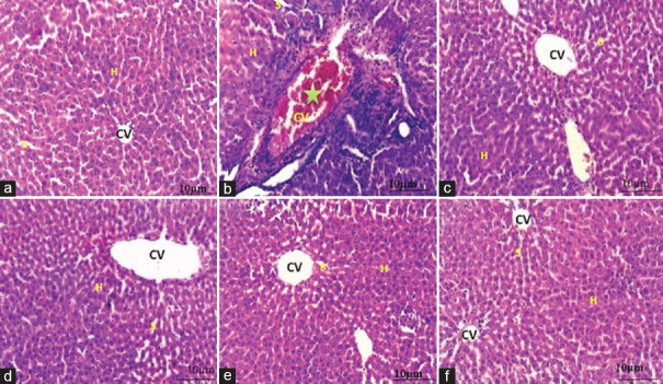
背景:橙皮苷和抗坏血酸(AA)通过中和氧化应激过程中形成的自由基来增强细胞抗氧化防御系统,对药物性肝损伤具有保护作用。因此,本研究旨在探讨橙皮苷、AA及其联合使用对抗结核药物(ATDs)诱导的Wistar白化大鼠肝毒性的影响。材料与方法:将大鼠分为6组,每组6只。异烟肼(H)、利福平(R)和吡嗪酰胺(Z)(27、54、135 mg/kg.b.wt)共给药50天,诱导肝毒性。给药前1 h分别给药橙皮苷200 mg/kg和AA 100 mg/kg p.o。在研究结束时,采集血液和肝脏组织,进行生化和组织病理学检查。评估生化指标、血清标记酶(天冬氨酸转氨酶、丙氨酸转氨酶、碱性磷酸酶、酸性磷酸酶、γ谷氨酰转移酶、乳酸脱氢酶)、脂质过氧化(LPO)、抗氧化酶(超氧化物歧化酶、过氧化氢酶、谷胱甘肽过氧化物酶、GR、维生素C、维生素E)、脂质谱、膜结合atp酶及肝脏组织学变化。结果:hrz诱导的肝毒性表现为尿素、肌酐、胆红素、肝脏标志物酶、脂质谱(P < 0.01)和LPO (P < 0.001)水平显著升高(P < 0.001),总蛋白、白蛋白(P < 0.05)、atp酶(P < 0.001)和抗氧化酶(P < 0.001)水平显著下降(P < 0.001)。HDN和AA治疗可显著降低HRZ引起的改变。然而,与单独治疗相比,HDN和AA联合治疗显著(P < 0.001)改善了ATDs引起的所有变化,肝脏结构改善至接近正常。结论:HDN与AA联合用药对hrz所致肝损伤具有协同治疗作用;因此,这种组合代表了一种治疗抗结核药物引起的肝损伤的潜在新策略。
本文章由计算机程序翻译,如有差异,请以英文原文为准。

Protective effect of hesperidin, ascorbic acid and their combination on oxidative stress, dyslipidemia, and histological changes in antitubercular drug-induced hepatotoxicity in rats.

Protective effect of hesperidin, ascorbic acid and their combination on oxidative stress, dyslipidemia, and histological changes in antitubercular drug-induced hepatotoxicity in rats.

Protective effect of hesperidin, ascorbic acid and their combination on oxidative stress, dyslipidemia, and histological changes in antitubercular drug-induced hepatotoxicity in rats.

Protective effect of hesperidin, ascorbic acid and their combination on oxidative stress, dyslipidemia, and histological changes in antitubercular drug-induced hepatotoxicity in rats.

Background: Hesperidin and ascorbic acid (AA) enhance cellular antioxidant defense systems by neutralizing the free radicals which formed during oxidative stress that could offer protective effects against drug-induced liver injury. Hence, this study aims to investigate the effect of hesperidin, AA and their combination against antitubercular drug (ATDs)- induced hepatotoxicity in Wistar albino rats.

Materials and methods: The rats were divided into six groups of 6 animals each. Isoniazid (H), Rifampicin (R), and pyrazinamide (Z) (27, 54, 135 mg/kg.b.wt) were co-administration for 50 days to induce hepatotoxicity. Hesperidin 200 mg/kg and AA 100 mg/kg p.o were administered 1 h before ATDs administration. At the end of the study, blood and liver tissues were collected and subjected to biochemical and histopathological examination. Biochemical parameters, serum marker enzymes (aspartate aminotransferase, alanine aminotransferase, alkaline phosphatase, acid phosphatase, Gamma glutamyltransferase, and lactate dehydrogenase), lipid peroxidation (LPO), antioxidant enzymes (superoxide dismutase, catalase, GSH, glutathione peroxidase, GR, Vitamin C, and Vitamin E), lipid profile, membrane bound ATPase, and histological changes of liver were assessed.

Results: Our results revealed that HRZ-induced hepatotoxicity was evident by significant (P < 0.001) elevation in level of urea, creatinine, bilirubin, liver marker enzymes, lipid profile (P < 0.01), and LPO (P < 0.001) along with significant decline in the level of total protein, albumin (P > 0.05), ATPase (P < 0.001), and antioxidant enzymes (P < 0.001). Treatment with HDN and AA significantly reduced the changes induced by HRZ. However, compared to individual treatment, combined treatment with HDN and AA significantly (P < 0.001) ameliorated all the changes induced by ATDs and improved the hepatic architecture to near normal.

Conclusion: The combination of HDN and AA demonstrated a synergistic therapeutic effect against HRZ-induced liver injury; hence, this combination represents a potential novel strategy for the management of anti-TB drug-induced liver damage.

求助全文
通过发布文献求助,成功后即可免费获取论文全文。 去求助
来源期刊
CiteScore
4.00
自引率
4.20%
发文量
53
审稿时长
4-8 weeks
期刊介绍: Indian Journal of Pharmacology accepts, in English, review articles, articles for educational forum, original research articles (full length and short communications), letter to editor, case reports and interesting fillers. Articles concerning all aspects of pharmacology will be considered. Articles of general interest (e.g. methods, therapeutics, medical education, interesting websites, new drug information and commentary on a recent topic) are also welcome.
×
引用
GB/T 7714-2015
复制
MLA
复制
APA
复制
导出至
BibTeX EndNote RefMan NoteFirst NoteExpress
×
提示
您的信息不完整,为了账户安全,请先补充。
现在去补充
×
提示
您因"违规操作"
具体请查看互助需知
我知道了
×
提示
确定
请完成安全验证×
copy
已复制链接
快去分享给好友吧!
我知道了
右上角分享
点击右上角分享
0
联系我们:info@booksci.cn Book学术提供免费学术资源搜索服务,方便国内外学者检索中英文文献。致力于提供最便捷和优质的服务体验。 Copyright © 2023 布克学术 All rights reserved.
京ICP备2023020795号-1
ghs 京公网安备 11010802042870号
Book学术文献互助
Book学术文献互助群
群 号:604180095
Book学术官方微信