腹腔镜腹股沟疝手术中隐睾并发症的偶然发现。

IF 0.5 Q4 SURGERY
Case Reports in Surgery Pub Date : 2025-03-10 eCollection Date: 2025-01-01 DOI:10.1155/cris/9852275
Keita Sato, Natsuki Hashiba, Koji Takahashi, Hirotaka Shibuya
{"title":"腹腔镜腹股沟疝手术中隐睾并发症的偶然发现。","authors":"Keita Sato, Natsuki Hashiba, Koji Takahashi, Hirotaka Shibuya","doi":"10.1155/cris/9852275","DOIUrl":null,"url":null,"abstract":"<p><p><b>Background:</b> Cryptorchidism is one of the most common congenital anomalies in newborn males, with the majority diagnosed in infancy and treated surgically before puberty. In some cases, cryptorchid testes are discovered incidentally during inguinal hernia repair in adults, requiring appropriate management at the time of surgery. <b>Case Presentation:</b> Case 1: A 58-year-old male underwent emergency laparoscopic surgery for a left incarcerated hernia. Intraoperatively, an M2 indirect inguinal hernia with omental strangulation of the spermatic cord was identified. Despite attempts to pull the testis down manually, it did not descend into the scrotum, leading to the diagnosis of cryptorchidism. The spermatic cord was excised and a 3D mesh was placed to cover the hernia defect. Case 2: A 33-year-old man with Noonan syndrome presented with localized pain and swelling in the right groin. Laparoscopy revealed an indirect L3 inguinal hernia and incidentally an intra-abdominal testis was found. The testis and spermatic vessels were found to terminate intra-abdominally, confirming the diagnosis of cryptorchidism. An orchiopexy was performed to secure the testis subcutaneously in the scrotum and the hernia was repaired with a 3D mesh. <b>Conclusion:</b> The safety of mesh-based hernia repair in cases of cryptorchidism with concomitant inguinal hernia has been previously reported. In cases where preoperative palpation is difficult due to pain, intraoperative traction of the testis may help differentiate between cryptorchidism and retractile testis. In addition, orchiopexy may serve as a temporary measure, with consideration of staged orchiectomy if necessary.</p>","PeriodicalId":9600,"journal":{"name":"Case Reports in Surgery","volume":"2025 ","pages":"9852275"},"PeriodicalIF":0.5000,"publicationDate":"2025-03-10","publicationTypes":"Journal Article","fieldsOfStudy":null,"isOpenAccess":false,"openAccessPdf":"https://www.ncbi.nlm.nih.gov/pmc/articles/PMC11991829/pdf/","citationCount":"0","resultStr":"{\"title\":\"Incidental Discovery of Complications of Cryptorchidism During Laparoscopic Inguinal Hernia Surgery.\",\"authors\":\"Keita Sato, Natsuki Hashiba, Koji Takahashi, Hirotaka Shibuya\",\"doi\":\"10.1155/cris/9852275\",\"DOIUrl\":null,\"url\":null,\"abstract\":\"<p><p><b>Background:</b> Cryptorchidism is one of the most common congenital anomalies in newborn males, with the majority diagnosed in infancy and treated surgically before puberty. In some cases, cryptorchid testes are discovered incidentally during inguinal hernia repair in adults, requiring appropriate management at the time of surgery. <b>Case Presentation:</b> Case 1: A 58-year-old male underwent emergency laparoscopic surgery for a left incarcerated hernia. Intraoperatively, an M2 indirect inguinal hernia with omental strangulation of the spermatic cord was identified. Despite attempts to pull the testis down manually, it did not descend into the scrotum, leading to the diagnosis of cryptorchidism. The spermatic cord was excised and a 3D mesh was placed to cover the hernia defect. Case 2: A 33-year-old man with Noonan syndrome presented with localized pain and swelling in the right groin. Laparoscopy revealed an indirect L3 inguinal hernia and incidentally an intra-abdominal testis was found. The testis and spermatic vessels were found to terminate intra-abdominally, confirming the diagnosis of cryptorchidism. An orchiopexy was performed to secure the testis subcutaneously in the scrotum and the hernia was repaired with a 3D mesh. <b>Conclusion:</b> The safety of mesh-based hernia repair in cases of cryptorchidism with concomitant inguinal hernia has been previously reported. In cases where preoperative palpation is difficult due to pain, intraoperative traction of the testis may help differentiate between cryptorchidism and retractile testis. In addition, orchiopexy may serve as a temporary measure, with consideration of staged orchiectomy if necessary.</p>\",\"PeriodicalId\":9600,\"journal\":{\"name\":\"Case Reports in Surgery\",\"volume\":\"2025 \",\"pages\":\"9852275\"},\"PeriodicalIF\":0.5000,\"publicationDate\":\"2025-03-10\",\"publicationTypes\":\"Journal Article\",\"fieldsOfStudy\":null,\"isOpenAccess\":false,\"openAccessPdf\":\"https://www.ncbi.nlm.nih.gov/pmc/articles/PMC11991829/pdf/\",\"citationCount\":\"0\",\"resultStr\":null,\"platform\":\"Semanticscholar\",\"paperid\":null,\"PeriodicalName\":\"Case Reports in Surgery\",\"FirstCategoryId\":\"1085\",\"ListUrlMain\":\"https://doi.org/10.1155/cris/9852275\",\"RegionNum\":0,\"RegionCategory\":null,\"ArticlePicture\":[],\"TitleCN\":null,\"AbstractTextCN\":null,\"PMCID\":null,\"EPubDate\":\"2025/1/1 0:00:00\",\"PubModel\":\"eCollection\",\"JCR\":\"Q4\",\"JCRName\":\"SURGERY\",\"Score\":null,\"Total\":0}","platform":"Semanticscholar","paperid":null,"PeriodicalName":"Case Reports in Surgery","FirstCategoryId":"1085","ListUrlMain":"https://doi.org/10.1155/cris/9852275","RegionNum":0,"RegionCategory":null,"ArticlePicture":[],"TitleCN":null,"AbstractTextCN":null,"PMCID":null,"EPubDate":"2025/1/1 0:00:00","PubModel":"eCollection","JCR":"Q4","JCRName":"SURGERY","Score":null,"Total":0}
引用次数: 0

摘要

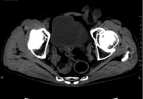
背景:隐睾是新生儿男性最常见的先天性异常之一,大多数在婴儿期诊断并在青春期前手术治疗。在某些情况下,隐睾是在成人腹股沟疝修补时偶然发现的,需要在手术时进行适当的处理。病例介绍:病例1:一名58岁男性因左侧嵌顿疝接受紧急腹腔镜手术。术中发现一例M2型腹股沟斜疝伴精索网膜绞窄。尽管试图用手把睾丸拉下来,但它没有下降到阴囊内,这导致了隐睾症的诊断。切除精索,放置3D网片覆盖疝缺损。病例2:一名33岁的努南综合征患者,表现为右腹股沟局部疼痛和肿胀。腹腔镜检查发现三层腹股沟斜疝,并发现腹腔内睾丸。发现睾丸和精管在腹腔内终止,确认隐睾的诊断。行睾丸切开术,将睾丸皮下固定于阴囊内,并用3D补片修复疝。结论:隐睾合并腹股沟疝行补片修补术的安全性已有文献报道。在术前因疼痛难以触诊的情况下,术中牵拉睾丸有助于区分隐睾症和收缩性睾丸。此外,睾丸切除术可作为一种临时措施,必要时可考虑分期切除。
本文章由计算机程序翻译,如有差异,请以英文原文为准。

Incidental Discovery of Complications of Cryptorchidism During Laparoscopic Inguinal Hernia Surgery.

Incidental Discovery of Complications of Cryptorchidism During Laparoscopic Inguinal Hernia Surgery.

Incidental Discovery of Complications of Cryptorchidism During Laparoscopic Inguinal Hernia Surgery.

Incidental Discovery of Complications of Cryptorchidism During Laparoscopic Inguinal Hernia Surgery.

Background: Cryptorchidism is one of the most common congenital anomalies in newborn males, with the majority diagnosed in infancy and treated surgically before puberty. In some cases, cryptorchid testes are discovered incidentally during inguinal hernia repair in adults, requiring appropriate management at the time of surgery. Case Presentation: Case 1: A 58-year-old male underwent emergency laparoscopic surgery for a left incarcerated hernia. Intraoperatively, an M2 indirect inguinal hernia with omental strangulation of the spermatic cord was identified. Despite attempts to pull the testis down manually, it did not descend into the scrotum, leading to the diagnosis of cryptorchidism. The spermatic cord was excised and a 3D mesh was placed to cover the hernia defect. Case 2: A 33-year-old man with Noonan syndrome presented with localized pain and swelling in the right groin. Laparoscopy revealed an indirect L3 inguinal hernia and incidentally an intra-abdominal testis was found. The testis and spermatic vessels were found to terminate intra-abdominally, confirming the diagnosis of cryptorchidism. An orchiopexy was performed to secure the testis subcutaneously in the scrotum and the hernia was repaired with a 3D mesh. Conclusion: The safety of mesh-based hernia repair in cases of cryptorchidism with concomitant inguinal hernia has been previously reported. In cases where preoperative palpation is difficult due to pain, intraoperative traction of the testis may help differentiate between cryptorchidism and retractile testis. In addition, orchiopexy may serve as a temporary measure, with consideration of staged orchiectomy if necessary.

求助全文
通过发布文献求助,成功后即可免费获取论文全文。 去求助
来源期刊
自引率
0.00%
发文量
60
审稿时长
13 weeks
×
引用
GB/T 7714-2015
复制
MLA
复制
APA
复制
导出至
BibTeX EndNote RefMan NoteFirst NoteExpress
×
提示
您的信息不完整,为了账户安全,请先补充。
现在去补充
×
提示
您因"违规操作"
具体请查看互助需知
我知道了
×
提示
确定
请完成安全验证×
copy
已复制链接
快去分享给好友吧!
我知道了
右上角分享
点击右上角分享
0
联系我们:info@booksci.cn Book学术提供免费学术资源搜索服务,方便国内外学者检索中英文文献。致力于提供最便捷和优质的服务体验。 Copyright © 2023 布克学术 All rights reserved.
京ICP备2023020795号-1
ghs 京公网安备 11010802042870号
Book学术文献互助
Book学术文献互助群
群 号:604180095
Book学术官方微信