光学相干断层扫描血管造影显示视网膜中央凹保留分支动脉闭塞:2例报告。

IF 0.6 Q4 OPHTHALMOLOGY
Case Reports in Ophthalmology Pub Date : 2025-03-12 eCollection Date: 2025-01-01 DOI:10.1159/000543742
Benjamin R Lin, Philip J Rosenfeld, Harry W Flynn
{"title":"光学相干断层扫描血管造影显示视网膜中央凹保留分支动脉闭塞:2例报告。","authors":"Benjamin R Lin, Philip J Rosenfeld, Harry W Flynn","doi":"10.1159/000543742","DOIUrl":null,"url":null,"abstract":"<p><strong>Introduction: </strong>Central retinal artery occlusions and branch retinal artery occlusions (BRAOs) are ophthalmic emergencies that require workups for systemic risk factors. In the acute setting, BRAOs present with retinal whitening in a sectoral pattern on exam as well as hyperreflectivity and thickening of the inner retinal layers on optical coherence tomography (OCT). In the subacute to chronic phase, the retinal whitening dissipates, which may confound the diagnosis of remote arterial occlusions if there is no clearly visible plaque.</p><p><strong>Case presentations: </strong>A 66-year-old male presented with 20/25 visual acuity (VA) and an inferior visual field defect in the right eye, and a 69-year-old male presented with 20/60 VA and a superior visual field defect in the left eye. Exams of both patients showed ischemic retinal whitening with visible Hollenhorst plaques in the affected eyes. OCT demonstrated inner retinal edema. At follow-up, wide-field OCT angiography (OCTA) showed persistent capillary dropout following the same initial vascular distribution but sparing the fovea and papillomacular bundle. VAs at the most recent follow-up visits were 20/30 and 20/20, respectively.</p><p><strong>Conclusion: </strong>These cases demonstrate the utility of wide-field OCTA in characterizing areas of capillary nonperfusion that can persist for years after the initial ischemic event. Additionally, patients with macula-involving BRAOs can have good VA outcomes if the fovea is spared.</p>","PeriodicalId":9635,"journal":{"name":"Case Reports in Ophthalmology","volume":"16 1","pages":"274-280"},"PeriodicalIF":0.6000,"publicationDate":"2025-03-12","publicationTypes":"Journal Article","fieldsOfStudy":null,"isOpenAccess":false,"openAccessPdf":"https://www.ncbi.nlm.nih.gov/pmc/articles/PMC12005688/pdf/","citationCount":"0","resultStr":"{\"title\":\"Fovea Sparing Branch Retinal Artery Occlusions Imaged with Optical Coherence Tomography Angiography: Two Case Reports.\",\"authors\":\"Benjamin R Lin, Philip J Rosenfeld, Harry W Flynn\",\"doi\":\"10.1159/000543742\",\"DOIUrl\":null,\"url\":null,\"abstract\":\"<p><strong>Introduction: </strong>Central retinal artery occlusions and branch retinal artery occlusions (BRAOs) are ophthalmic emergencies that require workups for systemic risk factors. In the acute setting, BRAOs present with retinal whitening in a sectoral pattern on exam as well as hyperreflectivity and thickening of the inner retinal layers on optical coherence tomography (OCT). In the subacute to chronic phase, the retinal whitening dissipates, which may confound the diagnosis of remote arterial occlusions if there is no clearly visible plaque.</p><p><strong>Case presentations: </strong>A 66-year-old male presented with 20/25 visual acuity (VA) and an inferior visual field defect in the right eye, and a 69-year-old male presented with 20/60 VA and a superior visual field defect in the left eye. Exams of both patients showed ischemic retinal whitening with visible Hollenhorst plaques in the affected eyes. OCT demonstrated inner retinal edema. At follow-up, wide-field OCT angiography (OCTA) showed persistent capillary dropout following the same initial vascular distribution but sparing the fovea and papillomacular bundle. VAs at the most recent follow-up visits were 20/30 and 20/20, respectively.</p><p><strong>Conclusion: </strong>These cases demonstrate the utility of wide-field OCTA in characterizing areas of capillary nonperfusion that can persist for years after the initial ischemic event. Additionally, patients with macula-involving BRAOs can have good VA outcomes if the fovea is spared.</p>\",\"PeriodicalId\":9635,\"journal\":{\"name\":\"Case Reports in Ophthalmology\",\"volume\":\"16 1\",\"pages\":\"274-280\"},\"PeriodicalIF\":0.6000,\"publicationDate\":\"2025-03-12\",\"publicationTypes\":\"Journal Article\",\"fieldsOfStudy\":null,\"isOpenAccess\":false,\"openAccessPdf\":\"https://www.ncbi.nlm.nih.gov/pmc/articles/PMC12005688/pdf/\",\"citationCount\":\"0\",\"resultStr\":null,\"platform\":\"Semanticscholar\",\"paperid\":null,\"PeriodicalName\":\"Case Reports in Ophthalmology\",\"FirstCategoryId\":\"1085\",\"ListUrlMain\":\"https://doi.org/10.1159/000543742\",\"RegionNum\":0,\"RegionCategory\":null,\"ArticlePicture\":[],\"TitleCN\":null,\"AbstractTextCN\":null,\"PMCID\":null,\"EPubDate\":\"2025/1/1 0:00:00\",\"PubModel\":\"eCollection\",\"JCR\":\"Q4\",\"JCRName\":\"OPHTHALMOLOGY\",\"Score\":null,\"Total\":0}","platform":"Semanticscholar","paperid":null,"PeriodicalName":"Case Reports in Ophthalmology","FirstCategoryId":"1085","ListUrlMain":"https://doi.org/10.1159/000543742","RegionNum":0,"RegionCategory":null,"ArticlePicture":[],"TitleCN":null,"AbstractTextCN":null,"PMCID":null,"EPubDate":"2025/1/1 0:00:00","PubModel":"eCollection","JCR":"Q4","JCRName":"OPHTHALMOLOGY","Score":null,"Total":0}
引用次数: 0

摘要

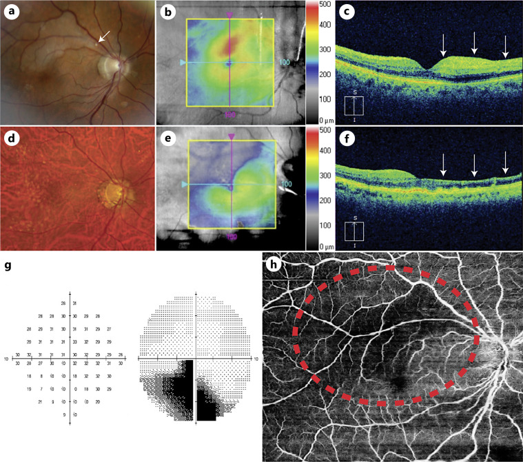
视网膜中央动脉闭塞和视网膜分支动脉闭塞(BRAOs)是眼科急症,需要检查系统性危险因素。在急性情况下,BRAOs在检查中表现为视网膜局部变白,光学相干断层扫描(OCT)显示为视网膜内层的高反射率和增厚。在亚急性到慢性期,视网膜白消失,如果没有清晰可见的斑块,可能会混淆远端动脉闭塞的诊断。病例介绍:66岁男性,视力20/25,右眼下视野缺损;69岁男性,视力20/60,左眼上视野缺损。两名患者的检查均显示缺血性视网膜变白,并在受影响的眼睛中可见Hollenhorst斑块。OCT显示视网膜内水肿。在随访中,宽视场OCT血管造影(OCTA)显示持续的毛细血管脱落,遵循相同的初始血管分布,但保留了中央窝和乳头状束。最近一次随访时的VAs分别为20/30和20/20。结论:这些病例证明了宽视场OCTA在描述初始缺血事件后持续数年的毛细血管非灌注区域方面的实用性。此外,如果保留中央凹,累及黄斑的BRAOs患者可以获得良好的VA结果。
本文章由计算机程序翻译,如有差异,请以英文原文为准。

Fovea Sparing Branch Retinal Artery Occlusions Imaged with Optical Coherence Tomography Angiography: Two Case Reports.

Fovea Sparing Branch Retinal Artery Occlusions Imaged with Optical Coherence Tomography Angiography: Two Case Reports.

Fovea Sparing Branch Retinal Artery Occlusions Imaged with Optical Coherence Tomography Angiography: Two Case Reports.

Introduction: Central retinal artery occlusions and branch retinal artery occlusions (BRAOs) are ophthalmic emergencies that require workups for systemic risk factors. In the acute setting, BRAOs present with retinal whitening in a sectoral pattern on exam as well as hyperreflectivity and thickening of the inner retinal layers on optical coherence tomography (OCT). In the subacute to chronic phase, the retinal whitening dissipates, which may confound the diagnosis of remote arterial occlusions if there is no clearly visible plaque.

Case presentations: A 66-year-old male presented with 20/25 visual acuity (VA) and an inferior visual field defect in the right eye, and a 69-year-old male presented with 20/60 VA and a superior visual field defect in the left eye. Exams of both patients showed ischemic retinal whitening with visible Hollenhorst plaques in the affected eyes. OCT demonstrated inner retinal edema. At follow-up, wide-field OCT angiography (OCTA) showed persistent capillary dropout following the same initial vascular distribution but sparing the fovea and papillomacular bundle. VAs at the most recent follow-up visits were 20/30 and 20/20, respectively.

Conclusion: These cases demonstrate the utility of wide-field OCTA in characterizing areas of capillary nonperfusion that can persist for years after the initial ischemic event. Additionally, patients with macula-involving BRAOs can have good VA outcomes if the fovea is spared.

求助全文
通过发布文献求助,成功后即可免费获取论文全文。 去求助
来源期刊
CiteScore
0.90
自引率
0.00%
发文量
129
审稿时长
12 weeks
期刊介绍: This peer-reviewed online-only journal publishes original case reports covering the entire spectrum of ophthalmology, including prevention, diagnosis, treatment, toxicities of therapy, supportive care, quality-of-life, and survivorship issues. The submission of negative results is strongly encouraged. The journal will also accept case reports dealing with the use of novel technologies, both in the arena of diagnosis and treatment. Supplementary material is welcomed. The intent of the journal is to provide clinicians and researchers with a tool to disseminate their personal experiences to a wider public as well as to review interesting cases encountered by colleagues all over the world. Universally used terms can be searched across the entire growing collection of case reports, further facilitating the retrieval of specific information. Following the open access principle, the entire contents can be retrieved at no charge, guaranteeing easy access to this valuable source of anecdotal information at all times.
×
引用
GB/T 7714-2015
复制
MLA
复制
APA
复制
导出至
BibTeX EndNote RefMan NoteFirst NoteExpress
×
提示
您的信息不完整,为了账户安全,请先补充。
现在去补充
×
提示
您因"违规操作"
具体请查看互助需知
我知道了
×
提示
确定
请完成安全验证×
copy
已复制链接
快去分享给好友吧!
我知道了
右上角分享
点击右上角分享
0
联系我们:info@booksci.cn Book学术提供免费学术资源搜索服务,方便国内外学者检索中英文文献。致力于提供最便捷和优质的服务体验。 Copyright © 2023 布克学术 All rights reserved.
京ICP备2023020795号-1
ghs 京公网安备 11010802042870号
Book学术文献互助
Book学术文献互助群
群 号:604180095
Book学术官方微信