55岁Susac综合征的不典型表现:从无显著卒中检查到“雪球卒中”的快速诊断和成功的免疫抑制治疗。

IF 0.9 Q4 CLINICAL NEUROLOGY
Case Reports in Neurological Medicine Pub Date : 2025-04-27 eCollection Date: 2025-01-01 DOI:10.1155/crnm/3178952
Yasaman Pirahanchi
{"title":"55岁Susac综合征的不典型表现:从无显著卒中检查到“雪球卒中”的快速诊断和成功的免疫抑制治疗。","authors":"Yasaman Pirahanchi","doi":"10.1155/crnm/3178952","DOIUrl":null,"url":null,"abstract":"<p><p>We report the case of a 55-year-old right-handed female with a medical history of hypothyroidism and gastric bypass surgery. The patient initially presented with cognitive impairment, dizziness, and unsteady gait. Despite an unremarkable stroke workup, her symptoms progressed rapidly within 2 days, leading to subsequent admissions and a complex diagnostic journey revealing Susac syndrome-a rare autoimmune disorder affecting the brain's microvasculature, retina, and cochlea. The patient's treatment involved aggressive immunosuppression with corticosteroids, IVIG, mycophenolate, and cyclophosphamide. The patient responded well and had progressive improvement, with discharge to home. This case highlights the diagnostic challenges and management strategies for Susac syndrome.</p>","PeriodicalId":9615,"journal":{"name":"Case Reports in Neurological Medicine","volume":"2025 ","pages":"3178952"},"PeriodicalIF":0.9000,"publicationDate":"2025-04-27","publicationTypes":"Journal Article","fieldsOfStudy":null,"isOpenAccess":false,"openAccessPdf":"https://www.ncbi.nlm.nih.gov/pmc/articles/PMC12050147/pdf/","citationCount":"0","resultStr":"{\"title\":\"Atypical Presentation of Susac Syndrome in 55-Year-Old: From Unremarkable Stroke Workup to Rapid Diagnosis of \\\"Snowball Strokes\\\" and Successful Immunosuppressive Treatment.\",\"authors\":\"Yasaman Pirahanchi\",\"doi\":\"10.1155/crnm/3178952\",\"DOIUrl\":null,\"url\":null,\"abstract\":\"<p><p>We report the case of a 55-year-old right-handed female with a medical history of hypothyroidism and gastric bypass surgery. The patient initially presented with cognitive impairment, dizziness, and unsteady gait. Despite an unremarkable stroke workup, her symptoms progressed rapidly within 2 days, leading to subsequent admissions and a complex diagnostic journey revealing Susac syndrome-a rare autoimmune disorder affecting the brain's microvasculature, retina, and cochlea. The patient's treatment involved aggressive immunosuppression with corticosteroids, IVIG, mycophenolate, and cyclophosphamide. The patient responded well and had progressive improvement, with discharge to home. This case highlights the diagnostic challenges and management strategies for Susac syndrome.</p>\",\"PeriodicalId\":9615,\"journal\":{\"name\":\"Case Reports in Neurological Medicine\",\"volume\":\"2025 \",\"pages\":\"3178952\"},\"PeriodicalIF\":0.9000,\"publicationDate\":\"2025-04-27\",\"publicationTypes\":\"Journal Article\",\"fieldsOfStudy\":null,\"isOpenAccess\":false,\"openAccessPdf\":\"https://www.ncbi.nlm.nih.gov/pmc/articles/PMC12050147/pdf/\",\"citationCount\":\"0\",\"resultStr\":null,\"platform\":\"Semanticscholar\",\"paperid\":null,\"PeriodicalName\":\"Case Reports in Neurological Medicine\",\"FirstCategoryId\":\"1085\",\"ListUrlMain\":\"https://doi.org/10.1155/crnm/3178952\",\"RegionNum\":0,\"RegionCategory\":null,\"ArticlePicture\":[],\"TitleCN\":null,\"AbstractTextCN\":null,\"PMCID\":null,\"EPubDate\":\"2025/1/1 0:00:00\",\"PubModel\":\"eCollection\",\"JCR\":\"Q4\",\"JCRName\":\"CLINICAL NEUROLOGY\",\"Score\":null,\"Total\":0}","platform":"Semanticscholar","paperid":null,"PeriodicalName":"Case Reports in Neurological Medicine","FirstCategoryId":"1085","ListUrlMain":"https://doi.org/10.1155/crnm/3178952","RegionNum":0,"RegionCategory":null,"ArticlePicture":[],"TitleCN":null,"AbstractTextCN":null,"PMCID":null,"EPubDate":"2025/1/1 0:00:00","PubModel":"eCollection","JCR":"Q4","JCRName":"CLINICAL NEUROLOGY","Score":null,"Total":0}
引用次数: 0

摘要

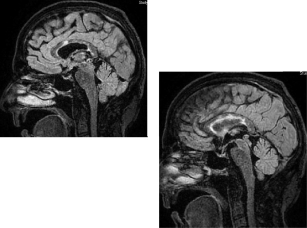
我们报告一个55岁的右撇子女性的病史甲状腺功能减退和胃旁路手术。患者最初表现为认知障碍、头晕和步态不稳。尽管进行了普通的中风检查,但她的症状在2天内迅速恶化,导致随后的住院和复杂的诊断过程,发现了Susac综合征——一种罕见的影响大脑微血管、视网膜和耳蜗的自身免疫性疾病。患者的治疗包括皮质类固醇、IVIG、霉酚酸盐和环磷酰胺的积极免疫抑制。患者反应良好,病情逐渐好转,出院回家。本病例强调了Susac综合征的诊断挑战和管理策略。
本文章由计算机程序翻译,如有差异,请以英文原文为准。

Atypical Presentation of Susac Syndrome in 55-Year-Old: From Unremarkable Stroke Workup to Rapid Diagnosis of "Snowball Strokes" and Successful Immunosuppressive Treatment.

Atypical Presentation of Susac Syndrome in 55-Year-Old: From Unremarkable Stroke Workup to Rapid Diagnosis of "Snowball Strokes" and Successful Immunosuppressive Treatment.

We report the case of a 55-year-old right-handed female with a medical history of hypothyroidism and gastric bypass surgery. The patient initially presented with cognitive impairment, dizziness, and unsteady gait. Despite an unremarkable stroke workup, her symptoms progressed rapidly within 2 days, leading to subsequent admissions and a complex diagnostic journey revealing Susac syndrome-a rare autoimmune disorder affecting the brain's microvasculature, retina, and cochlea. The patient's treatment involved aggressive immunosuppression with corticosteroids, IVIG, mycophenolate, and cyclophosphamide. The patient responded well and had progressive improvement, with discharge to home. This case highlights the diagnostic challenges and management strategies for Susac syndrome.

求助全文
通过发布文献求助,成功后即可免费获取论文全文。 去求助
来源期刊
自引率
0.00%
发文量
26
审稿时长
11 weeks
×
引用
GB/T 7714-2015
复制
MLA
复制
APA
复制
导出至
BibTeX EndNote RefMan NoteFirst NoteExpress
×
提示
您的信息不完整,为了账户安全,请先补充。
现在去补充
×
提示
您因"违规操作"
具体请查看互助需知
我知道了
×
提示
确定
请完成安全验证×
copy
已复制链接
快去分享给好友吧!
我知道了
右上角分享
点击右上角分享
0
联系我们:info@booksci.cn Book学术提供免费学术资源搜索服务,方便国内外学者检索中英文文献。致力于提供最便捷和优质的服务体验。 Copyright © 2023 布克学术 All rights reserved.
京ICP备2023020795号-1
ghs 京公网安备 11010802042870号
Book学术文献互助
Book学术文献互助群
群 号:604180095
Book学术官方微信