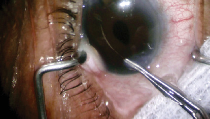
无并发症白内障手术后睫毛刺入虹膜。

IF 0.4 Q4 OPHTHALMOLOGY
Case Reports in Ophthalmological Medicine Pub Date : 2025-04-03 eCollection Date: 2025-01-01 DOI:10.1155/crop/6657874
Jenny Y Gan, Michael M Lin
{"title":"无并发症白内障手术后睫毛刺入虹膜。","authors":"Jenny Y Gan, Michael M Lin","doi":"10.1155/crop/6657874","DOIUrl":null,"url":null,"abstract":"<p><p>This report highlights the first known report of an intraocular eyelash embedded in the inferior midperipheral iris following a routine cataract surgery. A 74-year-old female presented 5 months postoperatively from a full-thickness macular hole repair with a 3+ nuclear sclerotic cataract. She underwent an uneventful left eye cataract extraction with insertion of posterior chamber intraocular lens (PCIOL). Review of surgical video revealed well-draped eyelashes and no introduction of an eyelash into the anterior chamber at any point during surgery. The first postoperative visit was notable for no foreign bodies and centered PCIOL. Then, 1 week postoperatively, the anterior segment examination revealed a linear foreign body embedded in the inferior midperipheral iris, without corneal endothelium touch. The foreign body was removed in the operating room and revealed to be an eyelash by pathology. The patient's visual acuity during her first two postoperative visits was 20/30 and improved to 20/20 with refraction at her 1-month postoperative visit. There was minimal postoperative inflammation and no evidence of endophthalmitis. To prevent introduction of an intraocular eyelash associated with cataract surgery, appropriate measures intraoperatively and postoperatively should be taken, including meticulous draping of the eyelashes and lids, diligent corneal wound hydration, and clear patient education.</p>","PeriodicalId":9603,"journal":{"name":"Case Reports in Ophthalmological Medicine","volume":"2025 ","pages":"6657874"},"PeriodicalIF":0.4000,"publicationDate":"2025-04-03","publicationTypes":"Journal Article","fieldsOfStudy":null,"isOpenAccess":false,"openAccessPdf":"https://www.ncbi.nlm.nih.gov/pmc/articles/PMC11991761/pdf/","citationCount":"0","resultStr":"{\"title\":\"Eyelash Impalement of Iris After Uncomplicated Cataract Surgery.\",\"authors\":\"Jenny Y Gan, Michael M Lin\",\"doi\":\"10.1155/crop/6657874\",\"DOIUrl\":null,\"url\":null,\"abstract\":\"<p><p>This report highlights the first known report of an intraocular eyelash embedded in the inferior midperipheral iris following a routine cataract surgery. A 74-year-old female presented 5 months postoperatively from a full-thickness macular hole repair with a 3+ nuclear sclerotic cataract. She underwent an uneventful left eye cataract extraction with insertion of posterior chamber intraocular lens (PCIOL). Review of surgical video revealed well-draped eyelashes and no introduction of an eyelash into the anterior chamber at any point during surgery. The first postoperative visit was notable for no foreign bodies and centered PCIOL. Then, 1 week postoperatively, the anterior segment examination revealed a linear foreign body embedded in the inferior midperipheral iris, without corneal endothelium touch. The foreign body was removed in the operating room and revealed to be an eyelash by pathology. The patient's visual acuity during her first two postoperative visits was 20/30 and improved to 20/20 with refraction at her 1-month postoperative visit. There was minimal postoperative inflammation and no evidence of endophthalmitis. To prevent introduction of an intraocular eyelash associated with cataract surgery, appropriate measures intraoperatively and postoperatively should be taken, including meticulous draping of the eyelashes and lids, diligent corneal wound hydration, and clear patient education.</p>\",\"PeriodicalId\":9603,\"journal\":{\"name\":\"Case Reports in Ophthalmological Medicine\",\"volume\":\"2025 \",\"pages\":\"6657874\"},\"PeriodicalIF\":0.4000,\"publicationDate\":\"2025-04-03\",\"publicationTypes\":\"Journal Article\",\"fieldsOfStudy\":null,\"isOpenAccess\":false,\"openAccessPdf\":\"https://www.ncbi.nlm.nih.gov/pmc/articles/PMC11991761/pdf/\",\"citationCount\":\"0\",\"resultStr\":null,\"platform\":\"Semanticscholar\",\"paperid\":null,\"PeriodicalName\":\"Case Reports in Ophthalmological Medicine\",\"FirstCategoryId\":\"1085\",\"ListUrlMain\":\"https://doi.org/10.1155/crop/6657874\",\"RegionNum\":0,\"RegionCategory\":null,\"ArticlePicture\":[],\"TitleCN\":null,\"AbstractTextCN\":null,\"PMCID\":null,\"EPubDate\":\"2025/1/1 0:00:00\",\"PubModel\":\"eCollection\",\"JCR\":\"Q4\",\"JCRName\":\"OPHTHALMOLOGY\",\"Score\":null,\"Total\":0}","platform":"Semanticscholar","paperid":null,"PeriodicalName":"Case Reports in Ophthalmological Medicine","FirstCategoryId":"1085","ListUrlMain":"https://doi.org/10.1155/crop/6657874","RegionNum":0,"RegionCategory":null,"ArticlePicture":[],"TitleCN":null,"AbstractTextCN":null,"PMCID":null,"EPubDate":"2025/1/1 0:00:00","PubModel":"eCollection","JCR":"Q4","JCRName":"OPHTHALMOLOGY","Score":null,"Total":0}
引用次数: 0

摘要

本文报道了首例常规白内障手术后眼内睫毛嵌入下中周虹膜的病例。一位74岁的女性患者在全层黄斑裂孔修复术后5个月出现3+核硬化性白内障。她接受了一个平稳的左眼白内障摘除和后房人工晶状体(PCIOL)植入术。回顾手术视频显示睫毛垂得很好,在手术过程中任何时候都没有将睫毛引入前房。术后第一次随访无异物,PCIOL居中。术后1周,前段检查发现一线状异物嵌于虹膜下中外周,未见角膜内皮。在手术室取出异物,病理检查发现是睫毛。患者术后前两次就诊时视力为20/30,术后1个月就诊时视力改善至20/20,伴有屈光。术后轻度炎症,无眼内炎。为了防止白内障手术中引入眼内睫毛,术中和术后应采取适当的措施,包括细致地覆盖睫毛和眼睑,努力角膜伤口补水,以及明确的患者教育。
本文章由计算机程序翻译,如有差异,请以英文原文为准。

Eyelash Impalement of Iris After Uncomplicated Cataract Surgery.

Eyelash Impalement of Iris After Uncomplicated Cataract Surgery.

This report highlights the first known report of an intraocular eyelash embedded in the inferior midperipheral iris following a routine cataract surgery. A 74-year-old female presented 5 months postoperatively from a full-thickness macular hole repair with a 3+ nuclear sclerotic cataract. She underwent an uneventful left eye cataract extraction with insertion of posterior chamber intraocular lens (PCIOL). Review of surgical video revealed well-draped eyelashes and no introduction of an eyelash into the anterior chamber at any point during surgery. The first postoperative visit was notable for no foreign bodies and centered PCIOL. Then, 1 week postoperatively, the anterior segment examination revealed a linear foreign body embedded in the inferior midperipheral iris, without corneal endothelium touch. The foreign body was removed in the operating room and revealed to be an eyelash by pathology. The patient's visual acuity during her first two postoperative visits was 20/30 and improved to 20/20 with refraction at her 1-month postoperative visit. There was minimal postoperative inflammation and no evidence of endophthalmitis. To prevent introduction of an intraocular eyelash associated with cataract surgery, appropriate measures intraoperatively and postoperatively should be taken, including meticulous draping of the eyelashes and lids, diligent corneal wound hydration, and clear patient education.

求助全文
通过发布文献求助,成功后即可免费获取论文全文。 去求助
来源期刊
自引率
0.00%
发文量
38
审稿时长
14 weeks
×
引用
GB/T 7714-2015
复制
MLA
复制
APA
复制
导出至
BibTeX EndNote RefMan NoteFirst NoteExpress
×
提示
您的信息不完整,为了账户安全,请先补充。
现在去补充
×
提示
您因"违规操作"
具体请查看互助需知
我知道了
×
提示
确定
请完成安全验证×
copy
已复制链接
快去分享给好友吧!
我知道了
右上角分享
点击右上角分享
0
联系我们:info@booksci.cn Book学术提供免费学术资源搜索服务,方便国内外学者检索中英文文献。致力于提供最便捷和优质的服务体验。 Copyright © 2023 布克学术 All rights reserved.
京ICP备2023020795号-1
ghs 京公网安备 11010802042870号
Book学术文献互助
Book学术文献互助群
群 号:604180095
Book学术官方微信