颈内动脉异常引起的吞咽困难1例。

IF 2.2 3区 医学 Q2 OTORHINOLARYNGOLOGY
Marie Bjerg Larsen, Pádraig O'Leary
{"title":"颈内动脉异常引起的吞咽困难1例。","authors":"Marie Bjerg Larsen, Pádraig O'Leary","doi":"10.1007/s00405-025-09417-6","DOIUrl":null,"url":null,"abstract":"<p><strong>Purpose: </strong>We present a case of dysphagia caused by an aberrant internal carotid artery (ICA). By reporting this rare occurrence, we hope to highlight the anomaly as a differential in cases of persistent, progressive dysphagia.</p><p><strong>Results: </strong>Even though the symptomatic mass effect of the ICA warranted the option of surgical intervention, due to a patient-centered approach with an emphasis on personal preference, the patient was instead referred for specialized ergotherapy.</p><p><strong>Conclusion: </strong>This case characterizes a rare yet significant cause of dysphagia, in addition, it illustrates the necessity of a multidisciplinary approach when dealing with complex cases of dysphagia.</p>","PeriodicalId":11952,"journal":{"name":"European Archives of Oto-Rhino-Laryngology","volume":" ","pages":"4353-4358"},"PeriodicalIF":2.2000,"publicationDate":"2025-08-01","publicationTypes":"Journal Article","fieldsOfStudy":null,"isOpenAccess":false,"openAccessPdf":"https://www.ncbi.nlm.nih.gov/pmc/articles/PMC12399713/pdf/","citationCount":"0","resultStr":"{\"title\":\"Dysphagia from an aberrant internal carotid artery: a case report.\",\"authors\":\"Marie Bjerg Larsen, Pádraig O'Leary\",\"doi\":\"10.1007/s00405-025-09417-6\",\"DOIUrl\":null,\"url\":null,\"abstract\":\"<p><strong>Purpose: </strong>We present a case of dysphagia caused by an aberrant internal carotid artery (ICA). By reporting this rare occurrence, we hope to highlight the anomaly as a differential in cases of persistent, progressive dysphagia.</p><p><strong>Results: </strong>Even though the symptomatic mass effect of the ICA warranted the option of surgical intervention, due to a patient-centered approach with an emphasis on personal preference, the patient was instead referred for specialized ergotherapy.</p><p><strong>Conclusion: </strong>This case characterizes a rare yet significant cause of dysphagia, in addition, it illustrates the necessity of a multidisciplinary approach when dealing with complex cases of dysphagia.</p>\",\"PeriodicalId\":11952,\"journal\":{\"name\":\"European Archives of Oto-Rhino-Laryngology\",\"volume\":\" \",\"pages\":\"4353-4358\"},\"PeriodicalIF\":2.2000,\"publicationDate\":\"2025-08-01\",\"publicationTypes\":\"Journal Article\",\"fieldsOfStudy\":null,\"isOpenAccess\":false,\"openAccessPdf\":\"https://www.ncbi.nlm.nih.gov/pmc/articles/PMC12399713/pdf/\",\"citationCount\":\"0\",\"resultStr\":null,\"platform\":\"Semanticscholar\",\"paperid\":null,\"PeriodicalName\":\"European Archives of Oto-Rhino-Laryngology\",\"FirstCategoryId\":\"3\",\"ListUrlMain\":\"https://doi.org/10.1007/s00405-025-09417-6\",\"RegionNum\":3,\"RegionCategory\":\"医学\",\"ArticlePicture\":[],\"TitleCN\":null,\"AbstractTextCN\":null,\"PMCID\":null,\"EPubDate\":\"2025/5/7 0:00:00\",\"PubModel\":\"Epub\",\"JCR\":\"Q2\",\"JCRName\":\"OTORHINOLARYNGOLOGY\",\"Score\":null,\"Total\":0}","platform":"Semanticscholar","paperid":null,"PeriodicalName":"European Archives of Oto-Rhino-Laryngology","FirstCategoryId":"3","ListUrlMain":"https://doi.org/10.1007/s00405-025-09417-6","RegionNum":3,"RegionCategory":"医学","ArticlePicture":[],"TitleCN":null,"AbstractTextCN":null,"PMCID":null,"EPubDate":"2025/5/7 0:00:00","PubModel":"Epub","JCR":"Q2","JCRName":"OTORHINOLARYNGOLOGY","Score":null,"Total":0}
引用次数: 0

摘要

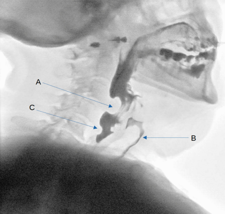
目的:我们报告一例由颈内动脉异常引起的吞咽困难。通过报道这种罕见的情况,我们希望强调这种异常在持续进行性吞咽困难病例中的区别。结果:尽管ICA的症状性肿块效应保证了手术干预的选择,但由于以患者为中心的方法强调个人偏好,患者被转诊为专门的角化治疗。结论:本病例是一个罕见但重要的吞咽困难病因,同时也说明了在处理复杂的吞咽困难病例时,多学科联合治疗的必要性。
本文章由计算机程序翻译,如有差异,请以英文原文为准。

Dysphagia from an aberrant internal carotid artery: a case report.

Dysphagia from an aberrant internal carotid artery: a case report.

Dysphagia from an aberrant internal carotid artery: a case report.

Dysphagia from an aberrant internal carotid artery: a case report.

Purpose: We present a case of dysphagia caused by an aberrant internal carotid artery (ICA). By reporting this rare occurrence, we hope to highlight the anomaly as a differential in cases of persistent, progressive dysphagia.

Results: Even though the symptomatic mass effect of the ICA warranted the option of surgical intervention, due to a patient-centered approach with an emphasis on personal preference, the patient was instead referred for specialized ergotherapy.

Conclusion: This case characterizes a rare yet significant cause of dysphagia, in addition, it illustrates the necessity of a multidisciplinary approach when dealing with complex cases of dysphagia.

求助全文
通过发布文献求助,成功后即可免费获取论文全文。 去求助
来源期刊
CiteScore
5.30
自引率
7.70%
发文量
537
审稿时长
2-4 weeks
期刊介绍: Official Journal of European Union of Medical Specialists – ORL Section and Board Official Journal of Confederation of European Oto-Rhino-Laryngology Head and Neck Surgery "European Archives of Oto-Rhino-Laryngology" publishes original clinical reports and clinically relevant experimental studies, as well as short communications presenting new results of special interest. With peer review by a respected international editorial board and prompt English-language publication, the journal provides rapid dissemination of information by authors from around the world. This particular feature makes it the journal of choice for readers who want to be informed about the continuing state of the art concerning basic sciences and the diagnosis and management of diseases of the head and neck on an international level. European Archives of Oto-Rhino-Laryngology was founded in 1864 as "Archiv für Ohrenheilkunde" by A. von Tröltsch, A. Politzer and H. Schwartze.
×
引用
GB/T 7714-2015
复制
MLA
复制
APA
复制
导出至
BibTeX EndNote RefMan NoteFirst NoteExpress
×
提示
您的信息不完整,为了账户安全,请先补充。
现在去补充
×
提示
您因"违规操作"
具体请查看互助需知
我知道了
×
提示
确定
请完成安全验证×
copy
已复制链接
快去分享给好友吧!
我知道了
右上角分享
点击右上角分享
0
联系我们:info@booksci.cn Book学术提供免费学术资源搜索服务,方便国内外学者检索中英文文献。致力于提供最便捷和优质的服务体验。 Copyright © 2023 布克学术 All rights reserved.
京ICP备2023020795号-1
ghs 京公网安备 11010802042870号
Book学术文献互助
Book学术文献互助群
群 号:604180095
Book学术官方微信