结结结壳双J型支架:先进内镜技术治疗的罕见并发症。

IF 0.7 Q3 MEDICINE, GENERAL & INTERNAL
Case Reports in Medicine Pub Date : 2025-03-10 eCollection Date: 2025-01-01 DOI:10.1155/carm/8955098
Seyed Reza Hosseini, Fardin Asgari, Mina Rezayat, Abdolreza Mohammadi, Seyed Mohammad Kazem Aghamir
{"title":"结结结壳双J型支架:先进内镜技术治疗的罕见并发症。","authors":"Seyed Reza Hosseini, Fardin Asgari, Mina Rezayat, Abdolreza Mohammadi, Seyed Mohammad Kazem Aghamir","doi":"10.1155/carm/8955098","DOIUrl":null,"url":null,"abstract":"<p><p>Complications related to double J (DJ) stent placement are well documented, but DJ stent knotting remains an exceedingly rare event. We present a unique case of a knotted and encrusted DJ stent, alongside a review of the literature on this rare complication. A 55-year-old man with a history of ureteral obstruction due to stones was managed initially with percutaneous nephrostomy (PCN) and DJ stent placement. The patient presented after a delayed follow-up for stent removal. Despite imaging showing no evidence of encrustation or knotting, cystoscopic attempts to remove the stent failed. Further evaluation, including ureteroscopy, revealed significant encrustation and knotting of the DJ stent at the renal pelvis. The stent was successfully removed using a semirigid ureteroscope and lithoclast without open surgery. This case highlights the importance of early follow-up and patient compliance in preventing such complications. When simple traction fails to remove a DJ stent, advanced endoscopic techniques such as lithotripsy and ureteroscopy should be employed to manage complex cases effectively.</p>","PeriodicalId":9627,"journal":{"name":"Case Reports in Medicine","volume":"2025 ","pages":"8955098"},"PeriodicalIF":0.7000,"publicationDate":"2025-03-10","publicationTypes":"Journal Article","fieldsOfStudy":null,"isOpenAccess":false,"openAccessPdf":"https://www.ncbi.nlm.nih.gov/pmc/articles/PMC11991753/pdf/","citationCount":"0","resultStr":"{\"title\":\"Knotted and Encrusted Double J Stent: A Rare Complication Managed With Advanced Endoscopic Techniques.\",\"authors\":\"Seyed Reza Hosseini, Fardin Asgari, Mina Rezayat, Abdolreza Mohammadi, Seyed Mohammad Kazem Aghamir\",\"doi\":\"10.1155/carm/8955098\",\"DOIUrl\":null,\"url\":null,\"abstract\":\"<p><p>Complications related to double J (DJ) stent placement are well documented, but DJ stent knotting remains an exceedingly rare event. We present a unique case of a knotted and encrusted DJ stent, alongside a review of the literature on this rare complication. A 55-year-old man with a history of ureteral obstruction due to stones was managed initially with percutaneous nephrostomy (PCN) and DJ stent placement. The patient presented after a delayed follow-up for stent removal. Despite imaging showing no evidence of encrustation or knotting, cystoscopic attempts to remove the stent failed. Further evaluation, including ureteroscopy, revealed significant encrustation and knotting of the DJ stent at the renal pelvis. The stent was successfully removed using a semirigid ureteroscope and lithoclast without open surgery. This case highlights the importance of early follow-up and patient compliance in preventing such complications. When simple traction fails to remove a DJ stent, advanced endoscopic techniques such as lithotripsy and ureteroscopy should be employed to manage complex cases effectively.</p>\",\"PeriodicalId\":9627,\"journal\":{\"name\":\"Case Reports in Medicine\",\"volume\":\"2025 \",\"pages\":\"8955098\"},\"PeriodicalIF\":0.7000,\"publicationDate\":\"2025-03-10\",\"publicationTypes\":\"Journal Article\",\"fieldsOfStudy\":null,\"isOpenAccess\":false,\"openAccessPdf\":\"https://www.ncbi.nlm.nih.gov/pmc/articles/PMC11991753/pdf/\",\"citationCount\":\"0\",\"resultStr\":null,\"platform\":\"Semanticscholar\",\"paperid\":null,\"PeriodicalName\":\"Case Reports in Medicine\",\"FirstCategoryId\":\"1085\",\"ListUrlMain\":\"https://doi.org/10.1155/carm/8955098\",\"RegionNum\":0,\"RegionCategory\":null,\"ArticlePicture\":[],\"TitleCN\":null,\"AbstractTextCN\":null,\"PMCID\":null,\"EPubDate\":\"2025/1/1 0:00:00\",\"PubModel\":\"eCollection\",\"JCR\":\"Q3\",\"JCRName\":\"MEDICINE, GENERAL & INTERNAL\",\"Score\":null,\"Total\":0}","platform":"Semanticscholar","paperid":null,"PeriodicalName":"Case Reports in Medicine","FirstCategoryId":"1085","ListUrlMain":"https://doi.org/10.1155/carm/8955098","RegionNum":0,"RegionCategory":null,"ArticlePicture":[],"TitleCN":null,"AbstractTextCN":null,"PMCID":null,"EPubDate":"2025/1/1 0:00:00","PubModel":"eCollection","JCR":"Q3","JCRName":"MEDICINE, GENERAL & INTERNAL","Score":null,"Total":0}
引用次数: 0

摘要

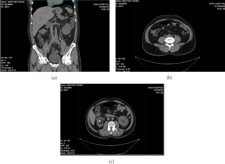
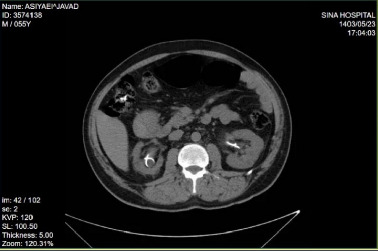
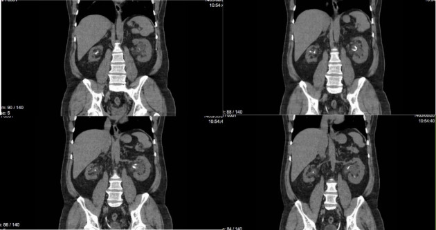
双J (DJ)支架置入术相关的并发症有很好的文献记载,但DJ支架打结仍然是一个极其罕见的事件。我们提出了一个独特的情况下,一个打结和结壳的DJ支架,以及对这一罕见并发症的文献回顾。一名55岁男性,因结石导致输尿管梗阻,最初采用经皮肾造口术(PCN)和DJ支架置入术。患者出现在支架移除的延迟随访后。尽管成像显示没有结痂或打结的证据,膀胱镜尝试移除支架失败。进一步的评估,包括输尿管镜检查,发现DJ支架在肾盂处有明显的结痂和打结。使用半刚性输尿管镜和碎石成功取出支架,无需开放手术。该病例强调了早期随访和患者依从性对预防此类并发症的重要性。当单纯牵引不能取出DJ支架时,应采用先进的内镜技术,如碎石和输尿管镜检查,以有效地处理复杂病例。
本文章由计算机程序翻译,如有差异,请以英文原文为准。

Knotted and Encrusted Double J Stent: A Rare Complication Managed With Advanced Endoscopic Techniques.

Knotted and Encrusted Double J Stent: A Rare Complication Managed With Advanced Endoscopic Techniques.

Knotted and Encrusted Double J Stent: A Rare Complication Managed With Advanced Endoscopic Techniques.

Knotted and Encrusted Double J Stent: A Rare Complication Managed With Advanced Endoscopic Techniques.

Complications related to double J (DJ) stent placement are well documented, but DJ stent knotting remains an exceedingly rare event. We present a unique case of a knotted and encrusted DJ stent, alongside a review of the literature on this rare complication. A 55-year-old man with a history of ureteral obstruction due to stones was managed initially with percutaneous nephrostomy (PCN) and DJ stent placement. The patient presented after a delayed follow-up for stent removal. Despite imaging showing no evidence of encrustation or knotting, cystoscopic attempts to remove the stent failed. Further evaluation, including ureteroscopy, revealed significant encrustation and knotting of the DJ stent at the renal pelvis. The stent was successfully removed using a semirigid ureteroscope and lithoclast without open surgery. This case highlights the importance of early follow-up and patient compliance in preventing such complications. When simple traction fails to remove a DJ stent, advanced endoscopic techniques such as lithotripsy and ureteroscopy should be employed to manage complex cases effectively.

求助全文
通过发布文献求助,成功后即可免费获取论文全文。 去求助
来源期刊
Case Reports in Medicine
Case Reports in Medicine MEDICINE, GENERAL & INTERNAL-
CiteScore
1.70
自引率
0.00%
发文量
53
审稿时长
13 weeks
×
引用
GB/T 7714-2015
复制
MLA
复制
APA
复制
导出至
BibTeX EndNote RefMan NoteFirst NoteExpress
×
提示
您的信息不完整,为了账户安全,请先补充。
现在去补充
×
提示
您因"违规操作"
具体请查看互助需知
我知道了
×
提示
确定
请完成安全验证×
copy
已复制链接
快去分享给好友吧!
我知道了
右上角分享
点击右上角分享
0
联系我们:info@booksci.cn Book学术提供免费学术资源搜索服务,方便国内外学者检索中英文文献。致力于提供最便捷和优质的服务体验。 Copyright © 2023 布克学术 All rights reserved.
京ICP备2023020795号-1
ghs 京公网安备 11010802042870号
Book学术文献互助
Book学术文献互助群
群 号:604180095
Book学术官方微信