急性脊髓病作为弥散性组织胞浆菌病的初始表现:1例报告。

IF 0.8 Q4 INFECTIOUS DISEASES
Case Reports in Infectious Diseases Pub Date : 2025-04-03 eCollection Date: 2025-01-01 DOI:10.1155/crdi/1124517
Lisle Blackbourn, Elisa Yoo, Michael D Lunt, Umair Hamid
{"title":"急性脊髓病作为弥散性组织胞浆菌病的初始表现:1例报告。","authors":"Lisle Blackbourn, Elisa Yoo, Michael D Lunt, Umair Hamid","doi":"10.1155/crdi/1124517","DOIUrl":null,"url":null,"abstract":"<p><p>Histoplasmosis is a fungal infection caused by the fungus <i>Histoplasma capsulatum</i> that can rarely present with central nervous system (CNS) manifestations that include meningitis, encephalitis, focal brain or spinal cord lesions, and stroke syndromes. Because of this variation from patient to patient, CNS histoplasmosis is a difficult clinical diagnosis to make, which can be further hindered by no highly sensitive diagnostic testing available. Here, we present a unique case of a 46-year-old male immunocompromised due to type 1 diabetes mellitus with disseminated histoplasmosis as an acute presentation of myelopathy. Patient had left leg weakness for a few days prior to presentation and a neurological exam remarkable for signs of acute thoracic myelopathy, specifically concerning for Brown-Séquard syndrome. MRI imaging demonstrated an enhancing thoracic spinal cord lesion along with multiple cerebral enhancing lesions, bilateral adrenal masses, and innumerable pulmonary nodules. Biopsy results demonstrated yeast forms consistent with Histoplasma species.</p>","PeriodicalId":9608,"journal":{"name":"Case Reports in Infectious Diseases","volume":"2025 ","pages":"1124517"},"PeriodicalIF":0.8000,"publicationDate":"2025-04-03","publicationTypes":"Journal Article","fieldsOfStudy":null,"isOpenAccess":false,"openAccessPdf":"https://www.ncbi.nlm.nih.gov/pmc/articles/PMC11986188/pdf/","citationCount":"0","resultStr":"{\"title\":\"Acute Myelopathy as Initial Presentation of Disseminated Histoplasmosis: A Case Report.\",\"authors\":\"Lisle Blackbourn, Elisa Yoo, Michael D Lunt, Umair Hamid\",\"doi\":\"10.1155/crdi/1124517\",\"DOIUrl\":null,\"url\":null,\"abstract\":\"<p><p>Histoplasmosis is a fungal infection caused by the fungus <i>Histoplasma capsulatum</i> that can rarely present with central nervous system (CNS) manifestations that include meningitis, encephalitis, focal brain or spinal cord lesions, and stroke syndromes. Because of this variation from patient to patient, CNS histoplasmosis is a difficult clinical diagnosis to make, which can be further hindered by no highly sensitive diagnostic testing available. Here, we present a unique case of a 46-year-old male immunocompromised due to type 1 diabetes mellitus with disseminated histoplasmosis as an acute presentation of myelopathy. Patient had left leg weakness for a few days prior to presentation and a neurological exam remarkable for signs of acute thoracic myelopathy, specifically concerning for Brown-Séquard syndrome. MRI imaging demonstrated an enhancing thoracic spinal cord lesion along with multiple cerebral enhancing lesions, bilateral adrenal masses, and innumerable pulmonary nodules. Biopsy results demonstrated yeast forms consistent with Histoplasma species.</p>\",\"PeriodicalId\":9608,\"journal\":{\"name\":\"Case Reports in Infectious Diseases\",\"volume\":\"2025 \",\"pages\":\"1124517\"},\"PeriodicalIF\":0.8000,\"publicationDate\":\"2025-04-03\",\"publicationTypes\":\"Journal Article\",\"fieldsOfStudy\":null,\"isOpenAccess\":false,\"openAccessPdf\":\"https://www.ncbi.nlm.nih.gov/pmc/articles/PMC11986188/pdf/\",\"citationCount\":\"0\",\"resultStr\":null,\"platform\":\"Semanticscholar\",\"paperid\":null,\"PeriodicalName\":\"Case Reports in Infectious Diseases\",\"FirstCategoryId\":\"1085\",\"ListUrlMain\":\"https://doi.org/10.1155/crdi/1124517\",\"RegionNum\":0,\"RegionCategory\":null,\"ArticlePicture\":[],\"TitleCN\":null,\"AbstractTextCN\":null,\"PMCID\":null,\"EPubDate\":\"2025/1/1 0:00:00\",\"PubModel\":\"eCollection\",\"JCR\":\"Q4\",\"JCRName\":\"INFECTIOUS DISEASES\",\"Score\":null,\"Total\":0}","platform":"Semanticscholar","paperid":null,"PeriodicalName":"Case Reports in Infectious Diseases","FirstCategoryId":"1085","ListUrlMain":"https://doi.org/10.1155/crdi/1124517","RegionNum":0,"RegionCategory":null,"ArticlePicture":[],"TitleCN":null,"AbstractTextCN":null,"PMCID":null,"EPubDate":"2025/1/1 0:00:00","PubModel":"eCollection","JCR":"Q4","JCRName":"INFECTIOUS DISEASES","Score":null,"Total":0}
引用次数: 0

摘要

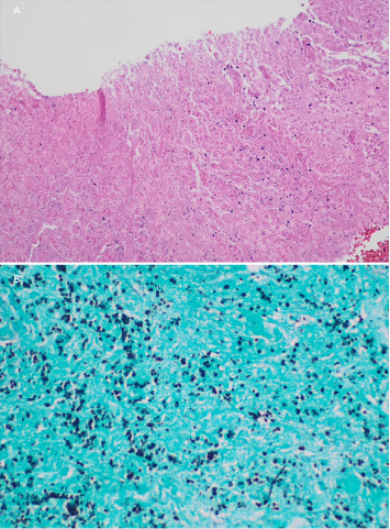
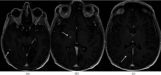
组织胞浆菌病是一种由真菌荚膜组织胞浆菌引起的真菌感染,很少出现中枢神经系统(CNS)表现,包括脑膜炎、脑炎、局灶性脑或脊髓病变以及中风综合征。由于患者之间的差异,中枢神经系统组织浆菌病是一种难以进行临床诊断的疾病,而没有高灵敏度的诊断测试则进一步阻碍了诊断。在这里,我们提出一个独特的案例,46岁的男性免疫功能低下,由于1型糖尿病和弥散性组织胞浆菌病作为脊髓病的急性表现。患者在就诊前几天左腿无力,神经学检查显示有急性胸椎脊髓病的迹象,特别是与布朗-萨默综合征有关。核磁共振成像显示胸脊髓强化病灶,同时伴有多发脑强化病灶,双侧肾上腺肿块和无数肺结节。活检结果显示酵母形式与组织浆菌种类一致。
本文章由计算机程序翻译,如有差异,请以英文原文为准。

Acute Myelopathy as Initial Presentation of Disseminated Histoplasmosis: A Case Report.

Acute Myelopathy as Initial Presentation of Disseminated Histoplasmosis: A Case Report.

Acute Myelopathy as Initial Presentation of Disseminated Histoplasmosis: A Case Report.

Acute Myelopathy as Initial Presentation of Disseminated Histoplasmosis: A Case Report.

Histoplasmosis is a fungal infection caused by the fungus Histoplasma capsulatum that can rarely present with central nervous system (CNS) manifestations that include meningitis, encephalitis, focal brain or spinal cord lesions, and stroke syndromes. Because of this variation from patient to patient, CNS histoplasmosis is a difficult clinical diagnosis to make, which can be further hindered by no highly sensitive diagnostic testing available. Here, we present a unique case of a 46-year-old male immunocompromised due to type 1 diabetes mellitus with disseminated histoplasmosis as an acute presentation of myelopathy. Patient had left leg weakness for a few days prior to presentation and a neurological exam remarkable for signs of acute thoracic myelopathy, specifically concerning for Brown-Séquard syndrome. MRI imaging demonstrated an enhancing thoracic spinal cord lesion along with multiple cerebral enhancing lesions, bilateral adrenal masses, and innumerable pulmonary nodules. Biopsy results demonstrated yeast forms consistent with Histoplasma species.

求助全文
通过发布文献求助,成功后即可免费获取论文全文。 去求助
来源期刊
自引率
0.00%
发文量
64
审稿时长
13 weeks
×
引用
GB/T 7714-2015
复制
MLA
复制
APA
复制
导出至
BibTeX EndNote RefMan NoteFirst NoteExpress
×
提示
您的信息不完整,为了账户安全,请先补充。
现在去补充
×
提示
您因"违规操作"
具体请查看互助需知
我知道了
×
提示
确定
请完成安全验证×
copy
已复制链接
快去分享给好友吧!
我知道了
右上角分享
点击右上角分享
0
联系我们:info@booksci.cn Book学术提供免费学术资源搜索服务,方便国内外学者检索中英文文献。致力于提供最便捷和优质的服务体验。 Copyright © 2023 布克学术 All rights reserved.
京ICP备2023020795号-1
ghs 京公网安备 11010802042870号
Book学术文献互助
Book学术文献互助群
群 号:604180095
Book学术官方微信