早期糖尿病黄斑水肿患者扫描源OCT和OCT血管造影生物标志物的前瞻性和二分类研究。

IF 2.4 Q2 OPHTHALMOLOGY
Marcussi Palata Rezende, Fernanda Atoui Faria, Daniel Prado Beraldo, Julia Polido, Rubens Belfort, Thiago Cabral
{"title":"早期糖尿病黄斑水肿患者扫描源OCT和OCT血管造影生物标志物的前瞻性和二分类研究。","authors":"Marcussi Palata Rezende, Fernanda Atoui Faria, Daniel Prado Beraldo, Julia Polido, Rubens Belfort, Thiago Cabral","doi":"10.1186/s40942-025-00672-7","DOIUrl":null,"url":null,"abstract":"<p><strong>Background: </strong>We used state-of-the-art high-resolution retinal imaging to explore the treatment (loading dose of aflibercept) of diabetic macular edema (DME) among treatment-naive patients. Swept-source (SS) OCT and OCT-Angiography (SS-OCTA) were performed, and a dichotomous analysis was conducted to compare responders and treatment-resistant patients (responsive and resistant). Furthermore, treatment responses were evaluated based on the subdivision of choroidal thickness.</p><p><strong>Materials and methods: </strong>This prospective, noncomparative, interventional case series study examined the following biomarkers: best-corrected visual acuity (BCVA), central macular thickness (CMT), central choroidal thickness (CCT), avascular area of the superficial plexus (AASP), avascular area of the deep plexus (AADP), and vessel density (VD). Data from the baseline and 4-month examinations were compared.</p><p><strong>Results: </strong>Twenty-eight eyes from 25 patients were included. Significant improvements were observed in BCVA (0.7250 ± 0.23 to 0.3957 ± 0.21; p < 0.000), CMT µm (339.04 ± 66.19 to 265.21 ± 55.75; p < 0.000), CCT µm (221.71 ± 69.69 to 209.07 ± 70.92; p < 0.000), VD (17.90 ± 7.82 to 15.35 ± 5.80; p < 0.038), AASP µm<sup>2</sup> (235,374 ± 91,299 to 157,326 ± 77,815; p < 0.000) and AADP µm<sup>2</sup> (996,335 ± 1,000,047 to 362,161 ± 277,225; p < 0.000). Dichotomous analysis revealed that 15 patients were responsive (53.57%), and 13 resistant (46.43%). There were no significant differences between any of the pretreatment biomarkers. In the subdivision of choroidal thickness, which ranged from 211 to 270 µm (group 3), we found greater reductions in the CCT, AADP and CD. The choroidal thickness ranged from 181 to 210 µm (group 2): BCVA and AASP exhibited the greatest reductions.</p><p><strong>Conclusion: </strong>BCVA, CMT, CCT, AASP, AADP and VD were improved after treatment. The pretreatment biomarkers did not predict treatment response between the responsive and resistant. Regarding choroidal stratification, values within the normal range of CCT showed the greatest reductions, indicating that these values may be more responsive to treatment. Notably, this is the first study to analyze biomarkers provided by SS OCT and OCTA, stratify the choroid, and perform a dichotomous analysis.</p>","PeriodicalId":14289,"journal":{"name":"International Journal of Retina and Vitreous","volume":"11 1","pages":"51"},"PeriodicalIF":2.4000,"publicationDate":"2025-04-22","publicationTypes":"Journal Article","fieldsOfStudy":null,"isOpenAccess":false,"openAccessPdf":"https://www.ncbi.nlm.nih.gov/pmc/articles/PMC12016437/pdf/","citationCount":"0","resultStr":"{\"title\":\"Prospective and dichotomous study of biomarkers with swept-source OCT and OCT-angiography in naive patients with diabetic macular edema.\",\"authors\":\"Marcussi Palata Rezende, Fernanda Atoui Faria, Daniel Prado Beraldo, Julia Polido, Rubens Belfort, Thiago Cabral\",\"doi\":\"10.1186/s40942-025-00672-7\",\"DOIUrl\":null,\"url\":null,\"abstract\":\"<p><strong>Background: </strong>We used state-of-the-art high-resolution retinal imaging to explore the treatment (loading dose of aflibercept) of diabetic macular edema (DME) among treatment-naive patients. Swept-source (SS) OCT and OCT-Angiography (SS-OCTA) were performed, and a dichotomous analysis was conducted to compare responders and treatment-resistant patients (responsive and resistant). Furthermore, treatment responses were evaluated based on the subdivision of choroidal thickness.</p><p><strong>Materials and methods: </strong>This prospective, noncomparative, interventional case series study examined the following biomarkers: best-corrected visual acuity (BCVA), central macular thickness (CMT), central choroidal thickness (CCT), avascular area of the superficial plexus (AASP), avascular area of the deep plexus (AADP), and vessel density (VD). Data from the baseline and 4-month examinations were compared.</p><p><strong>Results: </strong>Twenty-eight eyes from 25 patients were included. Significant improvements were observed in BCVA (0.7250 ± 0.23 to 0.3957 ± 0.21; p < 0.000), CMT µm (339.04 ± 66.19 to 265.21 ± 55.75; p < 0.000), CCT µm (221.71 ± 69.69 to 209.07 ± 70.92; p < 0.000), VD (17.90 ± 7.82 to 15.35 ± 5.80; p < 0.038), AASP µm<sup>2</sup> (235,374 ± 91,299 to 157,326 ± 77,815; p < 0.000) and AADP µm<sup>2</sup> (996,335 ± 1,000,047 to 362,161 ± 277,225; p < 0.000). Dichotomous analysis revealed that 15 patients were responsive (53.57%), and 13 resistant (46.43%). There were no significant differences between any of the pretreatment biomarkers. In the subdivision of choroidal thickness, which ranged from 211 to 270 µm (group 3), we found greater reductions in the CCT, AADP and CD. The choroidal thickness ranged from 181 to 210 µm (group 2): BCVA and AASP exhibited the greatest reductions.</p><p><strong>Conclusion: </strong>BCVA, CMT, CCT, AASP, AADP and VD were improved after treatment. The pretreatment biomarkers did not predict treatment response between the responsive and resistant. Regarding choroidal stratification, values within the normal range of CCT showed the greatest reductions, indicating that these values may be more responsive to treatment. Notably, this is the first study to analyze biomarkers provided by SS OCT and OCTA, stratify the choroid, and perform a dichotomous analysis.</p>\",\"PeriodicalId\":14289,\"journal\":{\"name\":\"International Journal of Retina and Vitreous\",\"volume\":\"11 1\",\"pages\":\"51\"},\"PeriodicalIF\":2.4000,\"publicationDate\":\"2025-04-22\",\"publicationTypes\":\"Journal Article\",\"fieldsOfStudy\":null,\"isOpenAccess\":false,\"openAccessPdf\":\"https://www.ncbi.nlm.nih.gov/pmc/articles/PMC12016437/pdf/\",\"citationCount\":\"0\",\"resultStr\":null,\"platform\":\"Semanticscholar\",\"paperid\":null,\"PeriodicalName\":\"International Journal of Retina and Vitreous\",\"FirstCategoryId\":\"1085\",\"ListUrlMain\":\"https://doi.org/10.1186/s40942-025-00672-7\",\"RegionNum\":0,\"RegionCategory\":null,\"ArticlePicture\":[],\"TitleCN\":null,\"AbstractTextCN\":null,\"PMCID\":null,\"EPubDate\":\"\",\"PubModel\":\"\",\"JCR\":\"Q2\",\"JCRName\":\"OPHTHALMOLOGY\",\"Score\":null,\"Total\":0}","platform":"Semanticscholar","paperid":null,"PeriodicalName":"International Journal of Retina and Vitreous","FirstCategoryId":"1085","ListUrlMain":"https://doi.org/10.1186/s40942-025-00672-7","RegionNum":0,"RegionCategory":null,"ArticlePicture":[],"TitleCN":null,"AbstractTextCN":null,"PMCID":null,"EPubDate":"","PubModel":"","JCR":"Q2","JCRName":"OPHTHALMOLOGY","Score":null,"Total":0}
引用次数: 0

摘要

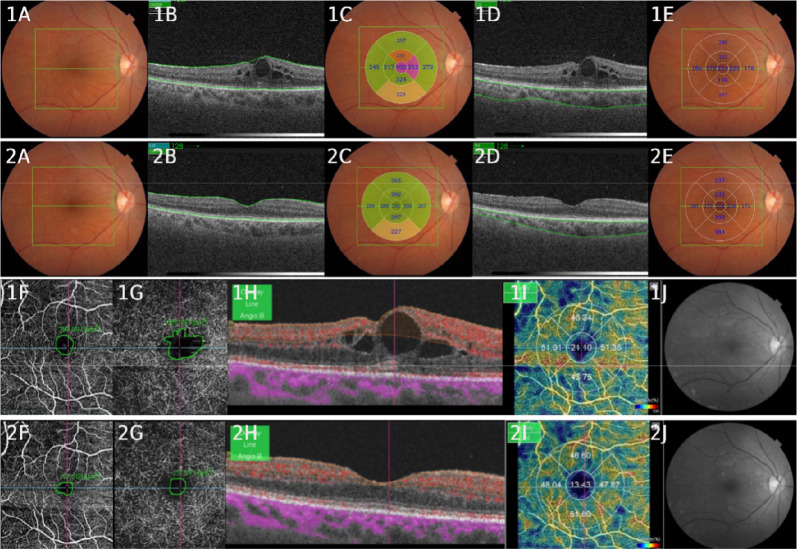
背景:我们使用了最先进的高分辨率视网膜成像技术来探索在未接受治疗的患者中治疗糖尿病黄斑水肿(DME)的效果(负荷剂量)。进行扫描源OCT (SS)和OCT血管造影(SS- octa),并进行二分法分析,比较反应者和治疗抵抗者(反应性和抵抗性)。此外,根据脉络膜厚度的细分评估治疗效果。材料和方法:这项前瞻性、非对比性、干预性的病例系列研究检查了以下生物标志物:最佳矫正视力(BCVA)、黄斑中央厚度(CMT)、脉络膜中央厚度(CCT)、浅神经丛无血管面积(AASP)、深神经丛无血管面积(AADP)和血管密度(VD)。比较基线和4个月检查的数据。结果:纳入25例患者28只眼。BCVA显著改善(0.7250±0.23 ~ 0.3957±0.21);p2(235,374±91,299 ~ 157,326±77,815;p2(996,335±1,000,047 ~ 362,161±277,225;结论:治疗后BCVA、CMT、CCT、AASP、AADP、VD均有改善。预处理生物标志物不能预测反应性和耐药性之间的治疗反应。关于脉络膜分层,在正常范围内的CCT值下降最大,表明这些值可能对治疗更有反应。值得注意的是,这是第一个分析SS OCT和OCTA提供的生物标志物,对脉络膜分层并进行二分分析的研究。
本文章由计算机程序翻译,如有差异,请以英文原文为准。

Prospective and dichotomous study of biomarkers with swept-source OCT and OCT-angiography in naive patients with diabetic macular edema.

Prospective and dichotomous study of biomarkers with swept-source OCT and OCT-angiography in naive patients with diabetic macular edema.

Background: We used state-of-the-art high-resolution retinal imaging to explore the treatment (loading dose of aflibercept) of diabetic macular edema (DME) among treatment-naive patients. Swept-source (SS) OCT and OCT-Angiography (SS-OCTA) were performed, and a dichotomous analysis was conducted to compare responders and treatment-resistant patients (responsive and resistant). Furthermore, treatment responses were evaluated based on the subdivision of choroidal thickness.

Materials and methods: This prospective, noncomparative, interventional case series study examined the following biomarkers: best-corrected visual acuity (BCVA), central macular thickness (CMT), central choroidal thickness (CCT), avascular area of the superficial plexus (AASP), avascular area of the deep plexus (AADP), and vessel density (VD). Data from the baseline and 4-month examinations were compared.

Results: Twenty-eight eyes from 25 patients were included. Significant improvements were observed in BCVA (0.7250 ± 0.23 to 0.3957 ± 0.21; p < 0.000), CMT µm (339.04 ± 66.19 to 265.21 ± 55.75; p < 0.000), CCT µm (221.71 ± 69.69 to 209.07 ± 70.92; p < 0.000), VD (17.90 ± 7.82 to 15.35 ± 5.80; p < 0.038), AASP µm2 (235,374 ± 91,299 to 157,326 ± 77,815; p < 0.000) and AADP µm2 (996,335 ± 1,000,047 to 362,161 ± 277,225; p < 0.000). Dichotomous analysis revealed that 15 patients were responsive (53.57%), and 13 resistant (46.43%). There were no significant differences between any of the pretreatment biomarkers. In the subdivision of choroidal thickness, which ranged from 211 to 270 µm (group 3), we found greater reductions in the CCT, AADP and CD. The choroidal thickness ranged from 181 to 210 µm (group 2): BCVA and AASP exhibited the greatest reductions.

Conclusion: BCVA, CMT, CCT, AASP, AADP and VD were improved after treatment. The pretreatment biomarkers did not predict treatment response between the responsive and resistant. Regarding choroidal stratification, values within the normal range of CCT showed the greatest reductions, indicating that these values may be more responsive to treatment. Notably, this is the first study to analyze biomarkers provided by SS OCT and OCTA, stratify the choroid, and perform a dichotomous analysis.

求助全文
通过发布文献求助,成功后即可免费获取论文全文。 去求助
来源期刊
CiteScore
3.50
自引率
4.30%
发文量
81
审稿时长
19 weeks
期刊介绍: International Journal of Retina and Vitreous focuses on the ophthalmic subspecialty of vitreoretinal disorders. The journal presents original articles on new approaches to diagnosis, outcomes of clinical trials, innovations in pharmacological therapy and surgical techniques, as well as basic science advances that impact clinical practice. Topical areas include, but are not limited to: -Imaging of the retina, choroid and vitreous -Innovations in optical coherence tomography (OCT) -Small-gauge vitrectomy, retinal detachment, chromovitrectomy -Electroretinography (ERG), microperimetry, other functional tests -Intraocular tumors -Retinal pharmacotherapy & drug delivery -Diabetic retinopathy & other vascular diseases -Age-related macular degeneration (AMD) & other macular entities
×
引用
GB/T 7714-2015
复制
MLA
复制
APA
复制
导出至
BibTeX EndNote RefMan NoteFirst NoteExpress
×
提示
您的信息不完整,为了账户安全,请先补充。
现在去补充
×
提示
您因"违规操作"
具体请查看互助需知
我知道了
×
提示
确定
请完成安全验证×
copy
已复制链接
快去分享给好友吧!
我知道了
右上角分享
点击右上角分享
0
联系我们:info@booksci.cn Book学术提供免费学术资源搜索服务,方便国内外学者检索中英文文献。致力于提供最便捷和优质的服务体验。 Copyright © 2023 布克学术 All rights reserved.
京ICP备2023020795号-1
ghs 京公网安备 11010802042870号
Book学术文献互助
Book学术文献互助群
群 号:604180095
Book学术官方微信