轻度创伤性脑损伤后精神病及综合脑医学门诊的作用。

Q4 Medicine
Case Reports in Psychiatry Pub Date : 2025-03-09 eCollection Date: 2025-01-01 DOI:10.1155/crps/8175418
Carl Froilan D Leochico, Adrian I Espiritu, Sarah E Levitt, Sabrina Lemire-Rodger, Meiqi Guo, Sara B Mitchell
{"title":"轻度创伤性脑损伤后精神病及综合脑医学门诊的作用。","authors":"Carl Froilan D Leochico, Adrian I Espiritu, Sarah E Levitt, Sabrina Lemire-Rodger, Meiqi Guo, Sara B Mitchell","doi":"10.1155/crps/8175418","DOIUrl":null,"url":null,"abstract":"<p><p>Psychosis after mild traumatic brain injury (TBI) can be rare, complex, and functionally impairing, often requiring inputs from various specialties. This usually entails separate visits and long wait times. We present the case of an elderly patient with schizophrenia-like psychosis after a mild TBI. Three years after the TBI, the treating physiatrist requested diagnostic clarifications and treatment recommendations from a brain medicine clinic (BMC), a novel integrated virtual clinic composed of neurology, psychiatry, and other brain-related disciplines. Six months later, the patient was overall improved, and her driver's license, which had been suspended 6 months after the TBI, was reinstated. We discuss diagnostic and treatment challenges of TBI. BMCs could provide timely, comprehensive, and efficient access to multispecialty care and resources for patients with complex brain disorders and minimize the artificial siloes in healthcare.</p>","PeriodicalId":9631,"journal":{"name":"Case Reports in Psychiatry","volume":"2025 ","pages":"8175418"},"PeriodicalIF":0.0000,"publicationDate":"2025-03-09","publicationTypes":"Journal Article","fieldsOfStudy":null,"isOpenAccess":false,"openAccessPdf":"https://www.ncbi.nlm.nih.gov/pmc/articles/PMC11991786/pdf/","citationCount":"0","resultStr":"{\"title\":\"Psychosis After Mild Traumatic Brain Injury and the Role of an Integrated Brain Medicine Clinic.\",\"authors\":\"Carl Froilan D Leochico, Adrian I Espiritu, Sarah E Levitt, Sabrina Lemire-Rodger, Meiqi Guo, Sara B Mitchell\",\"doi\":\"10.1155/crps/8175418\",\"DOIUrl\":null,\"url\":null,\"abstract\":\"<p><p>Psychosis after mild traumatic brain injury (TBI) can be rare, complex, and functionally impairing, often requiring inputs from various specialties. This usually entails separate visits and long wait times. We present the case of an elderly patient with schizophrenia-like psychosis after a mild TBI. Three years after the TBI, the treating physiatrist requested diagnostic clarifications and treatment recommendations from a brain medicine clinic (BMC), a novel integrated virtual clinic composed of neurology, psychiatry, and other brain-related disciplines. Six months later, the patient was overall improved, and her driver's license, which had been suspended 6 months after the TBI, was reinstated. We discuss diagnostic and treatment challenges of TBI. BMCs could provide timely, comprehensive, and efficient access to multispecialty care and resources for patients with complex brain disorders and minimize the artificial siloes in healthcare.</p>\",\"PeriodicalId\":9631,\"journal\":{\"name\":\"Case Reports in Psychiatry\",\"volume\":\"2025 \",\"pages\":\"8175418\"},\"PeriodicalIF\":0.0000,\"publicationDate\":\"2025-03-09\",\"publicationTypes\":\"Journal Article\",\"fieldsOfStudy\":null,\"isOpenAccess\":false,\"openAccessPdf\":\"https://www.ncbi.nlm.nih.gov/pmc/articles/PMC11991786/pdf/\",\"citationCount\":\"0\",\"resultStr\":null,\"platform\":\"Semanticscholar\",\"paperid\":null,\"PeriodicalName\":\"Case Reports in Psychiatry\",\"FirstCategoryId\":\"1085\",\"ListUrlMain\":\"https://doi.org/10.1155/crps/8175418\",\"RegionNum\":0,\"RegionCategory\":null,\"ArticlePicture\":[],\"TitleCN\":null,\"AbstractTextCN\":null,\"PMCID\":null,\"EPubDate\":\"2025/1/1 0:00:00\",\"PubModel\":\"eCollection\",\"JCR\":\"Q4\",\"JCRName\":\"Medicine\",\"Score\":null,\"Total\":0}","platform":"Semanticscholar","paperid":null,"PeriodicalName":"Case Reports in Psychiatry","FirstCategoryId":"1085","ListUrlMain":"https://doi.org/10.1155/crps/8175418","RegionNum":0,"RegionCategory":null,"ArticlePicture":[],"TitleCN":null,"AbstractTextCN":null,"PMCID":null,"EPubDate":"2025/1/1 0:00:00","PubModel":"eCollection","JCR":"Q4","JCRName":"Medicine","Score":null,"Total":0}
引用次数: 0

摘要

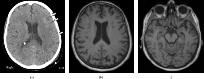
轻度创伤性脑损伤(TBI)后的精神病可能是罕见的、复杂的和功能受损的,通常需要不同专业的投入。这通常需要分开访问和长时间的等待。我们提出的情况下,老年患者精神分裂症样精神病后轻度TBI。创伤性脑损伤三年后,治疗的物理医生要求脑医学诊所(BMC)提供诊断澄清和治疗建议,这是一个由神经病学、精神病学和其他脑相关学科组成的新型综合虚拟诊所。6个月后,患者整体好转,她的驾驶执照在脑损伤后被暂停了6个月,现在又恢复了。我们讨论了TBI的诊断和治疗挑战。bmc可以为复杂脑疾病患者提供及时、全面、高效的多专科护理和资源,最大限度地减少医疗保健中的人工孤岛。
本文章由计算机程序翻译,如有差异,请以英文原文为准。

Psychosis After Mild Traumatic Brain Injury and the Role of an Integrated Brain Medicine Clinic.

Psychosis After Mild Traumatic Brain Injury and the Role of an Integrated Brain Medicine Clinic.

Psychosis After Mild Traumatic Brain Injury and the Role of an Integrated Brain Medicine Clinic.

Psychosis after mild traumatic brain injury (TBI) can be rare, complex, and functionally impairing, often requiring inputs from various specialties. This usually entails separate visits and long wait times. We present the case of an elderly patient with schizophrenia-like psychosis after a mild TBI. Three years after the TBI, the treating physiatrist requested diagnostic clarifications and treatment recommendations from a brain medicine clinic (BMC), a novel integrated virtual clinic composed of neurology, psychiatry, and other brain-related disciplines. Six months later, the patient was overall improved, and her driver's license, which had been suspended 6 months after the TBI, was reinstated. We discuss diagnostic and treatment challenges of TBI. BMCs could provide timely, comprehensive, and efficient access to multispecialty care and resources for patients with complex brain disorders and minimize the artificial siloes in healthcare.

求助全文
通过发布文献求助,成功后即可免费获取论文全文。 去求助
来源期刊
Case Reports in Psychiatry
Case Reports in Psychiatry Medicine-Psychiatry and Mental Health
CiteScore
1.00
自引率
0.00%
发文量
49
审稿时长
12 weeks
×
引用
GB/T 7714-2015
复制
MLA
复制
APA
复制
导出至
BibTeX EndNote RefMan NoteFirst NoteExpress
×
提示
您的信息不完整,为了账户安全,请先补充。
现在去补充
×
提示
您因"违规操作"
具体请查看互助需知
我知道了
×
提示
确定
请完成安全验证×
copy
已复制链接
快去分享给好友吧!
我知道了
右上角分享
点击右上角分享
0
联系我们:info@booksci.cn Book学术提供免费学术资源搜索服务,方便国内外学者检索中英文文献。致力于提供最便捷和优质的服务体验。 Copyright © 2023 布克学术 All rights reserved.
京ICP备2023020795号-1
ghs 京公网安备 11010802042870号
Book学术文献互助
Book学术文献互助群
群 号:604180095
Book学术官方微信