安置分流器后巨大前循环动脉瘤的迟发性失稳和破裂1例报告。

IF 4.8 4区 医学 Q3 CLINICAL NEUROLOGY
Brain Circulation Pub Date : 2025-03-21 eCollection Date: 2025-01-01 DOI:10.4103/bc.bc_69_24
Artur Eduardo Martio, Samuel Luís Scaravonatto Baldo Cunha, Luciano Bambini Manzato, Felipe Perini, José Ricardo Vanzin
{"title":"安置分流器后巨大前循环动脉瘤的迟发性失稳和破裂1例报告。","authors":"Artur Eduardo Martio, Samuel Luís Scaravonatto Baldo Cunha, Luciano Bambini Manzato, Felipe Perini, José Ricardo Vanzin","doi":"10.4103/bc.bc_69_24","DOIUrl":null,"url":null,"abstract":"<p><p>Flow-diverting stents have been increasingly utilized for the treatment of intracranial aneurysms, especially when there are factors that go against coil embolization, such as wide neck and large aneurysm size. However, its use does not guarantee success, especially in giant lesions, and failure to obtain aneurysmal obliteration can result in long-term instability of the aneurysmal wall, leading to aneurysmal growth and late rupture. We present the case of a 65-year-old woman who suffered from a late aneurysmal dilation and rupture, 2 years and 4 months after flow-diverting treatment of a giant ophthalmic segment aneurysm. Although not fully understood, the pathophysiology of this phenomenon has one necessary factor: incomplete aneurysmal obliteration. When this scenario is present, two main factors take place: the augmentation of intrasaccular blood flow after stent delivery and the local inflammation caused by partial thrombus formation and the presence of the stent itself. To prevent this complication, complete aneurysmal obliteration must be assured, and the use of combined techniques is encouraged.</p>","PeriodicalId":9288,"journal":{"name":"Brain Circulation","volume":"11 1","pages":"89-93"},"PeriodicalIF":4.8000,"publicationDate":"2025-03-21","publicationTypes":"Journal Article","fieldsOfStudy":null,"isOpenAccess":false,"openAccessPdf":"https://www.ncbi.nlm.nih.gov/pmc/articles/PMC11984825/pdf/","citationCount":"0","resultStr":"{\"title\":\"Delayed destabilization and rupture of a giant anterior circulation aneurysm following flow-diverter placement: A case report.\",\"authors\":\"Artur Eduardo Martio, Samuel Luís Scaravonatto Baldo Cunha, Luciano Bambini Manzato, Felipe Perini, José Ricardo Vanzin\",\"doi\":\"10.4103/bc.bc_69_24\",\"DOIUrl\":null,\"url\":null,\"abstract\":\"<p><p>Flow-diverting stents have been increasingly utilized for the treatment of intracranial aneurysms, especially when there are factors that go against coil embolization, such as wide neck and large aneurysm size. However, its use does not guarantee success, especially in giant lesions, and failure to obtain aneurysmal obliteration can result in long-term instability of the aneurysmal wall, leading to aneurysmal growth and late rupture. We present the case of a 65-year-old woman who suffered from a late aneurysmal dilation and rupture, 2 years and 4 months after flow-diverting treatment of a giant ophthalmic segment aneurysm. Although not fully understood, the pathophysiology of this phenomenon has one necessary factor: incomplete aneurysmal obliteration. When this scenario is present, two main factors take place: the augmentation of intrasaccular blood flow after stent delivery and the local inflammation caused by partial thrombus formation and the presence of the stent itself. To prevent this complication, complete aneurysmal obliteration must be assured, and the use of combined techniques is encouraged.</p>\",\"PeriodicalId\":9288,\"journal\":{\"name\":\"Brain Circulation\",\"volume\":\"11 1\",\"pages\":\"89-93\"},\"PeriodicalIF\":4.8000,\"publicationDate\":\"2025-03-21\",\"publicationTypes\":\"Journal Article\",\"fieldsOfStudy\":null,\"isOpenAccess\":false,\"openAccessPdf\":\"https://www.ncbi.nlm.nih.gov/pmc/articles/PMC11984825/pdf/\",\"citationCount\":\"0\",\"resultStr\":null,\"platform\":\"Semanticscholar\",\"paperid\":null,\"PeriodicalName\":\"Brain Circulation\",\"FirstCategoryId\":\"3\",\"ListUrlMain\":\"https://doi.org/10.4103/bc.bc_69_24\",\"RegionNum\":4,\"RegionCategory\":\"医学\",\"ArticlePicture\":[],\"TitleCN\":null,\"AbstractTextCN\":null,\"PMCID\":null,\"EPubDate\":\"2025/1/1 0:00:00\",\"PubModel\":\"eCollection\",\"JCR\":\"Q3\",\"JCRName\":\"CLINICAL NEUROLOGY\",\"Score\":null,\"Total\":0}","platform":"Semanticscholar","paperid":null,"PeriodicalName":"Brain Circulation","FirstCategoryId":"3","ListUrlMain":"https://doi.org/10.4103/bc.bc_69_24","RegionNum":4,"RegionCategory":"医学","ArticlePicture":[],"TitleCN":null,"AbstractTextCN":null,"PMCID":null,"EPubDate":"2025/1/1 0:00:00","PubModel":"eCollection","JCR":"Q3","JCRName":"CLINICAL NEUROLOGY","Score":null,"Total":0}
引用次数: 0

摘要

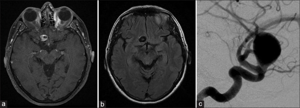
血流分流支架越来越多地用于颅内动脉瘤的治疗,特别是当存在不利于线圈栓塞的因素时,如颈部宽和动脉瘤尺寸大。然而,它的使用并不能保证成功,特别是在巨大病变中,未能获得动脉瘤闭塞会导致动脉瘤壁长期不稳定,导致动脉瘤生长和晚期破裂。我们提出的情况下,65岁的妇女谁遭受晚期动脉瘤扩张和破裂,2年零4个月后,分流治疗巨大的眼段动脉瘤。虽然尚未完全了解,但这种现象的病理生理学有一个必要因素:不完全的动脉瘤闭塞。当出现这种情况时,主要有两个因素:支架置入后囊内血流的增加以及部分血栓形成和支架本身的存在引起的局部炎症。为了防止这种并发症,必须确保动脉瘤完全闭塞,并鼓励使用联合技术。
本文章由计算机程序翻译,如有差异,请以英文原文为准。

Delayed destabilization and rupture of a giant anterior circulation aneurysm following flow-diverter placement: A case report.

Delayed destabilization and rupture of a giant anterior circulation aneurysm following flow-diverter placement: A case report.

Delayed destabilization and rupture of a giant anterior circulation aneurysm following flow-diverter placement: A case report.

Delayed destabilization and rupture of a giant anterior circulation aneurysm following flow-diverter placement: A case report.

Flow-diverting stents have been increasingly utilized for the treatment of intracranial aneurysms, especially when there are factors that go against coil embolization, such as wide neck and large aneurysm size. However, its use does not guarantee success, especially in giant lesions, and failure to obtain aneurysmal obliteration can result in long-term instability of the aneurysmal wall, leading to aneurysmal growth and late rupture. We present the case of a 65-year-old woman who suffered from a late aneurysmal dilation and rupture, 2 years and 4 months after flow-diverting treatment of a giant ophthalmic segment aneurysm. Although not fully understood, the pathophysiology of this phenomenon has one necessary factor: incomplete aneurysmal obliteration. When this scenario is present, two main factors take place: the augmentation of intrasaccular blood flow after stent delivery and the local inflammation caused by partial thrombus formation and the presence of the stent itself. To prevent this complication, complete aneurysmal obliteration must be assured, and the use of combined techniques is encouraged.

求助全文
通过发布文献求助,成功后即可免费获取论文全文。 去求助
来源期刊
Brain Circulation
Brain Circulation Multiple-
自引率
5.30%
发文量
31
审稿时长
16 weeks
×
引用
GB/T 7714-2015
复制
MLA
复制
APA
复制
导出至
BibTeX EndNote RefMan NoteFirst NoteExpress
×
提示
您的信息不完整,为了账户安全,请先补充。
现在去补充
×
提示
您因"违规操作"
具体请查看互助需知
我知道了
×
提示
确定
请完成安全验证×
copy
已复制链接
快去分享给好友吧!
我知道了
右上角分享
点击右上角分享
0
联系我们:info@booksci.cn Book学术提供免费学术资源搜索服务,方便国内外学者检索中英文文献。致力于提供最便捷和优质的服务体验。 Copyright © 2023 布克学术 All rights reserved.
京ICP备2023020795号-1
ghs 京公网安备 11010802042870号
Book学术文献互助
Book学术文献互助群
群 号:604180095
Book学术官方微信