强烈慢性炎症引起的严重退行性变所致的异常结节性甲状腺肿伴喉返神经麻痹1例,附组织病理学证据及文献复习。

IF 3.3 3区 医学 Q3 ENDOCRINOLOGY & METABOLISM
Ryo Takagi, Kosei Mori, Sayumi Tsuyuguchi, Takashi Koike, Dinh Nam Nguyen, Kengo Kanai, Yoshihiro Watanabe, Mitsuhiro Okano, Yoshihiro Noguchi, Yuichiro Hayashi, Yorihisa Imanishi
{"title":"强烈慢性炎症引起的严重退行性变所致的异常结节性甲状腺肿伴喉返神经麻痹1例,附组织病理学证据及文献复习。","authors":"Ryo Takagi, Kosei Mori, Sayumi Tsuyuguchi, Takashi Koike, Dinh Nam Nguyen, Kengo Kanai, Yoshihiro Watanabe, Mitsuhiro Okano, Yoshihiro Noguchi, Yuichiro Hayashi, Yorihisa Imanishi","doi":"10.1186/s12902-025-01929-w","DOIUrl":null,"url":null,"abstract":"<p><strong>Background: </strong>Thyroid tumors presenting with recurrent laryngeal nerve (RLN) palsy are generally considered malignant; however, RLN palsy has been reported even in benign thyroid disease (BTD), mainly due to compression or stretching, although seemingly quite rare. Herein, we report an unusual case of nodular goiter that was extremely difficult to differentiate preoperatively from thyroid malignancy because of the concomitant ipsilateral RLN palsy caused by chronic inflammation.</p><p><strong>Case presentation: </strong>A 59-year-old Japanese female presented with hoarseness and pharyngeal discomfort. Endoscopic examination revealed fixation of the right vocal cord, presumably due to right RLN palsy. Ultrasonography and computed tomography showed an ill-defined thyroid mass lesion in the right lobe, strongly suggestive of malignancy, although repeated aspiration cytology revealed no suspicion of malignancy. Intraoperatively, because the right RLN was found to be entirely embedded within the hard mass lesion and completely unresponsive to nerve integrity monitoring, the nerve was unavoidably excised along with the right lobe. Histopathology led to the final diagnosis of nodular goiter, wherein the resected RLN was severely degenerated and disrupted due to intense chronic inflammation accompanied by perineural fibrosis.</p><p><strong>Conclusions: </strong>Our literature review suggests that RLN palsy associated with thyroid mass lesions should not be considered a definitive indicator of malignancy because it can also be observed in BTD, although it is significantly less frequent than in malignancy as corroborated by our meta-analysis. Even in BTD, if the primary cause of the coexisting RLN palsy is severe chronic inflammation, nerve preservation is potentially unfeasible.</p>","PeriodicalId":9152,"journal":{"name":"BMC Endocrine Disorders","volume":"25 1","pages":"128"},"PeriodicalIF":3.3000,"publicationDate":"2025-05-12","publicationTypes":"Journal Article","fieldsOfStudy":null,"isOpenAccess":false,"openAccessPdf":"https://www.ncbi.nlm.nih.gov/pmc/articles/PMC12067666/pdf/","citationCount":"0","resultStr":"{\"title\":\"Unusual nodular goiter with recurrent laryngeal nerve palsy due to severe degeneration caused by intense chronic inflammation: a case report with histopathological evidence and review of the literature.\",\"authors\":\"Ryo Takagi, Kosei Mori, Sayumi Tsuyuguchi, Takashi Koike, Dinh Nam Nguyen, Kengo Kanai, Yoshihiro Watanabe, Mitsuhiro Okano, Yoshihiro Noguchi, Yuichiro Hayashi, Yorihisa Imanishi\",\"doi\":\"10.1186/s12902-025-01929-w\",\"DOIUrl\":null,\"url\":null,\"abstract\":\"<p><strong>Background: </strong>Thyroid tumors presenting with recurrent laryngeal nerve (RLN) palsy are generally considered malignant; however, RLN palsy has been reported even in benign thyroid disease (BTD), mainly due to compression or stretching, although seemingly quite rare. Herein, we report an unusual case of nodular goiter that was extremely difficult to differentiate preoperatively from thyroid malignancy because of the concomitant ipsilateral RLN palsy caused by chronic inflammation.</p><p><strong>Case presentation: </strong>A 59-year-old Japanese female presented with hoarseness and pharyngeal discomfort. Endoscopic examination revealed fixation of the right vocal cord, presumably due to right RLN palsy. Ultrasonography and computed tomography showed an ill-defined thyroid mass lesion in the right lobe, strongly suggestive of malignancy, although repeated aspiration cytology revealed no suspicion of malignancy. Intraoperatively, because the right RLN was found to be entirely embedded within the hard mass lesion and completely unresponsive to nerve integrity monitoring, the nerve was unavoidably excised along with the right lobe. Histopathology led to the final diagnosis of nodular goiter, wherein the resected RLN was severely degenerated and disrupted due to intense chronic inflammation accompanied by perineural fibrosis.</p><p><strong>Conclusions: </strong>Our literature review suggests that RLN palsy associated with thyroid mass lesions should not be considered a definitive indicator of malignancy because it can also be observed in BTD, although it is significantly less frequent than in malignancy as corroborated by our meta-analysis. Even in BTD, if the primary cause of the coexisting RLN palsy is severe chronic inflammation, nerve preservation is potentially unfeasible.</p>\",\"PeriodicalId\":9152,\"journal\":{\"name\":\"BMC Endocrine Disorders\",\"volume\":\"25 1\",\"pages\":\"128\"},\"PeriodicalIF\":3.3000,\"publicationDate\":\"2025-05-12\",\"publicationTypes\":\"Journal Article\",\"fieldsOfStudy\":null,\"isOpenAccess\":false,\"openAccessPdf\":\"https://www.ncbi.nlm.nih.gov/pmc/articles/PMC12067666/pdf/\",\"citationCount\":\"0\",\"resultStr\":null,\"platform\":\"Semanticscholar\",\"paperid\":null,\"PeriodicalName\":\"BMC Endocrine Disorders\",\"FirstCategoryId\":\"3\",\"ListUrlMain\":\"https://doi.org/10.1186/s12902-025-01929-w\",\"RegionNum\":3,\"RegionCategory\":\"医学\",\"ArticlePicture\":[],\"TitleCN\":null,\"AbstractTextCN\":null,\"PMCID\":null,\"EPubDate\":\"\",\"PubModel\":\"\",\"JCR\":\"Q3\",\"JCRName\":\"ENDOCRINOLOGY & METABOLISM\",\"Score\":null,\"Total\":0}","platform":"Semanticscholar","paperid":null,"PeriodicalName":"BMC Endocrine Disorders","FirstCategoryId":"3","ListUrlMain":"https://doi.org/10.1186/s12902-025-01929-w","RegionNum":3,"RegionCategory":"医学","ArticlePicture":[],"TitleCN":null,"AbstractTextCN":null,"PMCID":null,"EPubDate":"","PubModel":"","JCR":"Q3","JCRName":"ENDOCRINOLOGY & METABOLISM","Score":null,"Total":0}
引用次数: 0

摘要

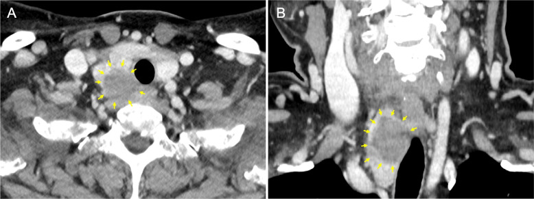
背景:甲状腺肿瘤表现为喉返神经麻痹通常被认为是恶性的;然而,即使在良性甲状腺疾病(BTD)中也有RLN麻痹的报道,主要是由于压迫或拉伸,尽管看起来相当罕见。在此,我们报告一例不寻常的结节性甲状腺肿,由于伴随慢性炎症引起的同侧RLN麻痹,术前很难与甲状腺恶性肿瘤区分。病例介绍:一名59岁的日本女性,以声音嘶哑和咽部不适为主诉。内窥镜检查显示右侧声带固定,可能是由于右侧RLN麻痹。超声检查和计算机断层扫描显示右甲状腺叶一模糊的肿块,强烈提示恶性肿瘤,尽管反复的细胞学检查未发现恶性肿瘤的嫌疑。术中,由于发现右侧RLN完全嵌入硬肿块病变中,且对神经完整性监测完全无反应,因此不可避免地将神经与右叶一起切除。组织病理学最终诊断为结节性甲状腺肿,其中切除的RLN因强烈的慢性炎症伴神经周围纤维化而严重退化和破坏。结论:我们的文献综述表明,与甲状腺肿块病变相关的RLN麻痹不应被视为恶性肿瘤的明确指标,因为它也可以在BTD中观察到,尽管我们的荟萃分析证实了它的频率明显低于恶性肿瘤。即使在BTD中,如果并发RLN麻痹的主要原因是严重的慢性炎症,神经保存可能是不可行的。
本文章由计算机程序翻译,如有差异,请以英文原文为准。

Unusual nodular goiter with recurrent laryngeal nerve palsy due to severe degeneration caused by intense chronic inflammation: a case report with histopathological evidence and review of the literature.

Unusual nodular goiter with recurrent laryngeal nerve palsy due to severe degeneration caused by intense chronic inflammation: a case report with histopathological evidence and review of the literature.

Unusual nodular goiter with recurrent laryngeal nerve palsy due to severe degeneration caused by intense chronic inflammation: a case report with histopathological evidence and review of the literature.

Unusual nodular goiter with recurrent laryngeal nerve palsy due to severe degeneration caused by intense chronic inflammation: a case report with histopathological evidence and review of the literature.

Background: Thyroid tumors presenting with recurrent laryngeal nerve (RLN) palsy are generally considered malignant; however, RLN palsy has been reported even in benign thyroid disease (BTD), mainly due to compression or stretching, although seemingly quite rare. Herein, we report an unusual case of nodular goiter that was extremely difficult to differentiate preoperatively from thyroid malignancy because of the concomitant ipsilateral RLN palsy caused by chronic inflammation.

Case presentation: A 59-year-old Japanese female presented with hoarseness and pharyngeal discomfort. Endoscopic examination revealed fixation of the right vocal cord, presumably due to right RLN palsy. Ultrasonography and computed tomography showed an ill-defined thyroid mass lesion in the right lobe, strongly suggestive of malignancy, although repeated aspiration cytology revealed no suspicion of malignancy. Intraoperatively, because the right RLN was found to be entirely embedded within the hard mass lesion and completely unresponsive to nerve integrity monitoring, the nerve was unavoidably excised along with the right lobe. Histopathology led to the final diagnosis of nodular goiter, wherein the resected RLN was severely degenerated and disrupted due to intense chronic inflammation accompanied by perineural fibrosis.

Conclusions: Our literature review suggests that RLN palsy associated with thyroid mass lesions should not be considered a definitive indicator of malignancy because it can also be observed in BTD, although it is significantly less frequent than in malignancy as corroborated by our meta-analysis. Even in BTD, if the primary cause of the coexisting RLN palsy is severe chronic inflammation, nerve preservation is potentially unfeasible.

求助全文
通过发布文献求助,成功后即可免费获取论文全文。 去求助
来源期刊
BMC Endocrine Disorders
BMC Endocrine Disorders ENDOCRINOLOGY & METABOLISM-
CiteScore
4.40
自引率
0.00%
发文量
280
审稿时长
>12 weeks
期刊介绍: BMC Endocrine Disorders is an open access, peer-reviewed journal that considers articles on all aspects of the prevention, diagnosis and management of endocrine disorders, as well as related molecular genetics, pathophysiology, and epidemiology.
×
引用
GB/T 7714-2015
复制
MLA
复制
APA
复制
导出至
BibTeX EndNote RefMan NoteFirst NoteExpress
×
提示
您的信息不完整,为了账户安全,请先补充。
现在去补充
×
提示
您因"违规操作"
具体请查看互助需知
我知道了
×
提示
确定
请完成安全验证×
copy
已复制链接
快去分享给好友吧!
我知道了
右上角分享
点击右上角分享
0
联系我们:info@booksci.cn Book学术提供免费学术资源搜索服务,方便国内外学者检索中英文文献。致力于提供最便捷和优质的服务体验。 Copyright © 2023 布克学术 All rights reserved.
京ICP备2023020795号-1
ghs 京公网安备 11010802042870号
Book学术文献互助
Book学术文献互助群
群 号:604180095
Book学术官方微信