急性纤维性和组织性肺炎表现为团块样影像学:1例报告。

IF 2.3 3区 医学 Q2 PATHOLOGY
Wei Zhou, Longyun Zhang, Bin Xu, Chuanhai Wang
{"title":"急性纤维性和组织性肺炎表现为团块样影像学:1例报告。","authors":"Wei Zhou, Longyun Zhang, Bin Xu, Chuanhai Wang","doi":"10.1186/s13000-025-01654-x","DOIUrl":null,"url":null,"abstract":"<p><strong>Objective: </strong>This case report describes a patient with acute fibrinous and organising pneumonia (AFOP) presenting with mass-like imaging on chest computed tomography (CT), aiming to enhance clinical awareness of this rare disease.</p><p><strong>Case presentation: </strong>A 66-year-old man presented with cough, sputum, chest tightness and weight loss persisting for 1 month. Chest X-ray revealed a space-occupying lesion in the left lung. Further CT imaging demonstrated irregular soft tissue masses in both the upper and lower lobes of the left lung. Although the imaging findings suggested lung cancer, the final pathological diagnosis confirmed AFOP. The patient was treated with methylprednisolone, resulting in substantial improvement of the upper lobe lesion, whereas the lower lobe lesion showed minimal response. Following the addition of mycophenolate mofetil, the lower lobe lesion decreased substantially. Multiple lung biopsies confirmed the diagnosis of AFOP, with no evidence of a malignant tumour.</p><p><strong>Conclusions: </strong>Acute fibrinous and organising pneumonia presents with non-specific imaging findings, and when manifesting as a mass-like lesion, it may be misdiagnosed as lung cancer. Pathological examination remains essential for diagnosis. Close monitoring of the clinical response is crucial during treatment, and the treatment plan should be tailored to individual patient needs.</p>","PeriodicalId":11237,"journal":{"name":"Diagnostic Pathology","volume":"20 1","pages":"53"},"PeriodicalIF":2.3000,"publicationDate":"2025-04-26","publicationTypes":"Journal Article","fieldsOfStudy":null,"isOpenAccess":false,"openAccessPdf":"https://www.ncbi.nlm.nih.gov/pmc/articles/PMC12034166/pdf/","citationCount":"0","resultStr":"{\"title\":\"Acute fibrinous and organising pneumonia presenting with mass-like imaging: a case report.\",\"authors\":\"Wei Zhou, Longyun Zhang, Bin Xu, Chuanhai Wang\",\"doi\":\"10.1186/s13000-025-01654-x\",\"DOIUrl\":null,\"url\":null,\"abstract\":\"<p><strong>Objective: </strong>This case report describes a patient with acute fibrinous and organising pneumonia (AFOP) presenting with mass-like imaging on chest computed tomography (CT), aiming to enhance clinical awareness of this rare disease.</p><p><strong>Case presentation: </strong>A 66-year-old man presented with cough, sputum, chest tightness and weight loss persisting for 1 month. Chest X-ray revealed a space-occupying lesion in the left lung. Further CT imaging demonstrated irregular soft tissue masses in both the upper and lower lobes of the left lung. Although the imaging findings suggested lung cancer, the final pathological diagnosis confirmed AFOP. The patient was treated with methylprednisolone, resulting in substantial improvement of the upper lobe lesion, whereas the lower lobe lesion showed minimal response. Following the addition of mycophenolate mofetil, the lower lobe lesion decreased substantially. Multiple lung biopsies confirmed the diagnosis of AFOP, with no evidence of a malignant tumour.</p><p><strong>Conclusions: </strong>Acute fibrinous and organising pneumonia presents with non-specific imaging findings, and when manifesting as a mass-like lesion, it may be misdiagnosed as lung cancer. Pathological examination remains essential for diagnosis. Close monitoring of the clinical response is crucial during treatment, and the treatment plan should be tailored to individual patient needs.</p>\",\"PeriodicalId\":11237,\"journal\":{\"name\":\"Diagnostic Pathology\",\"volume\":\"20 1\",\"pages\":\"53\"},\"PeriodicalIF\":2.3000,\"publicationDate\":\"2025-04-26\",\"publicationTypes\":\"Journal Article\",\"fieldsOfStudy\":null,\"isOpenAccess\":false,\"openAccessPdf\":\"https://www.ncbi.nlm.nih.gov/pmc/articles/PMC12034166/pdf/\",\"citationCount\":\"0\",\"resultStr\":null,\"platform\":\"Semanticscholar\",\"paperid\":null,\"PeriodicalName\":\"Diagnostic Pathology\",\"FirstCategoryId\":\"3\",\"ListUrlMain\":\"https://doi.org/10.1186/s13000-025-01654-x\",\"RegionNum\":3,\"RegionCategory\":\"医学\",\"ArticlePicture\":[],\"TitleCN\":null,\"AbstractTextCN\":null,\"PMCID\":null,\"EPubDate\":\"\",\"PubModel\":\"\",\"JCR\":\"Q2\",\"JCRName\":\"PATHOLOGY\",\"Score\":null,\"Total\":0}","platform":"Semanticscholar","paperid":null,"PeriodicalName":"Diagnostic Pathology","FirstCategoryId":"3","ListUrlMain":"https://doi.org/10.1186/s13000-025-01654-x","RegionNum":3,"RegionCategory":"医学","ArticlePicture":[],"TitleCN":null,"AbstractTextCN":null,"PMCID":null,"EPubDate":"","PubModel":"","JCR":"Q2","JCRName":"PATHOLOGY","Score":null,"Total":0}
引用次数: 0

摘要

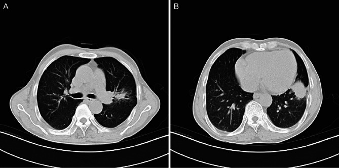
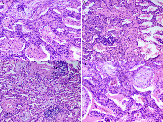
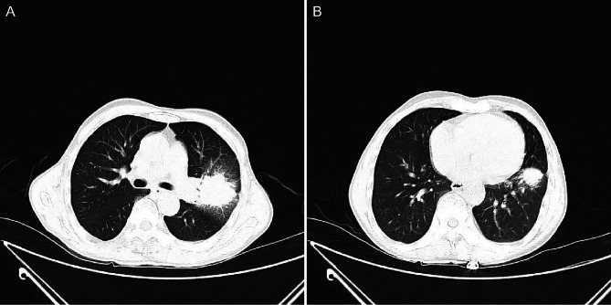
目的:本病例报告1例急性纤维性组织性肺炎(AFOP),胸部CT表现为肿块样,旨在提高临床对这种罕见疾病的认识。病例介绍:66岁男性,以咳嗽、咳痰、胸闷、体重下降持续1个月。胸部x光片显示左肺有占位性病变。进一步的CT成像显示左肺上下叶有不规则的软组织肿块。虽然影像学显示为肺癌,但最终病理诊断为AFOP。患者接受甲基强的松龙治疗,导致上肺叶病变明显改善,而下肺叶病变反应甚微。加入霉酚酸酯后,下叶病变明显减少。多次肺活检证实了AFOP的诊断,没有恶性肿瘤的证据。结论:急性纤维性肺炎和组织性肺炎的影像学表现无特异性,当表现为肿块样病变时,可能被误诊为肺癌。病理检查仍然是诊断的必要条件。在治疗过程中,密切监测临床反应至关重要,治疗计划应根据患者个体需求量身定制。
本文章由计算机程序翻译,如有差异,请以英文原文为准。

Acute fibrinous and organising pneumonia presenting with mass-like imaging: a case report.

Acute fibrinous and organising pneumonia presenting with mass-like imaging: a case report.

Acute fibrinous and organising pneumonia presenting with mass-like imaging: a case report.

Acute fibrinous and organising pneumonia presenting with mass-like imaging: a case report.

Objective: This case report describes a patient with acute fibrinous and organising pneumonia (AFOP) presenting with mass-like imaging on chest computed tomography (CT), aiming to enhance clinical awareness of this rare disease.

Case presentation: A 66-year-old man presented with cough, sputum, chest tightness and weight loss persisting for 1 month. Chest X-ray revealed a space-occupying lesion in the left lung. Further CT imaging demonstrated irregular soft tissue masses in both the upper and lower lobes of the left lung. Although the imaging findings suggested lung cancer, the final pathological diagnosis confirmed AFOP. The patient was treated with methylprednisolone, resulting in substantial improvement of the upper lobe lesion, whereas the lower lobe lesion showed minimal response. Following the addition of mycophenolate mofetil, the lower lobe lesion decreased substantially. Multiple lung biopsies confirmed the diagnosis of AFOP, with no evidence of a malignant tumour.

Conclusions: Acute fibrinous and organising pneumonia presents with non-specific imaging findings, and when manifesting as a mass-like lesion, it may be misdiagnosed as lung cancer. Pathological examination remains essential for diagnosis. Close monitoring of the clinical response is crucial during treatment, and the treatment plan should be tailored to individual patient needs.

求助全文
通过发布文献求助,成功后即可免费获取论文全文。 去求助
来源期刊
Diagnostic Pathology
Diagnostic Pathology 医学-病理学
CiteScore
4.60
自引率
0.00%
发文量
93
审稿时长
1 months
期刊介绍: Diagnostic Pathology is an open access, peer-reviewed, online journal that considers research in surgical and clinical pathology, immunology, and biology, with a special focus on cutting-edge approaches in diagnostic pathology and tissue-based therapy. The journal covers all aspects of surgical pathology, including classic diagnostic pathology, prognosis-related diagnosis (tumor stages, prognosis markers, such as MIB-percentage, hormone receptors, etc.), and therapy-related findings. The journal also focuses on the technological aspects of pathology, including molecular biology techniques, morphometry aspects (stereology, DNA analysis, syntactic structure analysis), communication aspects (telecommunication, virtual microscopy, virtual pathology institutions, etc.), and electronic education and quality assurance (for example interactive publication, on-line references with automated updating, etc.).
×
引用
GB/T 7714-2015
复制
MLA
复制
APA
复制
导出至
BibTeX EndNote RefMan NoteFirst NoteExpress
×
提示
您的信息不完整,为了账户安全,请先补充。
现在去补充
×
提示
您因"违规操作"
具体请查看互助需知
我知道了
×
提示
确定
请完成安全验证×
copy
已复制链接
快去分享给好友吧!
我知道了
右上角分享
点击右上角分享
0
联系我们:info@booksci.cn Book学术提供免费学术资源搜索服务,方便国内外学者检索中英文文献。致力于提供最便捷和优质的服务体验。 Copyright © 2023 布克学术 All rights reserved.
京ICP备2023020795号-1
ghs 京公网安备 11010802042870号
Book学术文献互助
Book学术文献互助群
群 号:604180095
Book学术官方微信