母亲运动对老年小鼠后代神经发育和肠道微生物群的影响。

IF 1.6 Q3 REHABILITATION
Journal of Exercise Rehabilitation Pub Date : 2025-04-30 eCollection Date: 2025-04-01 DOI:10.12965/jer.2550186.093
Sang-Seo Park, Tae-Woon Kim, Bo-Kyun Kim, Sang-Hoon Kim, Hye-Sang Park
{"title":"母亲运动对老年小鼠后代神经发育和肠道微生物群的影响。","authors":"Sang-Seo Park, Tae-Woon Kim, Bo-Kyun Kim, Sang-Hoon Kim, Hye-Sang Park","doi":"10.12965/jer.2550186.093","DOIUrl":null,"url":null,"abstract":"<p><p>The effects of maternal exercise on hippocampal neurogenesis, synaptic protein expression, and gut microbiome composition in the offspring of older females were investigated. Male offspring from female C57BL/6 mice were divided into four groups: offspring of young female group (CON), offspring of exercised young female group, offspring of advanced-age female group (AMA), and offspring of exercised advanced-age female group (AMA+EX). The exercised group received 8 weeks of treadmill training before and during pregnancy. Male offspring were assessed at 4 weeks of age. Hippocampal neurogenesis was assessed by 5-bromo-2'-deoxyuridine/neuronal double immunofluorescence staining. Expression of synaptic plasticity-related proteins, including brain-derived neurotrophic factor (BDNF) and postsynaptic density protein 95 (PSD-95), was analyzed by Western blot. Gut microbiome composition and diversity were assessed using 16S rRNA sequencing of fecal samples. Offspring born to AMA females had significantly reduced hippocampal neurogenesis and lower expression levels of BDNF and PSD-95 compared to the CON group. In the AMA+EX group, maternal treadmill exercise significantly improved these deficits, restoring both neurogenesis and synaptic protein expression. In contrast, gut microbiota analysis showed that microbial richness and alpha diversity were reduced in the offspring of exercised females, despite the relatively high diversity in the CON and AMA groups, especially in the AMA+EX group. Older mothers impair hippocampal neurogenesis and synaptic protein expression in offspring, and alter gut microbial diversity. Maternal exercise may alleviate age-related neurodevelopmental disorders, but may also reduce microbial diversity in the offspring's gut.</p>","PeriodicalId":15771,"journal":{"name":"Journal of Exercise Rehabilitation","volume":"21 2","pages":"47-52"},"PeriodicalIF":1.6000,"publicationDate":"2025-04-30","publicationTypes":"Journal Article","fieldsOfStudy":null,"isOpenAccess":false,"openAccessPdf":"https://www.ncbi.nlm.nih.gov/pmc/articles/PMC12061734/pdf/","citationCount":"0","resultStr":"{\"title\":\"Impact of maternal exercise on neurodevelopment and gut microbiota in offspring from advanced-age mice.\",\"authors\":\"Sang-Seo Park, Tae-Woon Kim, Bo-Kyun Kim, Sang-Hoon Kim, Hye-Sang Park\",\"doi\":\"10.12965/jer.2550186.093\",\"DOIUrl\":null,\"url\":null,\"abstract\":\"<p><p>The effects of maternal exercise on hippocampal neurogenesis, synaptic protein expression, and gut microbiome composition in the offspring of older females were investigated. Male offspring from female C57BL/6 mice were divided into four groups: offspring of young female group (CON), offspring of exercised young female group, offspring of advanced-age female group (AMA), and offspring of exercised advanced-age female group (AMA+EX). The exercised group received 8 weeks of treadmill training before and during pregnancy. Male offspring were assessed at 4 weeks of age. Hippocampal neurogenesis was assessed by 5-bromo-2'-deoxyuridine/neuronal double immunofluorescence staining. Expression of synaptic plasticity-related proteins, including brain-derived neurotrophic factor (BDNF) and postsynaptic density protein 95 (PSD-95), was analyzed by Western blot. Gut microbiome composition and diversity were assessed using 16S rRNA sequencing of fecal samples. Offspring born to AMA females had significantly reduced hippocampal neurogenesis and lower expression levels of BDNF and PSD-95 compared to the CON group. In the AMA+EX group, maternal treadmill exercise significantly improved these deficits, restoring both neurogenesis and synaptic protein expression. In contrast, gut microbiota analysis showed that microbial richness and alpha diversity were reduced in the offspring of exercised females, despite the relatively high diversity in the CON and AMA groups, especially in the AMA+EX group. Older mothers impair hippocampal neurogenesis and synaptic protein expression in offspring, and alter gut microbial diversity. Maternal exercise may alleviate age-related neurodevelopmental disorders, but may also reduce microbial diversity in the offspring's gut.</p>\",\"PeriodicalId\":15771,\"journal\":{\"name\":\"Journal of Exercise Rehabilitation\",\"volume\":\"21 2\",\"pages\":\"47-52\"},\"PeriodicalIF\":1.6000,\"publicationDate\":\"2025-04-30\",\"publicationTypes\":\"Journal Article\",\"fieldsOfStudy\":null,\"isOpenAccess\":false,\"openAccessPdf\":\"https://www.ncbi.nlm.nih.gov/pmc/articles/PMC12061734/pdf/\",\"citationCount\":\"0\",\"resultStr\":null,\"platform\":\"Semanticscholar\",\"paperid\":null,\"PeriodicalName\":\"Journal of Exercise Rehabilitation\",\"FirstCategoryId\":\"1085\",\"ListUrlMain\":\"https://doi.org/10.12965/jer.2550186.093\",\"RegionNum\":0,\"RegionCategory\":null,\"ArticlePicture\":[],\"TitleCN\":null,\"AbstractTextCN\":null,\"PMCID\":null,\"EPubDate\":\"2025/4/1 0:00:00\",\"PubModel\":\"eCollection\",\"JCR\":\"Q3\",\"JCRName\":\"REHABILITATION\",\"Score\":null,\"Total\":0}","platform":"Semanticscholar","paperid":null,"PeriodicalName":"Journal of Exercise Rehabilitation","FirstCategoryId":"1085","ListUrlMain":"https://doi.org/10.12965/jer.2550186.093","RegionNum":0,"RegionCategory":null,"ArticlePicture":[],"TitleCN":null,"AbstractTextCN":null,"PMCID":null,"EPubDate":"2025/4/1 0:00:00","PubModel":"eCollection","JCR":"Q3","JCRName":"REHABILITATION","Score":null,"Total":0}
引用次数: 0

摘要

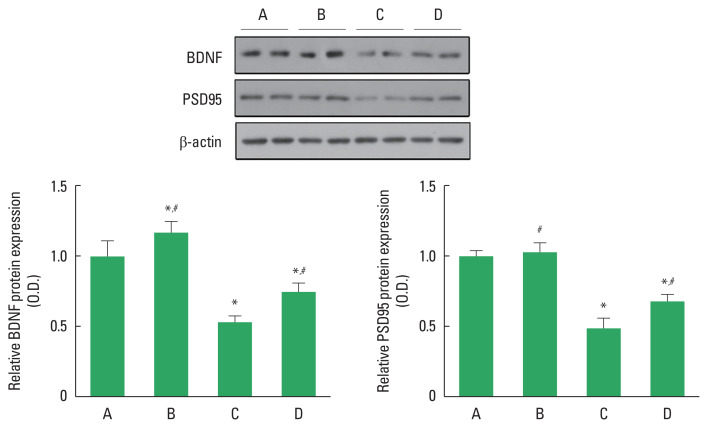
研究了母体运动对老年雌性后代海马神经发生、突触蛋白表达和肠道微生物组成的影响。将雌性C57BL/6小鼠的雄性后代分为4组:年轻雌鼠组(CON)、运动年轻雌鼠组(AMA)、高龄雌鼠组(AMA+EX)。运动组在怀孕前和怀孕期间接受8周的跑步机训练。雄性后代在4周龄时进行评估。5-溴-2'-脱氧尿苷/神经元双免疫荧光染色评估海马神经发生。Western blot检测突触可塑性相关蛋白脑源性神经营养因子(BDNF)和突触后密度蛋白95 (PSD-95)的表达。使用粪便样本的16S rRNA测序评估肠道微生物组组成和多样性。与CON组相比,AMA雌性所生的后代海马神经发生明显减少,BDNF和PSD-95的表达水平也较低。在AMA+EX组中,母体跑步机运动显著改善了这些缺陷,恢复了神经发生和突触蛋白的表达。相比之下,肠道微生物群分析显示,尽管CON组和AMA组(尤其是AMA+EX组)的多样性相对较高,但运动雌性后代的微生物丰富度和α多样性却有所降低。高龄母亲损害后代海马神经发生和突触蛋白表达,并改变肠道微生物多样性。母亲运动可以缓解与年龄相关的神经发育障碍,但也可能减少后代肠道中的微生物多样性。
本文章由计算机程序翻译,如有差异,请以英文原文为准。

Impact of maternal exercise on neurodevelopment and gut microbiota in offspring from advanced-age mice.

Impact of maternal exercise on neurodevelopment and gut microbiota in offspring from advanced-age mice.

Impact of maternal exercise on neurodevelopment and gut microbiota in offspring from advanced-age mice.

Impact of maternal exercise on neurodevelopment and gut microbiota in offspring from advanced-age mice.

The effects of maternal exercise on hippocampal neurogenesis, synaptic protein expression, and gut microbiome composition in the offspring of older females were investigated. Male offspring from female C57BL/6 mice were divided into four groups: offspring of young female group (CON), offspring of exercised young female group, offspring of advanced-age female group (AMA), and offspring of exercised advanced-age female group (AMA+EX). The exercised group received 8 weeks of treadmill training before and during pregnancy. Male offspring were assessed at 4 weeks of age. Hippocampal neurogenesis was assessed by 5-bromo-2'-deoxyuridine/neuronal double immunofluorescence staining. Expression of synaptic plasticity-related proteins, including brain-derived neurotrophic factor (BDNF) and postsynaptic density protein 95 (PSD-95), was analyzed by Western blot. Gut microbiome composition and diversity were assessed using 16S rRNA sequencing of fecal samples. Offspring born to AMA females had significantly reduced hippocampal neurogenesis and lower expression levels of BDNF and PSD-95 compared to the CON group. In the AMA+EX group, maternal treadmill exercise significantly improved these deficits, restoring both neurogenesis and synaptic protein expression. In contrast, gut microbiota analysis showed that microbial richness and alpha diversity were reduced in the offspring of exercised females, despite the relatively high diversity in the CON and AMA groups, especially in the AMA+EX group. Older mothers impair hippocampal neurogenesis and synaptic protein expression in offspring, and alter gut microbial diversity. Maternal exercise may alleviate age-related neurodevelopmental disorders, but may also reduce microbial diversity in the offspring's gut.

求助全文
通过发布文献求助,成功后即可免费获取论文全文。 去求助
来源期刊
CiteScore
3.50
自引率
5.30%
发文量
45
审稿时长
10 weeks
期刊介绍: The Journal of Exercise Rehabilitation is the official journal of the Korean Society of Exercise Rehabilitation, and is published six times a year. Supplementary issues may be published. Its official abbreviation is "J Exerc Rehabil". It was launched in 2005. The title of the first volume was Journal of the Korean Society of Exercise Rehabilitation (pISSN 1976-6319). The journal title was changed to Journal of Exercise Rehabilitation from Volume 9 Number 2, 2013. The effects of exercise rehabilitation are very broad and in some cases exercise rehabilitation has different treatment areas than traditional rehabilitation. Exercise rehabilitation can be presented as a solution to new diseases in modern society and it can replace traditional medicine in economically disadvantaged areas. Exercise rehabilitation is very effective in overcoming metabolic diseases and also has no side effects. Furthermore, exercise rehabilitation shows new possibility for neuropsychiatric diseases, such as depression, autism, attention deficit hyperactivity disorder, schizophrenia, etc. The purpose of the Journal of Exercise Rehabilitation is to identify the effects of exercise rehabilitation on a variety of diseases and to identify mechanisms for exercise rehabilitation treatment. The Journal of Exercise Rehabilitation aims to serve as an intermediary for objective and scientific validation on the effects of exercise rehabilitation worldwide. The types of manuscripts include research articles, review articles, and articles invited by the Editorial Board. The Journal of Exercise Rehabilitation contains 6 sections: Basic research on exercise rehabilitation, Clinical research on exercise rehabilitation, Exercise rehabilitation pedagogy, Exercise rehabilitation education, Exercise rehabilitation psychology, and Exercise rehabilitation welfare.
×
引用
GB/T 7714-2015
复制
MLA
复制
APA
复制
导出至
BibTeX EndNote RefMan NoteFirst NoteExpress
×
提示
您的信息不完整,为了账户安全,请先补充。
现在去补充
×
提示
您因"违规操作"
具体请查看互助需知
我知道了
×
提示
确定
请完成安全验证×
copy
已复制链接
快去分享给好友吧!
我知道了
右上角分享
点击右上角分享
0
联系我们:info@booksci.cn Book学术提供免费学术资源搜索服务,方便国内外学者检索中英文文献。致力于提供最便捷和优质的服务体验。 Copyright © 2023 布克学术 All rights reserved.
京ICP备2023020795号-1
ghs 京公网安备 11010802042870号
Book学术文献互助
Book学术文献互助群
群 号:604180095
Book学术官方微信